煤矿粉尘暴露和吸烟对阿巴拉契亚煤矿工人肺部疾病的影响。

IF 5.8 2区 医学 Q1 Medicine
Rahul G Sangani, Andrew J Ghio, Vishal Deepak, Javeria Anwar, Vinita Vaidya, Zalak Patel, Amirahwaty Abdullah
{"title":"煤矿粉尘暴露和吸烟对阿巴拉契亚煤矿工人肺部疾病的影响。","authors":"Rahul G Sangani, Andrew J Ghio, Vishal Deepak, Javeria Anwar, Vinita Vaidya, Zalak Patel, Amirahwaty Abdullah","doi":"10.1186/s12931-025-03260-3","DOIUrl":null,"url":null,"abstract":"<p><strong>Introduction: </strong>Interactions have been demonstrated between cigarette smoking (CS) and occupational exposures to several particles. This study tested the postulate that CS interacts with coal mine dust exposure to impact and change radiological and histological endpoints of coal mine dust lung disease.</p><p><strong>Methods: </strong>A retrospective evaluation of coalminers with a high-resolution computed tomography (HRCT) of the chest was conducted at West Virginia University Hospital (2015- 2022). There was a consensus review of both radiology and histology findings and their comparative analysis with a non-miner surgical resection cohort collected from thoracic oncology clinic.</p><p><strong>Results: </strong>The study cohort (n=556) was divided into groups: coal-/smoking- (8.3%), coal-/smoking+ (26.6%), coal+/smoking- (22.3%), and coal+/smoking+ (42.8%). Miners were older males with a median duration of coal mine work (CMW) of 30-years. Ever-smokers (66% of miner cohort and 76% of non-miner cohort) smoked 35 and 28 composite pack years (CPY) respectively, where miners had greater intensity of smoking (22 vs 18 cigarettes/day) compared to non-miners. On HRCT, 1/3<sup>rd</sup> and 1/5<sup>th</sup> of miners had simple and complicated coal workers' pneumoconiosis (sCWP and cCWP), respectively. 35% of ever-smoking miners had radiologic patterns for probable usual interstitial pneumonitis, nonspecific interstitial pneumonitis, desquamative interstitial pneumonitis, and combined pulmonary fibrosis and emphysema. Radiologically, both coal-/smoking+ and coal+/smoking+ showed excessive emphysema (70-80%). Histologically, miners had more fibrosis (47% and 50% in coal+/smoking- and coal+/smoking+ vs. 11% and 28% in coal-/smoking- and coal-/smoking+). Never-smoking miners demonstrated more histological evidence of CWP than ever-smokers (60% and 27%); in addition, they had radiologic and histologic emphysema (30%), radiologic interstitial lung disease (ILD) (14.5%) and histologic evidence of fibrosis (47%). Ever-smokers demonstrated histologic emphysema more frequently (33% and 67% in coal+/smoking- and coal+/smoking+ vs. 24% and 72% in coal-/smoking- and coal-/smoking+). Logistic regression modeling showed the following associations: radiologic and histologic emphysema with CPY; histologic fibrosis, any ILD (not including RB-ILD), CPFE and anthracosis with both CPY and CMW; radiologic RB-ILD inclusive of small-opacities, cCWP with both CMW and silica; and sCWP and pulmonary artery dilation with CMW. Interestingly, CPY≥30 negatively correlated with radiologic cCWP and histologic CWP. Mortality was increased in smokers (14% and 29% in coal+/smoking- and coal+/smoking+ vs. 4% and 20% in coal-/smoking- and coal-/smoking+) with predictors being radiologic ILD, histologic CWP, and related co-morbid diseases including COPD, chronic kidney disease, and gastroesophageal reflux.</p><p><strong>Conclusion: </strong>CS demonstrated a major impact on miners' health including changing radiologic and histologic endpoints of interstitial lung diseases and emphysema.</p>","PeriodicalId":49131,"journal":{"name":"Respiratory Research","volume":"26 1","pages":"184"},"PeriodicalIF":5.8000,"publicationDate":"2025-05-14","publicationTypes":"Journal Article","fieldsOfStudy":null,"isOpenAccess":false,"openAccessPdf":"https://www.ncbi.nlm.nih.gov/pmc/articles/PMC12079898/pdf/","citationCount":"0","resultStr":"{\"title\":\"Impact of coal mine dust exposure and cigarette smoking on lung disease in Appalachian coalminers.