虹膜睫状体黑色素细胞瘤伴继发性青光眼1例。

IF 2.3 3区 医学 Q2 PATHOLOGY
Yi Sun, Yuanyuan Chen, Jing Zhu, Juan Guo, Zhanfeng Wang
{"title":"虹膜睫状体黑色素细胞瘤伴继发性青光眼1例。","authors":"Yi Sun, Yuanyuan Chen, Jing Zhu, Juan Guo, Zhanfeng Wang","doi":"10.1186/s13000-025-01646-x","DOIUrl":null,"url":null,"abstract":"<p><strong>Background: </strong>Distinguishing between benign iridociliary melanocytoma and malignant melanoma presents a diagnostic challenge, particularly given the potential overlap in tumor growth patterns and clinical manifestations, especially when patients present with secondary glaucoma. Misdiagnosis may induce severe clinical consequences, including enucleation. Therefore, the judicious selection of biopsy or surgical techniques is crucial in both diagnosing and managing the condition.</p><p><strong>Case presentation: </strong>A 44-year-old female presented with uncontrolled elevated intraocular pressure (IOP) and a heavily pigmented iris lesion extending into the anterior chamber angle and adjacent ciliary body. Unexpectedly, standardized initial fine-needle aspiration biopsy (FNAB) yielded inconclusive results. Subsequent excisional surgery (partial iridocyclectomy and concurrent phacoemulsification) was performed to remove the tumor mass and treat cataract. Histopathological analysis confirmed the diagnosis as melanocytoma. Lens implantation followed upon normalization of IOP within 8 months. At the 2-year follow-up, the patient exhibited a satisfactory clinical outcome, with no tumor recurrence, achieving a best-corrected visual acuity of 20/40 and an intraocular pressure of 18.5 mmHg.</p><p><strong>Conclusions: </strong>This case underscores the importance of obtaining adequate tumor specimens for accurate diagnosis via FNAB in iris and ciliary body tumors. Additionally, for patients with secondary glaucoma, partial iridocyclectomy emerges as a promising intervention, addressing anterior chamber angle obstruction to alleviate IOP while facilitating histopathological diagnosis for subsequent management.</p>","PeriodicalId":11237,"journal":{"name":"Diagnostic Pathology","volume":"20 1","pages":"60"},"PeriodicalIF":2.3000,"publicationDate":"2025-05-15","publicationTypes":"Journal Article","fieldsOfStudy":null,"isOpenAccess":false,"openAccessPdf":"https://www.ncbi.nlm.nih.gov/pmc/articles/PMC12082992/pdf/","citationCount":"0","resultStr":"{\"title\":\"A case report: iridociliary melanocytoma associated with secondary glaucoma.\",\"authors\":\"Yi Sun, Yuanyuan Chen, Jing Zhu, Juan Guo, Zhanfeng Wang\",\"doi\":\"10.1186/s13000-025-01646-x\",\"DOIUrl\":null,\"url\":null,\"abstract\":\"<p><strong>Background: </strong>Distinguishing between benign iridociliary melanocytoma and malignant melanoma presents a diagnostic challenge, particularly given the potential overlap in tumor growth patterns and clinical manifestations, especially when patients present with secondary glaucoma. Misdiagnosis may induce severe clinical consequences, including enucleation. Therefore, the judicious selection of biopsy or surgical techniques is crucial in both diagnosing and managing the condition.</p><p><strong>Case presentation: </strong>A 44-year-old female presented with uncontrolled elevated intraocular pressure (IOP) and a heavily pigmented iris lesion extending into the anterior chamber angle and adjacent ciliary body. Unexpectedly, standardized initial fine-needle aspiration biopsy (FNAB) yielded inconclusive results. Subsequent excisional surgery (partial iridocyclectomy and concurrent phacoemulsification) was performed to remove the tumor mass and treat cataract. Histopathological analysis confirmed the diagnosis as melanocytoma. Lens implantation followed upon normalization of IOP within 8 months. At the 2-year follow-up, the patient exhibited a satisfactory clinical outcome, with no tumor recurrence, achieving a best-corrected visual acuity of 20/40 and an intraocular pressure of 18.5 mmHg.</p><p><strong>Conclusions: </strong>This case underscores the importance of obtaining adequate tumor specimens for accurate diagnosis via FNAB in iris and ciliary body tumors. Additionally, for patients with secondary glaucoma, partial iridocyclectomy emerges as a promising intervention, addressing anterior chamber angle obstruction to alleviate IOP while facilitating histopathological diagnosis for subsequent management.</p>\",\"PeriodicalId\":11237,\"journal\":{\"name\":\"Diagnostic Pathology\",\"volume\":\"20 1\",\"pages\":\"60\"},\"PeriodicalIF\":2.3000,\"publicationDate\":\"2025-05-15\",\"publicationTypes\":\"Journal Article\",\"fieldsOfStudy\":null,\"isOpenAccess\":false,\"openAccessPdf\":\"https://www.ncbi.nlm.nih.gov/pmc/articles/PMC12082992/pdf/\",\"citationCount\":\"0\",\"resultStr\":null,\"platform\":\"Semanticscholar\",\"paperid\":null,\"PeriodicalName\":\"Diagnostic Pathology\",\"FirstCategoryId\":\"3\",\"ListUrlMain\":\"https://doi.org/10.1186/s13000-025-01646-x\",\"RegionNum\":3,\"RegionCategory\":\"医学\",\"ArticlePicture\":[],\"TitleCN\":null,\"AbstractTextCN\":null,\"PMCID\":null,\"EPubDate\":\"\",\"PubModel\":\"\",\"JCR\":\"Q2\",\"JCRName\":\"PATHOLOGY\",\"Score\":null,\"Total\":0}","platform":"Semanticscholar","paperid":null,"PeriodicalName":"Diagnostic Pathology","FirstCategoryId":"3","ListUrlMain":"https://doi.org/10.1186/s13000-025-01646-x","RegionNum":3,"RegionCategory":"医学","ArticlePicture":[],"TitleCN":null,"AbstractTextCN":null,"PMCID":null,"EPubDate":"","PubModel":"","JCR":"Q2","JCRName":"PATHOLOGY","Score":null,"Total":0}
引用次数: 0

