高须动脉炎与多发性硬化的合并症:叙述回顾及病例报告。

Biomedicine hub Pub Date : 2025-03-20 eCollection Date: 2025-01-01 DOI:10.1159/000545237
Andrea Wesser, Andreas Albert Braun
{"title":"高须动脉炎与多发性硬化的合并症:叙述回顾及病例报告。","authors":"Andrea Wesser, Andreas Albert Braun","doi":"10.1159/000545237","DOIUrl":null,"url":null,"abstract":"<p><strong>Introduction: </strong>Takayasu arteritis (TA) and multiple sclerosis (MS) are both immune-mediated diseases that can coexist, with TA causing vascular inflammation and MS involving demyelination driven by aberrant T-cell activity. The overlap of these conditions highlights shared immune mechanisms, such as T-cell dysregulation and cytokine release, underscoring the need for a nuanced understanding of their interplay, which is explored in a narrative review of reported cases.</p><p><strong>Case presentation: </strong>We narrate all reported cases of TA in patients with MS and report the case of a 57-year-old woman with MS with suspected bilateral optic neuritis and typical contrast-medium enhancement in both optic nerves. Because of normal visual acuity on both eyes, malignant hypertension, and fundoscopic findings indicative of hypertensive retinopathy, we diagnosed hypertensive retinopathy with secondary contrast-medium enhancement of the optic nerves. We established antihypertensive medication and searched for secondary causes of hypertension and highly elevated erythrocyte sedimentation rate, which led to the finding of large vessel wall inflammation and the diagnosis of TA.</p><p><strong>Conclusion: </strong>TA can present with a variety of ocular symptoms, including hypertensive retinopathy, retinal ischemia, and anterior ischemic optic neuropathy, often mimicking other diseases. While rare, the coexistence of TA and MS, including cases associated with interferon-beta therapy, suggests shared immune mechanisms and underscores the need for careful monitoring of patients with MS receiving immunomodulatory treatments. The broad spectrum of potential causes for optic nerve abnormalities necessitates a thorough evaluation to avoid misdiagnosis and ensure appropriate treatment.</p>","PeriodicalId":101351,"journal":{"name":"Biomedicine hub","volume":"10 1","pages":"72-80"},"PeriodicalIF":0.0000,"publicationDate":"2025-03-20","publicationTypes":"Journal Article","fieldsOfStudy":null,"isOpenAccess":false,"openAccessPdf":"https://www.ncbi.nlm.nih.gov/pmc/articles/PMC12028982/pdf/","citationCount":"0","resultStr":"{\"title\":\"Coincidence of Takayasu Arteritis and Multiple Sclerosis: Narrative Review and Case Report.\",\"authors\":\"Andrea Wesser, Andreas Albert Braun\",\"doi\":\"10.1159/000545237\",\"DOIUrl\":null,\"url\":null,\"abstract\":\"<p><strong>Introduction: </strong>Takayasu arteritis (TA) and multiple sclerosis (MS) are both immune-mediated diseases that can coexist, with TA causing vascular inflammation and MS involving demyelination driven by aberrant T-cell activity. The overlap of these conditions highlights shared immune mechanisms, such as T-cell dysregulation and cytokine release, underscoring the need for a nuanced understanding of their interplay, which is explored in a narrative review of reported cases.</p><p><strong>Case presentation: </strong>We narrate all reported cases of TA in patients with MS and report the case of a 57-year-old woman with MS with suspected bilateral optic neuritis and typical contrast-medium enhancement in both optic nerves. Because of normal visual acuity on both eyes, malignant hypertension, and fundoscopic findings indicative of hypertensive retinopathy, we diagnosed hypertensive retinopathy with secondary contrast-medium enhancement of the optic nerves. We established antihypertensive medication and searched for secondary causes of hypertension and highly elevated erythrocyte sedimentation rate, which led to the finding of large vessel wall inflammation and the diagnosis of TA.</p><p><strong>Conclusion: </strong>TA can present with a variety of ocular symptoms, including hypertensive retinopathy, retinal ischemia, and anterior ischemic optic neuropathy, often mimicking other diseases. While rare, the coexistence of TA and MS, including cases associated with interferon-beta therapy, suggests shared immune mechanisms and underscores the need for careful monitoring of patients with MS receiving immunomodulatory treatments. The broad spectrum of potential causes for optic nerve abnormalities necessitates a thorough evaluation to avoid misdiagnosis and ensure appropriate treatment.</p>\",\"PeriodicalId\":101351,\"journal\":{\"name\":\"Biomedicine hub\",\"volume\":\"10 1\",\"pages\":\"72-80\"},\"PeriodicalIF\":0.0000,\"publicationDate\":\"2025-03-20\",\"publicationTypes\":\"Journal Article\",\"fieldsOfStudy\":null,\"isOpenAccess\":false,\"openAccessPdf\":\"https://www.ncbi.nlm.nih.gov/pmc/articles/PMC12028982/pdf/\",\"citationCount\":\"0\",\"resultStr\":null,\"platform\":\"Semanticscholar\",\"paperid\":null,\"PeriodicalName\":\"Biomedicine hub\",\"FirstCategoryId\":\"1085\",\"ListUrlMain\":\"https://doi.org/10.1159/000545237\",\"RegionNum\":0,\"RegionCategory\":null,\"ArticlePicture\":[],\"TitleCN\":null,\"AbstractTextCN\":null,\"PMCID\":null,\"EPubDate\":\"2025/1/1 0:00:00\",\"PubModel\":\"eCollection\",\"JCR\":\"\",\"JCRName\":\"\",\"Score\":null,\"Total\":0}","platform":"Semanticscholar","paperid":null,"PeriodicalName":"Biomedicine hub","FirstCategoryId":"1085","ListUrlMain":"https://doi.org/10.1159/000545237","RegionNum":0,"RegionCategory":null,"ArticlePicture":[],"TitleCN":null,"AbstractTextCN":null,"PMCID":null,"EPubDate":"2025/1/1 0:00:00","PubModel":"eCollection","JCR":"","JCRName":"","Score":null,"Total":0}
引用次数: 0

