年轻女性原发性纵隔大b细胞淋巴瘤1例报告及文献复习。

IF 0.6 Q4 ONCOLOGY
Case Reports in Oncological Medicine Pub Date : 2025-04-26 eCollection Date: 2025-01-01 DOI:10.1155/crom/9983831
Neil Gambhir, Paul Youn, Moein Bayat Mokhtari, Patricia Lin Kwan, Thida Aye, Wan Ling Lam
{"title":"年轻女性原发性纵隔大b细胞淋巴瘤1例报告及文献复习。","authors":"Neil Gambhir, Paul Youn, Moein Bayat Mokhtari, Patricia Lin Kwan, Thida Aye, Wan Ling Lam","doi":"10.1155/crom/9983831","DOIUrl":null,"url":null,"abstract":"<p><p>Primary mediastinal large B-cell lymphoma (PMBCL) is a highly aggressive malignancy primarily observed in female patients during their third decade of life. This rare condition, with an incidence of 0.4 per million, traditionally presents with B symptoms or compressive-based sequela such as SVC syndrome or respiratory distress. In this report, we present the case of a young female who presented for palpitations and tachycardia without cardiopulmonary compressive-based symptoms diagnosed with a large 16-cm infiltrative PMBCL localized in the left ventricle.</p>","PeriodicalId":9636,"journal":{"name":"Case Reports in Oncological Medicine","volume":"2025 ","pages":"9983831"},"PeriodicalIF":0.6000,"publicationDate":"2025-04-26","publicationTypes":"Journal Article","fieldsOfStudy":null,"isOpenAccess":false,"openAccessPdf":"https://www.ncbi.nlm.nih.gov/pmc/articles/PMC12049244/pdf/","citationCount":"0","resultStr":"{\"title\":\"Insidious Primary Mediastinal Large B-Cell Lymphoma in a Young Female: A Case Report and Literature Review.\",\"authors\":\"Neil Gambhir, Paul Youn, Moein Bayat Mokhtari, Patricia Lin Kwan, Thida Aye, Wan Ling Lam\",\"doi\":\"10.1155/crom/9983831\",\"DOIUrl\":null,\"url\":null,\"abstract\":\"<p><p>Primary mediastinal large B-cell lymphoma (PMBCL) is a highly aggressive malignancy primarily observed in female patients during their third decade of life. This rare condition, with an incidence of 0.4 per million, traditionally presents with B symptoms or compressive-based sequela such as SVC syndrome or respiratory distress. In this report, we present the case of a young female who presented for palpitations and tachycardia without cardiopulmonary compressive-based symptoms diagnosed with a large 16-cm infiltrative PMBCL localized in the left ventricle.</p>\",\"PeriodicalId\":9636,\"journal\":{\"name\":\"Case Reports in Oncological Medicine\",\"volume\":\"2025 \",\"pages\":\"9983831\"},\"PeriodicalIF\":0.6000,\"publicationDate\":\"2025-04-26\",\"publicationTypes\":\"Journal Article\",\"fieldsOfStudy\":null,\"isOpenAccess\":false,\"openAccessPdf\":\"https://www.ncbi.nlm.nih.gov/pmc/articles/PMC12049244/pdf/\",\"citationCount\":\"0\",\"resultStr\":null,\"platform\":\"Semanticscholar\",\"paperid\":null,\"PeriodicalName\":\"Case Reports in Oncological Medicine\",\"FirstCategoryId\":\"1085\",\"ListUrlMain\":\"https://doi.org/10.1155/crom/9983831\",\"RegionNum\":0,\"RegionCategory\":null,\"ArticlePicture\":[],\"TitleCN\":null,\"AbstractTextCN\":null,\"PMCID\":null,\"EPubDate\":\"2025/1/1 0:00:00\",\"PubModel\":\"eCollection\",\"JCR\":\"Q4\",\"JCRName\":\"ONCOLOGY\",\"Score\":null,\"Total\":0}","platform":"Semanticscholar","paperid":null,"PeriodicalName":"Case Reports in Oncological Medicine","FirstCategoryId":"1085","ListUrlMain":"https://doi.org/10.1155/crom/9983831","RegionNum":0,"RegionCategory":null,"ArticlePicture":[],"TitleCN":null,"AbstractTextCN":null,"PMCID":null,"EPubDate":"2025/1/1 0:00:00","PubModel":"eCollection","JCR":"Q4","JCRName":"ONCOLOGY","Score":null,"Total":0}
引用次数: 0

