卵巢恶性生殖细胞瘤。

IF 3.7 2区 医学 Q1 OBSTETRICS & GYNECOLOGY
Journal of Gynecologic Oncology Pub Date : 2025-05-01 Epub Date: 2025-04-08 DOI:10.3802/jgo.2025.36.e108
Francesca De Maria, Frédéric Amant, Valentina Chiappa, Biagio Paolini, Alice Bergamini, Robert Fruscio, Giovanni Corso, Francesco Raspagliesi, Giorgio Bogani
{"title":"卵巢恶性生殖细胞瘤。","authors":"Francesca De Maria, Frédéric Amant, Valentina Chiappa, Biagio Paolini, Alice Bergamini, Robert Fruscio, Giovanni Corso, Francesco Raspagliesi, Giorgio Bogani","doi":"10.3802/jgo.2025.36.e108","DOIUrl":null,"url":null,"abstract":"<p><p>Malignant ovarian germ cell tumors are rare and diverse malignancies, accounting for approximately 5% of all ovarian cancers. Primarily affecting young women, these tumors present unique challenges, particularly in balancing effective treatment with fertility preservation. Early diagnosis is common due to the rapid tumor growth and symptoms such as abdominal pain and distension, leading to favorable prognoses when combined with the high chemosensitivity of platinum-based regimens. Fertility-sparing surgery is the cornerstone of treatment for stage I disease, often followed by close surveillance to minimize the long-term toxicities of chemotherapy. Pathology is pivotal for diagnosis, incorporating immunohistochemical markers to differentiate malignant ovarian germ cell tumors subtypes, including dysgerminomas, yolk sac tumors, and immature teratomas. Advanced imaging modalities like ultrasound, magnetic resonance imaging, and computed tomography are essential for staging, monitoring treatment response, and detecting recurrences. Despite high cure rates, long-term follow-up is crucial to manage late toxicities, such as gonadal dysfunction and secondary malignancies. Recurrent malignant ovarian germ cell tumors present significant therapeutic challenges. High-dose chemotherapy with stem-cell transplantation offers promise in select cases, while the role of secondary cytoreductive surgery and radiotherapy is limited to specific indications. Emerging targeted therapies and novel approaches, such as KIT inhibitors for dysgerminomas with KIT mutations, remain experimental, with limited success reported so far. The rarity and heterogeneity of malignant ovarian germ cell tumors impede large-scale research efforts, underscoring the need for greater understanding of their molecular and genetic landscape to develop more effective and personalized therapies.</p>","PeriodicalId":15868,"journal":{"name":"Journal of Gynecologic Oncology","volume":" ","pages":"e108"},"PeriodicalIF":3.7000,"publicationDate":"2025-05-01","publicationTypes":"Journal Article","fieldsOfStudy":null,"isOpenAccess":false,"openAccessPdf":"https://www.ncbi.nlm.nih.gov/pmc/articles/PMC12099048/pdf/","citationCount":"0","resultStr":"{\"title\":\"Malignant germ cells tumor of the ovary.\",\"authors\":\"Francesca De Maria, Frédéric Amant, Valentina Chiappa, Biagio Paolini, Alice Bergamini, Robert Fruscio, Giovanni Corso, Francesco Raspagliesi, Giorgio Bogani\",\"doi\":\"10.3802/jgo.2025.36.e108\",\"DOIUrl\":null,\"url\":null,\"abstract\":\"<p><p>Malignant ovarian germ cell tumors are rare and diverse malignancies, accounting for approximately 5% of all ovarian cancers. Primarily affecting young women, these tumors present unique challenges, particularly in balancing effective treatment with fertility preservation. Early diagnosis is common due to the rapid tumor growth and symptoms such as abdominal pain and distension, leading to favorable prognoses when combined with the high chemosensitivity of platinum-based regimens. Fertility-sparing surgery is the cornerstone of treatment for stage I disease, often followed by close surveillance to minimize the long-term toxicities of chemotherapy. Pathology is pivotal for diagnosis, incorporating immunohistochemical markers to differentiate malignant ovarian germ cell tumors subtypes, including dysgerminomas, yolk sac tumors, and immature teratomas. Advanced imaging modalities like ultrasound, magnetic resonance imaging, and computed tomography are essential for staging, monitoring treatment response, and detecting recurrences. Despite high cure rates, long-term follow-up is crucial to manage late toxicities, such as gonadal dysfunction and secondary malignancies. Recurrent malignant ovarian germ cell tumors present significant therapeutic challenges. High-dose chemotherapy with stem-cell transplantation offers promise in select cases, while the role of secondary cytoreductive surgery and radiotherapy is limited to specific indications. Emerging targeted therapies and novel approaches, such as KIT inhibitors for dysgerminomas with KIT mutations, remain experimental, with limited success reported so far. The rarity and heterogeneity of malignant ovarian germ cell tumors impede large-scale research efforts, underscoring the need for greater understanding of their molecular and genetic landscape to develop more effective and personalized therapies.</p>\",\"PeriodicalId\":15868,\"journal\":{\"name\":\"Journal of Gynecologic Oncology\",\"volume\":\" \",\"pages\":\"e108\"},\"PeriodicalIF\":3.7000,\"publicationDate\":\"2025-05-01\",\"publicationTypes\":\"Journal Article\",\"fieldsOfStudy\":null,\"isOpenAccess\":false,\"openAccessPdf\":\"https://www.ncbi.nlm.nih.gov/pmc/articles/PMC12099048/pdf/\",\"citationCount\":\"0\",\"resultStr\":null,\"platform\":\"Semanticscholar\",\"paperid\":null,\"PeriodicalName\":\"Journal of Gynecologic Oncology\",\"FirstCategoryId\":\"3\",\"ListUrlMain\":\"https://doi.org/10.3802/jgo.2025.36.e108\",\"RegionNum\":2,\"RegionCategory\":\"医学\",\"ArticlePicture\":[],\"TitleCN\":null,\"AbstractTextCN\":null,\"PMCID\":null,\"EPubDate\":\"2025/4/8 0:00:00\",\"PubModel\":\"Epub\",\"JCR\":\"Q1\",\"JCRName\":\"OBSTETRICS & GYNECOLOGY\",\"Score\":null,\"Total\":0}","platform":"Semanticscholar","paperid":null,"PeriodicalName":"Journal of Gynecologic Oncology","FirstCategoryId":"3","ListUrlMain":"https://doi.org/10.3802/jgo.2025.36.e108","RegionNum":2,"RegionCategory":"医学","ArticlePicture":[],"TitleCN":null,"AbstractTextCN":null,"PMCID":null,"EPubDate":"2025/4/8 0:00:00","PubModel":"Epub","JCR":"Q1","JCRName":"OBSTETRICS & GYNECOLOGY","Score":null,"Total":0}
引用次数: 0

