恶性血液病患者的威胁:侵袭性大写Magnusiomyces和锁骨Magnusiomyces感染。

IF 1.2 Q3 MEDICINE, GENERAL & INTERNAL
Rukiye İnan Sarıkaya, Ayşe Albayrak, Fuat Erdem, Muhammet Hamidullah Uyanık, Şeyma Demirelli, Zafer Bıçakçı, Kemalettin Özden
{"title":"恶性血液病患者的威胁:侵袭性大写Magnusiomyces和锁骨Magnusiomyces感染。","authors":"Rukiye İnan Sarıkaya, Ayşe Albayrak, Fuat Erdem, Muhammet Hamidullah Uyanık, Şeyma Demirelli, Zafer Bıçakçı, Kemalettin Özden","doi":"10.5152/eurasianjmed.2025.24565","DOIUrl":null,"url":null,"abstract":"<p><p>Background: Magnusiomyces capitatus (M. capitatus) and Magnusiomyces clavatus (M. clavatus) are rare cause of fungemia leading to high mortality rates, particularly in neutropenic patients with hematological malignancies. This research set out to explore the clinical characteristics of patients with hematological malignancies with M. capitatus and M. clavatus fungemia. Methods: Eight patients from whom Magnusiomyces spp. were isolated, from among patients hospitalized at the Atatürk University Hospital between October 2017 and November 2022, were enrolled in this retrospective observational study. The 8 patients' medical data were subjected to analysis. Results: Magnusiomyces capitatus emerged as the pathogen in 5 cases and M. clavatus in 3. The patients' median age was 35.5 years. The most common underlying hematological malignancy was acute leukemia. Neutrophil values of 500 cells/mm3 were detected in all patients during Magnusiomyces spp. isolation, with severe neutropenia at less than 100 cells/mm3 in 5. The mean duration of neutropenia prior to Magnusiomyces spp. isolation was 29 days. Breakthrough fungemia developed in 7 patients using echinocandins, fluconazole, and posaconazole. Liposomal amphotericin B and voriconazole were used for initial treatment. The general mortality rate was 37%. All isolates were resistant to echinocandins. Voriconazole possessed the lowest minimum inhibitory concentration value against all isolates. The survival rate was higher among young patients. Mortality was higher among patients followed up in the intensive care unit. Conclusion: Life-threatening Magnusiomyces spp. can spread among patients with long-term neutropenia under treatment for hematological malignancies. Awareness and prompt initiation of treatment can reduce the risk of mortality in invasive infections caused by Magnusiomyces spp.</p>","PeriodicalId":53592,"journal":{"name":"Eurasian Journal of Medicine","volume":"57 1","pages":"1-6"},"PeriodicalIF":1.2000,"publicationDate":"2025-04-30","publicationTypes":"Journal Article","fieldsOfStudy":null,"isOpenAccess":false,"openAccessPdf":"https://www.ncbi.nlm.nih.gov/pmc/articles/PMC12102678/pdf/","citationCount":"0","resultStr":"{\"title\":\"A Threat Emerging in Patients with Hematological Malignancy: Invasive Magnusiomyces capitatus and Magnusiomyces clavatus Infections.\",\"authors\":\"Rukiye İnan Sarıkaya, Ayşe Albayrak, Fuat Erdem, Muhammet Hamidullah Uyanık, Şeyma Demirelli, Zafer Bıçakçı, Kemalettin Özden\",\"doi\":\"10.5152/eurasianjmed.2025.24565\",\"DOIUrl\":null,\"url\":null,\"abstract\":\"<p><p>Background: Magnusiomyces capitatus (M. capitatus) and Magnusiomyces clavatus (M. clavatus) are rare cause of fungemia leading to high mortality rates, particularly in neutropenic patients with hematological malignancies. This research set out to explore the clinical characteristics of patients with hematological malignancies with M. capitatus and M. clavatus fungemia. Methods: Eight patients from whom Magnusiomyces spp. were isolated, from among patients hospitalized at the Atatürk University Hospital between October 2017 and November 2022, were enrolled in this retrospective observational study. The 8 patients' medical data were subjected to analysis. Results: Magnusiomyces capitatus emerged as the pathogen in 5 cases and M. clavatus in 3. The patients' median age was 35.5 years. The most common underlying hematological malignancy was acute leukemia. Neutrophil values of 500 cells/mm3 were detected in all patients during Magnusiomyces spp. isolation, with severe neutropenia at less than 100 cells/mm3 in 5. The mean duration of neutropenia prior to Magnusiomyces spp. isolation was 29 days. Breakthrough fungemia developed in 7 patients using echinocandins, fluconazole, and posaconazole. Liposomal amphotericin B and voriconazole were used for initial treatment. The general mortality rate was 37%. All isolates were resistant to echinocandins. Voriconazole possessed the lowest minimum inhibitory concentration value against all isolates. The survival rate was higher among young patients. Mortality was higher among patients followed up in the intensive care unit. Conclusion: Life-threatening Magnusiomyces spp. can spread among patients with long-term neutropenia under treatment for hematological malignancies. Awareness and prompt initiation of treatment can reduce the risk of mortality in invasive infections caused by Magnusiomyces spp.</p>\",\"PeriodicalId\":53592,\"journal\":{\"name\":\"Eurasian Journal of Medicine\",\"volume\":\"57 1\",\"pages\":\"1-6\"},\"PeriodicalIF\":1.2000,\"publicationDate\":\"2025-04-30\",\"publicationTypes\":\"Journal Article\",\"fieldsOfStudy\":null,\"isOpenAccess\":false,\"openAccessPdf\":\"https://www.ncbi.nlm.nih.gov/pmc/articles/PMC12102678/pdf/\",\"citationCount\":\"0\",\"resultStr\":null,\"platform\":\"Semanticscholar\",\"paperid\":null,\"PeriodicalName\":\"Eurasian Journal of Medicine\",\"FirstCategoryId\":\"1085\",\"ListUrlMain\":\"https://doi.org/10.5152/eurasianjmed.2025.24565\",\"RegionNum\":0,\"RegionCategory\":null,\"ArticlePicture\":[],\"TitleCN\":null,\"AbstractTextCN\":null,\"PMCID\":null,\"EPubDate\":\"\",\"PubModel\":\"\",\"JCR\":\"Q3\",\"JCRName\":\"MEDICINE, GENERAL & INTERNAL\",\"Score\":null,\"Total\":0}","platform":"Semanticscholar","paperid":null,"PeriodicalName":"Eurasian Journal of Medicine","FirstCategoryId":"1085","ListUrlMain":"https://doi.org/10.5152/eurasianjmed.2025.24565","RegionNum":0,"RegionCategory":null,"ArticlePicture":[],"TitleCN":null,"AbstractTextCN":null,"PMCID":null,"EPubDate":"","PubModel":"","JCR":"Q3","JCRName":"MEDICINE, GENERAL & INTERNAL","Score":null,"Total":0}
引用次数: 0