\",\"authors\":\"Rahul G Sangani, Andrew J Ghio, Vishal Deepak, Javeria Anwar, Vinita Vaidya, Zalak Patel, Amirahwaty Abdullah\",\"doi\":\"10.1186/s12931-025-03260-3\",\"DOIUrl\":null,\"url\":null,\"abstract\":\"<p><strong>Introduction: </strong>Interactions have been demonstrated between cigarette smoking (CS) and occupational exposures to several particles. This study tested the postulate that CS interacts with coal mine dust exposure to impact and change radiological and histological endpoints of coal mine dust lung disease.</p><p><strong>Methods: </strong>A retrospective evaluation of coalminers with a high-resolution computed tomography (HRCT) of the chest was conducted at West Virginia University Hospital (2015- 2022). There was a consensus review of both radiology and histology findings and their comparative analysis with a non-miner surgical resection cohort collected from thoracic oncology clinic.</p><p><strong>Results: </strong>The study cohort (n=556) was divided into groups: coal-/smoking- (8.3%), coal-/smoking+ (26.6%), coal+/smoking- (22.3%), and coal+/smoking+ (42.8%). Miners were older males with a median duration of coal mine work (CMW) of 30-years. Ever-smokers (66% of miner cohort and 76% of non-miner cohort) smoked 35 and 28 composite pack years (CPY) respectively, where miners had greater intensity of smoking (22 vs 18 cigarettes/day) compared to non-miners. On HRCT, 1/3<sup>rd</sup> and 1/5<sup>th</sup> of miners had simple and complicated coal workers' pneumoconiosis (sCWP and cCWP), respectively. 35% of ever-smoking miners had radiologic patterns for probable usual interstitial pneumonitis, nonspecific interstitial pneumonitis, desquamative interstitial pneumonitis, and combined pulmonary fibrosis and emphysema. Radiologically, both coal-/smoking+ and coal+/smoking+ showed excessive emphysema (70-80%). Histologically, miners had more fibrosis (47% and 50% in coal+/smoking- and coal+/smoking+ vs. 11% and 28% in coal-/smoking- and coal-/smoking+). Never-smoking miners demonstrated more histological evidence of CWP than ever-smokers (60% and 27%); in addition, they had radiologic and histologic emphysema (30%), radiologic interstitial lung disease (ILD) (14.5%) and histologic evidence of fibrosis (47%). Ever-smokers demonstrated histologic emphysema more frequently (33% and 67% in coal+/smoking- and coal+/smoking+ vs. 24% and 72% in coal-/smoking- and coal-/smoking+). Logistic regression modeling showed the following associations: radiologic and histologic emphysema with CPY; histologic fibrosis, any ILD (not including RB-ILD), CPFE and anthracosis with both CPY and CMW; radiologic RB-ILD inclusive of small-opacities, cCWP with both CMW and silica; and sCWP and pulmonary artery dilation with CMW. Interestingly, CPY≥30 negatively correlated with radiologic cCWP and histologic CWP. Mortality was increased in smokers (14% and 29% in coal+/smoking- and coal+/smoking+ vs. 4% and 20% in coal-/smoking- and coal-/smoking+) with predictors being radiologic ILD, histologic CWP, and related co-morbid diseases including COPD, chronic kidney disease, and gastroesophageal reflux.</p><p><strong>Conclusion: </strong>CS demonstrated a major impact on miners' health including changing radiologic and histologic endpoints of interstitial lung diseases and emphysema.</p>\",\"PeriodicalId\":49131,\"journal\":{\"name\":\"Respiratory Research\",\"volume\":\"26 1\",\"pages\":\"184\"},\"PeriodicalIF\":5.8000,\"publicationDate\":\"2025-05-14\",\"publicationTypes\":\"Journal Article\",\"fieldsOfStudy\":null,\"isOpenAccess\":false,\"openAccessPdf\":\"https://www.ncbi.nlm.nih.gov/pmc/articles/PMC12079898/pdf/\",\"citationCount\":\"0\",\"resultStr\":null,\"platform\":\"Semanticscholar\",\"paperid\":null,\"PeriodicalName\":\"Respiratory Research\",\"FirstCategoryId\":\"3\",\"ListUrlMain\":\"https://doi.org/10.1186/s12931-025-03260-3\",\"RegionNum\":2,\"RegionCategory\":\"医学\",\"ArticlePicture\":[],\"TitleCN\":null,\"AbstractTextCN\":null,\"PMCID\":null,\"EPubDate\":\"\",\"PubModel\":\"\",\"JCR\":\"Q1\",\"JCRName\":\"Medicine\",\"Score\":null,\"Total\":0}","platform":"Semanticscholar","paperid":null,"PeriodicalName":"Respiratory Research","FirstCategoryId":"3","ListUrlMain":"https://doi.org/10.1186/s12931-025-03260-3","RegionNum":2,"RegionCategory":"医学","ArticlePicture":[],"TitleCN":null,"AbstractTextCN":null,"PMCID":null,"EPubDate":"","PubModel":"","JCR":"Q1","JCRName":"Medicine","Score":null,"Total":0}
引用次数: 0

