Benralizumab治疗嗜酸性粒细胞增多综合征急性血栓栓塞1例报告。

IF 2.4 4区 医学 Q2 ALLERGY
Daiki Nagira, Satoshi Miyamoto, Taishiro Mizukoshi, Atsushi Yanagisawa, Atsushi Funauchi, Kensuke Kanaoka, Hanako Yoshimura, Tatsunori Jo, Masayoshi Higashiguchi, Yujiro Naito, Takayuki Shiroyama, Satoshi Tetsumoto, Haruhiko Hirata, Yoshito Takeda, Atsushi Kumanogoh
{"title":"Benralizumab治疗嗜酸性粒细胞增多综合征急性血栓栓塞1例报告。","authors":"Daiki Nagira, Satoshi Miyamoto, Taishiro Mizukoshi, Atsushi Yanagisawa, Atsushi Funauchi, Kensuke Kanaoka, Hanako Yoshimura, Tatsunori Jo, Masayoshi Higashiguchi, Yujiro Naito, Takayuki Shiroyama, Satoshi Tetsumoto, Haruhiko Hirata, Yoshito Takeda, Atsushi Kumanogoh","doi":"10.1186/s13223-025-00967-2","DOIUrl":null,"url":null,"abstract":"<p><strong>Background: </strong>Hypereosinophilic syndrome is a group of disorders characterized by organ dysfunction caused by hypereosinophilia, which frequently leads to thromboembolic complications with potentially fatal outcomes. Interleukin-5, a key cytokine that promotes the differentiation and activation of eosinophils, has been identified as a therapeutic target. Anti-interleukin-5 antibody therapy has demonstrated efficacy in reducing eosinophil counts and enabling steroid dose tapering in patients with hypereosinophilic syndrome. This report describes the case of a patient with severe thromboembolism associated with hypereosinophilic syndrome during the acute phase who was successfully treated with benralizumab, an anti-interleukin-5 receptor alpha antibody.</p><p><strong>Case presentation: </strong>A 22-year-old woman presented with a persistent cough and was diagnosed with eosinophilic pneumonia and portal vein thrombosis. Although eosinophilic pneumonia improved with corticosteroid therapy, thrombotic complications worsened despite additional anticoagulant treatment. The administration of benralizumab led to marked improvement in thrombosis, resulting in clinical recovery.</p><p><strong>Conclusions: </strong>This case suggests that the early administration of anti-interleukin-5 receptor antibody therapy may be a valuable treatment option for refractory thrombosis.</p>","PeriodicalId":51302,"journal":{"name":"Allergy Asthma and Clinical Immunology","volume":"21 1","pages":"23"},"PeriodicalIF":2.4000,"publicationDate":"2025-05-17","publicationTypes":"Journal Article","fieldsOfStudy":null,"isOpenAccess":false,"openAccessPdf":"https://www.ncbi.nlm.nih.gov/pmc/articles/PMC12085812/pdf/","citationCount":"0","resultStr":"{\"title\":\"Benralizumab for acute thromboembolism in hypereosinophilic syndrome: a case report.\",\"authors\":\"Daiki Nagira, Satoshi Miyamoto, Taishiro Mizukoshi, Atsushi Yanagisawa, Atsushi Funauchi, Kensuke Kanaoka, Hanako Yoshimura, Tatsunori Jo, Masayoshi Higashiguchi, Yujiro Naito, Takayuki Shiroyama, Satoshi Tetsumoto, Haruhiko Hirata, Yoshito Takeda, Atsushi Kumanogoh\",\"doi\":\"10.1186/s13223-025-00967-2\",\"DOIUrl\":null,\"url\":null,\"abstract\":\"<p><strong>Background: </strong>Hypereosinophilic syndrome is a group of disorders characterized by organ dysfunction caused by hypereosinophilia, which frequently leads to thromboembolic complications with potentially fatal outcomes. Interleukin-5, a key cytokine that promotes the differentiation and activation of eosinophils, has been identified as a therapeutic target. Anti-interleukin-5 antibody therapy has demonstrated efficacy in reducing eosinophil counts and enabling steroid dose tapering in patients with hypereosinophilic syndrome. This report describes the case of a patient with severe thromboembolism associated with hypereosinophilic syndrome during the acute phase who was successfully treated with benralizumab, an anti-interleukin-5 receptor alpha antibody.</p><p><strong>Case presentation: </strong>A 22-year-old woman presented with a persistent cough and was diagnosed with eosinophilic pneumonia and portal vein thrombosis. Although eosinophilic pneumonia improved with corticosteroid therapy, thrombotic complications worsened despite additional anticoagulant treatment. The administration of benralizumab led to marked improvement in thrombosis, resulting in clinical recovery.</p><p><strong>Conclusions: </strong>This case suggests that the early administration of anti-interleukin-5 receptor antibody therapy may be a valuable treatment option for refractory thrombosis.</p>\",\"PeriodicalId\":51302,\"journal\":{\"name\":\"Allergy Asthma and Clinical Immunology\",\"volume\":\"21 1\",\"pages\":\"23\"},\"PeriodicalIF\":2.4000,\"publicationDate\":\"2025-05-17\",\"publicationTypes\":\"Journal Article\",\"fieldsOfStudy\":null,\"isOpenAccess\":false,\"openAccessPdf\":\"https://www.ncbi.nlm.nih.gov/pmc/articles/PMC12085812/pdf/\",\"citationCount\":\"0\",\"resultStr\":null,\"platform\":\"Semanticscholar\",\"paperid\":null,\"PeriodicalName\":\"Allergy Asthma and Clinical Immunology\",\"FirstCategoryId\":\"3\",\"ListUrlMain\":\"https://doi.org/10.1186/s13223-025-00967-2\",\"RegionNum\":4,\"RegionCategory\":\"医学\",\"ArticlePicture\":[],\"TitleCN\":null,\"AbstractTextCN\":null,\"PMCID\":null,\"EPubDate\":\"\",\"PubModel\":\"\",\"JCR\":\"Q2\",\"JCRName\":\"ALLERGY\",\"Score\":null,\"Total\":0}","platform":"Semanticscholar","paperid":null,"PeriodicalName":"Allergy Asthma and Clinical Immunology","FirstCategoryId":"3","ListUrlMain":"https://doi.org/10.1186/s13223-025-00967-2","RegionNum":4,"RegionCategory":"医学","ArticlePicture":[],"TitleCN":null,"AbstractTextCN":null,"PMCID":null,"EPubDate":"","PubModel":"","JCR":"Q2","JCRName":"ALLERGY","Score":null,"Total":0}
引用次数: 0

