改良阿特金斯饮食对法洛四联症心内直视手术患者NLRP3、caspase-1、IL-ιβ和IL-10的影响:一项随机对照试验

Narra J Pub Date : 2025-04-01 Epub Date: 2025-03-24 DOI:10.52225/narra.v5i1.2138
Piprim B Yanuarso, Mulyadi M Djer, Aryono Hendarto, Antonius H Pudjiadi, Lisnawati Rachmadi, Heri Wibowo, Najib Advani, Indah K Murni, Aria Kekalih, Rubiana Sukardi, Ismail Dilawar, Dhama S Susanti, Novianti Supriatna
{"title":"改良阿特金斯饮食对法洛四联症心内直视手术患者NLRP3、caspase-1、IL-ιβ和IL-10的影响:一项随机对照试验","authors":"Piprim B Yanuarso, Mulyadi M Djer, Aryono Hendarto, Antonius H Pudjiadi, Lisnawati Rachmadi, Heri Wibowo, Najib Advani, Indah K Murni, Aria Kekalih, Rubiana Sukardi, Ismail Dilawar, Dhama S Susanti, Novianti Supriatna","doi":"10.52225/narra.v5i1.2138","DOIUrl":null,"url":null,"abstract":"<p><p>Cardiopulmonary bypass in tetralogy of Fallot (TOF) corrective surgery induces hyperinflammation by activating NLRP3, caspase-1, and interleukin-ιβ (IL-ιβ), subsequently triggering an interleukin-10 (IL-10) response. Despite its known metabolic and anti-inflammatory effects, the impact of the modified Atkins diet (MAD) in pediatric cardiac surgery remains unexplored, with no studies on its use in TOF patients undergoing open-heart surgery. The aim of this study was to assess the effect of MAD on the expression of NLRP3, caspase-1, IL-ιβ, and IL-10, in TOF patients undergoing open-heart surgery. A double-arm, randomized-controlled trial was conducted with 44 TOF patients. The treatment group (n = 22) received the MAD, a low-carbohydrate, high-fat regimen with unrestricted fat and protein intake for at least 14 days preoperatively, while the control group (n = 22) followed a standard diet without carbohydrate restriction. Blood plasma and infundibulum heart tissues were collected for analysis. Whole blood samples were collected using a winged infusion needle before the intervention, an Abbocath infusion needle after 14 days of intervention, and a syringe without a needle connected to an arterial line in patients undergoing open-heart surgery at 6, 24, and 48  hours post-surgical correction. Infundibulum heart tissues were collected during the open-heart surgery. This study demonstrated significant differences in NLRP3 protein expression (p = 0.015), caspase-1 protein expression (p = 0.001), and IL-10 levels between after intervention and 6-, 24-, and 48-hours post-surgery in the MAD group compared to the control group. In contrast, no significant differences in IL-10 levels were observed in the control group between after intervention and 48  hours post-surgery (p = 0.654). In conclusion, MAD may modulate perioperative inflammation in TOF patients undergoing open-heart surgery by downregulating NLRP3 and caspase-1 expression while sustaining IL-10 levels. Despite reduced NLRP3 and caspase-1 expression, unchanged IL-ιβ levels indicate alternative regulatory mechanisms.</p>","PeriodicalId":517416,"journal":{"name":"Narra J","volume":"5 1","pages":"e2138"},"PeriodicalIF":0.0000,"publicationDate":"2025-04-01","publicationTypes":"Journal Article","fieldsOfStudy":null,"isOpenAccess":false,"openAccessPdf":"https://www.ncbi.nlm.nih.gov/pmc/articles/PMC12059825/pdf/","citationCount":"0","resultStr":"{\"title\":\"Effect of the modified Atkins diet on NLRP3, caspase-1, IL-ιβ, and IL-10 in patients with tetralogy of Fallot undergoing open-heart surgery: A randomized controlled trial.\",\"authors\":\"Piprim B Yanuarso, Mulyadi M Djer, Aryono Hendarto, Antonius H Pudjiadi, Lisnawati Rachmadi, Heri Wibowo, Najib Advani, Indah K Murni, Aria Kekalih, Rubiana Sukardi, Ismail Dilawar, Dhama S Susanti, Novianti Supriatna\",\"doi\":\"10.52225/narra.v5i1.2138\",\"DOIUrl\":null,\"url\":null,\"abstract\":\"<p><p>Cardiopulmonary bypass in tetralogy of Fallot (TOF) corrective surgery induces hyperinflammation by activating NLRP3, caspase-1, and interleukin-ιβ (IL-ιβ), subsequently triggering an interleukin-10 (IL-10) response. Despite its known metabolic and anti-inflammatory effects, the impact of the modified Atkins diet (MAD) in pediatric cardiac surgery remains unexplored, with no studies on its use in TOF patients undergoing open-heart surgery. The aim of this study was to assess the effect of MAD on the expression of NLRP3, caspase-1, IL-ιβ, and IL-10, in TOF patients undergoing open-heart surgery. A double-arm, randomized-controlled trial was conducted with 44 TOF patients. The treatment group (n = 22) received the MAD, a low-carbohydrate, high-fat regimen with unrestricted fat and protein intake for at least 14 days preoperatively, while the control group (n = 22) followed a standard diet without carbohydrate restriction. Blood plasma and infundibulum heart tissues were collected for analysis. Whole blood samples were collected using a winged infusion needle before the intervention, an Abbocath infusion needle after 14 days of intervention, and a syringe without a needle connected to an arterial line in patients undergoing open-heart surgery at 6, 24, and 48  hours post-surgical correction. Infundibulum heart tissues were collected during the open-heart surgery. This study demonstrated significant differences in NLRP3 protein expression (p = 0.015), caspase-1 protein expression (p = 0.001), and IL-10 levels between after intervention and 6-, 24-, and 48-hours post-surgery in the MAD group compared to the control group. In contrast, no significant differences in IL-10 levels were observed in the control group between after intervention and 48  hours post-surgery (p = 0.654). In conclusion, MAD may modulate perioperative inflammation in TOF patients undergoing open-heart surgery by downregulating NLRP3 and caspase-1 expression while sustaining IL-10 levels. Despite reduced NLRP3 and caspase-1 expression, unchanged IL-ιβ levels indicate alternative regulatory mechanisms.</p>\",\"PeriodicalId\":517416,\"journal\":{\"name\":\"Narra J\",\"volume\":\"5 1\",\"pages\":\"e2138\"},\"PeriodicalIF\":0.0000,\"publicationDate\":\"2025-04-01\",\"publicationTypes\":\"Journal Article\",\"fieldsOfStudy\":null,\"isOpenAccess\":false,\"openAccessPdf\":\"https://www.ncbi.nlm.nih.gov/pmc/articles/PMC12059825/pdf/\",\"citationCount\":\"0\",\"resultStr\":null,\"platform\":\"Semanticscholar\",\"paperid\":null,\"PeriodicalName\":\"Narra J\",\"FirstCategoryId\":\"1085\",\"ListUrlMain\":\"https://doi.org/10.52225/narra.v5i1.2138\",\"RegionNum\":0,\"RegionCategory\":null,\"ArticlePicture\":[],\"TitleCN\":null,\"AbstractTextCN\":null,\"PMCID\":null,\"EPubDate\":\"2025/3/24 0:00:00\",\"PubModel\":\"Epub\",\"JCR\":\"\",\"JCRName\":\"\",\"Score\":null,\"Total\":0}","platform":"Semanticscholar","paperid":null,"PeriodicalName":"Narra J","FirstCategoryId":"1085","ListUrlMain":"https://doi.org/10.52225/narra.v5i1.2138","RegionNum":0,"RegionCategory":null,"ArticlePicture":[],"TitleCN":null,"AbstractTextCN":null,"PMCID":null,"EPubDate":"2025/3/24 0:00:00","PubModel":"Epub","JCR":"","JCRName":"","Score":null,"Total":0}
引用次数: 0

