胸腺生成素-α, -β和-γ亚型在宫颈癌细胞中的表达增加。

IF 2.6 4区 医学 Q3 INFECTIOUS DISEASES
Víctor Huerta-Padilla, Daniel Marrero-Rodríguez, Keiko Taniguchi-Ponciano, Ariana E López, Fernando Candanedo-González, Emmanuel Salcedo, Alejandra Valdivia-Flores, Miriam Rodriguez-Esquivel, Laura Gómez Virgilio, Ricardo López-Romero, Maria de Jesus Nambo-Lucio, Sergio E Meza-Toledo, Cindy Bandala, Marco A Meraz, Mauricio Salcedo
{"title":"胸腺生成素-α, -β和-γ亚型在宫颈癌细胞中的表达增加。","authors":"Víctor Huerta-Padilla, Daniel Marrero-Rodríguez, Keiko Taniguchi-Ponciano, Ariana E López, Fernando Candanedo-González, Emmanuel Salcedo, Alejandra Valdivia-Flores, Miriam Rodriguez-Esquivel, Laura Gómez Virgilio, Ricardo López-Romero, Maria de Jesus Nambo-Lucio, Sergio E Meza-Toledo, Cindy Bandala, Marco A Meraz, Mauricio Salcedo","doi":"10.1155/cjid/1668482","DOIUrl":null,"url":null,"abstract":"<p><p>Cervical cancer (CC) is a public health concern related to the human papillomavirus (HPV) persistent infection. Minichromosome maintenance 2 (MCM2) has been postulated as a surrogate marker for HPV infection. Thymopoietin (TMPO) is a nuclear protein regulated by E2F such as MCM2 or p16. TMPO can give rise to six different isoforms. Herein, both the mRNA and protein levels of TMPO isoforms were analyzed in cervical cells. TMPO expression was selected and analyzed through in silico in several databases from the healthy cervix and cervical lesions. TMPO RNA expression was evaluated in cervical samples and cell lines by RT-PCR and protein expression by Western-blot and immunohistochemistry assays. TMPO and MCM2 immunostaining were evaluated in cervical smears. The clinical-pathological correlation analysis was performed using Kruskal-Wallis or <i>Χ</i> <sup>2</sup> tests. TMPO is overexpressed in 74% of CC cells and all CC cell lines. Moreover, negative immunostaining was observed in normal cervical tissue, compared to strong expression for cervical lesions. Interestingly, TMPO-α, -β, -δ, -ε, and -γ are expressed in all cervical cells and tissues, but a differential expression for α, -β, and -γ isoforms among the cervical cells was observed as overexpressed when HPV is present. Also, the immunostaining of both MCM2 and TMPO was quite similar, but TMPO expression was more sensitive and specific than MCM2 protein. The present study has revealed that TMPO protein expression could be a potential molecular marker for cervical transformed cells, highlighting the TMPO-α, -β, and -γ isoforms as a promising molecular marker of HPV infection.</p>","PeriodicalId":50715,"journal":{"name":"Canadian Journal of Infectious Diseases & Medical Microbiology","volume":"2025 ","pages":"1668482"},"PeriodicalIF":2.6000,"publicationDate":"2025-04-09","publicationTypes":"Journal Article","fieldsOfStudy":null,"isOpenAccess":false,"openAccessPdf":"https://www.ncbi.nlm.nih.gov/pmc/articles/PMC12003041/pdf/","citationCount":"0","resultStr":"{\"title\":\"Thymopoietin-<i>α</i>, -<i>β</i>, and -<i>γ</i> Isoforms Increased Expression in Cervical Cancer Cells.\",\"authors\":\"Víctor Huerta-Padilla, Daniel Marrero-Rodríguez, Keiko Taniguchi-Ponciano, Ariana E López, Fernando Candanedo-González, Emmanuel Salcedo, Alejandra Valdivia-Flores, Miriam Rodriguez-Esquivel, Laura Gómez Virgilio, Ricardo López-Romero, Maria de Jesus Nambo-Lucio, Sergio E Meza-Toledo, Cindy Bandala, Marco A Meraz, Mauricio Salcedo\",\"doi\":\"10.1155/cjid/1668482\",\"DOIUrl\":null,\"url\":null,\"abstract\":\"<p><p>Cervical cancer (CC) is a public health concern related to the human papillomavirus (HPV) persistent infection. Minichromosome maintenance 2 (MCM2) has been postulated as a surrogate marker for HPV infection. Thymopoietin (TMPO) is a nuclear protein regulated by E2F such as MCM2 or p16. TMPO can give rise to six different isoforms. Herein, both the mRNA and protein levels of TMPO isoforms were analyzed in cervical cells. TMPO expression was selected and analyzed through in silico in several databases from the healthy cervix and cervical lesions. TMPO RNA expression was evaluated in cervical samples and cell lines by RT-PCR and protein expression by Western-blot and immunohistochemistry assays. TMPO and MCM2 immunostaining were evaluated in cervical smears. The clinical-pathological correlation analysis was performed using Kruskal-Wallis or <i>Χ</i> <sup>2</sup> tests. TMPO is overexpressed in 74% of CC cells and all CC cell lines. Moreover, negative immunostaining was observed in normal cervical tissue, compared to strong expression for cervical lesions. Interestingly, TMPO-α, -β, -δ, -ε, and -γ are expressed in all cervical cells and tissues, but a differential expression for α, -β, and -γ isoforms among the cervical cells was observed as overexpressed when HPV is present. Also, the immunostaining of both MCM2 and TMPO was quite similar, but TMPO expression was more sensitive and specific than MCM2 protein. The present study has revealed that TMPO protein expression could be a potential molecular marker for cervical transformed cells, highlighting the TMPO-α, -β, and -γ isoforms as a promising molecular marker of HPV infection.</p>\",\"PeriodicalId\":50715,\"journal\":{\"name\":\"Canadian Journal of Infectious Diseases & Medical Microbiology\",\"volume\":\"2025 \",\"pages\":\"1668482\"},\"PeriodicalIF\":2.6000,\"publicationDate\":\"2025-04-09\",\"publicationTypes\":\"Journal Article\",\"fieldsOfStudy\":null,\"isOpenAccess\":false,\"openAccessPdf\":\"https://www.ncbi.nlm.nih.gov/pmc/articles/PMC12003041/pdf/\",\"citationCount\":\"0\",\"resultStr\":null,\"platform\":\"Semanticscholar\",\"paperid\":null,\"PeriodicalName\":\"Canadian Journal of Infectious Diseases & Medical Microbiology\",\"FirstCategoryId\":\"3\",\"ListUrlMain\":\"https://doi.org/10.1155/cjid/1668482\",\"RegionNum\":4,\"RegionCategory\":\"医学\",\"ArticlePicture\":[],\"TitleCN\":null,\"AbstractTextCN\":null,\"PMCID\":null,\"EPubDate\":\"2025/1/1 0:00:00\",\"PubModel\":\"eCollection\",\"JCR\":\"Q3\",\"JCRName\":\"INFECTIOUS DISEASES\",\"Score\":null,\"Total\":0}","platform":"Semanticscholar","paperid":null,"PeriodicalName":"Canadian Journal of Infectious Diseases & Medical Microbiology","FirstCategoryId":"3","ListUrlMain":"https://doi.org/10.1155/cjid/1668482","RegionNum":4,"RegionCategory":"医学","ArticlePicture":[],"TitleCN":null,"AbstractTextCN":null,"PMCID":null,"EPubDate":"2025/1/1 0:00:00","PubModel":"eCollection","JCR":"Q3","JCRName":"INFECTIOUS DISEASES","Score":null,"Total":0}
引用次数: 0

