战胜困难:alk重排肺癌患者在阿勒替尼治疗下成功怀孕。

IF 0.7 Q3 MEDICINE, GENERAL & INTERNAL
Case Reports in Medicine Pub Date : 2025-05-10 eCollection Date: 2025-01-01 DOI:10.1155/carm/9032427
Nicholas Yeo, Fiona Johnston, Louise Fay, Paul Lilburn, Debra Kennedy, Helen Barrett, Antonia Shand, Giselle Kidson-Gerber, Monica Tang, Daniel Challis, Benjamin Y Kong
{"title":"战胜困难:alk重排肺癌患者在阿勒替尼治疗下成功怀孕。","authors":"Nicholas Yeo, Fiona Johnston, Louise Fay, Paul Lilburn, Debra Kennedy, Helen Barrett, Antonia Shand, Giselle Kidson-Gerber, Monica Tang, Daniel Challis, Benjamin Y Kong","doi":"10.1155/carm/9032427","DOIUrl":null,"url":null,"abstract":"<p><p>The management of oncogene-driven non-small cell lung cancer (NSCLC) during pregnancy presents unique challenges due to limited safety data on targeted therapies. Anaplastic lymphoma kinase (ALK)-rearranged NSCLC is a rare but increasingly recognized entity in young women, including during pregnancy. Here, we report the case of a 37-year-old woman diagnosed with metastatic ALK-rearranged NSCLC during her first pregnancy, who was commenced on alectinib. Following this, she had a successful second pregnancy whilst being treated with alectinib (withheld during weeks 6-10 of gestation to avoid the critical period of organogenesis). Both pregnancies resulted in healthy infants with no complications or evidence of developmental delays. This case highlights the importance of a multidisciplinary approach involving oncology, maternal-fetal medicine, clinical genetics, obstetrics medicine, and obstetrics to balance maternal cancer control and fetal health. While preclinical studies of alectinib suggest teratogenic risks, this and other reported cases demonstrate its potential for safe use during pregnancy with careful planning. Pathological examination of the placenta in our case revealed no malignant cells, and maternal disease remained controlled. As targeted therapies extend survival in advanced NSCLC, more patients may contemplate pregnancy, emphasizing the need for robust evidence to guide treatment decisions. This case contributes to the growing body of evidence supporting the feasibility of managing pregnancy in patients with ALK-rearranged NSCLC using targeted therapies like alectinib, while underscoring the importance of long-term follow-up for the exposed offspring.</p>","PeriodicalId":9627,"journal":{"name":"Case Reports in Medicine","volume":"2025 ","pages":"9032427"},"PeriodicalIF":0.7000,"publicationDate":"2025-05-10","publicationTypes":"Journal Article","fieldsOfStudy":null,"isOpenAccess":false,"openAccessPdf":"https://www.ncbi.nlm.nih.gov/pmc/articles/PMC12085245/pdf/","citationCount":"0","resultStr":"{\"title\":\"Beating the Odds: A Successful Pregnancy in a Patient With ALK-Rearranged Lung Cancer on Alectinib.\",\"authors\":\"Nicholas Yeo, Fiona Johnston, Louise Fay, Paul Lilburn, Debra Kennedy, Helen Barrett, Antonia Shand, Giselle Kidson-Gerber, Monica Tang, Daniel Challis, Benjamin Y Kong\",\"doi\":\"10.1155/carm/9032427\",\"DOIUrl\":null,\"url\":null,\"abstract\":\"<p><p>The management of oncogene-driven non-small cell lung cancer (NSCLC) during pregnancy presents unique challenges due to limited safety data on targeted therapies. Anaplastic lymphoma kinase (ALK)-rearranged NSCLC is a rare but increasingly recognized entity in young women, including during pregnancy. Here, we report the case of a 37-year-old woman diagnosed with metastatic ALK-rearranged NSCLC during her first pregnancy, who was commenced on alectinib. Following this, she had a successful second pregnancy whilst being treated with alectinib (withheld during weeks 6-10 of gestation to avoid the critical period of organogenesis). Both pregnancies resulted in healthy infants with no complications or evidence of developmental delays. This case highlights the importance of a multidisciplinary approach involving oncology, maternal-fetal medicine, clinical genetics, obstetrics medicine, and obstetrics to balance maternal cancer control and fetal health. While preclinical studies of alectinib suggest teratogenic risks, this and other reported cases demonstrate its potential for safe use during pregnancy with careful planning. Pathological examination of the placenta in our case revealed no malignant cells, and maternal disease remained controlled. As targeted therapies extend survival in advanced NSCLC, more patients may contemplate pregnancy, emphasizing the need for robust evidence to guide treatment decisions. This case contributes to the growing body of evidence supporting the feasibility of managing pregnancy in patients with ALK-rearranged NSCLC using targeted therapies like alectinib, while underscoring the importance of long-term follow-up for the exposed offspring.</p>\",\"PeriodicalId\":9627,\"journal\":{\"name\":\"Case Reports in Medicine\",\"volume\":\"2025 \",\"pages\":\"9032427\"},\"PeriodicalIF\":0.7000,\"publicationDate\":\"2025-05-10\",\"publicationTypes\":\"Journal Article\",\"fieldsOfStudy\":null,\"isOpenAccess\":false,\"openAccessPdf\":\"https://www.ncbi.nlm.nih.gov/pmc/articles/PMC12085245/pdf/\",\"citationCount\":\"0\",\"resultStr\":null,\"platform\":\"Semanticscholar\",\"paperid\":null,\"PeriodicalName\":\"Case Reports in Medicine\",\"FirstCategoryId\":\"1085\",\"ListUrlMain\":\"https://doi.org/10.1155/carm/9032427\",\"RegionNum\":0,\"RegionCategory\":null,\"ArticlePicture\":[],\"TitleCN\":null,\"AbstractTextCN\":null,\"PMCID\":null,\"EPubDate\":\"2025/1/1 0:00:00\",\"PubModel\":\"eCollection\",\"JCR\":\"Q3\",\"JCRName\":\"MEDICINE, GENERAL & INTERNAL\",\"Score\":null,\"Total\":0}","platform":"Semanticscholar","paperid":null,"PeriodicalName":"Case Reports in Medicine","FirstCategoryId":"1085","ListUrlMain":"https://doi.org/10.1155/carm/9032427","RegionNum":0,"RegionCategory":null,"ArticlePicture":[],"TitleCN":null,"AbstractTextCN":null,"PMCID":null,"EPubDate":"2025/1/1 0:00:00","PubModel":"eCollection","JCR":"Q3","JCRName":"MEDICINE, GENERAL & INTERNAL","Score":null,"Total":0}
引用次数: 0

