额头隆突性皮肤纤维肉瘤:罕见病例报告及文献复习。

IF 0.6 Q4 ONCOLOGY
Case Reports in Oncological Medicine Pub Date : 2025-05-08 eCollection Date: 2025-01-01 DOI:10.1155/crom/9991548
Ulrich Igor Mbessoh Kengne, Jaafar Ibn Abou Talib Thiam, Amacoumba Fall, Salif Balde, Mamadou Ndiaye, Joel Gabin Konlack Mekontso, Gorgui Sarr, Etienne Tossou Zoure, Mamadou Sow, Sidy Ka
{"title":"额头隆突性皮肤纤维肉瘤:罕见病例报告及文献复习。","authors":"Ulrich Igor Mbessoh Kengne, Jaafar Ibn Abou Talib Thiam, Amacoumba Fall, Salif Balde, Mamadou Ndiaye, Joel Gabin Konlack Mekontso, Gorgui Sarr, Etienne Tossou Zoure, Mamadou Sow, Sidy Ka","doi":"10.1155/crom/9991548","DOIUrl":null,"url":null,"abstract":"<p><p>Dermatofibrosarcoma protuberans (DFSP) is a rare soft tissue sarcoma originating from fibroblasts in the dermal connective tissue, comprising approximately 1% of all soft tissue sarcomas. While most cases involve the trunk and extremities, only 10%-15% occur in the cephalic region, representing less than 1% of all head and neck neoplasms. DFSP is notable for its high propensity for local recurrence following surgical excision and its low metastatic potential. We report a case of recurrent DFSP of the forehead extending to the anterior wall of the left frontal sinus, without brain involvement, in a 33-year-old male with a history of three prior wide local excisions. A multidisciplinary cancer team recommended systemic imatinib therapy. This case highlights the challenges of managing DFSP in an uncommon location, underscoring the importance of a multidisciplinary approach in addressing recurrent and complex presentations.</p>","PeriodicalId":9636,"journal":{"name":"Case Reports in Oncological Medicine","volume":"2025 ","pages":"9991548"},"PeriodicalIF":0.6000,"publicationDate":"2025-05-08","publicationTypes":"Journal Article","fieldsOfStudy":null,"isOpenAccess":false,"openAccessPdf":"https://www.ncbi.nlm.nih.gov/pmc/articles/PMC12081156/pdf/","citationCount":"0","resultStr":"{\"title\":\"Dermatofibrosarcoma Protuberans of the Forehead: Case Report of a Rare Entity and Review of Literature.\",\"authors\":\"Ulrich Igor Mbessoh Kengne, Jaafar Ibn Abou Talib Thiam, Amacoumba Fall, Salif Balde, Mamadou Ndiaye, Joel Gabin Konlack Mekontso, Gorgui Sarr, Etienne Tossou Zoure, Mamadou Sow, Sidy Ka\",\"doi\":\"10.1155/crom/9991548\",\"DOIUrl\":null,\"url\":null,\"abstract\":\"<p><p>Dermatofibrosarcoma protuberans (DFSP) is a rare soft tissue sarcoma originating from fibroblasts in the dermal connective tissue, comprising approximately 1% of all soft tissue sarcomas. While most cases involve the trunk and extremities, only 10%-15% occur in the cephalic region, representing less than 1% of all head and neck neoplasms. DFSP is notable for its high propensity for local recurrence following surgical excision and its low metastatic potential. We report a case of recurrent DFSP of the forehead extending to the anterior wall of the left frontal sinus, without brain involvement, in a 33-year-old male with a history of three prior wide local excisions. A multidisciplinary cancer team recommended systemic imatinib therapy. This case highlights the challenges of managing DFSP in an uncommon location, underscoring the importance of a multidisciplinary approach in addressing recurrent and complex presentations.</p>\",\"PeriodicalId\":9636,\"journal\":{\"name\":\"Case Reports in Oncological Medicine\",\"volume\":\"2025 \",\"pages\":\"9991548\"},\"PeriodicalIF\":0.6000,\"publicationDate\":\"2025-05-08\",\"publicationTypes\":\"Journal Article\",\"fieldsOfStudy\":null,\"isOpenAccess\":false,\"openAccessPdf\":\"https://www.ncbi.nlm.nih.gov/pmc/articles/PMC12081156/pdf/\",\"citationCount\":\"0\",\"resultStr\":null,\"platform\":\"Semanticscholar\",\"paperid\":null,\"PeriodicalName\":\"Case Reports in Oncological Medicine\",\"FirstCategoryId\":\"1085\",\"ListUrlMain\":\"https://doi.org/10.1155/crom/9991548\",\"RegionNum\":0,\"RegionCategory\":null,\"ArticlePicture\":[],\"TitleCN\":null,\"AbstractTextCN\":null,\"PMCID\":null,\"EPubDate\":\"2025/1/1 0:00:00\",\"PubModel\":\"eCollection\",\"JCR\":\"Q4\",\"JCRName\":\"ONCOLOGY\",\"Score\":null,\"Total\":0}","platform":"Semanticscholar","paperid":null,"PeriodicalName":"Case Reports in Oncological Medicine","FirstCategoryId":"1085","ListUrlMain":"https://doi.org/10.1155/crom/9991548","RegionNum":0,"RegionCategory":null,"ArticlePicture":[],"TitleCN":null,"AbstractTextCN":null,"PMCID":null,"EPubDate":"2025/1/1 0:00:00","PubModel":"eCollection","JCR":"Q4","JCRName":"ONCOLOGY","Score":null,"Total":0}
引用次数: 0

