硬膜外对比模式和临床意义:一项教育综述。

IF 3.5 2区 医学 Q2 CLINICAL NEUROLOGY
Giuliano Lo Bianco, Barnabas T Shiferaw, Max Y Jin, Alaa Abd-Elsayed
{"title":"硬膜外对比模式和临床意义:一项教育综述。","authors":"Giuliano Lo Bianco, Barnabas T Shiferaw, Max Y Jin, Alaa Abd-Elsayed","doi":"10.1007/s11916-025-01396-x","DOIUrl":null,"url":null,"abstract":"<p><strong>Purpose of review: </strong>The purpose of this educational review is to describe the contrast spread patterns that indicate accurate needle placement in the epidural space and spread patterns associated with erroneous needle insertion.</p><p><strong>Recent findings: </strong>Epidural injections are minimally invasive and commonly used for patients with acute and chronic back pain that does not respond to conservative management. Imaging with contrast is frequently used during this procedure to improve accuracy and reduce adverse events. Contrast spread patterns are an important tool that can help identify where the needle is placed and whether the placement is accurate. Despite this, there may be discrepancies in the interpretation of spread patterns which ultimately reduce the utility of contrast. Inaccurate needle placement may result in intrathecal/subarachnoid, subdural, fascial, or retrodural space of Okada injections. The correct interpretation of contrast spread patterns on imaging is crucial for confirming accurate epidural needle placement. Furthermore, understanding contrast patterns of improper needle placement can prevent adverse events that result from injection outside of the epidural space.</p>","PeriodicalId":50602,"journal":{"name":"Current Pain and Headache Reports","volume":"29 1","pages":"83"},"PeriodicalIF":3.5000,"publicationDate":"2025-05-14","publicationTypes":"Journal Article","fieldsOfStudy":null,"isOpenAccess":false,"openAccessPdf":"https://www.ncbi.nlm.nih.gov/pmc/articles/PMC12078379/pdf/","citationCount":"0","resultStr":"{\"title\":\"Epidural Contrast Patterns and Clinical Implications: An Educational Review.\",\"authors\":\"Giuliano Lo Bianco, Barnabas T Shiferaw, Max Y Jin, Alaa Abd-Elsayed\",\"doi\":\"10.1007/s11916-025-01396-x\",\"DOIUrl\":null,\"url\":null,\"abstract\":\"<p><strong>Purpose of review: </strong>The purpose of this educational review is to describe the contrast spread patterns that indicate accurate needle placement in the epidural space and spread patterns associated with erroneous needle insertion.</p><p><strong>Recent findings: </strong>Epidural injections are minimally invasive and commonly used for patients with acute and chronic back pain that does not respond to conservative management. Imaging with contrast is frequently used during this procedure to improve accuracy and reduce adverse events. Contrast spread patterns are an important tool that can help identify where the needle is placed and whether the placement is accurate. Despite this, there may be discrepancies in the interpretation of spread patterns which ultimately reduce the utility of contrast. Inaccurate needle placement may result in intrathecal/subarachnoid, subdural, fascial, or retrodural space of Okada injections. The correct interpretation of contrast spread patterns on imaging is crucial for confirming accurate epidural needle placement. Furthermore, understanding contrast patterns of improper needle placement can prevent adverse events that result from injection outside of the epidural space.</p>\",\"PeriodicalId\":50602,\"journal\":{\"name\":\"Current Pain and Headache Reports\",\"volume\":\"29 1\",\"pages\":\"83\"},\"PeriodicalIF\":3.5000,\"publicationDate\":\"2025-05-14\",\"publicationTypes\":\"Journal Article\",\"fieldsOfStudy\":null,\"isOpenAccess\":false,\"openAccessPdf\":\"https://www.ncbi.nlm.nih.gov/pmc/articles/PMC12078379/pdf/\",\"citationCount\":\"0\",\"resultStr\":null,\"platform\":\"Semanticscholar\",\"paperid\":null,\"PeriodicalName\":\"Current Pain and Headache Reports\",\"FirstCategoryId\":\"3\",\"ListUrlMain\":\"https://doi.org/10.1007/s11916-025-01396-x\",\"RegionNum\":2,\"RegionCategory\":\"医学\",\"ArticlePicture\":[],\"TitleCN\":null,\"AbstractTextCN\":null,\"PMCID\":null,\"EPubDate\":\"\",\"PubModel\":\"\",\"JCR\":\"Q2\",\"JCRName\":\"CLINICAL NEUROLOGY\",\"Score\":null,\"Total\":0}","platform":"Semanticscholar","paperid":null,"PeriodicalName":"Current Pain and Headache Reports","FirstCategoryId":"3","ListUrlMain":"https://doi.org/10.1007/s11916-025-01396-x","RegionNum":2,"RegionCategory":"医学","ArticlePicture":[],"TitleCN":null,"AbstractTextCN":null,"PMCID":null,"EPubDate":"","PubModel":"","JCR":"Q2","JCRName":"CLINICAL NEUROLOGY","Score":null,"Total":0}
引用次数: 0

