劳拉西泮在紧张症伴认知障碍中的特殊反应。

Industrial Psychiatry Journal Pub Date : 2025-01-01 Epub Date: 2025-02-06 DOI:10.4103/ipj.ipj_209_24
Mohit Kumar Shahi, J V Ashwin, Astha Singh
{"title":"劳拉西泮在紧张症伴认知障碍中的特殊反应。","authors":"Mohit Kumar Shahi, J V Ashwin, Astha Singh","doi":"10.4103/ipj.ipj_209_24","DOIUrl":null,"url":null,"abstract":"<p><p>Catatonia, a complex syndrome characterized by immobility and communication impairment, presents with varying responses to lorazepam treatment among individuals with different cognitive impairments and underlying dementias. This study examines a case series involving four distinct catatonic patients to elucidate the factors contributing to the variable lorazepam response. Although lorazepam, a GABAergic modulator, can effectively alleviate symptoms in some cases, its limited impact in others highlights the intricate interplay between the underlying pathophysiology of diverse dementias and treatment mechanisms. This abstract provides insights into the intricate relationship between neurochemical pathways, catatonic symptoms, and treatment approaches, shedding light on the complexities of managing catatonia in the context of cognitive impairments and dementias.</p>","PeriodicalId":13534,"journal":{"name":"Industrial Psychiatry Journal","volume":"34 1","pages":"117-122"},"PeriodicalIF":0.0000,"publicationDate":"2025-01-01","publicationTypes":"Journal Article","fieldsOfStudy":null,"isOpenAccess":false,"openAccessPdf":"https://www.ncbi.nlm.nih.gov/pmc/articles/PMC12077632/pdf/","citationCount":"0","resultStr":"{\"title\":\"Distinctive lorazepam response in catatonia with cognitive impairment.\",\"authors\":\"Mohit Kumar Shahi, J V Ashwin, Astha Singh\",\"doi\":\"10.4103/ipj.ipj_209_24\",\"DOIUrl\":null,\"url\":null,\"abstract\":\"<p><p>Catatonia, a complex syndrome characterized by immobility and communication impairment, presents with varying responses to lorazepam treatment among individuals with different cognitive impairments and underlying dementias. This study examines a case series involving four distinct catatonic patients to elucidate the factors contributing to the variable lorazepam response. Although lorazepam, a GABAergic modulator, can effectively alleviate symptoms in some cases, its limited impact in others highlights the intricate interplay between the underlying pathophysiology of diverse dementias and treatment mechanisms. This abstract provides insights into the intricate relationship between neurochemical pathways, catatonic symptoms, and treatment approaches, shedding light on the complexities of managing catatonia in the context of cognitive impairments and dementias.</p>\",\"PeriodicalId\":13534,\"journal\":{\"name\":\"Industrial Psychiatry Journal\",\"volume\":\"34 1\",\"pages\":\"117-122\"},\"PeriodicalIF\":0.0000,\"publicationDate\":\"2025-01-01\",\"publicationTypes\":\"Journal Article\",\"fieldsOfStudy\":null,\"isOpenAccess\":false,\"openAccessPdf\":\"https://www.ncbi.nlm.nih.gov/pmc/articles/PMC12077632/pdf/\",\"citationCount\":\"0\",\"resultStr\":null,\"platform\":\"Semanticscholar\",\"paperid\":null,\"PeriodicalName\":\"Industrial Psychiatry Journal\",\"FirstCategoryId\":\"1085\",\"ListUrlMain\":\"https://doi.org/10.4103/ipj.ipj_209_24\",\"RegionNum\":0,\"RegionCategory\":null,\"ArticlePicture\":[],\"TitleCN\":null,\"AbstractTextCN\":null,\"PMCID\":null,\"EPubDate\":\"2025/2/6 0:00:00\",\"PubModel\":\"Epub\",\"JCR\":\"\",\"JCRName\":\"\",\"Score\":null,\"Total\":0}","platform":"Semanticscholar","paperid":null,"PeriodicalName":"Industrial Psychiatry Journal","FirstCategoryId":"1085","ListUrlMain":"https://doi.org/10.4103/ipj.ipj_209_24","RegionNum":0,"RegionCategory":null,"ArticlePicture":[],"TitleCN":null,"AbstractTextCN":null,"PMCID":null,"EPubDate":"2025/2/6 0:00:00","PubModel":"Epub","JCR":"","JCRName":"","Score":null,"Total":0}
引用次数: 0