摘要

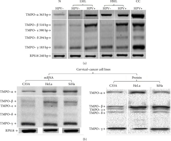
宫颈癌(CC)是一种与人类乳头瘤病毒(HPV)持续感染有关的公共卫生问题。小染色体维持2 (MCM2)被认为是HPV感染的替代标志物。胸腺生成素(Thymopoietin, TMPO)是由E2F如MCM2或p16调控的核蛋白。TMPO可以产生六种不同的同工异构体。本文分析了宫颈细胞中TMPO亚型的mRNA和蛋白水平。从健康子宫颈和宫颈病变的几个数据库中选择TMPO表达并通过计算机分析。RT-PCR检测宫颈标本和细胞系中TMPO RNA表达,Western-blot和免疫组化检测TMPO蛋白表达。宫颈涂片检测TMPO和MCM2免疫染色。采用Kruskal-Wallis或Χ 2检验进行临床病理相关性分析。TMPO在74%的CC细胞和所有CC细胞系中过表达。此外,在正常宫颈组织中观察到阴性免疫染色,而在宫颈病变组织中观察到强表达。有趣的是,TMPO-α, -β, -δ, -ε和-γ在所有宫颈细胞和组织中都有表达,但是当HPV存在时,观察到宫颈细胞中α, -β和-γ亚型的差异表达过表达。MCM2蛋白和TMPO蛋白的免疫染色相似,但TMPO蛋白的表达比MCM2蛋白更加敏感和特异。本研究表明,TMPO蛋白表达可能是宫颈转化细胞的潜在分子标记,强调TMPO-α, -β和-γ亚型是HPV感染的有希望的分子标记。
本文章由计算机程序翻译,如有差异,请以英文原文为准。

