接触性运动员前肩不稳的处理:一篇叙述性综述。

IF 0.9 4区 医学 Q4 ORTHOPEDICS
Annals of Joint Pub Date : 2025-04-22 eCollection Date: 2025-01-01 DOI:10.21037/aoj-24-65
Alex M Meyer, Samuel G Lorentz, Lindsey G Droz, Julia E Ralph, Brian C Lau
{"title":"接触性运动员前肩不稳的处理:一篇叙述性综述。","authors":"Alex M Meyer, Samuel G Lorentz, Lindsey G Droz, Julia E Ralph, Brian C Lau","doi":"10.21037/aoj-24-65","DOIUrl":null,"url":null,"abstract":"<p><strong>Background and objective: </strong>Anterior shoulder instability (ASI) is a common occurrence in the athletic population with specific management challenges in contact athletes due to the high activity demand and repetitive trauma during sport. This study aims to provide a narrative review of the current literature on ASI in contact athletes, with an emphasis on pathophysiology, mechanisms of injury, clinical presentation, diagnostic strategies, treatment options, including in-season management, and outcomes.</p><p><strong>Methods: </strong>A narrative review of the current literature on ASI in contact athletes was conducted, including key studies on the management and outcomes of conservative and surgical interventions.</p><p><strong>Key content and findings: </strong>ASI typically occurs from abduction and external rotation forces. Diagnosis relies on clinical assessment and imaging (magnetic resonance imaging or computed tomography), to evaluate soft tissue and bony injuries. Non-operative management is associated with high recurrence rates in contact athletes. Surgical options include arthroscopic Bankart repair (ABR) with or without remplissage, open Bankart repair (OBR), or bone block procedure such as Latarjet procedure or distal tibia allograft. All of which have been shown to decrease risk of recurrence and have a high rate of return to sport. The choice of procedure depends on the extent of soft tissue and bony involvement and the athlete's individual demands. ABR with glenoid bone loss >13.5% have high recurrence rates, therefore, additional procedures such as remplissage or bone block procedures should be considered.</p><p><strong>Conclusions: </strong>ASI in the contact athlete is a common and challenging injury to manage. Surgical intervention provides superior outcomes in terms of stability and recurrence prevention compared to non-operative management of ASI in the contact athlete. Patient-specific considerations including level of sport, patient goals, and timing of season are considerations for treatment. Labral injury with <13.5% of glenoid bone loss and on-track Hill-Sachs lesion ABR is recommended, labral injury with 13.5-20% of glenoid bone loss with off-track Hill-Sachs lesion ABR with remplissage or OBR with capsule shift is recommended, and if >20% then bone block procedure is recommended.</p>","PeriodicalId":44459,"journal":{"name":"Annals of Joint","volume":"10 ","pages":"19"},"PeriodicalIF":0.9000,"publicationDate":"2025-04-22","publicationTypes":"Journal Article","fieldsOfStudy":null,"isOpenAccess":false,"openAccessPdf":"https://www.ncbi.nlm.nih.gov/pmc/articles/PMC12082190/pdf/","citationCount":"0","resultStr":"{\"title\":\"Management of anterior shoulder instability in the contact athlete: a narrative review.\",\"authors\":\"Alex M Meyer, Samuel G Lorentz, Lindsey G Droz, Julia E Ralph, Brian C Lau\",\"doi\":\"10.21037/aoj-24-65\",\"DOIUrl\":null,\"url\":null,\"abstract\":\"<p><strong>Background and objective: </strong>Anterior shoulder instability (ASI) is a common occurrence in the athletic population with specific management challenges in contact athletes due to the high activity demand and repetitive trauma during sport. This study aims to provide a narrative review of the current literature on ASI in contact athletes, with an emphasis on pathophysiology, mechanisms of injury, clinical presentation, diagnostic strategies, treatment options, including in-season management, and outcomes.</p><p><strong>Methods: </strong>A narrative review of the current literature on ASI in contact athletes was conducted, including key studies on the management and outcomes of conservative and surgical interventions.</p><p><strong>Key content and findings: </strong>ASI typically occurs from abduction and external rotation forces. Diagnosis relies on clinical assessment and imaging (magnetic resonance imaging or computed tomography), to evaluate soft tissue and bony injuries. Non-operative management is associated with high recurrence rates in contact athletes. Surgical options include arthroscopic Bankart repair (ABR) with or without remplissage, open Bankart repair (OBR), or bone block procedure such as Latarjet procedure or distal tibia allograft. All of which have been shown to decrease risk of recurrence and have a high rate of return to sport. The choice of procedure depends on the extent of soft tissue and bony involvement and the athlete's individual demands. ABR with glenoid bone loss >13.5% have high recurrence rates, therefore, additional procedures such as remplissage or bone block procedures should be considered.</p><p><strong>Conclusions: </strong>ASI in the contact athlete is a common and challenging injury to manage. Surgical intervention provides superior outcomes in terms of stability and recurrence prevention compared to non-operative management of ASI in the contact athlete. Patient-specific considerations including level of sport, patient goals, and timing of season are considerations for treatment. Labral injury with <13.5% of glenoid bone loss and on-track Hill-Sachs lesion ABR is recommended, labral injury with 13.5-20% of glenoid bone loss with off-track Hill-Sachs lesion ABR with remplissage or OBR with capsule shift is recommended, and if >20% then bone block procedure is recommended.</p>\",\"PeriodicalId\":44459,\"journal\":{\"name\":\"Annals of Joint\",\"volume\":\"10 \",\"pages\":\"19\"},\"PeriodicalIF\":0.9000,\"publicationDate\":\"2025-04-22\",\"publicationTypes\":\"Journal Article\",\"fieldsOfStudy\":null,\"isOpenAccess\":false,\"openAccessPdf\":\"https://www.ncbi.nlm.nih.gov/pmc/articles/PMC12082190/pdf/\",\"citationCount\":\"0\",\"resultStr\":null,\"platform\":\"Semanticscholar\",\"paperid\":null,\"PeriodicalName\":\"Annals of Joint\",\"FirstCategoryId\":\"3\",\"ListUrlMain\":\"https://doi.org/10.21037/aoj-24-65\",\"RegionNum\":4,\"RegionCategory\":\"医学\",\"ArticlePicture\":[],\"TitleCN\":null,\"AbstractTextCN\":null,\"PMCID\":null,\"EPubDate\":\"2025/1/1 0:00:00\",\"PubModel\":\"eCollection\",\"JCR\":\"Q4\",\"JCRName\":\"ORTHOPEDICS\",\"Score\":null,\"Total\":0}","platform":"Semanticscholar","paperid":null,"PeriodicalName":"Annals of Joint","FirstCategoryId":"3","ListUrlMain":"https://doi.org/10.21037/aoj-24-65","RegionNum":4,"RegionCategory":"医学","ArticlePicture":[],"TitleCN":null,"AbstractTextCN":null,"PMCID":null,"EPubDate":"2025/1/1 0:00:00","PubModel":"eCollection","JCR":"Q4","JCRName":"ORTHOPEDICS","Score":null,"Total":0}
引用次数: 0

