免疫功能正常的胸腰椎Pott病的探讨十年来的制度经验与文献综述。

Yasser Aljehani, Naif ALkhaldi, Lama Althunayyan, Rahaf Alghamdi, Sadeem Aljamaan, Marwan Alwazzeh, Farouk Alreshaid
{"title":"免疫功能正常的胸腰椎Pott病的探讨十年来的制度经验与文献综述。","authors":"Yasser Aljehani, Naif ALkhaldi, Lama Althunayyan, Rahaf Alghamdi, Sadeem Aljamaan, Marwan Alwazzeh, Farouk Alreshaid","doi":"10.5455/medarh.2025.79.41-46","DOIUrl":null,"url":null,"abstract":"<p><strong>Background: </strong>The presentation of Pott's has a wide variation and an insidious onset, which makes timely accurate diagnosis quite challenging.</p><p><strong>Objective: </strong>To review Pott's cases to enhance the disease management and fill the literature gap regarding the approach to Pott's disease.</p><p><strong>Methods: </strong>A descriptive observational retrospective hospital-based study conducted from 2007 to 2022 at KFHU. 346 patients who were diagnosed with TB were reviewed thoroughly. Only 13 cases were labeled as Pott's disease based on imaging or microbiology testing and hence were included in this study, and other TB pulmonary and extrapulmonary cases were excluded.</p><p><strong>Results: </strong>In our analysis of 13 cases of Pott's disease, we observed a significant male predominance (69.23%) and diverse symptoms, with back pain (69.2%) being most prevalent among our patients. Lumbar involvement was the most frequently observed site (38.4%), and diagnoses were made through microbiology (69.2%) or clinical/radiological means (30.8%). Acid-fast bacilli (AFB) culture testing exhibited a positivity rate of 61.5%, while TB-PCR showed positive results in 57.1%. Imaging studies revealed vertebral lesions (90.9% CT, 81.8% MRI), abscesses (54.5% CT, 81.8% MRI), and spondylodiscitis (18.2% CT, 54.5% MRI). Treatment, administered in 92.3% of cases, involved the use of Isoniazid, Rifampicin, and Ethambutol. Surgical interventions, though less frequent, encompassed various procedures. Outcomes demonstrated a notable high cure rate of 84.9%, with a 15.4% incidence of cases experiencing loss of follow-up.</p><p><strong>Conclusion: </strong>The high cure rate of 84.9% accentuates the effectiveness of early diagnosis and comprehensive treatment strategies that combine medical and surgical interventions when necessary.</p>","PeriodicalId":94135,"journal":{"name":"Medical archives (Sarajevo, Bosnia and Herzegovina)","volume":"79 1","pages":"41-46"},"PeriodicalIF":0.0000,"publicationDate":"2025-01-01","publicationTypes":"Journal Article","fieldsOfStudy":null,"isOpenAccess":false,"openAccessPdf":"https://www.ncbi.nlm.nih.gov/pmc/articles/PMC12045595/pdf/","citationCount":"0","resultStr":"{\"title\":\"Exploring Thoracolumbar Pott's Disease in the Immunocompetent; Institutional Experience Over a Decade and Comprehensive Literature Review.\",\"authors\":\"Yasser Aljehani, Naif ALkhaldi, Lama Althunayyan, Rahaf Alghamdi, Sadeem Aljamaan, Marwan Alwazzeh, Farouk Alreshaid\",\"doi\":\"10.5455/medarh.2025.79.41-46\",\"DOIUrl\":null,\"url\":null,\"abstract\":\"<p><strong>Background: </strong>The presentation of Pott's has a wide variation and an insidious onset, which makes timely accurate diagnosis quite challenging.</p><p><strong>Objective: </strong>To review Pott's cases to enhance the disease management and fill the literature gap regarding the approach to Pott's disease.</p><p><strong>Methods: </strong>A descriptive observational retrospective hospital-based study conducted from 2007 to 2022 at KFHU. 346 patients who were diagnosed with TB were reviewed thoroughly. Only 13 cases were labeled as Pott's disease based on imaging or microbiology testing and hence were included in this study, and other TB pulmonary and extrapulmonary cases were excluded.</p><p><strong>Results: </strong>In our analysis of 13 cases of Pott's disease, we observed a significant male predominance (69.23%) and diverse symptoms, with back pain (69.2%) being most prevalent among our patients. Lumbar involvement was the most frequently observed site (38.4%), and diagnoses were made through microbiology (69.2%) or clinical/radiological means (30.8%). Acid-fast bacilli (AFB) culture testing exhibited a positivity rate of 61.5%, while TB-PCR showed positive results in 57.1%. Imaging studies revealed vertebral lesions (90.9% CT, 81.8% MRI), abscesses (54.5% CT, 81.8% MRI), and spondylodiscitis (18.2% CT, 54.5% MRI). Treatment, administered in 92.3% of cases, involved the use of Isoniazid, Rifampicin, and Ethambutol. Surgical interventions, though less frequent, encompassed various procedures. Outcomes demonstrated a notable high cure rate of 84.9%, with a 15.4% incidence of cases experiencing loss of follow-up.</p><p><strong>Conclusion: </strong>The high cure rate of 84.9% accentuates the effectiveness of early diagnosis and comprehensive treatment strategies that combine medical and surgical interventions when necessary.</p>\",\"PeriodicalId\":94135,\"journal\":{\"name\":\"Medical archives (Sarajevo, Bosnia and Herzegovina)\",\"volume\":\"79 1\",\"pages\":\"41-46\"},\"PeriodicalIF\":0.0000,\"publicationDate\":\"2025-01-01\",\"publicationTypes\":\"Journal Article\",\"fieldsOfStudy\":null,\"isOpenAccess\":false,\"openAccessPdf\":\"https://www.ncbi.nlm.nih.gov/pmc/articles/PMC12045595/pdf/\",\"citationCount\":\"0\",\"resultStr\":null,\"platform\":\"Semanticscholar\",\"paperid\":null,\"PeriodicalName\":\"Medical archives (Sarajevo, Bosnia and Herzegovina)\",\"FirstCategoryId\":\"1085\",\"ListUrlMain\":\"https://doi.org/10.5455/medarh.2025.79.41-46\",\"RegionNum\":0,\"RegionCategory\":null,\"ArticlePicture\":[],\"TitleCN\":null,\"AbstractTextCN\":null,\"PMCID\":null,\"EPubDate\":\"\",\"PubModel\":\"\",\"JCR\":\"\",\"JCRName\":\"\",\"Score\":null,\"Total\":0}","platform":"Semanticscholar","paperid":null,"PeriodicalName":"Medical archives (Sarajevo, Bosnia and Herzegovina)","FirstCategoryId":"1085","ListUrlMain":"https://doi.org/10.5455/medarh.2025.79.41-46","RegionNum":0,"RegionCategory":null,"ArticlePicture":[],"TitleCN":null,"AbstractTextCN":null,"PMCID":null,"EPubDate":"","PubModel":"","JCR":"","JCRName":"","Score":null,"Total":0}
引用次数: 0

