超声内镜引导下射频消融治疗肾细胞癌胰腺转移的有效性和安全性。

IF 2.3 Q3 GASTROENTEROLOGY & HEPATOLOGY
Endoscopy International Open Pub Date : 2025-05-12 eCollection Date: 2025-01-01 DOI:10.1055/a-2566-7350
Morgane Stouvenot, Stephane Koch, Alexandre Frontzcak, Christelle D'Engremont, Aurélien Boinette, Alexandre Doussot, Tristan Maurina, Lucine Vuitton
{"title":"超声内镜引导下射频消融治疗肾细胞癌胰腺转移的有效性和安全性。","authors":"Morgane Stouvenot, Stephane Koch, Alexandre Frontzcak, Christelle D'Engremont, Aurélien Boinette, Alexandre Doussot, Tristan Maurina, Lucine Vuitton","doi":"10.1055/a-2566-7350","DOIUrl":null,"url":null,"abstract":"<p><strong>Background and study aims: </strong>Pancreatic metastases from renal cell carcinoma (RCC) are usually managed surgically but with significant morbidity. As an alternative, endoscopic ultrasound-guided radiofrequency ablation (EUS-RFA) has shown promising results in treatment of pancreatic neuroendocrine tumors. The aim of our study was to assess technical success, effectiveness, and safety of EUS-RFA in patients with pancreatic metastases of RCC.</p><p><strong>Patients and methods: </strong>This retrospective, observational study included consecutive patients referred for EUS-RFA of pancreatic RCC metastases. EUS-RFA was performed through 18G or 19G dedicated RFA needles. Effectiveness of EUS-RFA treatment was defined by necrosis with no contrast enhancement or lesion disappearance, determined by contrast-enhanced computed tomography (CT) scan, at 2 to 5 months post procedure, 1 year, and at the end of follow-up. Safety was assessed per and post procedure.</p><p><strong>Results: </strong>Between January 2015 and January 2021, eight patients with 11 lesions were treated and median time from RCC diagnosis to pancreatic metastases RFA was 8.5 years (1-15). Mean lesion size was 13.9 mm (± 3.9). Technical success assessed by immediate post procedure contrast-enhanced CT or Doppler was 100%. At the first CT scan follow-up, complete response was 45.4% and partial response was 27.3%. At 1 year, complete response was 45.4% and partial response was 27.3%. Three patients had multiple EUS-RFAs. Adverse events occurred in 3 patients (mild acute pancreatitis, abdominal pain, and pancreatic fistula with retro-gastric pseudocyst).</p><p><strong>Conclusions: </strong>Our study demonstrated the feasibility and safety of EUS-RFA for patients with pancreatic metastases of RCC.</p>","PeriodicalId":11671,"journal":{"name":"Endoscopy International Open","volume":"13 ","pages":"a25667350"},"PeriodicalIF":2.3000,"publicationDate":"2025-05-12","publicationTypes":"Journal Article","fieldsOfStudy":null,"isOpenAccess":false,"openAccessPdf":"https://www.ncbi.nlm.nih.gov/pmc/articles/PMC12080524/pdf/","citationCount":"0","resultStr":"{\"title\":\"Effectiveness and safety of endoscopic ultrasound-guided radiofrequency ablation for pancreatic metastases of renal cell carcinoma.\",\"authors\":\"Morgane Stouvenot, Stephane Koch, Alexandre Frontzcak, Christelle D'Engremont, Aurélien Boinette, Alexandre Doussot, Tristan Maurina, Lucine Vuitton\",\"doi\":\"10.1055/a-2566-7350\",\"DOIUrl\":null,\"url\":null,\"abstract\":\"<p><strong>Background and study aims: </strong>Pancreatic metastases from renal cell carcinoma (RCC) are usually managed surgically but with significant morbidity. As an alternative, endoscopic ultrasound-guided radiofrequency ablation (EUS-RFA) has shown promising results in treatment of pancreatic neuroendocrine tumors. The aim of our study was to assess technical success, effectiveness, and safety of EUS-RFA in patients with pancreatic metastases of RCC.</p><p><strong>Patients and methods: </strong>This retrospective, observational study included consecutive patients referred for EUS-RFA of pancreatic RCC metastases. EUS-RFA was performed through 18G or 19G dedicated RFA needles. Effectiveness of EUS-RFA treatment was defined by necrosis with no contrast enhancement or lesion disappearance, determined by contrast-enhanced computed tomography (CT) scan, at 2 to 5 months post procedure, 1 year, and at the end of follow-up. Safety was assessed per and post procedure.</p><p><strong>Results: </strong>Between January 2015 and January 2021, eight patients with 11 lesions were treated and median time from RCC diagnosis to pancreatic metastases RFA was 8.5 years (1-15). Mean lesion size was 13.9 mm (± 3.9). Technical success assessed by immediate post procedure contrast-enhanced CT or Doppler was 100%. At the first CT scan follow-up, complete response was 45.4% and partial response was 27.3%. At 1 year, complete response was 45.4% and partial response was 27.3%. Three patients had multiple EUS-RFAs. Adverse events occurred in 3 patients (mild acute pancreatitis, abdominal pain, and pancreatic fistula with retro-gastric pseudocyst).</p><p><strong>Conclusions: </strong>Our study demonstrated the feasibility and safety of EUS-RFA for patients with pancreatic metastases of RCC.</p>\",\"PeriodicalId\":11671,\"journal\":{\"name\":\"Endoscopy International Open\",\"volume\":\"13 \",\"pages\":\"a25667350\"},\"PeriodicalIF\":2.3000,\"publicationDate\":\"2025-05-12\",\"publicationTypes\":\"Journal Article\",\"fieldsOfStudy\":null,\"isOpenAccess\":false,\"openAccessPdf\":\"https://www.ncbi.nlm.nih.gov/pmc/articles/PMC12080524/pdf/\",\"citationCount\":\"0\",\"resultStr\":null,\"platform\":\"Semanticscholar\",\"paperid\":null,\"PeriodicalName\":\"Endoscopy International Open\",\"FirstCategoryId\":\"1085\",\"ListUrlMain\":\"https://doi.org/10.1055/a-2566-7350\",\"RegionNum\":0,\"RegionCategory\":null,\"ArticlePicture\":[],\"TitleCN\":null,\"AbstractTextCN\":null,\"PMCID\":null,\"EPubDate\":\"2025/1/1 0:00:00\",\"PubModel\":\"eCollection\",\"JCR\":\"Q3\",\"JCRName\":\"GASTROENTEROLOGY & HEPATOLOGY\",\"Score\":null,\"Total\":0}","platform":"Semanticscholar","paperid":null,"PeriodicalName":"Endoscopy International Open","FirstCategoryId":"1085","ListUrlMain":"https://doi.org/10.1055/a-2566-7350","RegionNum":0,"RegionCategory":null,"ArticlePicture":[],"TitleCN":null,"AbstractTextCN":null,"PMCID":null,"EPubDate":"2025/1/1 0:00:00","PubModel":"eCollection","JCR":"Q3","JCRName":"GASTROENTEROLOGY & HEPATOLOGY","Score":null,"Total":0}
引用次数: 0

