基于放射组学的颌骨药物相关性骨坏死的全景x线片分类。

IF 1.7 3区 医学 Q3 DENTISTRY, ORAL SURGERY & MEDICINE
Oral Radiology Pub Date : 2025-10-01 Epub Date: 2025-05-05 DOI:10.1007/s11282-025-00826-1
Masaru Konishi, Hiromi Nishi, Hiroyuki Kawaguchi, Naoya Kakimoto
{"title":"基于放射组学的颌骨药物相关性骨坏死的全景x线片分类。","authors":"Masaru Konishi, Hiromi Nishi, Hiroyuki Kawaguchi, Naoya Kakimoto","doi":"10.1007/s11282-025-00826-1","DOIUrl":null,"url":null,"abstract":"<p><strong>Objectives: </strong>Medication-related osteonecrosis of the jaw (MRONJ) caused by bone resorption inhibitors is difficult to treat and reduces the patient's quality of life. We aimed to classify the likelihood of MRONJ development using panoramic radiographs taken prior to bone resorption inhibitor administration.</p><p><strong>Methods: </strong>We included patients who underwent panoramic radiographic evaluation at Hiroshima University Hospital prior to bone resorption inhibitor administration. Thirty-two patients with MRON of the mandible (16 men and 16 women) and 57 without MRONJ (23 men and 34 women) were selected. The mandible was segmented from the mental foramen to the anterior mandibular angle notch on panoramic radiographs before treatment. The image features within this region were extracted and quantified. Overall, 13 shape, 18 histogram-based, 75 texture-based, and 744 wavelet features were extracted. Least absolute shrinkage and selection operator regression were used to select relevant features from the extracted data. Support vector machine (SVM) and neural network of multilayer perceptron (MLP) were used as machine-learning models. The sensitivity, specificity, and area under the curve (AUC) from the receiver operating characteristic curves were used to evaluate diagnostic performances.</p><p><strong>Results: </strong>The SVM model achieved a sensitivity of 0.667, a specificity of 0.833, and an AUC of 0.903 in the test group. Meanwhile, the MLP model achieved a sensitivity of 0.833, a specificity of 0.750, and an AUC of 0.903 in the test group.</p><p><strong>Conclusion: </strong>Radiomics analysis of panoramic radiographs taken before bone resorption inhibitor administration can differentiate between patients with MRONJ and those without MRONJ.</p>","PeriodicalId":56103,"journal":{"name":"Oral Radiology","volume":" ","pages":"507-516"},"PeriodicalIF":1.7000,"publicationDate":"2025-10-01","publicationTypes":"Journal Article","fieldsOfStudy":null,"isOpenAccess":false,"openAccessPdf":"https://www.ncbi.nlm.nih.gov/pmc/articles/PMC12423229/pdf/","citationCount":"0","resultStr":"{\"title\":\"Radiomics-based classification of medication-related osteonecrosis of the jaw using panoramic radiographs.\",\"authors\":\"Masaru Konishi, Hiromi Nishi, Hiroyuki Kawaguchi, Naoya Kakimoto\",\"doi\":\"10.1007/s11282-025-00826-1\",\"DOIUrl\":null,\"url\":null,\"abstract\":\"<p><strong>Objectives: </strong>Medication-related osteonecrosis of the jaw (MRONJ) caused by bone resorption inhibitors is difficult to treat and reduces the patient's quality of life. We aimed to classify the likelihood of MRONJ development using panoramic radiographs taken prior to bone resorption inhibitor administration.</p><p><strong>Methods: </strong>We included patients who underwent panoramic radiographic evaluation at Hiroshima University Hospital prior to bone resorption inhibitor administration. Thirty-two patients with MRON of the mandible (16 men and 16 women) and 57 without MRONJ (23 men and 34 women) were selected. The mandible was segmented from the mental foramen to the anterior mandibular angle notch on panoramic radiographs before treatment. The image features within this region were extracted and quantified. Overall, 13 shape, 18 histogram-based, 75 texture-based, and 744 wavelet features were extracted. Least absolute shrinkage and selection operator regression were used to select relevant features from the extracted data. Support vector machine (SVM) and neural network of multilayer perceptron (MLP) were used as machine-learning models. The sensitivity, specificity, and area under the curve (AUC) from the receiver operating characteristic curves were used to evaluate diagnostic performances.</p><p><strong>Results: </strong>The SVM model achieved a sensitivity of 0.667, a specificity of 0.833, and an AUC of 0.903 in the test group. Meanwhile, the MLP model achieved a sensitivity of 0.833, a specificity of 0.750, and an AUC of 0.903 in the test group.</p><p><strong>Conclusion: </strong>Radiomics analysis of panoramic radiographs taken before bone resorption inhibitor administration can differentiate between patients with MRONJ and those without MRONJ.</p>\",\"PeriodicalId\":56103,\"journal\":{\"name\":\"Oral Radiology\",\"volume\":\" \",\"pages\":\"507-516\"},\"PeriodicalIF\":1.7000,\"publicationDate\":\"2025-10-01\",\"publicationTypes\":\"Journal Article\",\"fieldsOfStudy\":null,\"isOpenAccess\":false,\"openAccessPdf\":\"https://www.ncbi.nlm.nih.gov/pmc/articles/PMC12423229/pdf/\",\"citationCount\":\"0\",\"resultStr\":null,\"platform\":\"Semanticscholar\",\"paperid\":null,\"PeriodicalName\":\"Oral Radiology\",\"FirstCategoryId\":\"3\",\"ListUrlMain\":\"https://doi.org/10.1007/s11282-025-00826-1\",\"RegionNum\":3,\"RegionCategory\":\"医学\",\"ArticlePicture\":[],\"TitleCN\":null,\"AbstractTextCN\":null,\"PMCID\":null,\"EPubDate\":\"2025/5/5 0:00:00\",\"PubModel\":\"Epub\",\"JCR\":\"Q3\",\"JCRName\":\"DENTISTRY, ORAL SURGERY & MEDICINE\",\"Score\":null,\"Total\":0}","platform":"Semanticscholar","paperid":null,"PeriodicalName":"Oral Radiology","FirstCategoryId":"3","ListUrlMain":"https://doi.org/10.1007/s11282-025-00826-1","RegionNum":3,"RegionCategory":"医学","ArticlePicture":[],"TitleCN":null,"AbstractTextCN":null,"PMCID":null,"EPubDate":"2025/5/5 0:00:00","PubModel":"Epub","JCR":"Q3","JCRName":"DENTISTRY, ORAL SURGERY & MEDICINE","Score":null,"Total":0}
引用次数: 0

