捕获一只野生克莱门海豚(克莱门氏海豚)的肌病,被困在巴西塞埃尔州海岸。

Brazilian journal of veterinary medicine Pub Date : 2025-05-08 eCollection Date: 2025-01-01 DOI:10.29374/2527-2179.bjvm00625
Vitor Luz Carvalho, Daniel Araújo Viana, Alexsandro Antonio Portilho Damasceno, Maria Vivina Barros Monteiro, Frederico Ozanan Barros Monteiro
{"title":"捕获一只野生克莱门海豚(克莱门氏海豚)的肌病,被困在巴西塞埃尔<e:1>州海岸。","authors":"Vitor Luz Carvalho, Daniel Araújo Viana, Alexsandro Antonio Portilho Damasceno, Maria Vivina Barros Monteiro, Frederico Ozanan Barros Monteiro","doi":"10.29374/2527-2179.bjvm00625","DOIUrl":null,"url":null,"abstract":"<p><p>Stranded cetaceans face critical illnesses and often present with multiple co-morbidities, which are further exacerbated by the stress induced by stranding events and interactions with humans. Capture myopathy (CM) is a common condition in dolphins and other wildlife subjected to extreme stress during capture, handling, or transportation. This condition is particularly problematic in highly sensitive species such as dolphins, whose intense physiological response to stress can lead to severe complications. In this case report, we present the hematological, biochemical, and histopathological findings that contributed to the diagnosis of secondary CM in a wild Clymene dolphin, <i>Stenella clymene</i>, stranded alive on a beach in northeastern Brazil.</p>","PeriodicalId":72458,"journal":{"name":"Brazilian journal of veterinary medicine","volume":"47 ","pages":"e000625"},"PeriodicalIF":0.0000,"publicationDate":"2025-05-08","publicationTypes":"Journal Article","fieldsOfStudy":null,"isOpenAccess":false,"openAccessPdf":"https://www.ncbi.nlm.nih.gov/pmc/articles/PMC12061196/pdf/","citationCount":"0","resultStr":"{\"title\":\"Capture myopathy in a wild Clymene dolphin (<i>Stenella clymene</i>) stranded alive on the coast of Ceará State, Brazil.\",\"authors\":\"Vitor Luz Carvalho, Daniel Araújo Viana, Alexsandro Antonio Portilho Damasceno, Maria Vivina Barros Monteiro, Frederico Ozanan Barros Monteiro\",\"doi\":\"10.29374/2527-2179.bjvm00625\",\"DOIUrl\":null,\"url\":null,\"abstract\":\"<p><p>Stranded cetaceans face critical illnesses and often present with multiple co-morbidities, which are further exacerbated by the stress induced by stranding events and interactions with humans. Capture myopathy (CM) is a common condition in dolphins and other wildlife subjected to extreme stress during capture, handling, or transportation. This condition is particularly problematic in highly sensitive species such as dolphins, whose intense physiological response to stress can lead to severe complications. In this case report, we present the hematological, biochemical, and histopathological findings that contributed to the diagnosis of secondary CM in a wild Clymene dolphin, <i>Stenella clymene</i>, stranded alive on a beach in northeastern Brazil.</p>\",\"PeriodicalId\":72458,\"journal\":{\"name\":\"Brazilian journal of veterinary medicine\",\"volume\":\"47 \",\"pages\":\"e000625\"},\"PeriodicalIF\":0.0000,\"publicationDate\":\"2025-05-08\",\"publicationTypes\":\"Journal Article\",\"fieldsOfStudy\":null,\"isOpenAccess\":false,\"openAccessPdf\":\"https://www.ncbi.nlm.nih.gov/pmc/articles/PMC12061196/pdf/\",\"citationCount\":\"0\",\"resultStr\":null,\"platform\":\"Semanticscholar\",\"paperid\":null,\"PeriodicalName\":\"Brazilian journal of veterinary medicine\",\"FirstCategoryId\":\"1085\",\"ListUrlMain\":\"https://doi.org/10.29374/2527-2179.bjvm00625\",\"RegionNum\":0,\"RegionCategory\":null,\"ArticlePicture\":[],\"TitleCN\":null,\"AbstractTextCN\":null,\"PMCID\":null,\"EPubDate\":\"2025/1/1 0:00:00\",\"PubModel\":\"eCollection\",\"JCR\":\"\",\"JCRName\":\"\",\"Score\":null,\"Total\":0}","platform":"Semanticscholar","paperid":null,"PeriodicalName":"Brazilian journal of veterinary medicine","FirstCategoryId":"1085","ListUrlMain":"https://doi.org/10.29374/2527-2179.bjvm00625","RegionNum":0,"RegionCategory":null,"ArticlePicture":[],"TitleCN":null,"AbstractTextCN":null,"PMCID":null,"EPubDate":"2025/1/1 0:00:00","PubModel":"eCollection","JCR":"","JCRName":"","Score":null,"Total":0}
引用次数: 0