摘要

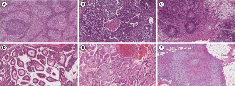
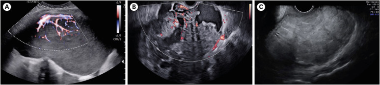
恶性卵巢生殖细胞瘤是一种罕见而多样的恶性肿瘤,约占所有卵巢癌的5%。主要影响年轻女性,这些肿瘤提出了独特的挑战,特别是在平衡有效治疗和生育能力的保护。早期诊断是常见的,因为肿瘤生长迅速,症状如腹痛和腹胀,当结合铂基方案的高化疗敏感性时,预后良好。保留生育能力的手术是I期疾病治疗的基础,通常随后进行密切监测,以尽量减少化疗的长期毒性。病理是诊断的关键,结合免疫组织化学标记来区分恶性卵巢生殖细胞肿瘤亚型,包括胚芽发育不良瘤、卵黄囊瘤和未成熟畸胎瘤。先进的成像方式,如超声、磁共振成像和计算机断层扫描对于分期、监测治疗反应和检测复发是必不可少的。尽管治愈率很高,但长期随访对于治疗晚期毒性(如性腺功能障碍和继发性恶性肿瘤)至关重要。复发性恶性卵巢生殖细胞肿瘤提出了重大的治疗挑战。高剂量化疗联合干细胞移植在某些病例中提供了希望,而二次细胞减少手术和放疗的作用仅限于特定适应症。新兴的靶向治疗和新方法,如针对KIT突变的异常生殖细胞瘤的KIT抑制剂,仍处于实验阶段,迄今为止报道的成功有限。恶性卵巢生殖细胞肿瘤的罕见性和异质性阻碍了大规模的研究工作,强调需要更深入地了解其分子和遗传景观,以开发更有效和个性化的治疗方法。
本文章由计算机程序翻译,如有差异,请以英文原文为准。

