妊娠对乳腺癌免疫学的影响:免疫生物标志物和TIL定量。

IF 7.6 2区 医学 Q1 ONCOLOGY
Kristin Galas, Moritz Gleitsmann, Julia Rey, Christine Solbach, Isabell Witzel, Thomas Karn, Sabine Schmatloch, Christian Schem, Andreas Schneeweis, Bruno Sinn, Tanja Fehm, Carsten Denkert, Peter Fasching, Anne-Sophie Litmeyer, Frederik Marmé, Paul Jank, Volkmar Müller, Sabine Seiler, Elmar Stickeler, Olaf Ortmann, Marion van Mackelenbergh, Valentina Nekljudova, Johannes Holtschmidt, Sibylle Loibl
{"title":"妊娠对乳腺癌免疫学的影响:免疫生物标志物和TIL定量。","authors":"Kristin Galas, Moritz Gleitsmann, Julia Rey, Christine Solbach, Isabell Witzel, Thomas Karn, Sabine Schmatloch, Christian Schem, Andreas Schneeweis, Bruno Sinn, Tanja Fehm, Carsten Denkert, Peter Fasching, Anne-Sophie Litmeyer, Frederik Marmé, Paul Jank, Volkmar Müller, Sabine Seiler, Elmar Stickeler, Olaf Ortmann, Marion van Mackelenbergh, Valentina Nekljudova, Johannes Holtschmidt, Sibylle Loibl","doi":"10.1038/s41523-025-00758-3","DOIUrl":null,"url":null,"abstract":"<p><p>Breast cancer diagnosed during pregnancy (PrBC) is a rare occurrence but may become more prevalent as women nowadays tend to postpone childbearing until later in life. Further understanding of how pregnancy affects the tumor microenvironment (TME) is essential. We constructed Tissue Microarrays (TMA) of tumor specimens from 126 pregnant breast cancer (BC) patients and examined standard BC markers such as ER, PR, Ki67, HER2, tumor infiltrating lymphocytes (TILs), and immunomarkers HLA class I, HLA-G, PD-L1, TIGIT and Nectin-4. Subsequently, we compared our findings with those from a matched non-pregnant cohort of young BC patients. Pregnant BC patients were younger, had significantly higher proliferation rates and a higher expression of Nectin-4. Higher pregnancy related estrogen levels may boost proliferation und Nectin-4 overexpression, promoting BC progression. No further evidence supporting impaired maternal anti-tumor response in BC was observed in this study.</p>","PeriodicalId":19247,"journal":{"name":"NPJ Breast Cancer","volume":"11 1","pages":"43"},"PeriodicalIF":7.6000,"publicationDate":"2025-05-14","publicationTypes":"Journal Article","fieldsOfStudy":null,"isOpenAccess":false,"openAccessPdf":"https://www.ncbi.nlm.nih.gov/pmc/articles/PMC12078667/pdf/","citationCount":"0","resultStr":"{\"title\":\"Effects of pregnancy on breast cancer immunology: immune biomarker and TIL quantification.\",\"authors\":\"Kristin Galas, Moritz Gleitsmann, Julia Rey, Christine Solbach, Isabell Witzel, Thomas Karn, Sabine Schmatloch, Christian Schem, Andreas Schneeweis, Bruno Sinn, Tanja Fehm, Carsten Denkert, Peter Fasching, Anne-Sophie Litmeyer, Frederik Marmé, Paul Jank, Volkmar Müller, Sabine Seiler, Elmar Stickeler, Olaf Ortmann, Marion van Mackelenbergh, Valentina Nekljudova, Johannes Holtschmidt, Sibylle Loibl\",\"doi\":\"10.1038/s41523-025-00758-3\",\"DOIUrl\":null,\"url\":null,\"abstract\":\"<p><p>Breast cancer diagnosed during pregnancy (PrBC) is a rare occurrence but may become more prevalent as women nowadays tend to postpone childbearing until later in life. Further understanding of how pregnancy affects the tumor microenvironment (TME) is essential. We constructed Tissue Microarrays (TMA) of tumor specimens from 126 pregnant breast cancer (BC) patients and examined standard BC markers such as ER, PR, Ki67, HER2, tumor infiltrating lymphocytes (TILs), and immunomarkers HLA class I, HLA-G, PD-L1, TIGIT and Nectin-4. Subsequently, we compared our findings with those from a matched non-pregnant cohort of young BC patients. Pregnant BC patients were younger, had significantly higher proliferation rates and a higher expression of Nectin-4. Higher pregnancy related estrogen levels may boost proliferation und Nectin-4 overexpression, promoting BC progression. No further evidence supporting impaired maternal anti-tumor response in BC was observed in this study.</p>\",\"PeriodicalId\":19247,\"journal\":{\"name\":\"NPJ Breast Cancer\",\"volume\":\"11 1\",\"pages\":\"43\"},\"PeriodicalIF\":7.6000,\"publicationDate\":\"2025-05-14\",\"publicationTypes\":\"Journal Article\",\"fieldsOfStudy\":null,\"isOpenAccess\":false,\"openAccessPdf\":\"https://www.ncbi.nlm.nih.gov/pmc/articles/PMC12078667/pdf/\",\"citationCount\":\"0\",\"resultStr\":null,\"platform\":\"Semanticscholar\",\"paperid\":null,\"PeriodicalName\":\"NPJ Breast Cancer\",\"FirstCategoryId\":\"3\",\"ListUrlMain\":\"https://doi.org/10.1038/s41523-025-00758-3\",\"RegionNum\":2,\"RegionCategory\":\"医学\",\"ArticlePicture\":[],\"TitleCN\":null,\"AbstractTextCN\":null,\"PMCID\":null,\"EPubDate\":\"\",\"PubModel\":\"\",\"JCR\":\"Q1\",\"JCRName\":\"ONCOLOGY\",\"Score\":null,\"Total\":0}","platform":"Semanticscholar","paperid":null,"PeriodicalName":"NPJ Breast Cancer","FirstCategoryId":"3","ListUrlMain":"https://doi.org/10.1038/s41523-025-00758-3","RegionNum":2,"RegionCategory":"医学","ArticlePicture":[],"TitleCN":null,"AbstractTextCN":null,"PMCID":null,"EPubDate":"","PubModel":"","JCR":"Q1","JCRName":"ONCOLOGY","Score":null,"Total":0}
引用次数: 0