摘要

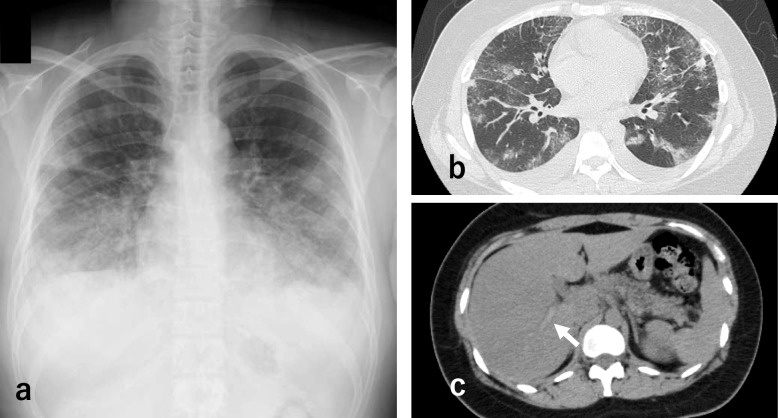
背景:嗜酸性粒细胞增多综合征是一组以嗜酸性粒细胞增多引起的器官功能障碍为特征的疾病,它经常导致血栓栓塞并发症和潜在的致命结局。白细胞介素-5是一种促进嗜酸性粒细胞分化和活化的关键细胞因子,已被确定为治疗靶点。抗白细胞介素-5抗体治疗已证明在嗜酸性粒细胞增多综合征患者中减少嗜酸性粒细胞计数和使类固醇剂量逐渐减少的疗效。本报告描述了一例急性期伴有高嗜酸性粒细胞综合征的严重血栓栓塞患者,该患者成功地接受了抗白介素-5受体α抗体benralizumab的治疗。病例介绍:一位22岁的女性表现为持续咳嗽,并被诊断为嗜酸性肺炎和门静脉血栓形成。虽然嗜酸性粒细胞性肺炎在皮质类固醇治疗下得到改善,但血栓性并发症在额外的抗凝治疗下恶化。贝纳利珠单抗治疗导致血栓形成的显著改善,导致临床恢复。结论:本病例提示早期给予抗白细胞介素-5受体抗体治疗可能是难治性血栓形成的一种有价值的治疗选择。
本文章由计算机程序翻译,如有差异,请以英文原文为准。