摘要

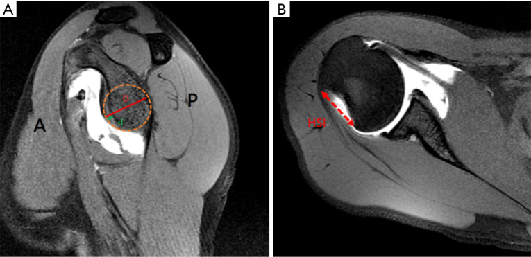
背景和目的:前肩不稳(ASI)是运动员群体中常见的一种疾病,由于运动期间的高活动需求和重复性创伤,接触性运动员面临着特殊的管理挑战。本研究旨在对目前关于接触性运动员ASI的文献进行综述,重点是病理生理学、损伤机制、临床表现、诊断策略、治疗方案,包括赛季管理和结果。方法:对接触性运动员ASI的现有文献进行叙述性回顾,包括保守和手术干预的管理和结果的关键研究。关键内容和发现:ASI通常由外展力和外旋力引起。诊断依赖于临床评估和成像(磁共振成像或计算机断层扫描)来评估软组织和骨损伤。非手术治疗与接触性运动员的高复发率有关。手术选择包括关节镜Bankart修复(ABR)伴有或不伴有复发,开放式Bankart修复(OBR),或骨块手术,如Latarjet手术或胫骨远端同种异体移植。所有这些都被证明可以降低复发的风险,并且有很高的恢复率。手术的选择取决于软组织和骨骼受累的程度以及运动员的个人需求。伴有关节盂骨丢失的ABR复发率高,因此,应考虑其他手术,如穿刺或骨块手术。结论:接触性运动员ASI是一种常见且具有挑战性的损伤。与接触性运动员的ASI非手术治疗相比,手术治疗在稳定性和预防复发方面提供了更好的结果。患者具体的考虑因素包括运动水平,患者的目标和季节的时机是治疗的考虑因素。唇部损伤,建议采用20%骨块手术。
本文章由计算机程序翻译,如有差异,请以英文原文为准。

