仿酒糟鼻的中性腺非典型弹性纤维瘤1例报告及文献复习。

Q2 Medicine
Archives of Craniofacial Surgery Pub Date : 2025-04-01 Epub Date: 2025-04-20 DOI:10.7181/acfs.2026.0002
Minwoo Park, Sug Won Kim, Chae Eun Yang, Jiye Kim
{"title":"仿酒糟鼻的中性腺非典型弹性纤维瘤1例报告及文献复习。","authors":"Minwoo Park, Sug Won Kim, Chae Eun Yang, Jiye Kim","doi":"10.7181/acfs.2026.0002","DOIUrl":null,"url":null,"abstract":"<p><p>Elastofibroma is a rare soft tissue tumor that most commonly occurs in the subscapular region. It has also been reported in several other anatomical locations. To our knowledge, no previous reports have described elastofibromas in the anterior aspect of the face. A 36-year-old man with intellectual disability was referred to our department for the evaluation of a painless multinodular lesion on the philtrum. The lesion was initially misdiagnosed as a dermatologic condition by the department of dermatology and was treated accordingly, however, it worsened, prompting referral to our department. We performed a surgical excision of the lesion and reconstructed the resulting skin defect with a skin graft. Histopathological examination confirmed the diagnosis of elastofibroma. This case underscores the importance of including elastofibroma in the differential diagnosis of facial neoplasms, particularly when the presentation is phymatous.</p>","PeriodicalId":52238,"journal":{"name":"Archives of Craniofacial Surgery","volume":"26 2","pages":"76-79"},"PeriodicalIF":0.0000,"publicationDate":"2025-04-01","publicationTypes":"Journal Article","fieldsOfStudy":null,"isOpenAccess":false,"openAccessPdf":"https://www.ncbi.nlm.nih.gov/pmc/articles/PMC12061771/pdf/","citationCount":"0","resultStr":"{\"title\":\"Atypical elastofibroma of the philtrum mimicking rosacea: a case report and literature review.\",\"authors\":\"Minwoo Park, Sug Won Kim, Chae Eun Yang, Jiye Kim\",\"doi\":\"10.7181/acfs.2026.0002\",\"DOIUrl\":null,\"url\":null,\"abstract\":\"<p><p>Elastofibroma is a rare soft tissue tumor that most commonly occurs in the subscapular region. It has also been reported in several other anatomical locations. To our knowledge, no previous reports have described elastofibromas in the anterior aspect of the face. A 36-year-old man with intellectual disability was referred to our department for the evaluation of a painless multinodular lesion on the philtrum. The lesion was initially misdiagnosed as a dermatologic condition by the department of dermatology and was treated accordingly, however, it worsened, prompting referral to our department. We performed a surgical excision of the lesion and reconstructed the resulting skin defect with a skin graft. Histopathological examination confirmed the diagnosis of elastofibroma. This case underscores the importance of including elastofibroma in the differential diagnosis of facial neoplasms, particularly when the presentation is phymatous.</p>\",\"PeriodicalId\":52238,\"journal\":{\"name\":\"Archives of Craniofacial Surgery\",\"volume\":\"26 2\",\"pages\":\"76-79\"},\"PeriodicalIF\":0.0000,\"publicationDate\":\"2025-04-01\",\"publicationTypes\":\"Journal Article\",\"fieldsOfStudy\":null,\"isOpenAccess\":false,\"openAccessPdf\":\"https://www.ncbi.nlm.nih.gov/pmc/articles/PMC12061771/pdf/\",\"citationCount\":\"0\",\"resultStr\":null,\"platform\":\"Semanticscholar\",\"paperid\":null,\"PeriodicalName\":\"Archives of Craniofacial Surgery\",\"FirstCategoryId\":\"1085\",\"ListUrlMain\":\"https://doi.org/10.7181/acfs.2026.0002\",\"RegionNum\":0,\"RegionCategory\":null,\"ArticlePicture\":[],\"TitleCN\":null,\"AbstractTextCN\":null,\"PMCID\":null,\"EPubDate\":\"2025/4/20 0:00:00\",\"PubModel\":\"Epub\",\"JCR\":\"Q2\",\"JCRName\":\"Medicine\",\"Score\":null,\"Total\":0}","platform":"Semanticscholar","paperid":null,"PeriodicalName":"Archives of Craniofacial Surgery","FirstCategoryId":"1085","ListUrlMain":"https://doi.org/10.7181/acfs.2026.0002","RegionNum":0,"RegionCategory":null,"ArticlePicture":[],"TitleCN":null,"AbstractTextCN":null,"PMCID":null,"EPubDate":"2025/4/20 0:00:00","PubModel":"Epub","JCR":"Q2","JCRName":"Medicine","Score":null,"Total":0}
引用次数: 0