Benralizumab for acute thromboembolism in hypereosinophilic syndrome: a case report.

Benralizumab for acute thromboembolism in hypereosinophilic syndrome: a case report.

Benralizumab for acute thromboembolism in hypereosinophilic syndrome: a case report.

Benralizumab for acute thromboembolism in hypereosinophilic syndrome: a case report.

Background: Hypereosinophilic syndrome is a group of disorders characterized by organ dysfunction caused by hypereosinophilia, which frequently leads to thromboembolic complications with potentially fatal outcomes. Interleukin-5, a key cytokine that promotes the differentiation and activation of eosinophils, has been identified as a therapeutic target. Anti-interleukin-5 antibody therapy has demonstrated efficacy in reducing eosinophil counts and enabling steroid dose tapering in patients with hypereosinophilic syndrome. This report describes the case of a patient with severe thromboembolism associated with hypereosinophilic syndrome during the acute phase who was successfully treated with benralizumab, an anti-interleukin-5 receptor alpha antibody.

Case presentation: A 22-year-old woman presented with a persistent cough and was diagnosed with eosinophilic pneumonia and portal vein thrombosis. Although eosinophilic pneumonia improved with corticosteroid therapy, thrombotic complications worsened despite additional anticoagulant treatment. The administration of benralizumab led to marked improvement in thrombosis, resulting in clinical recovery.

Conclusions: This case suggests that the early administration of anti-interleukin-5 receptor antibody therapy may be a valuable treatment option for refractory thrombosis.

求助全文
通过发布文献求助,成功后即可免费获取论文全文。 去求助
来源期刊
CiteScore
4.30
自引率
3.70%
发文量
96
审稿时长
12 weeks
期刊介绍: Allergy, Asthma & Clinical Immunology (AACI), the official journal of the Canadian Society of Allergy and Clinical Immunology (CSACI), is an open access journal that encompasses all aspects of diagnosis, epidemiology, prevention and treatment of allergic and immunologic disease. By offering a high-visibility forum for new insights and discussions, AACI provides a platform for the dissemination of allergy and clinical immunology research and reviews amongst allergists, pulmonologists, immunologists and other physicians, healthcare workers, medical students and the public worldwide. AACI reports on basic research and clinically applied studies in the following areas and other related topics: asthma and occupational lung disease, rhinoconjunctivitis and rhinosinusitis, drug hypersensitivity, allergic skin diseases, urticaria and angioedema, venom hypersensitivity, anaphylaxis and food allergy, immunotherapy, immune modulators and biologics, immune deficiency and autoimmunity, T cell and B cell functions, regulatory T cells, natural killer cells, mast cell and eosinophil functions, complement abnormalities.
×
引用
GB/T 7714-2015
复制
MLA
复制
APA
复制
导出至
BibTeX EndNote RefMan NoteFirst NoteExpress
×
提示
您的信息不完整,为了账户安全,请先补充。
现在去补充
×
提示
您因"违规操作"
具体请查看互助需知
我知道了
×
提示
确定
请完成安全验证×
copy
已复制链接
快去分享给好友吧!
我知道了
右上角分享
点击右上角分享
0
联系我们:info@booksci.cn Book学术提供免费学术资源搜索服务,方便国内外学者检索中英文文献。致力于提供最便捷和优质的服务体验。 Copyright © 2023 布克学术 All rights reserved.
京ICP备2023020795号-1
ghs 京公网安备 11010802042870号
Book学术文献互助
Book学术文献互助群
群 号:604180095
Book学术官方微信