摘要

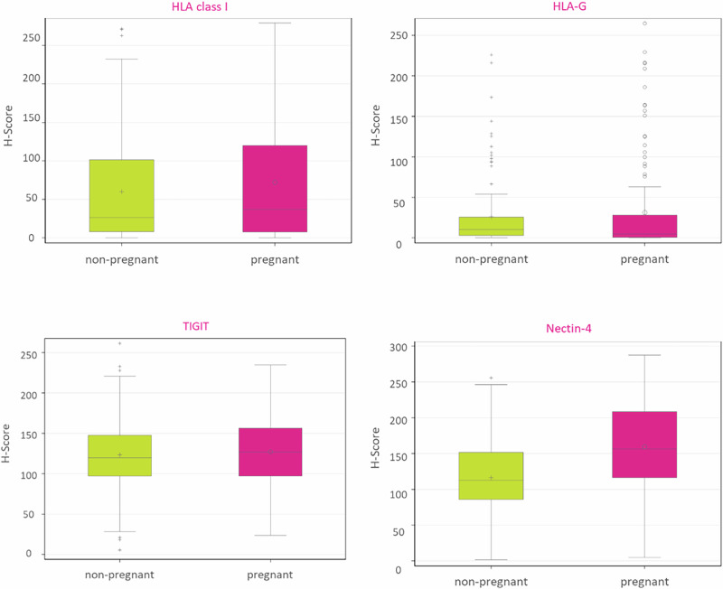
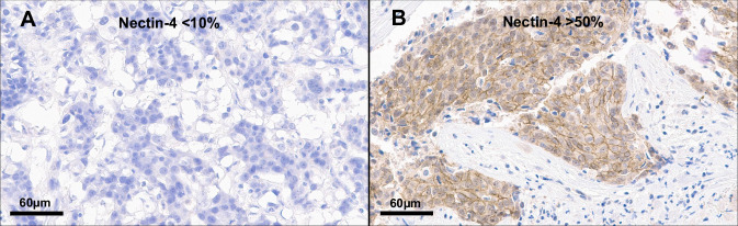
在怀孕期间诊断出的乳腺癌(PrBC)是一种罕见的情况,但可能会变得更加普遍,因为现在的女性倾向于推迟生育,直到生命的后期。进一步了解妊娠如何影响肿瘤微环境(TME)是必要的。我们对126例妊娠乳腺癌(BC)患者的肿瘤标本构建了组织微阵列(TMA),并检测了标准的乳腺癌标志物,如ER、PR、Ki67、HER2、肿瘤浸润淋巴细胞(TILs)和免疫标志物HLA I类、HLA- g、PD-L1、TIGIT和Nectin-4。随后,我们将我们的发现与匹配的未怀孕的年轻BC患者队列进行了比较。怀孕的BC患者更年轻,增殖率更高,Nectin-4的表达也更高。较高的妊娠相关雌激素水平可能促进增殖和Nectin-4的过度表达,促进BC的进展。本研究未观察到进一步的证据支持BC孕妇抗肿瘤反应受损。
本文章由计算机程序翻译,如有差异,请以英文原文为准。

