[肺癌脑及脑膜转移表现为脑钙化:
1例报告及文献复习]。

Q4 Medicine
Deng Zhang, Yiru Kong, Xiaohua Liang, Xinli Zhou
{"title":"[肺癌脑及脑膜转移表现为脑钙化:\u20291例报告及文献复习]。","authors":"Deng Zhang, Yiru Kong, Xiaohua Liang, Xinli Zhou","doi":"10.3779/j.issn.1009-3419.2025.106.05","DOIUrl":null,"url":null,"abstract":"<p><p>Lung cancer is still one of the most common malignant tumors in the world. With the increase of its incidence and the development of medical technology, the overall survival of lung cancer patients has significantly extended compared to before. The incidence of brain and meningeal metastases from lung cancer has also been rising year by year, but patients with brain and meningeal metastases from lung cancer have a poor prognosis and a very high mortality rate, and the diagnosis is mainly based on computed tomography (CT), magnetic resonance imaging (MRI) and other imaging examinations. However, the imaging features are diverse and the specificity is low, which makes it easy to be misdiagnosed and missed. Therefore, accurately identifying brain and meningeal metastases and timely targeted treatment is crucial for improving patient prognosis. This paper analyzed the diagnosis and treatment of a case of lung cancer with no obvious recurrence and metastasis in nearly 7-year long-term follow-up after radical lung cancer surgery, but the patient with abnormal behavior, impaired consciousness and epilepsy in the past 5 months, and multiple punctate calcifications in the brain found by head CT and MRI. This paper consider that the patient's mental and behavioral symptoms were caused by brain and meningeal metastasis of lung cancer after excluding infectious disease and ineffective treatment of autoimmune encephalitis, and further pathological biopsy and genetic detection confirmed the diagnosis of metastatic lung adenocarcinoma with epidermal growth factor receptor (EGFR) L858R gene mutation, and the patient's symptoms were significantly improved after targeted therapy by Osimertinib. This paper also searched the relevant literatures of brain calcifications in databases such as China National Knowledge Infrastructure (CNKI), Wanfang, UpToDate, PubMed, etc., and found that intracerebral calcifications exist in a variety of diseases, including infectious, genetic and neurodegenerative diseases, vascular diseases, metabolic diseases and tumors. However, brain calcification in brain and meningeal metastases are often underestimated, and the consequent risk is misdiagnosis and delayed treatment. Therefore, brain and meningeal metastases manifested as brain calcification should not be ignored in patients with a history of previous tumors.\u2029.</p>","PeriodicalId":39317,"journal":{"name":"中国肺癌杂志","volume":"28 3","pages":"237-244"},"PeriodicalIF":0.0000,"publicationDate":"2025-03-20","publicationTypes":"Journal Article","fieldsOfStudy":null,"isOpenAccess":false,"openAccessPdf":"https://www.ncbi.nlm.nih.gov/pmc/articles/PMC11986680/pdf/","citationCount":"0","resultStr":"{\"title\":\"[Brain and Meningeal Metastases of Lung Cancer Manifested as Brain Calcifications: \\u2029A Case Report and Literature Review].\",\"authors\":\"Deng Zhang, Yiru Kong, Xiaohua Liang, Xinli Zhou\",\"doi\":\"10.3779/j.issn.1009-3419.2025.106.05\",\"DOIUrl\":null,\"url\":null,\"abstract\":\"<p><p>Lung cancer is still one of the most common malignant tumors in the world. With the increase of its incidence and the development of medical technology, the overall survival of lung cancer patients has significantly extended compared to before. The incidence of brain and meningeal metastases from lung cancer has also been rising year by year, but patients with brain and meningeal metastases from lung cancer have a poor prognosis and a very high mortality rate, and the diagnosis is mainly based on computed tomography (CT), magnetic resonance imaging (MRI) and other imaging examinations. However, the imaging features are diverse and the specificity is low, which makes it easy to be misdiagnosed and missed. Therefore, accurately identifying brain and meningeal metastases and timely targeted treatment is crucial for improving patient prognosis. This paper analyzed the diagnosis and treatment of a case of lung cancer with no obvious recurrence and metastasis in nearly 7-year long-term follow-up after radical lung cancer surgery, but the patient with abnormal behavior, impaired consciousness and epilepsy in the past 5 months, and multiple punctate calcifications in the brain found by head CT and MRI. This paper consider that the patient's mental and behavioral symptoms were caused by brain and meningeal metastasis of lung cancer after excluding infectious disease and ineffective treatment of autoimmune encephalitis, and further pathological biopsy and genetic detection confirmed the diagnosis of metastatic lung adenocarcinoma with epidermal growth factor receptor (EGFR) L858R gene mutation, and the patient's symptoms were significantly improved after targeted therapy by Osimertinib. This paper also searched the relevant literatures of brain calcifications in databases such as China National Knowledge Infrastructure (CNKI), Wanfang, UpToDate, PubMed, etc., and found that intracerebral calcifications exist in a variety of diseases, including infectious, genetic and neurodegenerative diseases, vascular diseases, metabolic diseases and tumors. However, brain calcification in brain and meningeal metastases are often underestimated, and the consequent risk is misdiagnosis and delayed treatment. Therefore, brain and meningeal metastases manifested as brain calcification should not be ignored in patients with a history of previous tumors.\\u2029.</p>\",\"PeriodicalId\":39317,\"journal\":{\"name\":\"中国肺癌杂志\",\"volume\":\"28 3\",\"pages\":\"237-244\"},\"PeriodicalIF\":0.0000,\"publicationDate\":\"2025-03-20\",\"publicationTypes\":\"Journal Article\",\"fieldsOfStudy\":null,\"isOpenAccess\":false,\"openAccessPdf\":\"https://www.ncbi.nlm.nih.gov/pmc/articles/PMC11986680/pdf/\",\"citationCount\":\"0\",\"resultStr\":null,\"platform\":\"Semanticscholar\",\"paperid\":null,\"PeriodicalName\":\"中国肺癌杂志\",\"FirstCategoryId\":\"3\",\"ListUrlMain\":\"https://doi.org/10.3779/j.issn.1009-3419.2025.106.05\",\"RegionNum\":0,\"RegionCategory\":null,\"ArticlePicture\":[],\"TitleCN\":null,\"AbstractTextCN\":null,\"PMCID\":null,\"EPubDate\":\"\",\"PubModel\":\"\",\"JCR\":\"Q4\",\"JCRName\":\"Medicine\",\"Score\":null,\"Total\":0}","platform":"Semanticscholar","paperid":null,"PeriodicalName":"中国肺癌杂志","FirstCategoryId":"3","ListUrlMain":"https://doi.org/10.3779/j.issn.1009-3419.2025.106.05","RegionNum":0,"RegionCategory":null,"ArticlePicture":[],"TitleCN":null,"AbstractTextCN":null,"PMCID":null,"EPubDate":"","PubModel":"","JCR":"Q4","JCRName":"Medicine","Score":null,"Total":0}
引用次数: 0