摘要

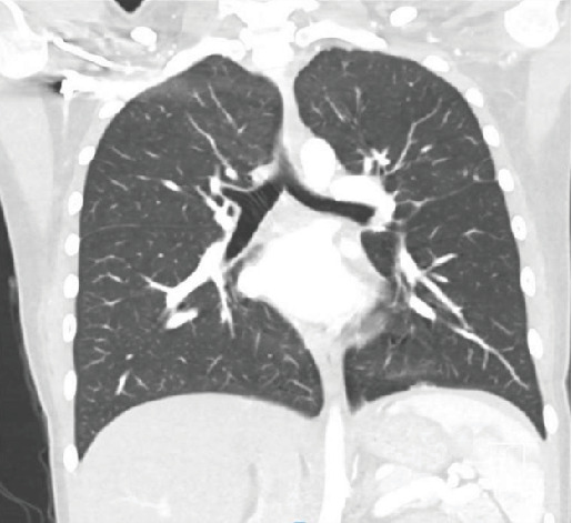
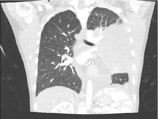
原发性纵隔大b细胞淋巴瘤(PMBCL)是一种高度侵袭性的恶性肿瘤,主要见于30岁左右的女性患者。这种罕见疾病的发病率为百万分之0.4,传统上表现为B型症状或压迫性后遗症,如SVC综合征或呼吸窘迫。在本报告中,我们报告了一位年轻女性的病例,她表现为心悸和心动过速,没有心肺按压症状,诊断为位于左心室的16厘米浸润性PMBCL。
本文章由计算机程序翻译,如有差异,请以英文原文为准。

Insidious Primary Mediastinal Large B-Cell Lymphoma in a Young Female: A Case Report and Literature Review.

Insidious Primary Mediastinal Large B-Cell Lymphoma in a Young Female: A Case Report and Literature Review.

Insidious Primary Mediastinal Large B-Cell Lymphoma in a Young Female: A Case Report and Literature Review.

Insidious Primary Mediastinal Large B-Cell Lymphoma in a Young Female: A Case Report and Literature Review.

Primary mediastinal large B-cell lymphoma (PMBCL) is a highly aggressive malignancy primarily observed in female patients during their third decade of life. This rare condition, with an incidence of 0.4 per million, traditionally presents with B symptoms or compressive-based sequela such as SVC syndrome or respiratory distress. In this report, we present the case of a young female who presented for palpitations and tachycardia without cardiopulmonary compressive-based symptoms diagnosed with a large 16-cm infiltrative PMBCL localized in the left ventricle.

求助全文
通过发布文献求助,成功后即可免费获取论文全文。 去求助
来源期刊
自引率
0.00%
发文量
11
审稿时长
16 weeks
期刊介绍: Case Reports in Oncological Medicine is a peer-reviewed, Open Access journal that publishes case reports and case series related to breast cancer, lung cancer, gastrointestinal cancer, skin cancer, head and neck cancer, paediatric oncology, neurooncology as well as genitourinary cancer.
×
引用
GB/T 7714-2015
复制
MLA
复制
APA
复制
导出至
BibTeX EndNote RefMan NoteFirst NoteExpress
×
提示
您的信息不完整,为了账户安全,请先补充。
现在去补充
×
提示
您因"违规操作"
具体请查看互助需知
我知道了
×
提示
确定
请完成安全验证×
copy
已复制链接
快去分享给好友吧!
我知道了
右上角分享
点击右上角分享
0
联系我们:info@booksci.cn Book学术提供免费学术资源搜索服务,方便国内外学者检索中英文文献。致力于提供最便捷和优质的服务体验。 Copyright © 2023 布克学术 All rights reserved.
京ICP备2023020795号-1
ghs 京公网安备 11010802042870号
Book学术文献互助
Book学术文献互助群
群 号:604180095
Book学术官方微信