摘要

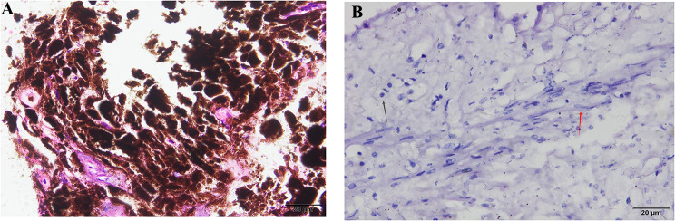
背景:区分良性虹膜睫状体黑色素细胞瘤和恶性黑色素瘤是一项诊断挑战,特别是考虑到肿瘤生长模式和临床表现的潜在重叠,特别是当患者伴有继发性青光眼时。误诊可能导致严重的临床后果,包括眼球摘除术。因此,明智地选择活检或手术技术对诊断和治疗病情至关重要。病例介绍:一名44岁女性,因眼压升高(IOP)无法控制,虹膜色素严重病变延伸至前房角和邻近的睫状体。出乎意料的是,标准化的初始细针穿刺活检(FNAB)结果不确定。随后进行部分虹膜环切除术和超声乳化术以切除肿瘤并治疗白内障。组织病理学分析证实诊断为黑色素细胞瘤。眼压恢复正常后8个月内进行晶状体植入术。在2年的随访中,患者表现出令人满意的临床结果,无肿瘤复发,最佳矫正视力为20/40,眼压为18.5 mmHg。结论:本病例强调了通过FNAB获得足够的肿瘤标本对虹膜和睫状体肿瘤准确诊断的重要性。此外,对于继发性青光眼患者,部分虹膜环切除术是一种很有希望的干预措施,可以解决前房角阻塞以减轻IOP,同时为后续治疗提供组织病理学诊断。
本文章由计算机程序翻译,如有差异,请以英文原文为准。

A case report: iridociliary melanocytoma associated with secondary glaucoma.

