三同步原发性肺腺癌:一个诊断挑战。

IF 0.6
Pablo Andrés Ordóñez Lozano, Marco Patricio Bravo Mendoza, Andrea Carilla Sanromán
{"title":"三同步原发性肺腺癌:一个诊断挑战。","authors":"Pablo Andrés Ordóñez Lozano, Marco Patricio Bravo Mendoza, Andrea Carilla Sanromán","doi":"10.23938/ASSN.1104","DOIUrl":null,"url":null,"abstract":"<p><p>Multiple primary lung cancer can be synchronous or metachronous based on the timing of lesion onset. Despite the existing classification criteria for lung cancer with multiple lung involvement, it is sometimes challenging to distinguish between lung cancer with multiple lung involvement and intrapulmonary metastases. Moreover, differentiating synchronous multiple primary lung cancer from multifocal ground-glass/lepidic-pattern lung cancer is crucial. While histologic evaluation can aid in diagnosis, molecular analyses are often necessary. We present the case of a female patient diagnosed with triple synchronous primary lung adenocarcinomas. Although the lesions shared the same histological subtype, they exhibited distinct histological patterns and molecular profiles. In cases of lung cancer with multiple lung involvement, it is essential to perform a detailed pathological study for an accurate diagnosis and appropriate therapeutic interventions.</p>","PeriodicalId":500996,"journal":{"name":"Anales del sistema sanitario de Navarra","volume":"48 1","pages":""},"PeriodicalIF":0.6000,"publicationDate":"2025-04-25","publicationTypes":"Journal Article","fieldsOfStudy":null,"isOpenAccess":false,"openAccessPdf":"https://www.ncbi.nlm.nih.gov/pmc/articles/PMC12096032/pdf/","citationCount":"0","resultStr":"{\"title\":\"[Triple synchronous primary lung adenocarcinoma: A diagnostic challenge].\",\"authors\":\"Pablo Andrés Ordóñez Lozano, Marco Patricio Bravo Mendoza, Andrea Carilla Sanromán\",\"doi\":\"10.23938/ASSN.1104\",\"DOIUrl\":null,\"url\":null,\"abstract\":\"<p><p>Multiple primary lung cancer can be synchronous or metachronous based on the timing of lesion onset. Despite the existing classification criteria for lung cancer with multiple lung involvement, it is sometimes challenging to distinguish between lung cancer with multiple lung involvement and intrapulmonary metastases. Moreover, differentiating synchronous multiple primary lung cancer from multifocal ground-glass/lepidic-pattern lung cancer is crucial. While histologic evaluation can aid in diagnosis, molecular analyses are often necessary. We present the case of a female patient diagnosed with triple synchronous primary lung adenocarcinomas. Although the lesions shared the same histological subtype, they exhibited distinct histological patterns and molecular profiles. In cases of lung cancer with multiple lung involvement, it is essential to perform a detailed pathological study for an accurate diagnosis and appropriate therapeutic interventions.</p>\",\"PeriodicalId\":500996,\"journal\":{\"name\":\"Anales del sistema sanitario de Navarra\",\"volume\":\"48 1\",\"pages\":\"\"},\"PeriodicalIF\":0.6000,\"publicationDate\":\"2025-04-25\",\"publicationTypes\":\"Journal Article\",\"fieldsOfStudy\":null,\"isOpenAccess\":false,\"openAccessPdf\":\"https://www.ncbi.nlm.nih.gov/pmc/articles/PMC12096032/pdf/\",\"citationCount\":\"0\",\"resultStr\":null,\"platform\":\"Semanticscholar\",\"paperid\":null,\"PeriodicalName\":\"Anales del sistema sanitario de Navarra\",\"FirstCategoryId\":\"1085\",\"ListUrlMain\":\"https://doi.org/10.23938/ASSN.1104\",\"RegionNum\":0,\"RegionCategory\":null,\"ArticlePicture\":[],\"TitleCN\":null,\"AbstractTextCN\":null,\"PMCID\":null,\"EPubDate\":\"\",\"PubModel\":\"\",\"JCR\":\"\",\"JCRName\":\"\",\"Score\":null,\"Total\":0}","platform":"Semanticscholar","paperid":null,"PeriodicalName":"Anales del sistema sanitario de Navarra","FirstCategoryId":"1085","ListUrlMain":"https://doi.org/10.23938/ASSN.1104","RegionNum":0,"RegionCategory":null,"ArticlePicture":[],"TitleCN":null,"AbstractTextCN":null,"PMCID":null,"EPubDate":"","PubModel":"","JCR":"","JCRName":"","Score":null,"Total":0}
引用次数: 0