摘要

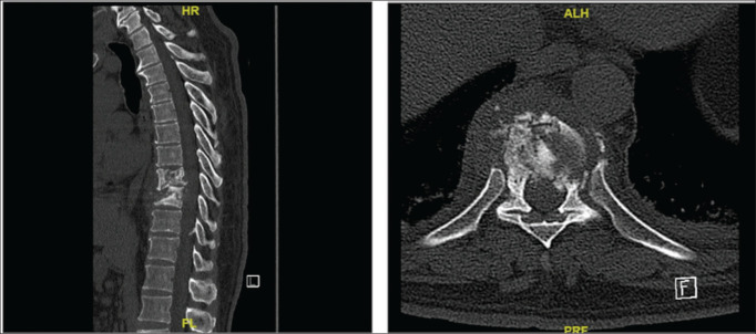
背景:波特氏病的表现多样且发病隐匿,这使得及时准确的诊断非常具有挑战性。目的:回顾波特病的病例,以加强疾病管理,填补关于波特病入路的文献空白。方法:2007年至2022年在KFHU进行了一项描述性观察性回顾性医院研究。对346名诊断为结核病的患者进行了全面审查。仅13例通过影像学或微生物学检查被标记为波特病,因此纳入本研究,其他肺结核和肺外病例被排除在外。结果:在我们对13例波特病的分析中,我们观察到明显的男性优势(69.23%)和多种症状,背部疼痛(69.2%)在我们的患者中最常见。腰椎受累是最常见的观察部位(38.4%),通过微生物学(69.2%)或临床/放射学手段(30.8%)进行诊断。抗酸杆菌(AFB)培养检测阳性率为61.5%,结核杆菌- pcr检测阳性率为57.1%。影像学检查显示椎体病变(90.9% CT, 81.8% MRI),脓肿(54.5% CT, 81.8% MRI)和脊柱炎(18.2% CT, 54.5% MRI)。92.3%的病例使用异烟肼、利福平和乙胺丁醇进行治疗。外科手术虽然不那么频繁,但也包含了各种各样的程序。结果显示,治愈率高达84.9%,而失去随访的病例发生率为15.4%。结论:84.9%的治愈率突出了早期诊断和综合治疗策略的有效性,必要时采用内外科结合的干预措施。
本文章由计算机程序翻译,如有差异,请以英文原文为准。