A case report: iridociliary melanocytoma associated with secondary glaucoma.

A case report: iridociliary melanocytoma associated with secondary glaucoma.

A case report: iridociliary melanocytoma associated with secondary glaucoma.

Background: Distinguishing between benign iridociliary melanocytoma and malignant melanoma presents a diagnostic challenge, particularly given the potential overlap in tumor growth patterns and clinical manifestations, especially when patients present with secondary glaucoma. Misdiagnosis may induce severe clinical consequences, including enucleation. Therefore, the judicious selection of biopsy or surgical techniques is crucial in both diagnosing and managing the condition.

Case presentation: A 44-year-old female presented with uncontrolled elevated intraocular pressure (IOP) and a heavily pigmented iris lesion extending into the anterior chamber angle and adjacent ciliary body. Unexpectedly, standardized initial fine-needle aspiration biopsy (FNAB) yielded inconclusive results. Subsequent excisional surgery (partial iridocyclectomy and concurrent phacoemulsification) was performed to remove the tumor mass and treat cataract. Histopathological analysis confirmed the diagnosis as melanocytoma. Lens implantation followed upon normalization of IOP within 8 months. At the 2-year follow-up, the patient exhibited a satisfactory clinical outcome, with no tumor recurrence, achieving a best-corrected visual acuity of 20/40 and an intraocular pressure of 18.5 mmHg.

Conclusions: This case underscores the importance of obtaining adequate tumor specimens for accurate diagnosis via FNAB in iris and ciliary body tumors. Additionally, for patients with secondary glaucoma, partial iridocyclectomy emerges as a promising intervention, addressing anterior chamber angle obstruction to alleviate IOP while facilitating histopathological diagnosis for subsequent management.

求助全文
通过发布文献求助,成功后即可免费获取论文全文。 去求助
来源期刊
Diagnostic Pathology
Diagnostic Pathology 医学-病理学
CiteScore
4.60
自引率
0.00%
发文量
93
审稿时长
1 months
期刊介绍: Diagnostic Pathology is an open access, peer-reviewed, online journal that considers research in surgical and clinical pathology, immunology, and biology, with a special focus on cutting-edge approaches in diagnostic pathology and tissue-based therapy. The journal covers all aspects of surgical pathology, including classic diagnostic pathology, prognosis-related diagnosis (tumor stages, prognosis markers, such as MIB-percentage, hormone receptors, etc.), and therapy-related findings. The journal also focuses on the technological aspects of pathology, including molecular biology techniques, morphometry aspects (stereology, DNA analysis, syntactic structure analysis), communication aspects (telecommunication, virtual microscopy, virtual pathology institutions, etc.), and electronic education and quality assurance (for example interactive publication, on-line references with automated updating, etc.).
×
引用
GB/T 7714-2015
复制
MLA
复制
APA
复制
导出至
BibTeX EndNote RefMan NoteFirst NoteExpress
×
提示
您的信息不完整,为了账户安全,请先补充。
现在去补充
×
提示
您因"违规操作"
具体请查看互助需知
我知道了
×
提示
确定
请完成安全验证×
copy
已复制链接
快去分享给好友吧!
我知道了
右上角分享
点击右上角分享
0
联系我们:info@booksci.cn Book学术提供免费学术资源搜索服务,方便国内外学者检索中英文文献。致力于提供最便捷和优质的服务体验。 Copyright © 2023 布克学术 All rights reserved.
京ICP备2023020795号-1
ghs 京公网安备 11010802042870号
Book学术文献互助
Book学术文献互助群
群 号:604180095
Book学术官方微信