摘要

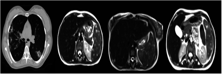
背景:大写Magnusiomyces capitatus (M. capitatus)和棒状Magnusiomyces clavatus (M. clavatus)是引起真菌血症的罕见原因,导致高死亡率,特别是在中性粒细胞减少的血液系统恶性肿瘤患者中。本研究旨在探讨血液学恶性肿瘤合并头状分枝杆菌和棍状分枝杆菌真菌血症患者的临床特点。方法:从2017年10月至2022年11月在atatatrk大学医院住院的患者中分离出8例Magnusiomyces spp,纳入本回顾性观察研究。对8例患者的医疗资料进行分析。结果:5例出现大写Magnusiomyces capitatus, 3例出现clavatus。患者中位年龄为35.5岁。最常见的潜在血液恶性肿瘤是急性白血病。在Magnusiomyces spp.分离期间,所有患者均检测到中性粒细胞值为500个细胞/mm3,其中5例患者出现严重中性粒细胞减少,低于100个细胞/mm3。Magnusiomyces spp.分离前中性粒细胞减少的平均持续时间为29天。7例患者使用棘白菌素、氟康唑和泊沙康唑后出现突破性真菌血症。初始治疗采用两性霉素B脂质体和伏立康唑。总死亡率为37%。所有分离株均对棘白菌素耐药。伏立康唑对各菌株的最低抑菌浓度值最低。年轻患者的生存率较高。在重症监护病房随访的患者死亡率较高。结论:危及生命的Magnusiomyces可在长期中性粒细胞减少的血液系统恶性肿瘤治疗患者中传播。意识到并及时开始治疗可以降低Magnusiomyces spp引起的侵袭性感染的死亡风险。
本文章由计算机程序翻译,如有差异,请以英文原文为准。

A Threat Emerging in Patients with Hematological Malignancy: Invasive Magnusiomyces capitatus and Magnusiomyces clavatus Infections.