摘要

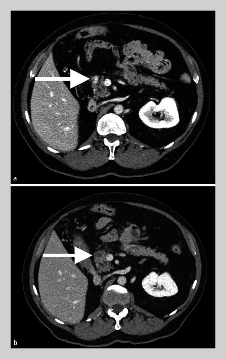
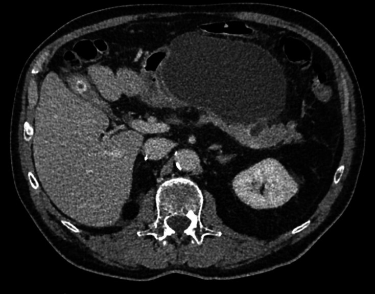
背景和研究目的:肾细胞癌(RCC)的胰腺转移通常采用手术治疗,但发病率很高。超声内镜引导下射频消融术(EUS-RFA)在胰腺神经内分泌肿瘤的治疗中显示出良好的效果。本研究的目的是评估EUS-RFA在肾细胞癌胰腺转移患者中的技术成功、有效性和安全性。患者和方法:这项回顾性观察性研究纳入了接受EUS-RFA治疗胰腺癌转移的连续患者。EUS-RFA通过18G或19G专用RFA针进行。EUS-RFA治疗的有效性定义为术后2 - 5个月、1年和随访结束时,通过对比增强计算机断层扫描(CT)确定坏死无增强或病变消失。在手术前后进行安全性评估。结果:2015年1月至2021年1月期间,治疗了8例11个病变的患者,从RCC诊断到胰腺转移性RFA的中位时间为8.5年(1-15)。平均病灶大小为13.9 mm(±3.9)。术后即刻CT增强或多普勒技术成功率为100%。第一次CT扫描随访时,完全缓解为45.4%,部分缓解为27.3%。1年时,完全缓解为45.4%,部分缓解为27.3%。3例患者有多发eus - rfa。3例患者出现不良事件(轻度急性胰腺炎、腹痛、胰瘘伴胃后假性囊肿)。结论:我们的研究证明了EUS-RFA治疗肾细胞癌胰腺转移的可行性和安全性。
本文章由计算机程序翻译,如有差异,请以英文原文为准。

