伊朗大不里士有症状的家鸽(Columba livia domestica)的呼吸道和肠道人畜共患隐孢子虫病

IF 1 4区 农林科学 Q3 VETERINARY SCIENCES
M Khordadmehr, A Sazmand, A Oryan, P Almasi, V Ranjbar, A Hemphill, D Otranto
{"title":"伊朗大不里士有症状的家鸽(Columba livia domestica)的呼吸道和肠道人畜共患隐孢子虫病","authors":"M Khordadmehr, A Sazmand, A Oryan, P Almasi, V Ranjbar, A Hemphill, D Otranto","doi":"10.22099/ijvr.2024.49762.7335","DOIUrl":null,"url":null,"abstract":"<p><strong>Background: </strong>Domestic pigeons (Columba livia domestica<i>)</i> are the oldest domesticated birds worldwide, harboring many zoonotic parasites and posing potential public health threats.</p><p><strong>Aims: </strong>To investigate cryptosporidiosis in domestic pigeons in Tabriz, Iran, 100 privately owned pigeons presenting weight loss and diarrhea were tested for Cryptosporidium spp. through parasitological, histopathological, and molecular tests.</p><p><strong>Methods: </strong>Modified Ziehl-Neelsen-stained fecal smears and histological sections of the trachea and small intestine were examined microscopically. Genomic DNA of fecal and tracheal specimens was examined by nested conventional PCR targeting <i>18S rDNA</i>, followed by Sanger sequencing of histopathology-confirmed samples and phylogenetic analyses.</p><p><strong>Results: </strong>All pigeons were positive at PCR in their feces and trachea. Oocysts similar to the size of Cryptosporidium species were observed in stained fecal smears of 62% of pigeons. At the histopathological examination, Cryptosporidium<i>-</i>organisms were observed on the apical epithelial surfaces of the small intestine in 84% and trachea in 78% of pigeons. In 23 pigeons, simultaneous tracheal and intestinal cryptosporidiosis was determined. The lesions in affected tracheas and small intestines included hyperemia, villous atrophy and fusion, dilatation of intestinal crypts, irregular epithelial hyperplasia, and sloughing. Diffused mixed inflammatory cell infiltration in the lamina propria was observed, with dominant lymphocytes, plasma cells, and lower numbers of heterophils. Consensus sequences of detected parasites revealed infection with Cryptosporidium parvum and Cryptosporidium meleagridis.</p><p><strong>Conclusion: </strong>Considering the high frequency of cryptosporidiosis reported here in symptomatic birds and that both identified Cryptosporidium species are zoonotic parasites, findings claim a public health risk assessment of this species of animals.</p>","PeriodicalId":14629,"journal":{"name":"Iranian journal of veterinary research","volume":"25 4","pages":"326-332"},"PeriodicalIF":1.0000,"publicationDate":"2025-01-01","publicationTypes":"Journal Article","fieldsOfStudy":null,"isOpenAccess":false,"openAccessPdf":"https://www.ncbi.nlm.nih.gov/pmc/articles/PMC12085204/pdf/","citationCount":"0","resultStr":"{\"title\":\"Respiratory and intestinal zoonotic cryptosporidiosis in symptomatic domestic pigeons (<i>Columba livia domestica</i>) in Tabriz, Iran.\",\"authors\":\"M Khordadmehr, A Sazmand, A Oryan, P Almasi, V Ranjbar, A Hemphill, D Otranto\",\"doi\":\"10.22099/ijvr.2024.49762.7335\",\"DOIUrl\":null,\"url\":null,\"abstract\":\"<p><strong>Background: </strong>Domestic pigeons (Columba livia domestica<i>)</i> are the oldest domesticated birds worldwide, harboring many zoonotic parasites and posing potential public health threats.</p><p><strong>Aims: </strong>To investigate cryptosporidiosis in domestic pigeons in Tabriz, Iran, 100 privately owned pigeons presenting weight loss and diarrhea were tested for Cryptosporidium spp. through parasitological, histopathological, and molecular tests.</p><p><strong>Methods: </strong>Modified Ziehl-Neelsen-stained fecal smears and histological sections of the trachea and small intestine were examined microscopically. Genomic DNA of fecal and tracheal specimens was examined by nested conventional PCR targeting <i>18S rDNA</i>, followed by Sanger sequencing of histopathology-confirmed samples and phylogenetic analyses.</p><p><strong>Results: </strong>All pigeons were positive at PCR in their feces and trachea. Oocysts similar to the size of Cryptosporidium species were observed in stained fecal smears of 62% of pigeons. At the histopathological examination, Cryptosporidium<i>-</i>organisms were observed on the apical epithelial surfaces of the small intestine in 84% and trachea in 78% of pigeons. In 23 pigeons, simultaneous tracheal and intestinal cryptosporidiosis was determined. The lesions in affected tracheas and small intestines included hyperemia, villous atrophy and fusion, dilatation of intestinal crypts, irregular epithelial hyperplasia, and sloughing. Diffused mixed inflammatory cell infiltration in the lamina propria was observed, with dominant lymphocytes, plasma cells, and lower numbers of heterophils. Consensus sequences of detected parasites revealed infection with Cryptosporidium parvum and Cryptosporidium meleagridis.</p><p><strong>Conclusion: </strong>Considering the high frequency of cryptosporidiosis reported here in symptomatic birds and that both identified Cryptosporidium species are zoonotic parasites, findings claim a public health risk assessment of this species of animals.</p>\",\"PeriodicalId\":14629,\"journal\":{\"name\":\"Iranian journal of veterinary research\",\"volume\":\"25 4\",\"pages\":\"326-332\"},\"PeriodicalIF\":1.0000,\"publicationDate\":\"2025-01-01\",\"publicationTypes\":\"Journal Article\",\"fieldsOfStudy\":null,\"isOpenAccess\":false,\"openAccessPdf\":\"https://www.ncbi.nlm.nih.gov/pmc/articles/PMC12085204/pdf/\",\"citationCount\":\"0\",\"resultStr\":null,\"platform\":\"Semanticscholar\",\"paperid\":null,\"PeriodicalName\":\"Iranian journal of veterinary research\",\"FirstCategoryId\":\"97\",\"ListUrlMain\":\"https://doi.org/10.22099/ijvr.2024.49762.7335\",\"RegionNum\":4,\"RegionCategory\":\"农林科学\",\"ArticlePicture\":[],\"TitleCN\":null,\"AbstractTextCN\":null,\"PMCID\":null,\"EPubDate\":\"\",\"PubModel\":\"\",\"JCR\":\"Q3\",\"JCRName\":\"VETERINARY SCIENCES\",\"Score\":null,\"Total\":0}","platform":"Semanticscholar","paperid":null,"PeriodicalName":"Iranian journal of veterinary research","FirstCategoryId":"97","ListUrlMain":"https://doi.org/10.22099/ijvr.2024.49762.7335","RegionNum":4,"RegionCategory":"农林科学","ArticlePicture":[],"TitleCN":null,"AbstractTextCN":null,"PMCID":null,"EPubDate":"","PubModel":"","JCR":"Q3","JCRName":"VETERINARY SCIENCES","Score":null,"Total":0}
引用次数: 0