A Threat Emerging in Patients with Hematological Malignancy: Invasive Magnusiomyces capitatus and Magnusiomyces clavatus Infections.

A Threat Emerging in Patients with Hematological Malignancy: Invasive Magnusiomyces capitatus and Magnusiomyces clavatus Infections.

A Threat Emerging in Patients with Hematological Malignancy: Invasive Magnusiomyces capitatus and Magnusiomyces clavatus Infections.

Background: Magnusiomyces capitatus (M. capitatus) and Magnusiomyces clavatus (M. clavatus) are rare cause of fungemia leading to high mortality rates, particularly in neutropenic patients with hematological malignancies. This research set out to explore the clinical characteristics of patients with hematological malignancies with M. capitatus and M. clavatus fungemia. Methods: Eight patients from whom Magnusiomyces spp. were isolated, from among patients hospitalized at the Atatürk University Hospital between October 2017 and November 2022, were enrolled in this retrospective observational study. The 8 patients' medical data were subjected to analysis. Results: Magnusiomyces capitatus emerged as the pathogen in 5 cases and M. clavatus in 3. The patients' median age was 35.5 years. The most common underlying hematological malignancy was acute leukemia. Neutrophil values of 500 cells/mm3 were detected in all patients during Magnusiomyces spp. isolation, with severe neutropenia at less than 100 cells/mm3 in 5. The mean duration of neutropenia prior to Magnusiomyces spp. isolation was 29 days. Breakthrough fungemia developed in 7 patients using echinocandins, fluconazole, and posaconazole. Liposomal amphotericin B and voriconazole were used for initial treatment. The general mortality rate was 37%. All isolates were resistant to echinocandins. Voriconazole possessed the lowest minimum inhibitory concentration value against all isolates. The survival rate was higher among young patients. Mortality was higher among patients followed up in the intensive care unit. Conclusion: Life-threatening Magnusiomyces spp. can spread among patients with long-term neutropenia under treatment for hematological malignancies. Awareness and prompt initiation of treatment can reduce the risk of mortality in invasive infections caused by Magnusiomyces spp.

求助全文
通过发布文献求助,成功后即可免费获取论文全文。 去求助
来源期刊
Eurasian Journal of Medicine
Eurasian Journal of Medicine Medicine-Medicine (all)
CiteScore
1.90
自引率
6.70%
发文量
59
审稿时长
16 weeks
期刊介绍: Eurasian Journal of Medicine (Eurasian J Med) is an international, scientific, open access periodical published by independent, unbiased, and triple-blinded peer-review principles. The journal is the official publication of Atatürk University School of Medicine and published triannually in February, June, and October. The publication language of the journal is English. The aim of the Eurasian Journal of Medicine is to publish original research papers of the highest scientific and clinical value in all medical fields. The Eurasian J Med also includes reviews, editorial short notes and letters to the editor that either as a comment related to recently published articles in our journal or as a case report. The target audience of the journal includes researchers, physicians and healthcare professionals who are interested or working in in all medical disciplines.
×
引用
GB/T 7714-2015
复制
MLA
复制
APA
复制
导出至
BibTeX EndNote RefMan NoteFirst NoteExpress
×
提示
您的信息不完整,为了账户安全,请先补充。
现在去补充
×
提示
您因"违规操作"
具体请查看互助需知
我知道了
×
提示
确定
请完成安全验证×
copy
已复制链接
快去分享给好友吧!
我知道了
右上角分享
点击右上角分享
0
联系我们:info@booksci.cn Book学术提供免费学术资源搜索服务,方便国内外学者检索中英文文献。致力于提供最便捷和优质的服务体验。 Copyright © 2023 布克学术 All rights reserved.
京ICP备2023020795号-1
ghs 京公网安备 11010802042870号
Book学术文献互助
Book学术文献互助群
群 号:604180095
Book学术官方微信