脊髓硬膜内-髓内畸胎瘤伴喉腔形成1例报告。

IF 0.6 Q3 MEDICINE, GENERAL & INTERNAL
Clinical Medicine Insights. Case Reports Pub Date : 2025-05-14 eCollection Date: 2025-01-01 DOI:10.1177/11795476251341070
Munna William, Shahroze Ahmed, Mudasira Habib, Noor Fatima, Ayesha Jamal, Abdul Sattar Anjum
{"title":"脊髓硬膜内-髓内畸胎瘤伴喉腔形成1例报告。","authors":"Munna William, Shahroze Ahmed, Mudasira Habib, Noor Fatima, Ayesha Jamal, Abdul Sattar Anjum","doi":"10.1177/11795476251341070","DOIUrl":null,"url":null,"abstract":"<p><p>Spinal teratomas, though rare among spinal tumors, should be considered in the differential diagnosis of intradural-intramedullary lesions, especially in children presenting with urinary and fecal symptoms. Comprehensive imaging evaluation, including CT and MRI with characteristic findings such as cystic and solid components, the presence of fatty tissue, and associated spinal cord abnormalities like syrinx formation, can aid in early diagnosis. Surgical resection remains the mainstay of treatment, and prompt intervention is crucial to prevent progression and alleviate symptoms in affected patients. Here, we discuss a case of an intradural-intramedullary teratoma in a 6-year-old child who was timely diagnosed using CT and MRI and treated with total surgical resection.</p>","PeriodicalId":10357,"journal":{"name":"Clinical Medicine Insights. Case Reports","volume":"18 ","pages":"11795476251341070"},"PeriodicalIF":0.6000,"publicationDate":"2025-05-14","publicationTypes":"Journal Article","fieldsOfStudy":null,"isOpenAccess":false,"openAccessPdf":"https://www.ncbi.nlm.nih.gov/pmc/articles/PMC12078952/pdf/","citationCount":"0","resultStr":"{\"title\":\"Intradural-Intramedullary Spinal Teratoma with Syrinx Formation: A Case Report.\",\"authors\":\"Munna William, Shahroze Ahmed, Mudasira Habib, Noor Fatima, Ayesha Jamal, Abdul Sattar Anjum\",\"doi\":\"10.1177/11795476251341070\",\"DOIUrl\":null,\"url\":null,\"abstract\":\"<p><p>Spinal teratomas, though rare among spinal tumors, should be considered in the differential diagnosis of intradural-intramedullary lesions, especially in children presenting with urinary and fecal symptoms. Comprehensive imaging evaluation, including CT and MRI with characteristic findings such as cystic and solid components, the presence of fatty tissue, and associated spinal cord abnormalities like syrinx formation, can aid in early diagnosis. Surgical resection remains the mainstay of treatment, and prompt intervention is crucial to prevent progression and alleviate symptoms in affected patients. Here, we discuss a case of an intradural-intramedullary teratoma in a 6-year-old child who was timely diagnosed using CT and MRI and treated with total surgical resection.</p>\",\"PeriodicalId\":10357,\"journal\":{\"name\":\"Clinical Medicine Insights. Case Reports\",\"volume\":\"18 \",\"pages\":\"11795476251341070\"},\"PeriodicalIF\":0.6000,\"publicationDate\":\"2025-05-14\",\"publicationTypes\":\"Journal Article\",\"fieldsOfStudy\":null,\"isOpenAccess\":false,\"openAccessPdf\":\"https://www.ncbi.nlm.nih.gov/pmc/articles/PMC12078952/pdf/\",\"citationCount\":\"0\",\"resultStr\":null,\"platform\":\"Semanticscholar\",\"paperid\":null,\"PeriodicalName\":\"Clinical Medicine Insights. Case Reports\",\"FirstCategoryId\":\"1085\",\"ListUrlMain\":\"https://doi.org/10.1177/11795476251341070\",\"RegionNum\":0,\"RegionCategory\":null,\"ArticlePicture\":[],\"TitleCN\":null,\"AbstractTextCN\":null,\"PMCID\":null,\"EPubDate\":\"2025/1/1 0:00:00\",\"PubModel\":\"eCollection\",\"JCR\":\"Q3\",\"JCRName\":\"MEDICINE, GENERAL & INTERNAL\",\"Score\":null,\"Total\":0}","platform":"Semanticscholar","paperid":null,"PeriodicalName":"Clinical Medicine Insights. Case Reports","FirstCategoryId":"1085","ListUrlMain":"https://doi.org/10.1177/11795476251341070","RegionNum":0,"RegionCategory":null,"ArticlePicture":[],"TitleCN":null,"AbstractTextCN":null,"PMCID":null,"EPubDate":"2025/1/1 0:00:00","PubModel":"eCollection","JCR":"Q3","JCRName":"MEDICINE, GENERAL & INTERNAL","Score":null,"Total":0}
引用次数: 0