摘要

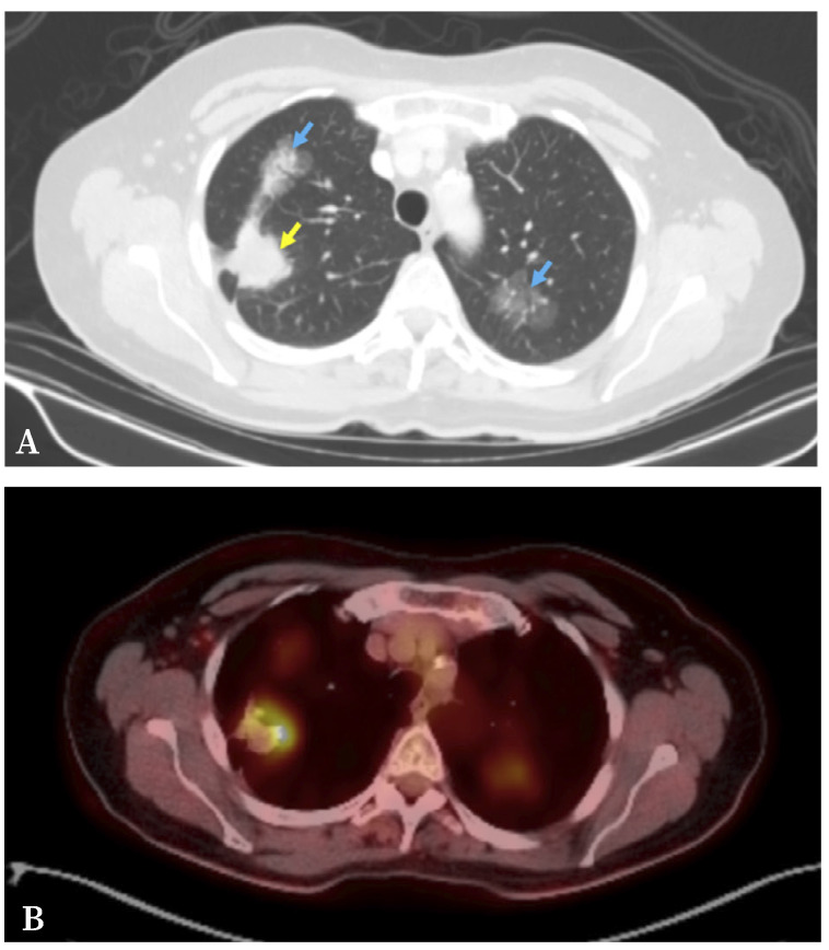
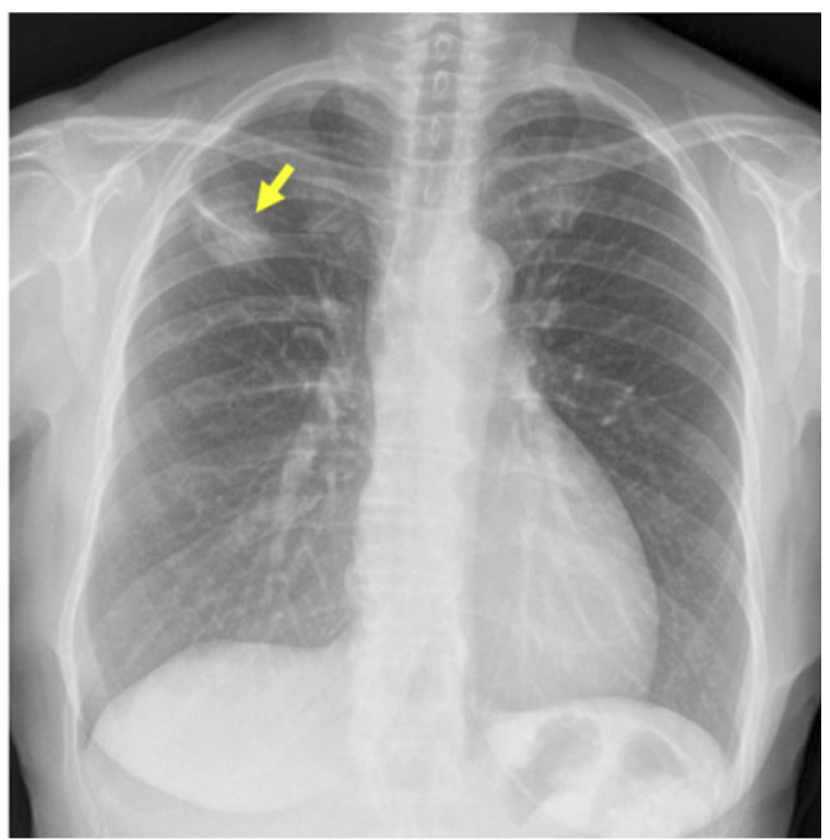
多发性原发性肺癌可根据病变发生的时间分为同步或异时性。尽管已有多肺受累肺癌的分类标准,但有时很难区分多肺受累肺癌和肺内转移性肺癌。此外,鉴别同步多发原发肺癌与多灶磨玻璃型/鳞片型肺癌至关重要。虽然组织学评估可以帮助诊断,但分子分析往往是必要的。我们提出的情况下,女性患者诊断为三重同步原发性肺腺癌。虽然病变具有相同的组织学亚型,但它们表现出不同的组织学模式和分子谱。在多肺受累的肺癌病例中,进行详细的病理研究对于准确诊断和适当的治疗干预至关重要。
本文章由计算机程序翻译,如有差异,请以英文原文为准。

