血清阴性自身免疫性脑脊髓炎伴区域后发症状。

IF 0.6 Q4 CLINICAL NEUROLOGY
Case Reports in Neurology Pub Date : 2025-03-26 eCollection Date: 2025-01-01 DOI:10.1159/000545402
David Andrew Prentice, Ravi Ambati, Lay K Kho, Thomas Jenkins, Paul M Parizel
{"title":"血清阴性自身免疫性脑脊髓炎伴区域后发症状。","authors":"David Andrew Prentice, Ravi Ambati, Lay K Kho, Thomas Jenkins, Paul M Parizel","doi":"10.1159/000545402","DOIUrl":null,"url":null,"abstract":"<p><strong>Introduction: </strong>Patients presenting with encephalopathy and longitudinally extensive myelitis pose a significant diagnostic challenge. Area postrema-related symptoms, such as intractable hiccoughs, can aid in narrowing the differential diagnosis. Neuromyelitis optica spectrum disorders and glial fibrillary acidic protein (GFAP) autoimmune encephalitis are known causes; however, some cases remain seronegative, suggesting the presence of unidentified autoantibodies or immune targets.</p><p><strong>Case presentation: </strong>A previously healthy man in his 70s presented with headache, fever, and confusion, followed by a seizure and persistent hiccoughs. MRI revealed brainstem involvement and extensive transverse myelitis. Cerebrospinal fluid (CSF) analysis showed inflammatory features, but testing for AQP4, MOG, and GFAP antibodies was initially negative. He was treated with intravenous corticosteroids and plasma exchange, after which serum GFAP-IgG was weakly positive, though CSF remained negative. His condition improved with immunotherapy, but significant lower limb weakness persisted. Based on clinical and radiological findings, we hypothesize that tanycytes - specialized glial cells in the area postrema - may be an additional immune target in GFAP encephalitis.</p><p><strong>Conclusion: </strong>This case highlights a seronegative encephalomyelitis syndrome with area postrema involvement, possibly implicating glial cells beyond astrocytes. Further studies are needed to explore the role of tanycytes in autoimmune neuroinflammation.</p>","PeriodicalId":9639,"journal":{"name":"Case Reports in Neurology","volume":"17 1","pages":"50-56"},"PeriodicalIF":0.6000,"publicationDate":"2025-03-26","publicationTypes":"Journal Article","fieldsOfStudy":null,"isOpenAccess":false,"openAccessPdf":"https://www.ncbi.nlm.nih.gov/pmc/articles/PMC12058113/pdf/","citationCount":"0","resultStr":"{\"title\":\"Seronegative Autoimmune Encephalomyelitis with Area Postrema Symptoms.\",\"authors\":\"David Andrew Prentice, Ravi Ambati, Lay K Kho, Thomas Jenkins, Paul M Parizel\",\"doi\":\"10.1159/000545402\",\"DOIUrl\":null,\"url\":null,\"abstract\":\"<p><strong>Introduction: </strong>Patients presenting with encephalopathy and longitudinally extensive myelitis pose a significant diagnostic challenge. Area postrema-related symptoms, such as intractable hiccoughs, can aid in narrowing the differential diagnosis. Neuromyelitis optica spectrum disorders and glial fibrillary acidic protein (GFAP) autoimmune encephalitis are known causes; however, some cases remain seronegative, suggesting the presence of unidentified autoantibodies or immune targets.</p><p><strong>Case presentation: </strong>A previously healthy man in his 70s presented with headache, fever, and confusion, followed by a seizure and persistent hiccoughs. MRI revealed brainstem involvement and extensive transverse myelitis. Cerebrospinal fluid (CSF) analysis showed inflammatory features, but testing for AQP4, MOG, and GFAP antibodies was initially negative. He was treated with intravenous corticosteroids and plasma exchange, after which serum GFAP-IgG was weakly positive, though CSF remained negative. His condition improved with immunotherapy, but significant lower limb weakness persisted. Based on clinical and radiological findings, we hypothesize that tanycytes - specialized glial cells in the area postrema - may be an additional immune target in GFAP encephalitis.</p><p><strong>Conclusion: </strong>This case highlights a seronegative encephalomyelitis syndrome with area postrema involvement, possibly implicating glial cells beyond astrocytes. Further studies are needed to explore the role of tanycytes in autoimmune neuroinflammation.</p>\",\"PeriodicalId\":9639,\"journal\":{\"name\":\"Case Reports in Neurology\",\"volume\":\"17 1\",\"pages\":\"50-56\"},\"PeriodicalIF\":0.6000,\"publicationDate\":\"2025-03-26\",\"publicationTypes\":\"Journal Article\",\"fieldsOfStudy\":null,\"isOpenAccess\":false,\"openAccessPdf\":\"https://www.ncbi.nlm.nih.gov/pmc/articles/PMC12058113/pdf/\",\"citationCount\":\"0\",\"resultStr\":null,\"platform\":\"Semanticscholar\",\"paperid\":null,\"PeriodicalName\":\"Case Reports in Neurology\",\"FirstCategoryId\":\"1085\",\"ListUrlMain\":\"https://doi.org/10.1159/000545402\",\"RegionNum\":0,\"RegionCategory\":null,\"ArticlePicture\":[],\"TitleCN\":null,\"AbstractTextCN\":null,\"PMCID\":null,\"EPubDate\":\"2025/1/1 0:00:00\",\"PubModel\":\"eCollection\",\"JCR\":\"Q4\",\"JCRName\":\"CLINICAL NEUROLOGY\",\"Score\":null,\"Total\":0}","platform":"Semanticscholar","paperid":null,"PeriodicalName":"Case Reports in Neurology","FirstCategoryId":"1085","ListUrlMain":"https://doi.org/10.1159/000545402","RegionNum":0,"RegionCategory":null,"ArticlePicture":[],"TitleCN":null,"AbstractTextCN":null,"PMCID":null,"EPubDate":"2025/1/1 0:00:00","PubModel":"eCollection","JCR":"Q4","JCRName":"CLINICAL NEUROLOGY","Score":null,"Total":0}
引用次数: 0