摘要

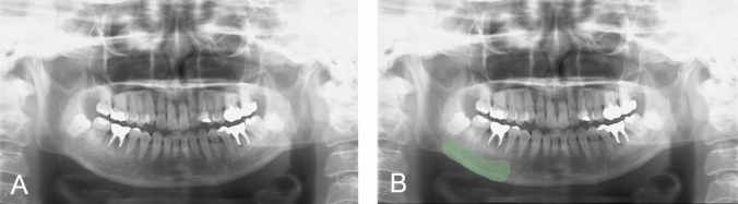
目的:骨吸收抑制剂引起的药物相关性颌骨坏死(MRONJ)治疗困难,降低患者的生活质量。我们的目的是利用骨吸收抑制剂给药前拍摄的全景x线片对MRONJ发展的可能性进行分类。方法:我们纳入了在广岛大学医院接受骨吸收抑制剂治疗前的全景x线评估的患者。选取下颌骨MRON患者32例(男16例,女16例),无MRONJ患者57例(男23例,女34例)。治疗前在全景x线片上从颏孔到下颌前角切迹分割下颌骨。提取并量化该区域内的图像特征。总共提取了13个形状特征、18个直方图特征、75个纹理特征和744个小波特征。使用最小绝对收缩和选择算子回归从提取的数据中选择相关特征。采用支持向量机(SVM)和多层感知器神经网络(MLP)作为机器学习模型。根据受试者工作特征曲线的敏感性、特异性和曲线下面积(AUC)来评估诊断性能。结果:SVM模型在试验组的灵敏度为0.667,特异性为0.833,AUC为0.903。同时,MLP模型在试验组的灵敏度为0.833,特异性为0.750,AUC为0.903。结论:骨吸收抑制剂给药前的全景x线片放射组学分析可以区分MRONJ患者和非MRONJ患者。
本文章由计算机程序翻译,如有差异,请以英文原文为准。