摘要

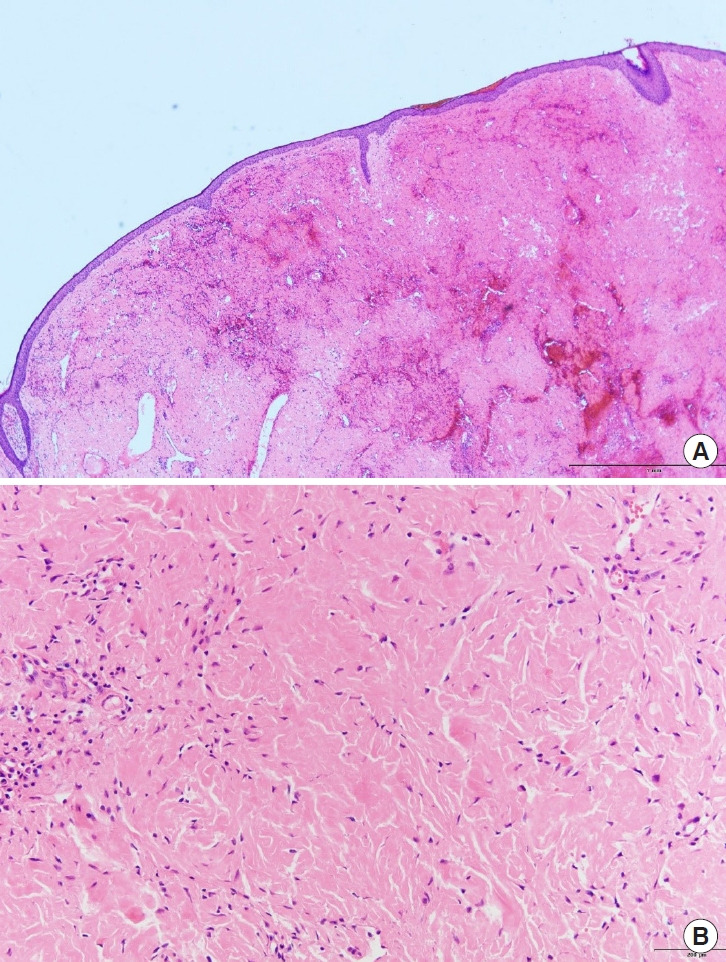
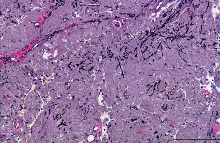
弹性纤维瘤是一种罕见的软组织肿瘤,最常见于肩胛下区域。在其他几个解剖位置也有报道。据我们所知,以前没有报道描述面部前部的弹性纤维瘤。一位36岁的智障男性被转介到我科评估中部无痛性多结节病变。该病变最初被皮肤科误诊为皮肤病,并进行了相应的治疗,但病情恶化,促使转介到我科。我们进行了手术切除病变和重建的皮肤缺损与皮肤移植。组织病理学检查证实为弹性纤维瘤。本病例强调了面部肿瘤鉴别诊断中包括弹性纤维瘤的重要性,特别是当表现为瘤状病变时。
本文章由计算机程序翻译,如有差异,请以英文原文为准。

Atypical elastofibroma of the philtrum mimicking rosacea: a case report and literature review.

Atypical elastofibroma of the philtrum mimicking rosacea: a case report and literature review.

Atypical elastofibroma of the philtrum mimicking rosacea: a case report and literature review.

Atypical elastofibroma of the philtrum mimicking rosacea: a case report and literature review.

Elastofibroma is a rare soft tissue tumor that most commonly occurs in the subscapular region. It has also been reported in several other anatomical locations. To our knowledge, no previous reports have described elastofibromas in the anterior aspect of the face. A 36-year-old man with intellectual disability was referred to our department for the evaluation of a painless multinodular lesion on the philtrum. The lesion was initially misdiagnosed as a dermatologic condition by the department of dermatology and was treated accordingly, however, it worsened, prompting referral to our department. We performed a surgical excision of the lesion and reconstructed the resulting skin defect with a skin graft. Histopathological examination confirmed the diagnosis of elastofibroma. This case underscores the importance of including elastofibroma in the differential diagnosis of facial neoplasms, particularly when the presentation is phymatous.

求助全文
通过发布文献求助,成功后即可免费获取论文全文。 去求助
来源期刊
Archives of Craniofacial Surgery
Archives of Craniofacial Surgery Medicine-Otorhinolaryngology
CiteScore
2.90
自引率
0.00%
发文量
44
×
引用
GB/T 7714-2015
复制
MLA
复制
APA
复制
导出至
BibTeX EndNote RefMan NoteFirst NoteExpress
×
提示
您的信息不完整,为了账户安全,请先补充。
现在去补充
×
提示
您因"违规操作"
具体请查看互助需知
我知道了
×
提示
确定
请完成安全验证×
copy
已复制链接
快去分享给好友吧!
我知道了
右上角分享
点击右上角分享
0
联系我们:info@booksci.cn Book学术提供免费学术资源搜索服务,方便国内外学者检索中英文文献。致力于提供最便捷和优质的服务体验。 Copyright © 2023 布克学术 All rights reserved.
京ICP备2023020795号-1
ghs 京公网安备 11010802042870号
Book学术文献互助
Book学术文献互助群
群 号:604180095
Book学术官方微信