Exploring Thoracolumbar Pott's Disease in the Immunocompetent; Institutional Experience Over a Decade and Comprehensive Literature Review.

Exploring Thoracolumbar Pott's Disease in the Immunocompetent; Institutional Experience Over a Decade and Comprehensive Literature Review.

Exploring Thoracolumbar Pott's Disease in the Immunocompetent; Institutional Experience Over a Decade and Comprehensive Literature Review.

Background: The presentation of Pott's has a wide variation and an insidious onset, which makes timely accurate diagnosis quite challenging.

Objective: To review Pott's cases to enhance the disease management and fill the literature gap regarding the approach to Pott's disease.

Methods: A descriptive observational retrospective hospital-based study conducted from 2007 to 2022 at KFHU. 346 patients who were diagnosed with TB were reviewed thoroughly. Only 13 cases were labeled as Pott's disease based on imaging or microbiology testing and hence were included in this study, and other TB pulmonary and extrapulmonary cases were excluded.

Results: In our analysis of 13 cases of Pott's disease, we observed a significant male predominance (69.23%) and diverse symptoms, with back pain (69.2%) being most prevalent among our patients. Lumbar involvement was the most frequently observed site (38.4%), and diagnoses were made through microbiology (69.2%) or clinical/radiological means (30.8%). Acid-fast bacilli (AFB) culture testing exhibited a positivity rate of 61.5%, while TB-PCR showed positive results in 57.1%. Imaging studies revealed vertebral lesions (90.9% CT, 81.8% MRI), abscesses (54.5% CT, 81.8% MRI), and spondylodiscitis (18.2% CT, 54.5% MRI). Treatment, administered in 92.3% of cases, involved the use of Isoniazid, Rifampicin, and Ethambutol. Surgical interventions, though less frequent, encompassed various procedures. Outcomes demonstrated a notable high cure rate of 84.9%, with a 15.4% incidence of cases experiencing loss of follow-up.

Conclusion: The high cure rate of 84.9% accentuates the effectiveness of early diagnosis and comprehensive treatment strategies that combine medical and surgical interventions when necessary.

求助全文
通过发布文献求助,成功后即可免费获取论文全文。 去求助
来源期刊
自引率
0.00%
发文量
0
×
引用
GB/T 7714-2015
复制
MLA
复制
APA
复制
导出至
BibTeX EndNote RefMan NoteFirst NoteExpress
×
提示
您的信息不完整,为了账户安全,请先补充。
现在去补充
×
提示
您因"违规操作"
具体请查看互助需知
我知道了
×
提示
确定
请完成安全验证×
copy
已复制链接
快去分享给好友吧!
我知道了
右上角分享
点击右上角分享
0
联系我们:info@booksci.cn Book学术提供免费学术资源搜索服务,方便国内外学者检索中英文文献。致力于提供最便捷和优质的服务体验。 Copyright © 2023 布克学术 All rights reserved.
京ICP备2023020795号-1
ghs 京公网安备 11010802042870号
Book学术文献互助
Book学术文献互助群
群 号:604180095
Book学术官方微信