人工智能和深度学习在利用EUS图像确定胰腺神经内分泌肿瘤组织病理分级中的作用。

IF 5.4 1区 医学 Q1 GASTROENTEROLOGY & HEPATOLOGY
Endoscopic Ultrasound Pub Date : 2025-03-01 Epub Date: 2025-05-02 DOI:10.1097/eus.0000000000000113
Sercan Kiremitci, Gulseren Seven, Gokhan Silahtaroglu, Koray Kochan, Serife Degirmencioglu Tosun, Hakan Senturk
{"title":"人工智能和深度学习在利用EUS图像确定胰腺神经内分泌肿瘤组织病理分级中的作用。","authors":"Sercan Kiremitci, Gulseren Seven, Gokhan Silahtaroglu, Koray Kochan, Serife Degirmencioglu Tosun, Hakan Senturk","doi":"10.1097/eus.0000000000000113","DOIUrl":null,"url":null,"abstract":"<p><strong>Background and objectives: </strong>Pancreatic neuroendocrine tumors (pNETs) are relatively rare and consist of 2% of the all pancreatic tumors. Although some of pNETs have a benign, nonprogressive course, some may be progressive and result with metastasis. We aimed to estimate the grade of pNETs by using artificial intelligence (AI) via deep learning (DL) algorithms as indexing to cyto/histopathological classification according to the World Health Organization 2017.</p><p><strong>Methods: </strong>A total of 803 EUS images were collected from 44 patients who had a cyto/histo-pathologically confirmed diagnosis with EUS fine-needle aspiration or biopsy (FNA/B). First, raw EUS images were prepared for processing by AI via DL algorithms, and convolutional neural networks were utilized to train the machine to predict the grades from EUS images. IBM SPSS 25.0 program was used for statistical analyses.</p><p><strong>Results: </strong>Thirty of the 44 patients (68%) were female, with a median age of 61 (range, 16-80) years. pNETs were mostly located in the pancreatic head: 24 cases (55%). Location was the neck in 3 (7%), body in 10 (22%), and tail in 7 (16%) patients. According to EUS-FNA/B results, 27 patients were grade 1 (G1) (61%); 12, grade 2 (G2) (27%); and 5, grade 3 (G3) (12%). In reference to the performance of AI for predicting the pathological grade, sensitivity was 94.29%; specificity, 97.14%; and accuracy, 96.19%. When the patient groups were subanalyzed as G1, G2, and G3 by the AI model to predict the pathological grade, the accuracy was as follows: for G1, 93.15%; for G2, 91.61%; and for G3, 98.05%.</p><p><strong>Conclusions: </strong>This pilot study suggests that pNET grade prediction can be reliably done on EUS images using AI-based technology.</p>","PeriodicalId":11577,"journal":{"name":"Endoscopic Ultrasound","volume":"14 2","pages":"48-56"},"PeriodicalIF":5.4000,"publicationDate":"2025-03-01","publicationTypes":"Journal Article","fieldsOfStudy":null,"isOpenAccess":false,"openAccessPdf":"https://www.ncbi.nlm.nih.gov/pmc/articles/PMC12080687/pdf/","citationCount":"0","resultStr":"{\"title\":\"The role of artificial intelligence and deep learning in determining the histopathological grade of pancreatic neuroendocrine tumors by using EUS images.\",\"authors\":\"Sercan Kiremitci, Gulseren Seven, Gokhan Silahtaroglu, Koray Kochan, Serife Degirmencioglu Tosun, Hakan Senturk\",\"doi\":\"10.1097/eus.0000000000000113\",\"DOIUrl\":null,\"url\":null,\"abstract\":\"<p><strong>Background and objectives: </strong>Pancreatic neuroendocrine tumors (pNETs) are relatively rare and consist of 2% of the all pancreatic tumors. Although some of pNETs have a benign, nonprogressive course, some may be progressive and result with metastasis. We aimed to estimate the grade of pNETs by using artificial intelligence (AI) via deep learning (DL) algorithms as indexing to cyto/histopathological classification according to the World Health Organization 2017.</p><p><strong>Methods: </strong>A total of 803 EUS images were collected from 44 patients who had a cyto/histo-pathologically confirmed diagnosis with EUS fine-needle aspiration or biopsy (FNA/B). First, raw EUS images were prepared for processing by AI via DL algorithms, and convolutional neural networks were utilized to train the machine to predict the grades from EUS images. IBM SPSS 25.0 program was used for statistical analyses.</p><p><strong>Results: </strong>Thirty of the 44 patients (68%) were female, with a median age of 61 (range, 16-80) years. pNETs were mostly located in the pancreatic head: 24 cases (55%). Location was the neck in 3 (7%), body in 10 (22%), and tail in 7 (16%) patients. According to EUS-FNA/B results, 27 patients were grade 1 (G1) (61%); 12, grade 2 (G2) (27%); and 5, grade 3 (G3) (12%). In reference to the performance of AI for predicting the pathological grade, sensitivity was 94.29%; specificity, 97.14%; and accuracy, 96.19%. When the patient groups were subanalyzed as G1, G2, and G3 by the AI model to predict the pathological grade, the accuracy was as follows: for G1, 93.15%; for G2, 91.61%; and for G3, 98.05%.</p><p><strong>Conclusions: </strong>This pilot study suggests that pNET grade prediction can be reliably done on EUS images using AI-based technology.</p>\",\"PeriodicalId\":11577,\"journal\":{\"name\":\"Endoscopic Ultrasound\",\"volume\":\"14 2\",\"pages\":\"48-56\"},\"PeriodicalIF\":5.4000,\"publicationDate\":\"2025-03-01\",\"publicationTypes\":\"Journal Article\",\"fieldsOfStudy\":null,\"isOpenAccess\":false,\"openAccessPdf\":\"https://www.ncbi.nlm.nih.gov/pmc/articles/PMC12080687/pdf/\",\"citationCount\":\"0\",\"resultStr\":null,\"platform\":\"Semanticscholar\",\"paperid\":null,\"PeriodicalName\":\"Endoscopic Ultrasound\",\"FirstCategoryId\":\"3\",\"ListUrlMain\":\"https://doi.org/10.1097/eus.0000000000000113\",\"RegionNum\":1,\"RegionCategory\":\"医学\",\"ArticlePicture\":[],\"TitleCN\":null,\"AbstractTextCN\":null,\"PMCID\":null,\"EPubDate\":\"2025/5/2 0:00:00\",\"PubModel\":\"Epub\",\"JCR\":\"Q1\",\"JCRName\":\"GASTROENTEROLOGY & HEPATOLOGY\",\"Score\":null,\"Total\":0}","platform":"Semanticscholar","paperid":null,"PeriodicalName":"Endoscopic Ultrasound","FirstCategoryId":"3","ListUrlMain":"https://doi.org/10.1097/eus.0000000000000113","RegionNum":1,"RegionCategory":"医学","ArticlePicture":[],"TitleCN":null,"AbstractTextCN":null,"PMCID":null,"EPubDate":"2025/5/2 0:00:00","PubModel":"Epub","JCR":"Q1","JCRName":"GASTROENTEROLOGY & HEPATOLOGY","Score":null,"Total":0}
引用次数: 0