Radiomics-based classification of medication-related osteonecrosis of the jaw using panoramic radiographs.

Radiomics-based classification of medication-related osteonecrosis of the jaw using panoramic radiographs.

Radiomics-based classification of medication-related osteonecrosis of the jaw using panoramic radiographs.

Radiomics-based classification of medication-related osteonecrosis of the jaw using panoramic radiographs.

Objectives: Medication-related osteonecrosis of the jaw (MRONJ) caused by bone resorption inhibitors is difficult to treat and reduces the patient's quality of life. We aimed to classify the likelihood of MRONJ development using panoramic radiographs taken prior to bone resorption inhibitor administration.

Methods: We included patients who underwent panoramic radiographic evaluation at Hiroshima University Hospital prior to bone resorption inhibitor administration. Thirty-two patients with MRON of the mandible (16 men and 16 women) and 57 without MRONJ (23 men and 34 women) were selected. The mandible was segmented from the mental foramen to the anterior mandibular angle notch on panoramic radiographs before treatment. The image features within this region were extracted and quantified. Overall, 13 shape, 18 histogram-based, 75 texture-based, and 744 wavelet features were extracted. Least absolute shrinkage and selection operator regression were used to select relevant features from the extracted data. Support vector machine (SVM) and neural network of multilayer perceptron (MLP) were used as machine-learning models. The sensitivity, specificity, and area under the curve (AUC) from the receiver operating characteristic curves were used to evaluate diagnostic performances.

Results: The SVM model achieved a sensitivity of 0.667, a specificity of 0.833, and an AUC of 0.903 in the test group. Meanwhile, the MLP model achieved a sensitivity of 0.833, a specificity of 0.750, and an AUC of 0.903 in the test group.

Conclusion: Radiomics analysis of panoramic radiographs taken before bone resorption inhibitor administration can differentiate between patients with MRONJ and those without MRONJ.

求助全文
通过发布文献求助,成功后即可免费获取论文全文。 去求助
来源期刊
Oral Radiology
Oral Radiology DENTISTRY, ORAL SURGERY & MEDICINE-
CiteScore
4.20
自引率
13.60%
发文量
87
审稿时长
>12 weeks
期刊介绍: As the official English-language journal of the Japanese Society for Oral and Maxillofacial Radiology and the Asian Academy of Oral and Maxillofacial Radiology, Oral Radiology is intended to be a forum for international collaboration in head and neck diagnostic imaging and all related fields. Oral Radiology features cutting-edge research papers, review articles, case reports, and technical notes from both the clinical and experimental fields. As membership in the Society is not a prerequisite, contributions are welcome from researchers and clinicians worldwide.
×
引用
GB/T 7714-2015
复制
MLA
复制
APA
复制
导出至
BibTeX EndNote RefMan NoteFirst NoteExpress
×
提示
您的信息不完整,为了账户安全,请先补充。
现在去补充
×
提示
您因"违规操作"
具体请查看互助需知
我知道了
×
提示
确定
请完成安全验证×
copy
已复制链接
快去分享给好友吧!
我知道了
右上角分享
点击右上角分享
0
联系我们:info@booksci.cn Book学术提供免费学术资源搜索服务,方便国内外学者检索中英文文献。致力于提供最便捷和优质的服务体验。 Copyright © 2023 布克学术 All rights reserved.
京ICP备2023020795号-1
ghs 京公网安备 11010802042870号
Book学术文献互助
Book学术文献互助群
群 号:604180095
Book学术官方微信