直肠胃肠道间质瘤肝转移的细胞学诊断1例。

Discoveries (Craiova, Romania) Pub Date : 2025-03-31 eCollection Date: 2025-01-01 DOI:10.15190/d.2025.1
Gauri Niranjan, Pallavi Prasad, Archana Verma, Ashok Kumar
{"title":"直肠胃肠道间质瘤肝转移的细胞学诊断1例。","authors":"Gauri Niranjan, Pallavi Prasad, Archana Verma, Ashok Kumar","doi":"10.15190/d.2025.1","DOIUrl":null,"url":null,"abstract":"<p><p>Gastrointestinal stromal tumours (GIST) are rare mesenchymal tumours which represent 1% to 3% of all gastrointestinal neoplasms. Rectal location of GIST is extremely rare accounting for 5% of GIST and only 0.1% of rectal tumours. They usually metastasise to the liver (65%). We hereby report a case of rectal stromal tumour with hepatic metastasis. A 55-year-old female presented with pelvic pain, associated with rectal bleeding. A thoracoabdominal computed tomography showed a large heterogeneous enhancing mass, arising from the rectum, anal canal and distal sigmoid colon measuring 12.3x8.7x7.6cm. Based on histopathological examination followed by immunohistochemistry, she was diagnosed with locally advanced rectal GIST. The tumour reduced in size after neoadjuvant-targeted treatment with imatinib. A local resection of the rectal GIST was successfully performed, and a diversion colostomy was done, later colostomy bag was attached. Following the operation, oral imatinib treatment was continued. On subsequent follow-up, her triple phase CECT whole abdomen showed multiple small well-defined peripherally enhancing hypodense liver lesions, the largest measuring 29x18mm suggestive of metastases. Ultrasound-guided fine needle aspiration from a liver lesion was reported as metastatic GIST. The patient underwent surgery, sunitinib was started and was discharged in stable condition. Thus, cytologic examination provides rapid interpretation, is a less invasive technique than open biopsy, and provides a cost-effective modality for diagnosing and managing inaccessible lesions.</p>","PeriodicalId":72829,"journal":{"name":"Discoveries (Craiova, Romania)","volume":"13 1","pages":"e202"},"PeriodicalIF":0.0000,"publicationDate":"2025-03-31","publicationTypes":"Journal Article","fieldsOfStudy":null,"isOpenAccess":false,"openAccessPdf":"https://www.ncbi.nlm.nih.gov/pmc/articles/PMC12062738/pdf/","citationCount":"0","resultStr":"{\"title\":\"Cytological Diagnosis of Hepatic Metastasis from Rectal Gastrointestinal Stromal Tumor: A Case Report.\",\"authors\":\"Gauri Niranjan, Pallavi Prasad, Archana Verma, Ashok Kumar\",\"doi\":\"10.15190/d.2025.1\",\"DOIUrl\":null,\"url\":null,\"abstract\":\"<p><p>Gastrointestinal stromal tumours (GIST) are rare mesenchymal tumours which represent 1% to 3% of all gastrointestinal neoplasms. Rectal location of GIST is extremely rare accounting for 5% of GIST and only 0.1% of rectal tumours. They usually metastasise to the liver (65%). We hereby report a case of rectal stromal tumour with hepatic metastasis. A 55-year-old female presented with pelvic pain, associated with rectal bleeding. A thoracoabdominal computed tomography showed a large heterogeneous enhancing mass, arising from the rectum, anal canal and distal sigmoid colon measuring 12.3x8.7x7.6cm. Based on histopathological examination followed by immunohistochemistry, she was diagnosed with locally advanced rectal GIST. The tumour reduced in size after neoadjuvant-targeted treatment with imatinib. A local resection of the rectal GIST was successfully performed, and a diversion colostomy was done, later colostomy bag was attached. Following the operation, oral imatinib treatment was continued. On subsequent follow-up, her triple phase CECT whole abdomen showed multiple small well-defined peripherally enhancing hypodense liver lesions, the largest measuring 29x18mm suggestive of metastases. Ultrasound-guided fine needle aspiration from a liver lesion was reported as metastatic GIST. The patient underwent surgery, sunitinib was started and was discharged in stable condition. Thus, cytologic examination provides rapid interpretation, is a less invasive technique than open biopsy, and provides a cost-effective modality for diagnosing and managing inaccessible lesions.</p>\",\"PeriodicalId\":72829,\"journal\":{\"name\":\"Discoveries (Craiova, Romania)\",\"volume\":\"13 1\",\"pages\":\"e202\"},\"PeriodicalIF\":0.0000,\"publicationDate\":\"2025-03-31\",\"publicationTypes\":\"Journal Article\",\"fieldsOfStudy\":null,\"isOpenAccess\":false,\"openAccessPdf\":\"https://www.ncbi.nlm.nih.gov/pmc/articles/PMC12062738/pdf/\",\"citationCount\":\"0\",\"resultStr\":null,\"platform\":\"Semanticscholar\",\"paperid\":null,\"PeriodicalName\":\"Discoveries (Craiova, Romania)\",\"FirstCategoryId\":\"1085\",\"ListUrlMain\":\"https://doi.org/10.15190/d.2025.1\",\"RegionNum\":0,\"RegionCategory\":null,\"ArticlePicture\":[],\"TitleCN\":null,\"AbstractTextCN\":null,\"PMCID\":null,\"EPubDate\":\"2025/1/1 0:00:00\",\"PubModel\":\"eCollection\",\"JCR\":\"\",\"JCRName\":\"\",\"Score\":null,\"Total\":0}","platform":"Semanticscholar","paperid":null,"PeriodicalName":"Discoveries (Craiova, Romania)","FirstCategoryId":"1085","ListUrlMain":"https://doi.org/10.15190/d.2025.1","RegionNum":0,"RegionCategory":null,"ArticlePicture":[],"TitleCN":null,"AbstractTextCN":null,"PMCID":null,"EPubDate":"2025/1/1 0:00:00","PubModel":"eCollection","JCR":"","JCRName":"","Score":null,"Total":0}
引用次数: 0