摘要

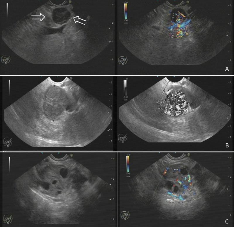
背景与目的:胰腺神经内分泌肿瘤(pNETs)相对罕见,约占胰腺肿瘤的2%。虽然一些pNETs是良性的、非进展性的,但有些可能是进展性的并导致转移。我们的目的是通过使用人工智能(AI),通过深度学习(DL)算法作为索引,根据世界卫生组织2017年的细胞/组织病理学分类,来估计pNETs的等级。方法:收集44例经EUS细针穿刺或活检(FNA/B)诊断为细胞/组织病理学证实的患者的803张EUS图像。首先,人工智能通过深度学习算法对EUS原始图像进行处理,并利用卷积神经网络对机器进行训练,从EUS图像中预测评分。采用IBM SPSS 25.0软件进行统计分析。结果:44例患者中30例(68%)为女性,中位年龄61岁(范围16 ~ 80岁)。pNETs多位于胰头:24例(55%)。颈部3例(7%),身体10例(22%),尾部7例(16%)。根据EUS-FNA/B结果,27例患者为1级(G1) (61%);12, 2级(G2) (27%);5年级(G3)(12%)。对比人工智能预测病理分级的表现,敏感性为94.29%;特异性,97.14%;准确率为96.19%。采用AI模型将患者分组细分为G1、G2、G3预测病理分级,准确率为:G1组为93.15%;G2为91.61%;G3为98.05%。结论:这项初步研究表明,使用基于人工智能的技术可以可靠地对EUS图像进行pNET分级预测。
本文章由计算机程序翻译,如有差异,请以英文原文为准。

The role of artificial intelligence and deep learning in determining the histopathological grade of pancreatic neuroendocrine tumors by using EUS images.