摘要

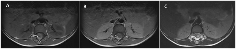
脊柱畸胎瘤虽然在脊柱肿瘤中很少见,但在硬膜内-髓内病变的鉴别诊断中应予以考虑,特别是在出现泌尿和粪便症状的儿童中。全面的影像学评估,包括CT和MRI的特征性发现,如囊性和实性成分,脂肪组织的存在,以及相关的脊髓异常,如鼻咽形成,可以帮助早期诊断。手术切除仍然是治疗的主要方法,及时干预对于预防进展和减轻患者的症状至关重要。在这里,我们讨论一个病例硬膜内-髓内畸胎瘤在一个6岁的儿童谁是及时诊断通过CT和MRI和治疗全手术切除。
本文章由计算机程序翻译,如有差异,请以英文原文为准。

Intradural-Intramedullary Spinal Teratoma with Syrinx Formation: A Case Report.

Intradural-Intramedullary Spinal Teratoma with Syrinx Formation: A Case Report.

Intradural-Intramedullary Spinal Teratoma with Syrinx Formation: A Case Report.

Intradural-Intramedullary Spinal Teratoma with Syrinx Formation: A Case Report.

Spinal teratomas, though rare among spinal tumors, should be considered in the differential diagnosis of intradural-intramedullary lesions, especially in children presenting with urinary and fecal symptoms. Comprehensive imaging evaluation, including CT and MRI with characteristic findings such as cystic and solid components, the presence of fatty tissue, and associated spinal cord abnormalities like syrinx formation, can aid in early diagnosis. Surgical resection remains the mainstay of treatment, and prompt intervention is crucial to prevent progression and alleviate symptoms in affected patients. Here, we discuss a case of an intradural-intramedullary teratoma in a 6-year-old child who was timely diagnosed using CT and MRI and treated with total surgical resection.

求助全文
通过发布文献求助,成功后即可免费获取论文全文。 去求助
来源期刊
Clinical Medicine Insights. Case Reports
Clinical Medicine Insights. Case Reports MEDICINE, GENERAL & INTERNAL-
CiteScore
1.10
自引率
0.00%
发文量
57
审稿时长
8 weeks
×
引用
GB/T 7714-2015
复制
MLA
复制
APA
复制
导出至
BibTeX EndNote RefMan NoteFirst NoteExpress
×
提示
您的信息不完整,为了账户安全,请先补充。
现在去补充
×
提示
您因"违规操作"
具体请查看互助需知
我知道了
×
提示
确定
请完成安全验证×
copy
已复制链接
快去分享给好友吧!
我知道了
右上角分享
点击右上角分享
0
联系我们:info@booksci.cn Book学术提供免费学术资源搜索服务,方便国内外学者检索中英文文献。致力于提供最便捷和优质的服务体验。 Copyright © 2023 布克学术 All rights reserved.
京ICP备2023020795号-1
ghs 京公网安备 11010802042870号
Book学术文献互助
Book学术文献互助群
群 号:604180095
Book学术官方微信