摘要

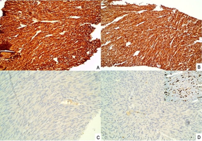
胃肠道间质瘤(GIST)是一种罕见的间质肿瘤,占所有胃肠道肿瘤的1%至3%。胃肠道间质瘤发生在直肠极为罕见,约占胃肠道间质瘤的5%,仅占直肠肿瘤的0.1%。它们通常转移到肝脏(65%)。我们在此报告一例直肠间质瘤合并肝转移。55岁女性,骨盆疼痛伴直肠出血。胸腹计算机断层扫描显示一个巨大的非均匀强化肿块,来自直肠、肛管和远端乙状结肠,尺寸为12.3x8.7x7.6cm。基于组织病理学检查和免疫组织化学,她被诊断为局部晚期直肠GIST。用伊马替尼进行新辅助靶向治疗后,肿瘤缩小。成功行直肠间质瘤局部切除,并行转移结肠造口术,随后贴附结肠造口袋。术后继续口服伊马替尼治疗。在随后的随访中,她的全腹部三期CECT显示多个小而明确的周围增强低密度肝脏病变,最大的尺寸为29x18mm,提示转移。超声引导下的细针穿刺从肝脏病变被报道为转移性GIST。患者接受手术,开始使用舒尼替尼,出院时病情稳定。因此,细胞学检查提供了快速的解释,是一种比开放活检侵入性更小的技术,并且为诊断和处理难以触及的病变提供了一种经济有效的方式。
本文章由计算机程序翻译,如有差异,请以英文原文为准。

Cytological Diagnosis of Hepatic Metastasis from Rectal Gastrointestinal Stromal Tumor: A Case Report.

Cytological Diagnosis of Hepatic Metastasis from Rectal Gastrointestinal Stromal Tumor: A Case Report.

Cytological Diagnosis of Hepatic Metastasis from Rectal Gastrointestinal Stromal Tumor: A Case Report.

Cytological Diagnosis of Hepatic Metastasis from Rectal Gastrointestinal Stromal Tumor: A Case Report.

Gastrointestinal stromal tumours (GIST) are rare mesenchymal tumours which represent 1% to 3% of all gastrointestinal neoplasms. Rectal location of GIST is extremely rare accounting for 5% of GIST and only 0.1% of rectal tumours. They usually metastasise to the liver (65%). We hereby report a case of rectal stromal tumour with hepatic metastasis. A 55-year-old female presented with pelvic pain, associated with rectal bleeding. A thoracoabdominal computed tomography showed a large heterogeneous enhancing mass, arising from the rectum, anal canal and distal sigmoid colon measuring 12.3x8.7x7.6cm. Based on histopathological examination followed by immunohistochemistry, she was diagnosed with locally advanced rectal GIST. The tumour reduced in size after neoadjuvant-targeted treatment with imatinib. A local resection of the rectal GIST was successfully performed, and a diversion colostomy was done, later colostomy bag was attached. Following the operation, oral imatinib treatment was continued. On subsequent follow-up, her triple phase CECT whole abdomen showed multiple small well-defined peripherally enhancing hypodense liver lesions, the largest measuring 29x18mm suggestive of metastases. Ultrasound-guided fine needle aspiration from a liver lesion was reported as metastatic GIST. The patient underwent surgery, sunitinib was started and was discharged in stable condition. Thus, cytologic examination provides rapid interpretation, is a less invasive technique than open biopsy, and provides a cost-effective modality for diagnosing and managing inaccessible lesions.

求助全文
通过发布文献求助,成功后即可免费获取论文全文。 去求助
来源期刊
自引率
0.00%
发文量
0
×
引用
GB/T 7714-2015
复制
MLA
复制
APA
复制
导出至
BibTeX EndNote RefMan NoteFirst NoteExpress
×
提示
您的信息不完整,为了账户安全,请先补充。
现在去补充
×
提示
您因"违规操作"
具体请查看互助需知
我知道了
×
提示
确定
请完成安全验证×
copy
已复制链接
快去分享给好友吧!
我知道了
右上角分享
点击右上角分享
0
联系我们:info@booksci.cn Book学术提供免费学术资源搜索服务,方便国内外学者检索中英文文献。致力于提供最便捷和优质的服务体验。 Copyright © 2023 布克学术 All rights reserved.
京ICP备2023020795号-1
ghs 京公网安备 11010802042870号
Book学术文献互助
Book学术文献互助群
群 号:604180095
Book学术官方微信