摘要

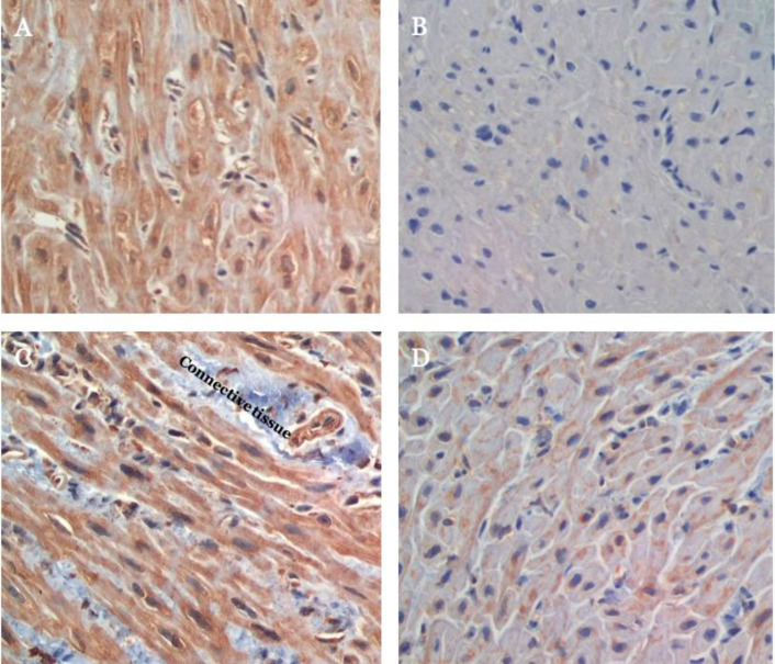
法洛四联症(TOF)矫正手术的体外循环通过激活NLRP3、caspase-1和白细胞介素-ιβ (IL-ιβ)诱导高炎症,随后触发白细胞介素-10 (IL-10)反应。尽管有已知的代谢和抗炎作用,改良阿特金斯饮食(MAD)在小儿心脏手术中的影响仍未被探索,没有关于其在接受心脏直视手术的TOF患者中的应用的研究。本研究的目的是评估MAD对心内直视手术TOF患者NLRP3、caspase-1、IL-ιβ和IL-10表达的影响。对44例TOF患者进行了一项双臂随机对照试验。治疗组(n = 22)接受MAD,即术前至少14天不限制脂肪和蛋白质摄入的低碳水化合物,高脂肪方案,而对照组(n = 22)遵循不限制碳水化合物的标准饮食。采集血浆和大鼠心脏组织进行分析。在干预前使用带翼输注针,干预14天后使用Abbocath输注针,以及在手术矫正后6、24和48小时使用无针连接动脉线的注射器采集全血样本。在心内直视手术中收集十二指肠心脏组织。本研究显示,干预后与术后6、24、48小时相比,MAD组NLRP3蛋白表达(p = 0.015)、caspase-1蛋白表达(p = 0.001)、IL-10水平均有显著差异。对照组干预后与术后48 h IL-10水平差异无统计学意义(p = 0.654)。综上所述,MAD可能通过下调NLRP3和caspase-1的表达,同时维持IL-10水平,从而调节心内直视手术TOF患者的围手术期炎症。尽管NLRP3和caspase-1表达降低,但IL-ιβ水平不变表明有其他调节机制。
本文章由计算机程序翻译,如有差异,请以英文原文为准。