Thymopoietin-<i>α</i>, -<i>β</i>, and -<i>γ</i> Isoforms Increased Expression in Cervical Cancer Cells.

Thymopoietin-<i>α</i>, -<i>β</i>, and -<i>γ</i> Isoforms Increased Expression in Cervical Cancer Cells.

Thymopoietin-<i>α</i>, -<i>β</i>, and -<i>γ</i> Isoforms Increased Expression in Cervical Cancer Cells.

Thymopoietin-α, -β, and -γ Isoforms Increased Expression in Cervical Cancer Cells.

Cervical cancer (CC) is a public health concern related to the human papillomavirus (HPV) persistent infection. Minichromosome maintenance 2 (MCM2) has been postulated as a surrogate marker for HPV infection. Thymopoietin (TMPO) is a nuclear protein regulated by E2F such as MCM2 or p16. TMPO can give rise to six different isoforms. Herein, both the mRNA and protein levels of TMPO isoforms were analyzed in cervical cells. TMPO expression was selected and analyzed through in silico in several databases from the healthy cervix and cervical lesions. TMPO RNA expression was evaluated in cervical samples and cell lines by RT-PCR and protein expression by Western-blot and immunohistochemistry assays. TMPO and MCM2 immunostaining were evaluated in cervical smears. The clinical-pathological correlation analysis was performed using Kruskal-Wallis or Χ 2 tests. TMPO is overexpressed in 74% of CC cells and all CC cell lines. Moreover, negative immunostaining was observed in normal cervical tissue, compared to strong expression for cervical lesions. Interestingly, TMPO-α, -β, -δ, -ε, and -γ are expressed in all cervical cells and tissues, but a differential expression for α, -β, and -γ isoforms among the cervical cells was observed as overexpressed when HPV is present. Also, the immunostaining of both MCM2 and TMPO was quite similar, but TMPO expression was more sensitive and specific than MCM2 protein. The present study has revealed that TMPO protein expression could be a potential molecular marker for cervical transformed cells, highlighting the TMPO-α, -β, and -γ isoforms as a promising molecular marker of HPV infection.

求助全文
通过发布文献求助,成功后即可免费获取论文全文。 去求助
来源期刊
CiteScore
4.30
自引率
0.00%
发文量
108
审稿时长
>12 weeks
期刊介绍: Canadian Journal of Infectious Diseases and Medical Microbiology is a peer-reviewed, Open Access journal that publishes original research articles, review articles, and clinical studies related to infectious diseases of bacterial, viral and parasitic origin. The journal welcomes articles describing research on pathogenesis, epidemiology of infection, diagnosis and treatment, antibiotics and resistance, and immunology.
×
引用
GB/T 7714-2015
复制
MLA
复制
APA
复制
导出至
BibTeX EndNote RefMan NoteFirst NoteExpress
×
提示
您的信息不完整,为了账户安全,请先补充。
现在去补充
×
提示
您因"违规操作"
具体请查看互助需知
我知道了
×
提示
确定
请完成安全验证×
copy
已复制链接
快去分享给好友吧!
我知道了
右上角分享
点击右上角分享
0
联系我们:info@booksci.cn Book学术提供免费学术资源搜索服务,方便国内外学者检索中英文文献。致力于提供最便捷和优质的服务体验。 Copyright © 2023 布克学术 All rights reserved.
京ICP备2023020795号-1
ghs 京公网安备 11010802042870号
Book学术文献互助
Book学术文献互助群
群 号:604180095
Book学术官方微信