利凡特毒蛇(Macrovipera lebetina)咬伤后急性脑动脉闭塞:Gács蛇咬伤体征。

IF 1 4区 医学 Q3 MEDICINE, GENERAL & INTERNAL
Seyed Mostafa Mirakbari, Reza Gorji
{"title":"利凡特毒蛇(Macrovipera lebetina)咬伤后急性脑动脉闭塞:Gács蛇咬伤体征。","authors":"Seyed Mostafa Mirakbari, Reza Gorji","doi":"10.34172/aim.31131","DOIUrl":null,"url":null,"abstract":"<p><p>Acute cerebral thrombotic stroke following a viper snakebite is a rare occurrence. There have been a few documented cases of cerebral infarctions resulting from envenomation by various viper species. However, none of these reports have specifically detailed instances of stroke induced by <i>Macrovipera lebetina</i> envenomation or vessel occlusion without concurrent cerebral infarction. In this study, we present a case of middle cerebral artery (MCA) occlusion in a 56-year-old man who was bitten by a <i>Macrovipera</i> or <i>Vipera lebetina</i> snake. The individual experienced a snakebite on his right foot, leading to subsequent seizure activity and loss of consciousness. Non-contrast computed tomography scan of the brain revealed hyperattenuation of the right MCA, indicating clot occlusion within the artery, commonly referred to as hyperdense MCA sign or Gács sign.</p>","PeriodicalId":55469,"journal":{"name":"Archives of Iranian Medicine","volume":"28 4","pages":"240-243"},"PeriodicalIF":1.0000,"publicationDate":"2025-04-01","publicationTypes":"Journal Article","fieldsOfStudy":null,"isOpenAccess":false,"openAccessPdf":"https://www.ncbi.nlm.nih.gov/pmc/articles/PMC12085800/pdf/","citationCount":"0","resultStr":"{\"title\":\"Acute Cerebral Artery Occlusion Following Levantine Viper (<i>Macrovipera lebetina</i>) Bite: Gács Sign in Snakebite.\",\"authors\":\"Seyed Mostafa Mirakbari, Reza Gorji\",\"doi\":\"10.34172/aim.31131\",\"DOIUrl\":null,\"url\":null,\"abstract\":\"<p><p>Acute cerebral thrombotic stroke following a viper snakebite is a rare occurrence. There have been a few documented cases of cerebral infarctions resulting from envenomation by various viper species. However, none of these reports have specifically detailed instances of stroke induced by <i>Macrovipera lebetina</i> envenomation or vessel occlusion without concurrent cerebral infarction. In this study, we present a case of middle cerebral artery (MCA) occlusion in a 56-year-old man who was bitten by a <i>Macrovipera</i> or <i>Vipera lebetina</i> snake. The individual experienced a snakebite on his right foot, leading to subsequent seizure activity and loss of consciousness. Non-contrast computed tomography scan of the brain revealed hyperattenuation of the right MCA, indicating clot occlusion within the artery, commonly referred to as hyperdense MCA sign or Gács sign.</p>\",\"PeriodicalId\":55469,\"journal\":{\"name\":\"Archives of Iranian Medicine\",\"volume\":\"28 4\",\"pages\":\"240-243\"},\"PeriodicalIF\":1.0000,\"publicationDate\":\"2025-04-01\",\"publicationTypes\":\"Journal Article\",\"fieldsOfStudy\":null,\"isOpenAccess\":false,\"openAccessPdf\":\"https://www.ncbi.nlm.nih.gov/pmc/articles/PMC12085800/pdf/\",\"citationCount\":\"0\",\"resultStr\":null,\"platform\":\"Semanticscholar\",\"paperid\":null,\"PeriodicalName\":\"Archives of Iranian Medicine\",\"FirstCategoryId\":\"3\",\"ListUrlMain\":\"https://doi.org/10.34172/aim.31131\",\"RegionNum\":4,\"RegionCategory\":\"医学\",\"ArticlePicture\":[],\"TitleCN\":null,\"AbstractTextCN\":null,\"PMCID\":null,\"EPubDate\":\"\",\"PubModel\":\"\",\"JCR\":\"Q3\",\"JCRName\":\"MEDICINE, GENERAL & INTERNAL\",\"Score\":null,\"Total\":0}","platform":"Semanticscholar","paperid":null,"PeriodicalName":"Archives of Iranian Medicine","FirstCategoryId":"3","ListUrlMain":"https://doi.org/10.34172/aim.31131","RegionNum":4,"RegionCategory":"医学","ArticlePicture":[],"TitleCN":null,"AbstractTextCN":null,"PMCID":null,"EPubDate":"","PubModel":"","JCR":"Q3","JCRName":"MEDICINE, GENERAL & INTERNAL","Score":null,"Total":0}
引用次数: 0