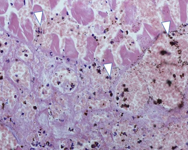
摘要

搁浅的鲸类动物面临着严重的疾病,并经常出现多种合并症,而搁浅事件和与人类的相互作用所引起的压力又进一步加剧了这些疾病。捕获性肌病(CM)是海豚和其他野生动物在捕获、处理或运输过程中受到极端压力的常见疾病。这种情况在海豚等高度敏感的物种中尤其成问题,它们对压力的强烈生理反应可能导致严重的并发症。在本病例报告中,我们介绍了在巴西东北部海滩上搁浅的野生克莱门海豚(Stenella Clymene)的血液学、生化和组织病理学结果,这些结果有助于诊断继发性CM。
本文章由计算机程序翻译,如有差异,请以英文原文为准。

Capture myopathy in a wild Clymene dolphin (<i>Stenella clymene</i>) stranded alive on the coast of Ceará State, Brazil.

Capture myopathy in a wild Clymene dolphin (<i>Stenella clymene</i>) stranded alive on the coast of Ceará State, Brazil.

Capture myopathy in a wild Clymene dolphin (Stenella clymene) stranded alive on the coast of Ceará State, Brazil.

Stranded cetaceans face critical illnesses and often present with multiple co-morbidities, which are further exacerbated by the stress induced by stranding events and interactions with humans. Capture myopathy (CM) is a common condition in dolphins and other wildlife subjected to extreme stress during capture, handling, or transportation. This condition is particularly problematic in highly sensitive species such as dolphins, whose intense physiological response to stress can lead to severe complications. In this case report, we present the hematological, biochemical, and histopathological findings that contributed to the diagnosis of secondary CM in a wild Clymene dolphin, Stenella clymene, stranded alive on a beach in northeastern Brazil.

求助全文
通过发布文献求助,成功后即可免费获取论文全文。 去求助
来源期刊
自引率
0.00%
发文量
0
×
引用
GB/T 7714-2015
复制
MLA
复制
APA
复制
导出至
BibTeX EndNote RefMan NoteFirst NoteExpress
×
提示
您的信息不完整,为了账户安全,请先补充。
现在去补充
×
提示
您因"违规操作"
具体请查看互助需知
我知道了
×
提示
确定
请完成安全验证×
copy
已复制链接
快去分享给好友吧!
我知道了
右上角分享
点击右上角分享
0
联系我们:info@booksci.cn Book学术提供免费学术资源搜索服务,方便国内外学者检索中英文文献。致力于提供最便捷和优质的服务体验。 Copyright © 2023 布克学术 All rights reserved.
京ICP备2023020795号-1
ghs 京公网安备 11010802042870号
Book学术文献互助
Book学术文献互助群
群 号:604180095
Book学术官方微信