Management of anterior shoulder instability in the contact athlete: a narrative review.

Management of anterior shoulder instability in the contact athlete: a narrative review.

Management of anterior shoulder instability in the contact athlete: a narrative review.

Management of anterior shoulder instability in the contact athlete: a narrative review.

Background and objective: Anterior shoulder instability (ASI) is a common occurrence in the athletic population with specific management challenges in contact athletes due to the high activity demand and repetitive trauma during sport. This study aims to provide a narrative review of the current literature on ASI in contact athletes, with an emphasis on pathophysiology, mechanisms of injury, clinical presentation, diagnostic strategies, treatment options, including in-season management, and outcomes.

Methods: A narrative review of the current literature on ASI in contact athletes was conducted, including key studies on the management and outcomes of conservative and surgical interventions.

Key content and findings: ASI typically occurs from abduction and external rotation forces. Diagnosis relies on clinical assessment and imaging (magnetic resonance imaging or computed tomography), to evaluate soft tissue and bony injuries. Non-operative management is associated with high recurrence rates in contact athletes. Surgical options include arthroscopic Bankart repair (ABR) with or without remplissage, open Bankart repair (OBR), or bone block procedure such as Latarjet procedure or distal tibia allograft. All of which have been shown to decrease risk of recurrence and have a high rate of return to sport. The choice of procedure depends on the extent of soft tissue and bony involvement and the athlete's individual demands. ABR with glenoid bone loss >13.5% have high recurrence rates, therefore, additional procedures such as remplissage or bone block procedures should be considered.

Conclusions: ASI in the contact athlete is a common and challenging injury to manage. Surgical intervention provides superior outcomes in terms of stability and recurrence prevention compared to non-operative management of ASI in the contact athlete. Patient-specific considerations including level of sport, patient goals, and timing of season are considerations for treatment. Labral injury with <13.5% of glenoid bone loss and on-track Hill-Sachs lesion ABR is recommended, labral injury with 13.5-20% of glenoid bone loss with off-track Hill-Sachs lesion ABR with remplissage or OBR with capsule shift is recommended, and if >20% then bone block procedure is recommended.

求助全文
通过发布文献求助,成功后即可免费获取论文全文。 去求助
来源期刊
Annals of Joint
Annals of Joint ORTHOPEDICS-
CiteScore
1.10
自引率
-25.00%
发文量
17
×
引用
GB/T 7714-2015
复制
MLA
复制
APA
复制
导出至
BibTeX EndNote RefMan NoteFirst NoteExpress
×
提示
您的信息不完整,为了账户安全,请先补充。
现在去补充
×
提示
您因"违规操作"
具体请查看互助需知
我知道了
×
提示
确定
请完成安全验证×
copy
已复制链接
快去分享给好友吧!
我知道了
右上角分享
点击右上角分享
0
联系我们:info@booksci.cn Book学术提供免费学术资源搜索服务,方便国内外学者检索中英文文献。致力于提供最便捷和优质的服务体验。 Copyright © 2023 布克学术 All rights reserved.
京ICP备2023020795号-1
ghs 京公网安备 11010802042870号
Book学术文献互助
Book学术文献互助群
群 号:604180095
Book学术官方微信