摘要

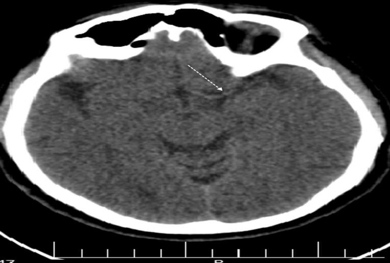
急性脑血栓性中风后,毒蛇咬伤是一种罕见的发生。有一些记录的病例脑梗死导致各种毒蛇种类的毒害。然而,这些报道中都没有特别详细的由大毒蛇中毒或血管闭塞引起的卒中而没有并发脑梗死的病例。在这项研究中,我们提出了一个病例的大脑中动脉(MCA)闭塞在一个56岁的男子谁是咬大毒蛇或毒蛇lebetina。这个人的右脚被蛇咬伤,导致随后的癫痫发作和意识丧失。脑部非对比计算机断层扫描显示右侧MCA高衰减,表明动脉内血栓闭塞,通常称为MCA高密度征或Gács征。
本文章由计算机程序翻译,如有差异,请以英文原文为准。

Acute Cerebral Artery Occlusion Following Levantine Viper (<i>Macrovipera lebetina</i>) Bite: Gács Sign in Snakebite.

Acute Cerebral Artery Occlusion Following Levantine Viper (<i>Macrovipera lebetina</i>) Bite: Gács Sign in Snakebite.

Acute Cerebral Artery Occlusion Following Levantine Viper (<i>Macrovipera lebetina</i>) Bite: Gács Sign in Snakebite.

Acute Cerebral Artery Occlusion Following Levantine Viper (Macrovipera lebetina) Bite: Gács Sign in Snakebite.

Acute cerebral thrombotic stroke following a viper snakebite is a rare occurrence. There have been a few documented cases of cerebral infarctions resulting from envenomation by various viper species. However, none of these reports have specifically detailed instances of stroke induced by Macrovipera lebetina envenomation or vessel occlusion without concurrent cerebral infarction. In this study, we present a case of middle cerebral artery (MCA) occlusion in a 56-year-old man who was bitten by a Macrovipera or Vipera lebetina snake. The individual experienced a snakebite on his right foot, leading to subsequent seizure activity and loss of consciousness. Non-contrast computed tomography scan of the brain revealed hyperattenuation of the right MCA, indicating clot occlusion within the artery, commonly referred to as hyperdense MCA sign or Gács sign.

求助全文
通过发布文献求助,成功后即可免费获取论文全文。 去求助
来源期刊
Archives of Iranian Medicine
Archives of Iranian Medicine 医学-医学:内科
CiteScore
4.20
自引率
0.00%
发文量
67
审稿时长
3-8 weeks
期刊介绍: Aim and Scope: The Archives of Iranian Medicine (AIM) is a monthly peer-reviewed multidisciplinary medical publication. The journal welcomes contributions particularly relevant to the Middle-East region and publishes biomedical experiences and clinical investigations on prevalent diseases in the region as well as analyses of factors that may modulate the incidence, course, and management of diseases and pertinent medical problems. Manuscripts with didactic orientation and subjects exclusively of local interest will not be considered for publication.The 2016 Impact Factor of "Archives of Iranian Medicine" is 1.20.
×
引用
GB/T 7714-2015
复制
MLA
复制
APA
复制
导出至
BibTeX EndNote RefMan NoteFirst NoteExpress
×
提示
您的信息不完整,为了账户安全,请先补充。
现在去补充
×
提示
您因"违规操作"
具体请查看互助需知
我知道了
×
提示
确定
请完成安全验证×
copy
已复制链接
快去分享给好友吧!
我知道了
右上角分享
点击右上角分享
0
联系我们:info@booksci.cn Book学术提供免费学术资源搜索服务,方便国内外学者检索中英文文献。致力于提供最便捷和优质的服务体验。 Copyright © 2023 布克学术 All rights reserved.
京ICP备2023020795号-1
ghs 京公网安备 11010802042870号
Book学术文献互助
Book学术文献互助群
群 号:604180095
Book学术官方微信