摘要

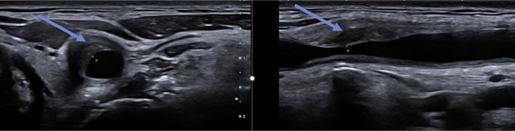
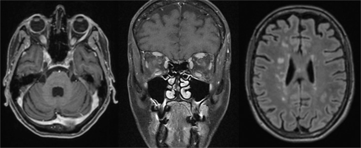
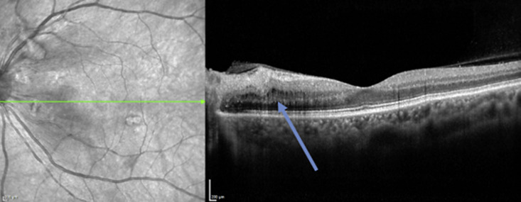
简介:高松动脉炎(Takayasu arteritis, TA)和多发性硬化症(multiple sclerosis, MS)都是可以共存的免疫介导疾病,TA引起血管炎症,而MS则涉及由异常t细胞活性驱动的脱髓鞘。这些疾病的重叠突出了共同的免疫机制,如t细胞失调和细胞因子释放,强调需要对它们的相互作用进行细致的理解,这在报告病例的叙述性回顾中进行了探讨。病例介绍:我们报道了所有多发性硬化症患者的TA病例,并报告了一名57岁的多发性硬化症女性,怀疑双侧视神经炎,双侧视神经有典型的造影剂增强。由于双眼视力正常,恶性高血压,眼底镜检查结果提示高血压视网膜病变,我们诊断高血压视网膜病变伴视神经继发性对比介质增强。我们建立了抗高血压药物,并寻找高血压和红细胞沉降率升高的继发原因,从而发现大血管壁炎症并诊断为TA。结论:TA可表现为多种眼部症状,包括高血压性视网膜病变、视网膜缺血、前缺血性视神经病变,常与其他疾病相似。虽然罕见,但TA和MS共存,包括与干扰素治疗相关的病例,表明有共同的免疫机制,并强调了对接受免疫调节治疗的MS患者进行仔细监测的必要性。广泛的视神经异常的潜在原因需要一个彻底的评估,以避免误诊,并确保适当的治疗。
本文章由计算机程序翻译,如有差异,请以英文原文为准。

Coincidence of Takayasu Arteritis and Multiple Sclerosis: Narrative Review and Case Report.

Coincidence of Takayasu Arteritis and Multiple Sclerosis: Narrative Review and Case Report.

Coincidence of Takayasu Arteritis and Multiple Sclerosis: Narrative Review and Case Report.

Coincidence of Takayasu Arteritis and Multiple Sclerosis: Narrative Review and Case Report.

Introduction: Takayasu arteritis (TA) and multiple sclerosis (MS) are both immune-mediated diseases that can coexist, with TA causing vascular inflammation and MS involving demyelination driven by aberrant T-cell activity. The overlap of these conditions highlights shared immune mechanisms, such as T-cell dysregulation and cytokine release, underscoring the need for a nuanced understanding of their interplay, which is explored in a narrative review of reported cases.

Case presentation: We narrate all reported cases of TA in patients with MS and report the case of a 57-year-old woman with MS with suspected bilateral optic neuritis and typical contrast-medium enhancement in both optic nerves. Because of normal visual acuity on both eyes, malignant hypertension, and fundoscopic findings indicative of hypertensive retinopathy, we diagnosed hypertensive retinopathy with secondary contrast-medium enhancement of the optic nerves. We established antihypertensive medication and searched for secondary causes of hypertension and highly elevated erythrocyte sedimentation rate, which led to the finding of large vessel wall inflammation and the diagnosis of TA.

Conclusion: TA can present with a variety of ocular symptoms, including hypertensive retinopathy, retinal ischemia, and anterior ischemic optic neuropathy, often mimicking other diseases. While rare, the coexistence of TA and MS, including cases associated with interferon-beta therapy, suggests shared immune mechanisms and underscores the need for careful monitoring of patients with MS receiving immunomodulatory treatments. The broad spectrum of potential causes for optic nerve abnormalities necessitates a thorough evaluation to avoid misdiagnosis and ensure appropriate treatment.

求助全文
通过发布文献求助,成功后即可免费获取论文全文。 去求助
来源期刊
自引率
0.00%
发文量
0
×
引用
GB/T 7714-2015
复制
MLA
复制
APA
复制
导出至
BibTeX EndNote RefMan NoteFirst NoteExpress
×
提示
您的信息不完整,为了账户安全,请先补充。
现在去补充
×
提示
您因"违规操作"
具体请查看互助需知
我知道了
×
提示
确定
请完成安全验证×
copy
已复制链接
快去分享给好友吧!
我知道了
右上角分享
点击右上角分享
0
联系我们:info@booksci.cn Book学术提供免费学术资源搜索服务,方便国内外学者检索中英文文献。致力于提供最便捷和优质的服务体验。 Copyright © 2023 布克学术 All rights reserved.
京ICP备2023020795号-1
ghs 京公网安备 11010802042870号
Book学术文献互助
Book学术文献互助群
群 号:604180095
Book学术官方微信