摘要

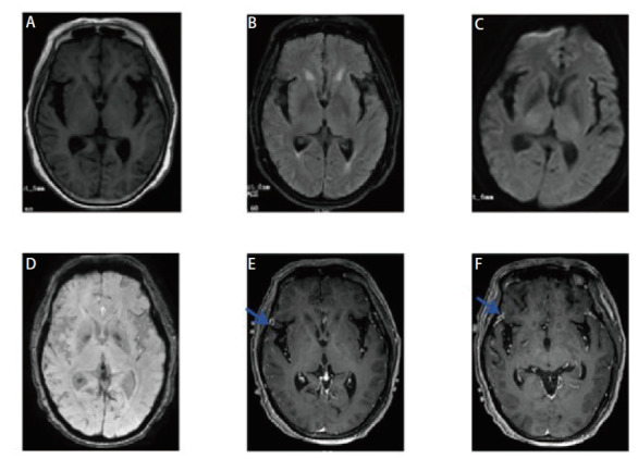
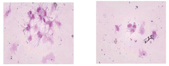
肺癌仍然是世界上最常见的恶性肿瘤之一。随着发病率的增加和医疗技术的发展,肺癌患者的总体生存期较以往有了明显延长。肺癌脑、脑膜转移的发病率也逐年上升,但肺癌脑、脑膜转移患者预后差,死亡率非常高,诊断主要依靠计算机断层扫描(CT)、磁共振成像(MRI)等影像学检查。但其影像学特征多样,特异性低,易误诊漏诊。因此,准确识别脑及脑膜转移灶并及时进行靶向治疗对改善患者预后至关重要。本文分析1例肺癌根治性手术后近7年长期随访无明显复发转移,但近5个月患者行为异常、意识受损、癫痫,头部CT及MRI发现脑内多发点状钙化的诊断与治疗。本文认为患者的精神和行为症状是在排除感染性疾病和自身免疫性脑炎治疗无效后,由肺癌脑、脑膜转移引起的,进一步病理活检和基因检测证实为表皮生长因子受体(EGFR) L858R基因突变的转移性肺腺癌,经奥西替尼靶向治疗后,患者症状得到明显改善。本文还在中国知网、万方、UpToDate、PubMed等数据库中检索了脑钙化的相关文献,发现脑钙化存在于多种疾病中,包括感染性疾病、遗传性和神经退行性疾病、血管疾病、代谢疾病和肿瘤。然而,脑钙化和脑膜转移往往被低估,随之而来的风险是误诊和延误治疗。因此,在既往有肿瘤病史的患者中,表现为脑钙化的脑和脑膜转移不应被忽视。
。
本文章由计算机程序翻译,如有差异,请以英文原文为准。

[Brain and Meningeal Metastases of Lung Cancer Manifested as Brain Calcifications: 
A Case Report and Literature Review].