Effectiveness and safety of endoscopic ultrasound-guided radiofrequency ablation for pancreatic metastases of renal cell carcinoma.

Effectiveness and safety of endoscopic ultrasound-guided radiofrequency ablation for pancreatic metastases of renal cell carcinoma.

Effectiveness and safety of endoscopic ultrasound-guided radiofrequency ablation for pancreatic metastases of renal cell carcinoma.

Background and study aims: Pancreatic metastases from renal cell carcinoma (RCC) are usually managed surgically but with significant morbidity. As an alternative, endoscopic ultrasound-guided radiofrequency ablation (EUS-RFA) has shown promising results in treatment of pancreatic neuroendocrine tumors. The aim of our study was to assess technical success, effectiveness, and safety of EUS-RFA in patients with pancreatic metastases of RCC.

Patients and methods: This retrospective, observational study included consecutive patients referred for EUS-RFA of pancreatic RCC metastases. EUS-RFA was performed through 18G or 19G dedicated RFA needles. Effectiveness of EUS-RFA treatment was defined by necrosis with no contrast enhancement or lesion disappearance, determined by contrast-enhanced computed tomography (CT) scan, at 2 to 5 months post procedure, 1 year, and at the end of follow-up. Safety was assessed per and post procedure.

Results: Between January 2015 and January 2021, eight patients with 11 lesions were treated and median time from RCC diagnosis to pancreatic metastases RFA was 8.5 years (1-15). Mean lesion size was 13.9 mm (± 3.9). Technical success assessed by immediate post procedure contrast-enhanced CT or Doppler was 100%. At the first CT scan follow-up, complete response was 45.4% and partial response was 27.3%. At 1 year, complete response was 45.4% and partial response was 27.3%. Three patients had multiple EUS-RFAs. Adverse events occurred in 3 patients (mild acute pancreatitis, abdominal pain, and pancreatic fistula with retro-gastric pseudocyst).

Conclusions: Our study demonstrated the feasibility and safety of EUS-RFA for patients with pancreatic metastases of RCC.

求助全文
通过发布文献求助,成功后即可免费获取论文全文。 去求助
来源期刊
Endoscopy International Open
Endoscopy International Open GASTROENTEROLOGY & HEPATOLOGY-
自引率
3.80%
发文量
270
×
引用
GB/T 7714-2015
复制
MLA
复制
APA
复制
导出至
BibTeX EndNote RefMan NoteFirst NoteExpress
×
提示
您的信息不完整,为了账户安全,请先补充。
现在去补充
×
提示
您因"违规操作"
具体请查看互助需知
我知道了
×
提示
确定
请完成安全验证×
copy
已复制链接
快去分享给好友吧!
我知道了
右上角分享
点击右上角分享
0
联系我们:info@booksci.cn Book学术提供免费学术资源搜索服务,方便国内外学者检索中英文文献。致力于提供最便捷和优质的服务体验。 Copyright © 2023 布克学术 All rights reserved.
京ICP备2023020795号-1
ghs 京公网安备 11010802042870号
Book学术文献互助
Book学术文献互助群
群 号:604180095
Book学术官方微信