摘要

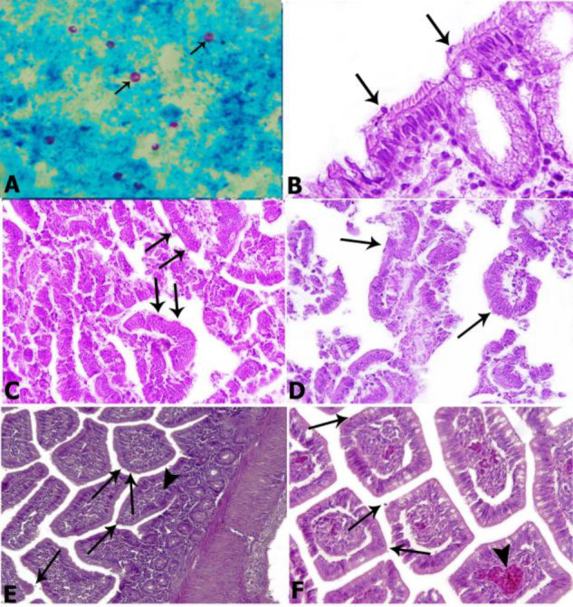
背景:家鸽(Columba livia domestica)是世界上最古老的家禽,携带许多人畜共患寄生虫,对公共卫生构成潜在威胁。目的:对伊朗大不里士(Tabriz)地区100只出现体重下降和腹泻的私人饲养鸽子进行隐孢子虫病病原学、组织病理学和分子检测。方法:采用改良ziehl - neelsen染色粪便涂片及气管、小肠组织切片进行显微检查。采用巢式常规PCR检测粪便和气管标本的基因组DNA,然后对组织病理学证实的样本进行Sanger测序和系统发育分析。结果:所有鸽子的粪便和气管PCR检测均为阳性。在62%的鸽子粪便涂片染色中观察到与隐孢子虫种类大小相似的卵囊。组织病理学检查发现,84%的鸽子小肠和78%的鸽子气管顶端上皮表面可见隐孢子虫。在23只鸽子中,同时发现了气管和肠道隐孢子虫病。受累气管和小肠的病变包括充血、绒毛萎缩融合、肠隐窝扩张、不规则上皮增生和脱落。固有层可见弥漫性混合炎性细胞浸润,以淋巴细胞、浆细胞为主,嗜中性粒细胞较少。检测到的寄生虫一致序列显示感染了细小隐孢子虫和混战隐孢子虫。结论:考虑到本研究报告的有症状鸟类隐孢子虫病的高频率,以及所鉴定的两种隐孢子虫都是人畜共患寄生虫,研究结果要求对该物种的动物进行公共卫生风险评估。
本文章由计算机程序翻译,如有差异,请以英文原文为准。