[Triple synchronous primary lung adenocarcinoma: A diagnostic challenge].

[Triple synchronous primary lung adenocarcinoma: A diagnostic challenge].

[Triple synchronous primary lung adenocarcinoma: A diagnostic challenge].

[Triple synchronous primary lung adenocarcinoma: A diagnostic challenge].

Multiple primary lung cancer can be synchronous or metachronous based on the timing of lesion onset. Despite the existing classification criteria for lung cancer with multiple lung involvement, it is sometimes challenging to distinguish between lung cancer with multiple lung involvement and intrapulmonary metastases. Moreover, differentiating synchronous multiple primary lung cancer from multifocal ground-glass/lepidic-pattern lung cancer is crucial. While histologic evaluation can aid in diagnosis, molecular analyses are often necessary. We present the case of a female patient diagnosed with triple synchronous primary lung adenocarcinomas. Although the lesions shared the same histological subtype, they exhibited distinct histological patterns and molecular profiles. In cases of lung cancer with multiple lung involvement, it is essential to perform a detailed pathological study for an accurate diagnosis and appropriate therapeutic interventions.

求助全文
通过发布文献求助,成功后即可免费获取论文全文。 去求助
来源期刊
自引率
0.00%
发文量
0
×
引用
GB/T 7714-2015
复制
MLA
复制
APA
复制
导出至
BibTeX EndNote RefMan NoteFirst NoteExpress
×
提示
您的信息不完整,为了账户安全,请先补充。
现在去补充
×
提示
您因"违规操作"
具体请查看互助需知
我知道了
×
提示
确定
请完成安全验证×
copy
已复制链接
快去分享给好友吧!
我知道了
右上角分享
点击右上角分享
0
联系我们:info@booksci.cn Book学术提供免费学术资源搜索服务,方便国内外学者检索中英文文献。致力于提供最便捷和优质的服务体验。 Copyright © 2023 布克学术 All rights reserved.
京ICP备2023020795号-1
ghs 京公网安备 11010802042870号
Book学术文献互助
Book学术文献互助群
群 号:604180095
Book学术官方微信