摘要

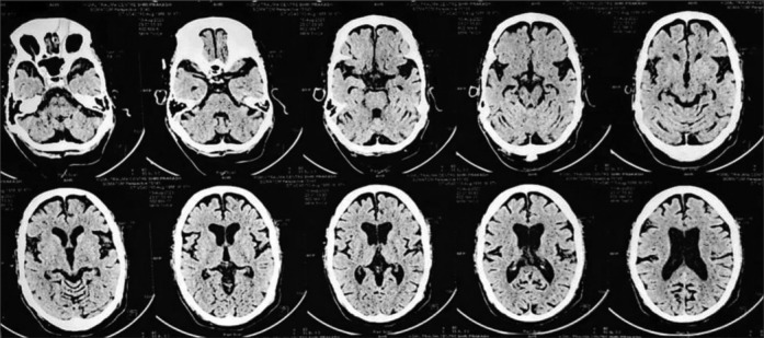
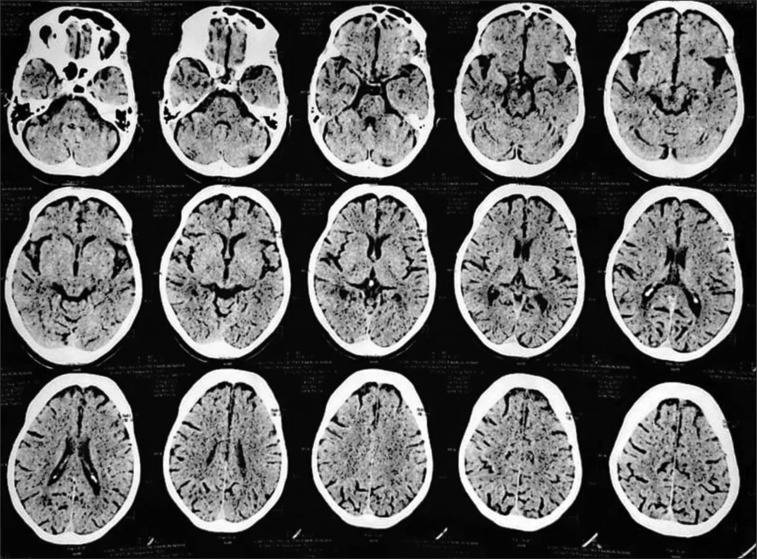
紧张症是一种以行动不便和交流障碍为特征的复杂综合征,在不同认知障碍和潜在痴呆的个体中,对劳拉西泮治疗的反应不同。本研究检查了一个病例系列,涉及四个不同的紧张性精神病患者,以阐明影响劳拉西泮反应的因素。虽然劳拉西泮作为一种gaba能调节剂,在某些情况下可以有效缓解症状,但其在其他情况下的有限影响突出了各种痴呆的潜在病理生理和治疗机制之间复杂的相互作用。本摘要提供了对神经化学通路、紧张症症状和治疗方法之间复杂关系的见解,揭示了在认知障碍和痴呆的背景下管理紧张症的复杂性。
本文章由计算机程序翻译,如有差异,请以英文原文为准。

Distinctive lorazepam response in catatonia with cognitive impairment.

Distinctive lorazepam response in catatonia with cognitive impairment.

Distinctive lorazepam response in catatonia with cognitive impairment.

Distinctive lorazepam response in catatonia with cognitive impairment.

Catatonia, a complex syndrome characterized by immobility and communication impairment, presents with varying responses to lorazepam treatment among individuals with different cognitive impairments and underlying dementias. This study examines a case series involving four distinct catatonic patients to elucidate the factors contributing to the variable lorazepam response. Although lorazepam, a GABAergic modulator, can effectively alleviate symptoms in some cases, its limited impact in others highlights the intricate interplay between the underlying pathophysiology of diverse dementias and treatment mechanisms. This abstract provides insights into the intricate relationship between neurochemical pathways, catatonic symptoms, and treatment approaches, shedding light on the complexities of managing catatonia in the context of cognitive impairments and dementias.

求助全文
通过发布文献求助,成功后即可免费获取论文全文。 去求助
来源期刊
自引率
0.00%
发文量
46
审稿时长
39 weeks
×
引用
GB/T 7714-2015
复制
MLA
复制
APA
复制
导出至
BibTeX EndNote RefMan NoteFirst NoteExpress
×
提示
您的信息不完整,为了账户安全,请先补充。
现在去补充
×
提示
您因"违规操作"
具体请查看互助需知
我知道了
×
提示
确定
请完成安全验证×
copy
已复制链接
快去分享给好友吧!
我知道了
右上角分享
点击右上角分享
0
联系我们:info@booksci.cn Book学术提供免费学术资源搜索服务,方便国内外学者检索中英文文献。致力于提供最便捷和优质的服务体验。 Copyright © 2023 布克学术 All rights reserved.
京ICP备2023020795号-1
ghs 京公网安备 11010802042870号
Book学术文献互助
Book学术文献互助群
群 号:604180095
Book学术官方微信
小红书