Respiratory and intestinal zoonotic cryptosporidiosis in symptomatic domestic pigeons (<i>Columba livia domestica</i>) in Tabriz, Iran.

Respiratory and intestinal zoonotic cryptosporidiosis in symptomatic domestic pigeons (<i>Columba livia domestica</i>) in Tabriz, Iran.

Respiratory and intestinal zoonotic cryptosporidiosis in symptomatic domestic pigeons (<i>Columba livia domestica</i>) in Tabriz, Iran.

Respiratory and intestinal zoonotic cryptosporidiosis in symptomatic domestic pigeons (Columba livia domestica) in Tabriz, Iran.

Background: Domestic pigeons (Columba livia domestica) are the oldest domesticated birds worldwide, harboring many zoonotic parasites and posing potential public health threats.

Aims: To investigate cryptosporidiosis in domestic pigeons in Tabriz, Iran, 100 privately owned pigeons presenting weight loss and diarrhea were tested for Cryptosporidium spp. through parasitological, histopathological, and molecular tests.

Methods: Modified Ziehl-Neelsen-stained fecal smears and histological sections of the trachea and small intestine were examined microscopically. Genomic DNA of fecal and tracheal specimens was examined by nested conventional PCR targeting 18S rDNA, followed by Sanger sequencing of histopathology-confirmed samples and phylogenetic analyses.

Results: All pigeons were positive at PCR in their feces and trachea. Oocysts similar to the size of Cryptosporidium species were observed in stained fecal smears of 62% of pigeons. At the histopathological examination, Cryptosporidium-organisms were observed on the apical epithelial surfaces of the small intestine in 84% and trachea in 78% of pigeons. In 23 pigeons, simultaneous tracheal and intestinal cryptosporidiosis was determined. The lesions in affected tracheas and small intestines included hyperemia, villous atrophy and fusion, dilatation of intestinal crypts, irregular epithelial hyperplasia, and sloughing. Diffused mixed inflammatory cell infiltration in the lamina propria was observed, with dominant lymphocytes, plasma cells, and lower numbers of heterophils. Consensus sequences of detected parasites revealed infection with Cryptosporidium parvum and Cryptosporidium meleagridis.

Conclusion: Considering the high frequency of cryptosporidiosis reported here in symptomatic birds and that both identified Cryptosporidium species are zoonotic parasites, findings claim a public health risk assessment of this species of animals.

求助全文
通过发布文献求助,成功后即可免费获取论文全文。 去求助
来源期刊
CiteScore
1.70
自引率
8.30%
发文量
10
期刊介绍: The Iranian Journal of Veterinary Research(IJVR) is published quarterly in 4 issues. The aims of this journal are to improve and expand knowledge in all veterinary fields. It is an international journal indexed by the Thomson Institute for Scientific Information (ISI), Elsevier, Scopus, CAB International, Veterinary Bulletin and several other international databases. Research papers and reports on a wide range of veterinary topics are published in the journal after being evaluated by expert reviewers.The Editor-in-Chief is responsible for the editorial content of the journal—including peer-reviewed manuscripts—and the timing of its publication.
×
引用
GB/T 7714-2015
复制
MLA
复制
APA
复制
导出至
BibTeX EndNote RefMan NoteFirst NoteExpress
×
提示
您的信息不完整,为了账户安全,请先补充。
现在去补充
×
提示
您因"违规操作"
具体请查看互助需知
我知道了
×
提示
确定
请完成安全验证×
copy
已复制链接
快去分享给好友吧!
我知道了
右上角分享
点击右上角分享
0
联系我们:info@booksci.cn Book学术提供免费学术资源搜索服务,方便国内外学者检索中英文文献。致力于提供最便捷和优质的服务体验。 Copyright © 2023 布克学术 All rights reserved.
京ICP备2023020795号-1
ghs 京公网安备 11010802042870号
Book学术文献互助
Book学术文献互助群
群 号:604180095
Book学术官方微信