摘要

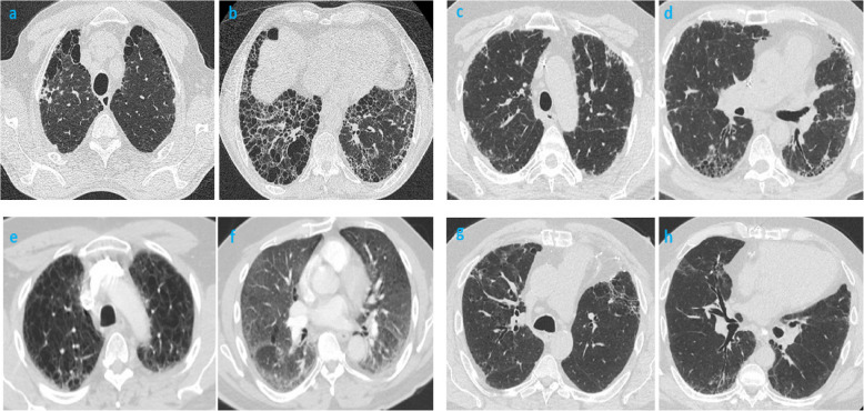
导言:已经证明吸烟(CS)与职业性暴露于几种颗粒之间存在相互作用。本研究检验了CS与煤矿粉尘暴露相互作用对煤矿粉尘肺病的影响和改变放射学和组织学终点的假设。方法:对2015- 2022年在西弗吉尼亚大学医院接受胸部高分辨率计算机断层扫描(HRCT)的矿工进行回顾性评估。对放射学和组织学结果进行了一致的回顾,并与从胸部肿瘤诊所收集的非矿工手术切除队列进行了比较分析。结果:研究队列(n=556)分为煤-/吸烟-组(8.3%)、煤-/吸烟+组(26.6%)、煤+/吸烟-组(22.3%)、煤+/吸烟+组(42.8%)。矿工为年龄较大的男性,中位煤矿工作时间(CMW)为30年。吸烟者(66%的矿工和76%的非矿工)分别吸烟35和28复合包年(CPY),其中矿工的吸烟强度比非矿工更大(22对18支/天)。在HRCT上,1/3和1/5的矿工分别为简单和复杂煤工尘肺(sCWP和cCWP)。有吸烟史的矿工中有35%的放射学表现可能为普通间质性肺炎、非特异性间质性肺炎、脱屑性间质性肺炎以及合并肺纤维化和肺气肿。影像学上,煤/吸烟+和煤+/吸烟+均表现为过度肺气肿(70-80%)。组织学上,矿工有更多的纤维化(煤+/吸烟组和煤+/吸烟组分别为47%和50%,煤-/吸烟组和煤-/吸烟组分别为11%和28%)。从不吸烟的矿工比从不吸烟的矿工表现出更多的CWP组织学证据(60%和27%);此外,他们有放射学和组织学肺气肿(30%),放射学间质性肺疾病(ILD)(14.5%)和组织学纤维化证据(47%)。曾经吸烟的人更常表现为组织学肺气肿(煤+/吸烟组和煤+/吸烟组分别为33%和67%,煤-/吸烟组和煤-/吸烟组分别为24%和72%)。Logistic回归模型显示以下相关性:放射学和组织学肺气肿与CPY;组织学纤维化,任何ILD(不包括RB-ILD), CPFE和伴CPY和CMW的炭疽;放射学RB-ILD包括小混浊,cCWP同时伴有CMW和二氧化硅;CMW伴sCWP和肺动脉扩张。有趣的是,CPY≥30与放射学cCWP和组织学CWP呈负相关。吸烟者的死亡率增加(煤+/吸烟组和煤+/吸烟组分别为14%和29%,煤-/吸烟组和煤-/吸烟组分别为4%和20%),预测因素包括放射学上的ILD、组织学上的CWP和相关的合并症,包括COPD、慢性肾病和胃食管反流。结论:CS对矿工的健康有重要影响,包括改变肺间质性疾病和肺气肿的放射学和组织学终点。
本文章由计算机程序翻译,如有差异,请以英文原文为准。

Impact of coal mine dust exposure and cigarette smoking on lung disease in Appalachian coalminers.

Impact of coal mine dust exposure and cigarette smoking on lung disease in Appalachian coalminers.

Impact of coal mine dust exposure and cigarette smoking on lung disease in Appalachian coalminers.