摘要

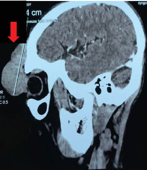
隆突性皮肤纤维肉瘤(DFSP)是一种罕见的软组织肉瘤,起源于真皮结缔组织中的成纤维细胞,约占所有软组织肉瘤的1%。虽然大多数病例累及躯干和四肢,但只有10%-15%发生在头侧区域,占所有头颈部肿瘤的不到1%。DFSP因其在手术切除后局部复发的高倾向和低转移潜力而值得注意。我们报告一例复发性前额DFSP延伸至左额窦前壁,未累及大脑,患者为33岁男性,既往有三次大面积局部切除史。一个多学科的癌症小组推荐全身伊马替尼治疗。本病例强调了在不寻常的地点管理DFSP的挑战,强调了多学科方法在解决复发性和复杂表现方面的重要性。
本文章由计算机程序翻译,如有差异,请以英文原文为准。

Dermatofibrosarcoma Protuberans of the Forehead: Case Report of a Rare Entity and Review of Literature.

Dermatofibrosarcoma Protuberans of the Forehead: Case Report of a Rare Entity and Review of Literature.

Dermatofibrosarcoma Protuberans of the Forehead: Case Report of a Rare Entity and Review of Literature.

Dermatofibrosarcoma Protuberans of the Forehead: Case Report of a Rare Entity and Review of Literature.

Dermatofibrosarcoma protuberans (DFSP) is a rare soft tissue sarcoma originating from fibroblasts in the dermal connective tissue, comprising approximately 1% of all soft tissue sarcomas. While most cases involve the trunk and extremities, only 10%-15% occur in the cephalic region, representing less than 1% of all head and neck neoplasms. DFSP is notable for its high propensity for local recurrence following surgical excision and its low metastatic potential. We report a case of recurrent DFSP of the forehead extending to the anterior wall of the left frontal sinus, without brain involvement, in a 33-year-old male with a history of three prior wide local excisions. A multidisciplinary cancer team recommended systemic imatinib therapy. This case highlights the challenges of managing DFSP in an uncommon location, underscoring the importance of a multidisciplinary approach in addressing recurrent and complex presentations.

求助全文
通过发布文献求助,成功后即可免费获取论文全文。 去求助
来源期刊
自引率
0.00%
发文量
11
审稿时长
16 weeks
期刊介绍: Case Reports in Oncological Medicine is a peer-reviewed, Open Access journal that publishes case reports and case series related to breast cancer, lung cancer, gastrointestinal cancer, skin cancer, head and neck cancer, paediatric oncology, neurooncology as well as genitourinary cancer.
×
引用
GB/T 7714-2015
复制
MLA
复制
APA
复制
导出至
BibTeX EndNote RefMan NoteFirst NoteExpress
×
提示
您的信息不完整,为了账户安全,请先补充。
现在去补充
×
提示
您因"违规操作"
具体请查看互助需知
我知道了
×
提示
确定
请完成安全验证×
copy
已复制链接
快去分享给好友吧!
我知道了
右上角分享
点击右上角分享
0
联系我们:info@booksci.cn Book学术提供免费学术资源搜索服务,方便国内外学者检索中英文文献。致力于提供最便捷和优质的服务体验。 Copyright © 2023 布克学术 All rights reserved.
京ICP备2023020795号-1
ghs 京公网安备 11010802042870号
Book学术文献互助
Book学术文献互助群
群 号:604180095
Book学术官方微信