The role of artificial intelligence and deep learning in determining the histopathological grade of pancreatic neuroendocrine tumors by using EUS images.

The role of artificial intelligence and deep learning in determining the histopathological grade of pancreatic neuroendocrine tumors by using EUS images.

The role of artificial intelligence and deep learning in determining the histopathological grade of pancreatic neuroendocrine tumors by using EUS images.

Background and objectives: Pancreatic neuroendocrine tumors (pNETs) are relatively rare and consist of 2% of the all pancreatic tumors. Although some of pNETs have a benign, nonprogressive course, some may be progressive and result with metastasis. We aimed to estimate the grade of pNETs by using artificial intelligence (AI) via deep learning (DL) algorithms as indexing to cyto/histopathological classification according to the World Health Organization 2017.

Methods: A total of 803 EUS images were collected from 44 patients who had a cyto/histo-pathologically confirmed diagnosis with EUS fine-needle aspiration or biopsy (FNA/B). First, raw EUS images were prepared for processing by AI via DL algorithms, and convolutional neural networks were utilized to train the machine to predict the grades from EUS images. IBM SPSS 25.0 program was used for statistical analyses.

Results: Thirty of the 44 patients (68%) were female, with a median age of 61 (range, 16-80) years. pNETs were mostly located in the pancreatic head: 24 cases (55%). Location was the neck in 3 (7%), body in 10 (22%), and tail in 7 (16%) patients. According to EUS-FNA/B results, 27 patients were grade 1 (G1) (61%); 12, grade 2 (G2) (27%); and 5, grade 3 (G3) (12%). In reference to the performance of AI for predicting the pathological grade, sensitivity was 94.29%; specificity, 97.14%; and accuracy, 96.19%. When the patient groups were subanalyzed as G1, G2, and G3 by the AI model to predict the pathological grade, the accuracy was as follows: for G1, 93.15%; for G2, 91.61%; and for G3, 98.05%.

Conclusions: This pilot study suggests that pNET grade prediction can be reliably done on EUS images using AI-based technology.

求助全文
通过发布文献求助,成功后即可免费获取论文全文。 去求助
来源期刊
Endoscopic Ultrasound
Endoscopic Ultrasound GASTROENTEROLOGY & HEPATOLOGY-
CiteScore
6.20
自引率
11.10%
发文量
144
期刊介绍: Endoscopic Ultrasound, a publication of Euro-EUS Scientific Committee, Asia-Pacific EUS Task Force and Latin American Chapter of EUS, is a peer-reviewed online journal with Quarterly print on demand compilation of issues published. The journal’s full text is available online at http://www.eusjournal.com. The journal allows free access (Open Access) to its contents and permits authors to self-archive final accepted version of the articles on any OAI-compliant institutional / subject-based repository. The journal does not charge for submission, processing or publication of manuscripts and even for color reproduction of photographs.
×
引用
GB/T 7714-2015
复制
MLA
复制
APA
复制
导出至
BibTeX EndNote RefMan NoteFirst NoteExpress
×
提示
您的信息不完整,为了账户安全,请先补充。
现在去补充
×
提示
您因"违规操作"
具体请查看互助需知
我知道了
×
提示
确定
请完成安全验证×
copy
已复制链接
快去分享给好友吧!
我知道了
右上角分享
点击右上角分享
0
联系我们:info@booksci.cn Book学术提供免费学术资源搜索服务,方便国内外学者检索中英文文献。致力于提供最便捷和优质的服务体验。 Copyright © 2023 布克学术 All rights reserved.
京ICP备2023020795号-1
ghs 京公网安备 11010802042870号
Book学术文献互助
Book学术文献互助群
群 号:604180095
Book学术官方微信