Effect of the modified Atkins diet on NLRP3, caspase-1, IL-ιβ, and IL-10 in patients with tetralogy of Fallot undergoing open-heart surgery: A randomized controlled trial.

Effect of the modified Atkins diet on NLRP3, caspase-1, IL-ιβ, and IL-10 in patients with tetralogy of Fallot undergoing open-heart surgery: A randomized controlled trial.

Effect of the modified Atkins diet on NLRP3, caspase-1, IL-ιβ, and IL-10 in patients with tetralogy of Fallot undergoing open-heart surgery: A randomized controlled trial.

Effect of the modified Atkins diet on NLRP3, caspase-1, IL-ιβ, and IL-10 in patients with tetralogy of Fallot undergoing open-heart surgery: A randomized controlled trial.

Cardiopulmonary bypass in tetralogy of Fallot (TOF) corrective surgery induces hyperinflammation by activating NLRP3, caspase-1, and interleukin-ιβ (IL-ιβ), subsequently triggering an interleukin-10 (IL-10) response. Despite its known metabolic and anti-inflammatory effects, the impact of the modified Atkins diet (MAD) in pediatric cardiac surgery remains unexplored, with no studies on its use in TOF patients undergoing open-heart surgery. The aim of this study was to assess the effect of MAD on the expression of NLRP3, caspase-1, IL-ιβ, and IL-10, in TOF patients undergoing open-heart surgery. A double-arm, randomized-controlled trial was conducted with 44 TOF patients. The treatment group (n = 22) received the MAD, a low-carbohydrate, high-fat regimen with unrestricted fat and protein intake for at least 14 days preoperatively, while the control group (n = 22) followed a standard diet without carbohydrate restriction. Blood plasma and infundibulum heart tissues were collected for analysis. Whole blood samples were collected using a winged infusion needle before the intervention, an Abbocath infusion needle after 14 days of intervention, and a syringe without a needle connected to an arterial line in patients undergoing open-heart surgery at 6, 24, and 48  hours post-surgical correction. Infundibulum heart tissues were collected during the open-heart surgery. This study demonstrated significant differences in NLRP3 protein expression (p = 0.015), caspase-1 protein expression (p = 0.001), and IL-10 levels between after intervention and 6-, 24-, and 48-hours post-surgery in the MAD group compared to the control group. In contrast, no significant differences in IL-10 levels were observed in the control group between after intervention and 48  hours post-surgery (p = 0.654). In conclusion, MAD may modulate perioperative inflammation in TOF patients undergoing open-heart surgery by downregulating NLRP3 and caspase-1 expression while sustaining IL-10 levels. Despite reduced NLRP3 and caspase-1 expression, unchanged IL-ιβ levels indicate alternative regulatory mechanisms.

求助全文
通过发布文献求助,成功后即可免费获取论文全文。 去求助
来源期刊
CiteScore
3.90
自引率
0.00%
发文量
0
×
引用
GB/T 7714-2015
复制
MLA
复制
APA
复制
导出至
BibTeX EndNote RefMan NoteFirst NoteExpress
×
提示
您的信息不完整,为了账户安全,请先补充。
现在去补充
×
提示
您因"违规操作"
具体请查看互助需知
我知道了
×
提示
确定
请完成安全验证×
copy
已复制链接
快去分享给好友吧!
我知道了
右上角分享
点击右上角分享
0
联系我们:info@booksci.cn Book学术提供免费学术资源搜索服务,方便国内外学者检索中英文文献。致力于提供最便捷和优质的服务体验。 Copyright © 2023 布克学术 All rights reserved.
京ICP备2023020795号-1
ghs 京公网安备 11010802042870号
Book学术文献互助
Book学术文献互助群
群 号:604180095
Book学术官方微信