[Brain and Meningeal Metastases of Lung Cancer Manifested as Brain Calcifications: 
A Case Report and Literature Review].

[Brain and Meningeal Metastases of Lung Cancer Manifested as Brain Calcifications: 
A Case Report and Literature Review].

[Brain and Meningeal Metastases of Lung Cancer Manifested as Brain Calcifications: 
A Case Report and Literature Review].

Lung cancer is still one of the most common malignant tumors in the world. With the increase of its incidence and the development of medical technology, the overall survival of lung cancer patients has significantly extended compared to before. The incidence of brain and meningeal metastases from lung cancer has also been rising year by year, but patients with brain and meningeal metastases from lung cancer have a poor prognosis and a very high mortality rate, and the diagnosis is mainly based on computed tomography (CT), magnetic resonance imaging (MRI) and other imaging examinations. However, the imaging features are diverse and the specificity is low, which makes it easy to be misdiagnosed and missed. Therefore, accurately identifying brain and meningeal metastases and timely targeted treatment is crucial for improving patient prognosis. This paper analyzed the diagnosis and treatment of a case of lung cancer with no obvious recurrence and metastasis in nearly 7-year long-term follow-up after radical lung cancer surgery, but the patient with abnormal behavior, impaired consciousness and epilepsy in the past 5 months, and multiple punctate calcifications in the brain found by head CT and MRI. This paper consider that the patient's mental and behavioral symptoms were caused by brain and meningeal metastasis of lung cancer after excluding infectious disease and ineffective treatment of autoimmune encephalitis, and further pathological biopsy and genetic detection confirmed the diagnosis of metastatic lung adenocarcinoma with epidermal growth factor receptor (EGFR) L858R gene mutation, and the patient's symptoms were significantly improved after targeted therapy by Osimertinib. This paper also searched the relevant literatures of brain calcifications in databases such as China National Knowledge Infrastructure (CNKI), Wanfang, UpToDate, PubMed, etc., and found that intracerebral calcifications exist in a variety of diseases, including infectious, genetic and neurodegenerative diseases, vascular diseases, metabolic diseases and tumors. However, brain calcification in brain and meningeal metastases are often underestimated, and the consequent risk is misdiagnosis and delayed treatment. Therefore, brain and meningeal metastases manifested as brain calcification should not be ignored in patients with a history of previous tumors.
.

求助全文
通过发布文献求助,成功后即可免费获取论文全文。 去求助
来源期刊
中国肺癌杂志
中国肺癌杂志 Medicine-Pulmonary and Respiratory Medicine
CiteScore
1.40
自引率
0.00%
发文量
5131
审稿时长
14 weeks
期刊介绍: Chinese Journal of Lung Cancer(CJLC, pISSN 1009-3419, eISSN 1999-6187), a monthly Open Access journal, is hosted by Chinese Anti-Cancer Association, Chinese Antituberculosis Association, Tianjin Medical University General Hospital. CJLC was indexed in DOAJ, EMBASE/SCOPUS, Chemical Abstract(CA), CSA-Biological Science, HINARI, EBSCO-CINAHL,CABI Abstract, Global Health, CNKI, etc. Editor-in-Chief: Professor Qinghua ZHOU.
×
引用
GB/T 7714-2015
复制
MLA
复制
APA
复制
导出至
BibTeX EndNote RefMan NoteFirst NoteExpress
×
提示
您的信息不完整,为了账户安全,请先补充。
现在去补充
×
提示
您因"违规操作"
具体请查看互助需知
我知道了
×
提示
确定
请完成安全验证×
copy
已复制链接
快去分享给好友吧!
我知道了
右上角分享
点击右上角分享
0
联系我们:info@booksci.cn Book学术提供免费学术资源搜索服务,方便国内外学者检索中英文文献。致力于提供最便捷和优质的服务体验。 Copyright © 2023 布克学术 All rights reserved.
京ICP备2023020795号-1
ghs 京公网安备 11010802042870号
Book学术文献互助
Book学术文献互助群
群 号:604180095
Book学术官方微信