Introduction: Interactions have been demonstrated between cigarette smoking (CS) and occupational exposures to several particles. This study tested the postulate that CS interacts with coal mine dust exposure to impact and change radiological and histological endpoints of coal mine dust lung disease.

Methods: A retrospective evaluation of coalminers with a high-resolution computed tomography (HRCT) of the chest was conducted at West Virginia University Hospital (2015- 2022). There was a consensus review of both radiology and histology findings and their comparative analysis with a non-miner surgical resection cohort collected from thoracic oncology clinic.

Results: The study cohort (n=556) was divided into groups: coal-/smoking- (8.3%), coal-/smoking+ (26.6%), coal+/smoking- (22.3%), and coal+/smoking+ (42.8%). Miners were older males with a median duration of coal mine work (CMW) of 30-years. Ever-smokers (66% of miner cohort and 76% of non-miner cohort) smoked 35 and 28 composite pack years (CPY) respectively, where miners had greater intensity of smoking (22 vs 18 cigarettes/day) compared to non-miners. On HRCT, 1/3rd and 1/5th of miners had simple and complicated coal workers' pneumoconiosis (sCWP and cCWP), respectively. 35% of ever-smoking miners had radiologic patterns for probable usual interstitial pneumonitis, nonspecific interstitial pneumonitis, desquamative interstitial pneumonitis, and combined pulmonary fibrosis and emphysema. Radiologically, both coal-/smoking+ and coal+/smoking+ showed excessive emphysema (70-80%). Histologically, miners had more fibrosis (47% and 50% in coal+/smoking- and coal+/smoking+ vs. 11% and 28% in coal-/smoking- and coal-/smoking+). Never-smoking miners demonstrated more histological evidence of CWP than ever-smokers (60% and 27%); in addition, they had radiologic and histologic emphysema (30%), radiologic interstitial lung disease (ILD) (14.5%) and histologic evidence of fibrosis (47%). Ever-smokers demonstrated histologic emphysema more frequently (33% and 67% in coal+/smoking- and coal+/smoking+ vs. 24% and 72% in coal-/smoking- and coal-/smoking+). Logistic regression modeling showed the following associations: radiologic and histologic emphysema with CPY; histologic fibrosis, any ILD (not including RB-ILD), CPFE and anthracosis with both CPY and CMW; radiologic RB-ILD inclusive of small-opacities, cCWP with both CMW and silica; and sCWP and pulmonary artery dilation with CMW. Interestingly, CPY≥30 negatively correlated with radiologic cCWP and histologic CWP. Mortality was increased in smokers (14% and 29% in coal+/smoking- and coal+/smoking+ vs. 4% and 20% in coal-/smoking- and coal-/smoking+) with predictors being radiologic ILD, histologic CWP, and related co-morbid diseases including COPD, chronic kidney disease, and gastroesophageal reflux.

Conclusion: CS demonstrated a major impact on miners' health including changing radiologic and histologic endpoints of interstitial lung diseases and emphysema.

求助全文
通过发布文献求助,成功后即可免费获取论文全文。 去求助
来源期刊
Respiratory Research
Respiratory Research RESPIRATORY SYSTEM-
CiteScore
9.70
自引率
1.70%
发文量
314
审稿时长
4-8 weeks
期刊介绍: Respiratory Research publishes high-quality clinical and basic research, review and commentary articles on all aspects of respiratory medicine and related diseases. As the leading fully open access journal in the field, Respiratory Research provides an essential resource for pulmonologists, allergists, immunologists and other physicians, researchers, healthcare workers and medical students with worldwide dissemination of articles resulting in high visibility and generating international discussion. Topics of specific interest include asthma, chronic obstructive pulmonary disease, cystic fibrosis, genetics, infectious diseases, interstitial lung diseases, lung development, lung tumors, occupational and environmental factors, pulmonary circulation, pulmonary pharmacology and therapeutics, respiratory immunology, respiratory physiology, and sleep-related respiratory problems.
×
引用
GB/T 7714-2015
复制
MLA
复制
APA
复制
导出至
BibTeX EndNote RefMan NoteFirst NoteExpress
×
提示
您的信息不完整,为了账户安全,请先补充。
现在去补充
×
提示
您因"违规操作"
具体请查看互助需知
我知道了
×
提示
确定
请完成安全验证×
copy
已复制链接
快去分享给好友吧!
我知道了
右上角分享
点击右上角分享
0
联系我们:info@booksci.cn Book学术提供免费学术资源搜索服务,方便国内外学者检索中英文文献。致力于提供最便捷和优质的服务体验。 Copyright © 2023 布克学术 All rights reserved.
京ICP备2023020795号-1
ghs 京公网安备 11010802042870号
Book学术文献互助
Book学术文献互助群
群 号:604180095
Book学术官方微信