胸膜渗漏:腹膜透析的一种罕见并发症。

Biomedicine hub Pub Date : 2025-04-01 eCollection Date: 2025-01-01 DOI:10.1159/000545281
Maria Lafrid, Narjiss Labioui, Mohammed Massine El Hammoumi, Mohammed Hallak, Hajar Laasli, Abdelali Bahadi, El Hassane Kabiri, Driss Elkabbaj
{"title":"胸膜渗漏:腹膜透析的一种罕见并发症。","authors":"Maria Lafrid, Narjiss Labioui, Mohammed Massine El Hammoumi, Mohammed Hallak, Hajar Laasli, Abdelali Bahadi, El Hassane Kabiri, Driss Elkabbaj","doi":"10.1159/000545281","DOIUrl":null,"url":null,"abstract":"<p><strong>Introduction: </strong>Pleuroperitoneal leakage is a rare but dramatical cause of pleural effusion; it can lead to the cessation of peritoneal dialysis. It typically manifests as respiratory distress and reduced drainage volumes.</p><p><strong>Case presentation: </strong>In this article, we report a case of pleuroperitoneal leak in a patient undergoing continuous ambulatory peritoneal dialysis who presented to the emergency with shortness of breath, lower limb edema, and weight gain. The diagnosis was established through pleural puncture, revealing that the pleural fluid is transudative with elevated glucose level which is pathognomonic for this condition, \"sweet hydrothorax.\" Furthermore, the composition of this fluid was almost identical to the peritoneal dialysis effluent. The management of this case involved temporarily discontinuing peritoneal dialysis and performing pleurodesis. The evolution was favorable, and peritoneal dialysis was resumed 2 weeks later.</p><p><strong>Conclusion: </strong>Patients on peritoneal dialysis who present with significant pleural effusion, especially if it is unilateral, should prompt clinicians to consider the possibility of a pleuroperitoneal leak.</p>","PeriodicalId":101351,"journal":{"name":"Biomedicine hub","volume":"10 1","pages":"93-97"},"PeriodicalIF":0.0000,"publicationDate":"2025-04-01","publicationTypes":"Journal Article","fieldsOfStudy":null,"isOpenAccess":false,"openAccessPdf":"https://www.ncbi.nlm.nih.gov/pmc/articles/PMC12064151/pdf/","citationCount":"0","resultStr":"{\"title\":\"Pleuroperitoneal Leak: A Rare Complication of Peritoneal Dialysis.\",\"authors\":\"Maria Lafrid, Narjiss Labioui, Mohammed Massine El Hammoumi, Mohammed Hallak, Hajar Laasli, Abdelali Bahadi, El Hassane Kabiri, Driss Elkabbaj\",\"doi\":\"10.1159/000545281\",\"DOIUrl\":null,\"url\":null,\"abstract\":\"<p><strong>Introduction: </strong>Pleuroperitoneal leakage is a rare but dramatical cause of pleural effusion; it can lead to the cessation of peritoneal dialysis. It typically manifests as respiratory distress and reduced drainage volumes.</p><p><strong>Case presentation: </strong>In this article, we report a case of pleuroperitoneal leak in a patient undergoing continuous ambulatory peritoneal dialysis who presented to the emergency with shortness of breath, lower limb edema, and weight gain. The diagnosis was established through pleural puncture, revealing that the pleural fluid is transudative with elevated glucose level which is pathognomonic for this condition, \\\"sweet hydrothorax.\\\" Furthermore, the composition of this fluid was almost identical to the peritoneal dialysis effluent. The management of this case involved temporarily discontinuing peritoneal dialysis and performing pleurodesis. The evolution was favorable, and peritoneal dialysis was resumed 2 weeks later.</p><p><strong>Conclusion: </strong>Patients on peritoneal dialysis who present with significant pleural effusion, especially if it is unilateral, should prompt clinicians to consider the possibility of a pleuroperitoneal leak.</p>\",\"PeriodicalId\":101351,\"journal\":{\"name\":\"Biomedicine hub\",\"volume\":\"10 1\",\"pages\":\"93-97\"},\"PeriodicalIF\":0.0000,\"publicationDate\":\"2025-04-01\",\"publicationTypes\":\"Journal Article\",\"fieldsOfStudy\":null,\"isOpenAccess\":false,\"openAccessPdf\":\"https://www.ncbi.nlm.nih.gov/pmc/articles/PMC12064151/pdf/\",\"citationCount\":\"0\",\"resultStr\":null,\"platform\":\"Semanticscholar\",\"paperid\":null,\"PeriodicalName\":\"Biomedicine hub\",\"FirstCategoryId\":\"1085\",\"ListUrlMain\":\"https://doi.org/10.1159/000545281\",\"RegionNum\":0,\"RegionCategory\":null,\"ArticlePicture\":[],\"TitleCN\":null,\"AbstractTextCN\":null,\"PMCID\":null,\"EPubDate\":\"2025/1/1 0:00:00\",\"PubModel\":\"eCollection\",\"JCR\":\"\",\"JCRName\":\"\",\"Score\":null,\"Total\":0}","platform":"Semanticscholar","paperid":null,"PeriodicalName":"Biomedicine hub","FirstCategoryId":"1085","ListUrlMain":"https://doi.org/10.1159/000545281","RegionNum":0,"RegionCategory":null,"ArticlePicture":[],"TitleCN":null,"AbstractTextCN":null,"PMCID":null,"EPubDate":"2025/1/1 0:00:00","PubModel":"eCollection","JCR":"","JCRName":"","Score":null,"Total":0}
引用次数: 0