摘要

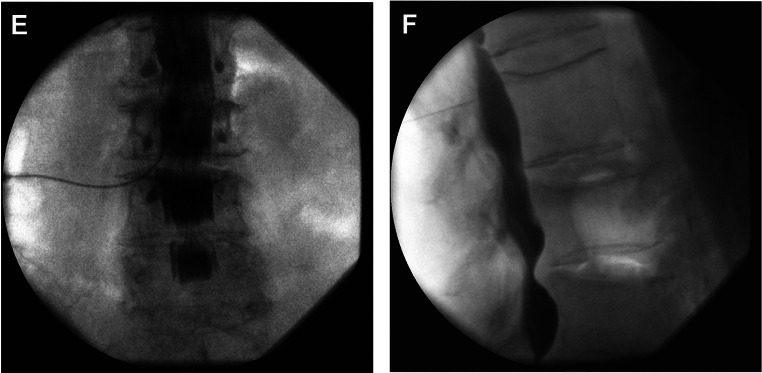
回顾的目的:这篇教育性回顾的目的是描述显示硬膜外间隙准确置针的造影剂扩散模式和与错误置针相关的扩散模式。最近发现:硬膜外注射是微创的,通常用于急性和慢性背痛患者,保守治疗无效。在此过程中经常使用造影剂成像来提高准确性和减少不良事件。对比扩散模式是一个重要的工具,可以帮助确定针的位置和位置是否准确。尽管如此,对传播模式的解释可能存在差异,这最终会降低对比的效用。不准确的针头放置可能导致冈田注射的鞘内/蛛网膜下、硬膜下、筋膜或硬膜后间隙。正确解释成像上的造影剂扩散模式对于确定准确的硬膜外针头放置至关重要。此外,了解不正确针头放置的对比模式可以防止因硬膜外腔外注射而导致的不良事件。
本文章由计算机程序翻译,如有差异,请以英文原文为准。

Epidural Contrast Patterns and Clinical Implications: An Educational Review.

Epidural Contrast Patterns and Clinical Implications: An Educational Review.

Epidural Contrast Patterns and Clinical Implications: An Educational Review.

Epidural Contrast Patterns and Clinical Implications: An Educational Review.

Purpose of review: The purpose of this educational review is to describe the contrast spread patterns that indicate accurate needle placement in the epidural space and spread patterns associated with erroneous needle insertion.

Recent findings: Epidural injections are minimally invasive and commonly used for patients with acute and chronic back pain that does not respond to conservative management. Imaging with contrast is frequently used during this procedure to improve accuracy and reduce adverse events. Contrast spread patterns are an important tool that can help identify where the needle is placed and whether the placement is accurate. Despite this, there may be discrepancies in the interpretation of spread patterns which ultimately reduce the utility of contrast. Inaccurate needle placement may result in intrathecal/subarachnoid, subdural, fascial, or retrodural space of Okada injections. The correct interpretation of contrast spread patterns on imaging is crucial for confirming accurate epidural needle placement. Furthermore, understanding contrast patterns of improper needle placement can prevent adverse events that result from injection outside of the epidural space.

求助全文
通过发布文献求助,成功后即可免费获取论文全文。 去求助
来源期刊
Current Pain and Headache Reports
Current Pain and Headache Reports CLINICAL NEUROLOGY-
CiteScore
6.10
自引率
2.70%
发文量
91
审稿时长
6-12 weeks
期刊介绍: This journal aims to review the most important, recently published clinical findings regarding the diagnosis, treatment, and management of pain and headache. By providing clear, insightful, balanced contributions by international experts, the journal intends to serve all those involved in the care and prevention of pain and headache. We accomplish this aim by appointing international authorities to serve as Section Editors in key subject areas, such as anesthetic techniques in pain management, cluster headache, neuropathic pain, and migraine. Section Editors, in turn, select topics for which leading experts contribute comprehensive review articles that emphasize new developments and recently published papers of major importance, highlighted by annotated reference lists. An international Editorial Board reviews the annual table of contents, suggests articles of special interest to their country/region, and ensures that topics are current and include emerging research. Commentaries from well-known figures in the field are also provided.
×
引用
GB/T 7714-2015
复制
MLA
复制
APA
复制
导出至
BibTeX EndNote RefMan NoteFirst NoteExpress
×
提示
您的信息不完整,为了账户安全,请先补充。
现在去补充
×
提示
您因"违规操作"
具体请查看互助需知
我知道了
×
提示
确定
请完成安全验证×
copy
已复制链接
快去分享给好友吧!
我知道了
右上角分享
点击右上角分享
0
联系我们:info@booksci.cn Book学术提供免费学术资源搜索服务,方便国内外学者检索中英文文献。致力于提供最便捷和优质的服务体验。 Copyright © 2023 布克学术 All rights reserved.
京ICP备2023020795号-1
ghs 京公网安备 11010802042870号
Book学术文献互助
Book学术文献互助群
群 号:604180095
Book学术官方微信