摘要

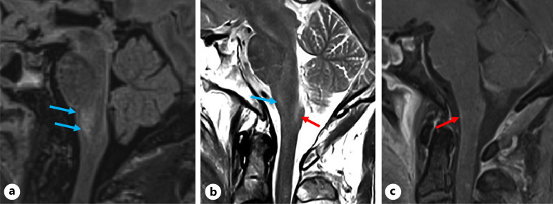
以脑病和纵向广泛脊髓炎为表现的患者对诊断提出了重大挑战。术后相关症状,如顽固性呃逆,有助于缩小鉴别诊断范围。已知的病因是视神经脊髓炎频谱障碍和胶质纤维酸性蛋白(GFAP)自身免疫性脑炎;然而,一些病例仍呈血清阴性,提示存在不明自身抗体或免疫靶点。病例介绍:一名70多岁的健康男性,表现为头痛、发热和意识不清,随后出现癫痫发作和持续性打嗝。MRI显示脑干受累及广泛横贯脊髓炎。脑脊液(CSF)分析显示炎症特征,但AQP4、MOG和GFAP抗体检测最初为阴性。患者接受静脉注射皮质类固醇和血浆置换治疗,治疗后血清GFAP-IgG呈弱阳性,但脑脊液仍呈阴性。免疫治疗后病情有所改善,但下肢无力持续存在。基于临床和放射学的发现,我们假设在GFAP脑炎中,tanycytes - - -脑后区域特化的胶质细胞- - -可能是一个额外的免疫靶点。结论:本病例为血清阴性脑脊髓炎综合征,累及脑后区域,可能涉及星形胶质细胞以外的神经胶质细胞。我们需要进一步研究伸长细胞在自身免疫性神经炎症中的作用。
本文章由计算机程序翻译,如有差异,请以英文原文为准。

Seronegative Autoimmune Encephalomyelitis with Area Postrema Symptoms.

Seronegative Autoimmune Encephalomyelitis with Area Postrema Symptoms.

Seronegative Autoimmune Encephalomyelitis with Area Postrema Symptoms.

Seronegative Autoimmune Encephalomyelitis with Area Postrema Symptoms.

Introduction: Patients presenting with encephalopathy and longitudinally extensive myelitis pose a significant diagnostic challenge. Area postrema-related symptoms, such as intractable hiccoughs, can aid in narrowing the differential diagnosis. Neuromyelitis optica spectrum disorders and glial fibrillary acidic protein (GFAP) autoimmune encephalitis are known causes; however, some cases remain seronegative, suggesting the presence of unidentified autoantibodies or immune targets.

Case presentation: A previously healthy man in his 70s presented with headache, fever, and confusion, followed by a seizure and persistent hiccoughs. MRI revealed brainstem involvement and extensive transverse myelitis. Cerebrospinal fluid (CSF) analysis showed inflammatory features, but testing for AQP4, MOG, and GFAP antibodies was initially negative. He was treated with intravenous corticosteroids and plasma exchange, after which serum GFAP-IgG was weakly positive, though CSF remained negative. His condition improved with immunotherapy, but significant lower limb weakness persisted. Based on clinical and radiological findings, we hypothesize that tanycytes - specialized glial cells in the area postrema - may be an additional immune target in GFAP encephalitis.

Conclusion: This case highlights a seronegative encephalomyelitis syndrome with area postrema involvement, possibly implicating glial cells beyond astrocytes. Further studies are needed to explore the role of tanycytes in autoimmune neuroinflammation.

求助全文
通过发布文献求助,成功后即可免费获取论文全文。 去求助
来源期刊
Case Reports in Neurology
Case Reports in Neurology Medicine-Neurology (clinical)
CiteScore
1.50
自引率
0.00%
发文量
67
审稿时长
14 weeks
期刊介绍: This new peer-reviewed online-only journal publishes original case reports covering the entire spectrum of neurology. Clinicians and researchers are given a tool to disseminate their personal experience to a wider public as well as to review interesting cases encountered by colleagues all over the world. To complement the contributions supplementary material is welcomed. The reports are searchable according to the key words supplied by the authors; it will thus be possible to search across the entire growing collection of case reports with universally used terms, further facilitating the retrieval of specific information. Following the open access principle, the entire contents can be retrieved at no charge, guaranteeing easy access to this valuable source of anecdotal information at all times.
×
引用
GB/T 7714-2015
复制
MLA
复制
APA
复制
导出至
BibTeX EndNote RefMan NoteFirst NoteExpress
×
提示
您的信息不完整,为了账户安全,请先补充。
现在去补充
×
提示
您因"违规操作"
具体请查看互助需知
我知道了
×
提示
确定
请完成安全验证×
copy
已复制链接
快去分享给好友吧!
我知道了
右上角分享
点击右上角分享
0
联系我们:info@booksci.cn Book学术提供免费学术资源搜索服务,方便国内外学者检索中英文文献。致力于提供最便捷和优质的服务体验。 Copyright © 2023 布克学术 All rights reserved.
京ICP备2023020795号-1
ghs 京公网安备 11010802042870号
Book学术文献互助
Book学术文献互助群
群 号:604180095
Book学术官方微信