Effects of pregnancy on breast cancer immunology: immune biomarker and TIL quantification.

Effects of pregnancy on breast cancer immunology: immune biomarker and TIL quantification.

Effects of pregnancy on breast cancer immunology: immune biomarker and TIL quantification.

Effects of pregnancy on breast cancer immunology: immune biomarker and TIL quantification.

Breast cancer diagnosed during pregnancy (PrBC) is a rare occurrence but may become more prevalent as women nowadays tend to postpone childbearing until later in life. Further understanding of how pregnancy affects the tumor microenvironment (TME) is essential. We constructed Tissue Microarrays (TMA) of tumor specimens from 126 pregnant breast cancer (BC) patients and examined standard BC markers such as ER, PR, Ki67, HER2, tumor infiltrating lymphocytes (TILs), and immunomarkers HLA class I, HLA-G, PD-L1, TIGIT and Nectin-4. Subsequently, we compared our findings with those from a matched non-pregnant cohort of young BC patients. Pregnant BC patients were younger, had significantly higher proliferation rates and a higher expression of Nectin-4. Higher pregnancy related estrogen levels may boost proliferation und Nectin-4 overexpression, promoting BC progression. No further evidence supporting impaired maternal anti-tumor response in BC was observed in this study.

求助全文
通过发布文献求助,成功后即可免费获取论文全文。 去求助
来源期刊
NPJ Breast Cancer
NPJ Breast Cancer Medicine-Pharmacology (medical)
CiteScore
10.10
自引率
1.70%
发文量
122
审稿时长
9 weeks
期刊介绍: npj Breast Cancer publishes original research articles, reviews, brief correspondence, meeting reports, editorial summaries and hypothesis generating observations which could be unexplained or preliminary findings from experiments, novel ideas, or the framing of new questions that need to be solved. Featured topics of the journal include imaging, immunotherapy, molecular classification of disease, mechanism-based therapies largely targeting signal transduction pathways, carcinogenesis including hereditary susceptibility and molecular epidemiology, survivorship issues including long-term toxicities of treatment and secondary neoplasm occurrence, the biophysics of cancer, mechanisms of metastasis and their perturbation, and studies of the tumor microenvironment.
×
引用
GB/T 7714-2015
复制
MLA
复制
APA
复制
导出至
BibTeX EndNote RefMan NoteFirst NoteExpress
×
提示
您的信息不完整,为了账户安全,请先补充。
现在去补充
×
提示
您因"违规操作"
具体请查看互助需知
我知道了
×
提示
确定
请完成安全验证×
copy
已复制链接
快去分享给好友吧!
我知道了
右上角分享
点击右上角分享
0
联系我们:info@booksci.cn Book学术提供免费学术资源搜索服务,方便国内外学者检索中英文文献。致力于提供最便捷和优质的服务体验。 Copyright © 2023 布克学术 All rights reserved.
京ICP备2023020795号-1
ghs 京公网安备 11010802042870号
Book学术文献互助
Book学术文献互助群
群 号:604180095
Book学术官方微信