摘要

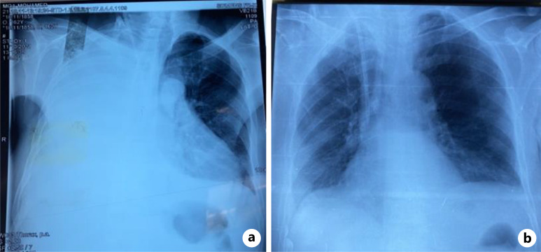
简介:胸腹膜渗漏是一种罕见但戏剧性的胸腔积液的原因;它可以导致腹膜透析停止。它通常表现为呼吸窘迫和引流量减少。病例介绍:在这篇文章中,我们报告了一例连续进行动态腹膜透析的患者胸膜腹膜渗漏,该患者出现呼吸急促,下肢水肿和体重增加的紧急情况。诊断是通过胸膜穿刺确定的,显示胸膜液渗出,血糖水平升高,这是这种情况的典型症状,“甜胸水”。此外,这种液体的成分几乎与腹膜透析流出物相同。该病例的处理涉及暂时停止腹膜透析并进行胸膜切除术。进展良好,2周后恢复腹膜透析。结论:腹膜透析患者出现明显胸腔积液,特别是单侧胸腔积液,应提示临床医生考虑胸膜渗漏的可能性。
本文章由计算机程序翻译,如有差异,请以英文原文为准。

Pleuroperitoneal Leak: A Rare Complication of Peritoneal Dialysis.

Pleuroperitoneal Leak: A Rare Complication of Peritoneal Dialysis.

Pleuroperitoneal Leak: A Rare Complication of Peritoneal Dialysis.

Introduction: Pleuroperitoneal leakage is a rare but dramatical cause of pleural effusion; it can lead to the cessation of peritoneal dialysis. It typically manifests as respiratory distress and reduced drainage volumes.

Case presentation: In this article, we report a case of pleuroperitoneal leak in a patient undergoing continuous ambulatory peritoneal dialysis who presented to the emergency with shortness of breath, lower limb edema, and weight gain. The diagnosis was established through pleural puncture, revealing that the pleural fluid is transudative with elevated glucose level which is pathognomonic for this condition, "sweet hydrothorax." Furthermore, the composition of this fluid was almost identical to the peritoneal dialysis effluent. The management of this case involved temporarily discontinuing peritoneal dialysis and performing pleurodesis. The evolution was favorable, and peritoneal dialysis was resumed 2 weeks later.

Conclusion: Patients on peritoneal dialysis who present with significant pleural effusion, especially if it is unilateral, should prompt clinicians to consider the possibility of a pleuroperitoneal leak.

求助全文
通过发布文献求助,成功后即可免费获取论文全文。 去求助
来源期刊
自引率
0.00%
发文量
0
×
引用
GB/T 7714-2015
复制
MLA
复制
APA
复制
导出至
BibTeX EndNote RefMan NoteFirst NoteExpress
×
提示
您的信息不完整,为了账户安全,请先补充。
现在去补充
×
提示
您因"违规操作"
具体请查看互助需知
我知道了
×
提示
确定
请完成安全验证×
copy
已复制链接
快去分享给好友吧!
我知道了
右上角分享
点击右上角分享
0
联系我们:info@booksci.cn Book学术提供免费学术资源搜索服务,方便国内外学者检索中英文文献。致力于提供最便捷和优质的服务体验。 Copyright © 2023 布克学术 All rights reserved.
京ICP备2023020795号-1
ghs 京公网安备 11010802042870号
Book学术文献互助
Book学术文献互助群
群 号:604180095
Book学术官方微信