摘要

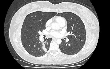
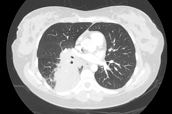
由于靶向治疗的安全性数据有限,妊娠期间癌基因驱动的非小细胞肺癌(NSCLC)的管理面临着独特的挑战。间变性淋巴瘤激酶(ALK)重排非小细胞肺癌是一种罕见的疾病,但越来越多的人认识到它存在于年轻女性中,包括怀孕期间。在这里,我们报告一例37岁的女性在她的第一次怀孕期间被诊断为转移性alk重排NSCLC,她开始使用alectiinib。在此之后,她成功地进行了第二次怀孕,同时接受了alectinib治疗(在妊娠6-10周期间暂停,以避免器官发生的关键时期)。两次怀孕都产生了健康的婴儿,没有并发症或发育迟缓的迹象。本病例强调了多学科方法的重要性,包括肿瘤学、母胎医学、临床遗传学、产科医学和产科,以平衡孕产妇癌症控制和胎儿健康。虽然临床前研究表明阿勒替尼有致畸风险,但这一病例和其他报道的病例表明,在仔细计划的情况下,妊娠期间使用阿勒替尼是安全的。本例胎盘病理检查未发现恶性细胞,母体疾病得到控制。随着靶向治疗延长晚期非小细胞肺癌的生存期,更多的患者可能会考虑怀孕,这强调了需要强有力的证据来指导治疗决策。该病例提供了越来越多的证据,支持alk重排NSCLC患者使用alectinib等靶向治疗来管理妊娠的可行性,同时强调了对暴露后代进行长期随访的重要性。
本文章由计算机程序翻译,如有差异,请以英文原文为准。

Beating the Odds: A Successful Pregnancy in a Patient With ALK-Rearranged Lung Cancer on Alectinib.

Beating the Odds: A Successful Pregnancy in a Patient With ALK-Rearranged Lung Cancer on Alectinib.

Beating the Odds: A Successful Pregnancy in a Patient With ALK-Rearranged Lung Cancer on Alectinib.

Beating the Odds: A Successful Pregnancy in a Patient With ALK-Rearranged Lung Cancer on Alectinib.

The management of oncogene-driven non-small cell lung cancer (NSCLC) during pregnancy presents unique challenges due to limited safety data on targeted therapies. Anaplastic lymphoma kinase (ALK)-rearranged NSCLC is a rare but increasingly recognized entity in young women, including during pregnancy. Here, we report the case of a 37-year-old woman diagnosed with metastatic ALK-rearranged NSCLC during her first pregnancy, who was commenced on alectinib. Following this, she had a successful second pregnancy whilst being treated with alectinib (withheld during weeks 6-10 of gestation to avoid the critical period of organogenesis). Both pregnancies resulted in healthy infants with no complications or evidence of developmental delays. This case highlights the importance of a multidisciplinary approach involving oncology, maternal-fetal medicine, clinical genetics, obstetrics medicine, and obstetrics to balance maternal cancer control and fetal health. While preclinical studies of alectinib suggest teratogenic risks, this and other reported cases demonstrate its potential for safe use during pregnancy with careful planning. Pathological examination of the placenta in our case revealed no malignant cells, and maternal disease remained controlled. As targeted therapies extend survival in advanced NSCLC, more patients may contemplate pregnancy, emphasizing the need for robust evidence to guide treatment decisions. This case contributes to the growing body of evidence supporting the feasibility of managing pregnancy in patients with ALK-rearranged NSCLC using targeted therapies like alectinib, while underscoring the importance of long-term follow-up for the exposed offspring.

求助全文
通过发布文献求助,成功后即可免费获取论文全文。 去求助
来源期刊
Case Reports in Medicine
Case Reports in Medicine MEDICINE, GENERAL & INTERNAL-
CiteScore
1.70
自引率
0.00%
发文量
53
审稿时长
13 weeks
×
引用
GB/T 7714-2015
复制
MLA
复制
APA
复制
导出至
BibTeX EndNote RefMan NoteFirst NoteExpress
×
提示
您的信息不完整,为了账户安全,请先补充。
现在去补充
×
提示
您因"违规操作"
具体请查看互助需知
我知道了
×
提示
确定
请完成安全验证×
copy
已复制链接
快去分享给好友吧!
我知道了
右上角分享
点击右上角分享
0
联系我们:info@booksci.cn Book学术提供免费学术资源搜索服务,方便国内外学者检索中英文文献。致力于提供最便捷和优质的服务体验。 Copyright © 2023 布克学术 All rights reserved.
京ICP备2023020795号-1
ghs 京公网安备 11010802042870号
Book学术文献互助
Book学术文献互助群
群 号:604180095
Book学术官方微信