Malignant germ cells tumor of the ovary.

Malignant germ cells tumor of the ovary.

Malignant germ cells tumor of the ovary.

Malignant germ cells tumor of the ovary.

Malignant ovarian germ cell tumors are rare and diverse malignancies, accounting for approximately 5% of all ovarian cancers. Primarily affecting young women, these tumors present unique challenges, particularly in balancing effective treatment with fertility preservation. Early diagnosis is common due to the rapid tumor growth and symptoms such as abdominal pain and distension, leading to favorable prognoses when combined with the high chemosensitivity of platinum-based regimens. Fertility-sparing surgery is the cornerstone of treatment for stage I disease, often followed by close surveillance to minimize the long-term toxicities of chemotherapy. Pathology is pivotal for diagnosis, incorporating immunohistochemical markers to differentiate malignant ovarian germ cell tumors subtypes, including dysgerminomas, yolk sac tumors, and immature teratomas. Advanced imaging modalities like ultrasound, magnetic resonance imaging, and computed tomography are essential for staging, monitoring treatment response, and detecting recurrences. Despite high cure rates, long-term follow-up is crucial to manage late toxicities, such as gonadal dysfunction and secondary malignancies. Recurrent malignant ovarian germ cell tumors present significant therapeutic challenges. High-dose chemotherapy with stem-cell transplantation offers promise in select cases, while the role of secondary cytoreductive surgery and radiotherapy is limited to specific indications. Emerging targeted therapies and novel approaches, such as KIT inhibitors for dysgerminomas with KIT mutations, remain experimental, with limited success reported so far. The rarity and heterogeneity of malignant ovarian germ cell tumors impede large-scale research efforts, underscoring the need for greater understanding of their molecular and genetic landscape to develop more effective and personalized therapies.

求助全文
通过发布文献求助,成功后即可免费获取论文全文。 去求助
来源期刊
Journal of Gynecologic Oncology
Journal of Gynecologic Oncology ONCOLOGY-OBSTETRICS & GYNECOLOGY
CiteScore
6.00
自引率
2.60%
发文量
84
审稿时长
>12 weeks
期刊介绍: The Journal of Gynecologic Oncology (JGO) is an official publication of the Asian Society of Gynecologic Oncology. Abbreviated title is ''J Gynecol Oncol''. It was launched in 1990. The JGO''s aim is to publish the highest quality manuscripts dedicated to the advancement of care of the patients with gynecologic cancer. It is an international peer-reviewed periodical journal that is published bimonthly (January, March, May, July, September, and November). Supplement numbers are at times published. The journal publishes editorials, original and review articles, correspondence, book review, etc.
×
引用
GB/T 7714-2015
复制
MLA
复制
APA
复制
导出至
BibTeX EndNote RefMan NoteFirst NoteExpress
×
提示
您的信息不完整,为了账户安全,请先补充。
现在去补充
×
提示
您因"违规操作"
具体请查看互助需知
我知道了
×
提示
确定
请完成安全验证×
copy
已复制链接
快去分享给好友吧!
我知道了
右上角分享
点击右上角分享
0
联系我们:info@booksci.cn Book学术提供免费学术资源搜索服务,方便国内外学者检索中英文文献。致力于提供最便捷和优质的服务体验。 Copyright © 2023 布克学术 All rights reserved.
京ICP备2023020795号-1
ghs 京公网安备 11010802042870号
Book学术文献互助
Book学术文献互助群
群 号:604180095
Book学术官方微信