丁香提取物(Syzygium aromaticum)给药时间对偏心运动所致骨骼肌损伤的体内研究。

Narra J Pub Date : 2025-04-01 Epub Date: 2025-02-17 DOI:10.52225/narra.v5i1.1680
Tyas Sr Ningrum, Muchsin Doewes, Dono Indarto, Risya Cilmiaty, Agus Kristiyanto, Vitri Widyaningsih
{"title":"丁香提取物(Syzygium aromaticum)给药时间对偏心运动所致骨骼肌损伤的体内研究。","authors":"Tyas Sr Ningrum, Muchsin Doewes, Dono Indarto, Risya Cilmiaty, Agus Kristiyanto, Vitri Widyaningsih","doi":"10.52225/narra.v5i1.1680","DOIUrl":null,"url":null,"abstract":"<p><p>Eccentric exercise often leads to oxidative stress, inflammation, and muscle damage that impair athletic performance. To counter these adverse effects, clove flower extract (<i>Syzygium aromaticum</i>) offers promising potential as a natural remedy to promote muscle repair with its potent antioxidant and anti-inflammatory properties. The aim of this study was to assess the effects of clove flower extract administration timing on oxidative stress and inflammatory responses in skeletal muscle damage induced by acute eccentric exercise in mice. This study used a post-test-only control group design, involving 35 male mice (<i>Mus musculus</i>, Balb/c) randomly divided into five groups: a healthy control group (HG) with no exercise and no treatment, a negative control group (NG) with exercise but no treatment, T1 group (receiving clove flower extract 24 hours before exercise), T2 group (receiving clove flower extract immediately after exercise), and T3 group (receiving clove flower extract 24 hours after exercise). The treatment groups received a single dose of clove flower extract (500 mg/kg body weight (BW)). The skeletal muscle damage in mice was collected by measuring NADPH oxidase (NOX) and superoxide dismutase (SOD) activities using spectrophotometry, as well as toll-like receptor 4 (TLR4) and interleukin-8 (IL-8) levels using an enzyme-linked immunosorbent assay (ELISA). Moreover, the skeletal muscle damage was analyzed through the histopathological method. Data were analyzed using one-way analysis of variance (ANOVA) followed by Fisher's least significant difference (LSD) tests as a post hoc test. The result showed that clove flower extract significantly reduced NOX (<i>p</i>=0.049) and IL-8 (<i>p</i>=0.032) levels, increased SOD activity (<i>p</i>=0.001), and did not significantly affect TLR4 levels (<i>p</i>=0.532). Moreover, the results showed a significant reduction in muscle damage (<i>p</i>=0.001). The study highlights that the administration of clove flower extract (500 mg/kg BW) 24 hours before exercise, immediately after exercise, or 24 hours after exercise can help prevent muscle damage.</p>","PeriodicalId":517416,"journal":{"name":"Narra J","volume":"5 1","pages":"e1680"},"PeriodicalIF":0.0000,"publicationDate":"2025-04-01","publicationTypes":"Journal Article","fieldsOfStudy":null,"isOpenAccess":false,"openAccessPdf":"https://www.ncbi.nlm.nih.gov/pmc/articles/PMC12059843/pdf/","citationCount":"0","resultStr":"{\"title\":\"Effect of clove flower extract ( <b><i>Syzygium aromaticum</i></b> ) administration timing on skeletal muscle damage induced by eccentric exercise: An in vivo study.\",\"authors\":\"Tyas Sr Ningrum, Muchsin Doewes, Dono Indarto, Risya Cilmiaty, Agus Kristiyanto, Vitri Widyaningsih\",\"doi\":\"10.52225/narra.v5i1.1680\",\"DOIUrl\":null,\"url\":null,\"abstract\":\"<p><p>Eccentric exercise often leads to oxidative stress, inflammation, and muscle damage that impair athletic performance. To counter these adverse effects, clove flower extract (<i>Syzygium aromaticum</i>) offers promising potential as a natural remedy to promote muscle repair with its potent antioxidant and anti-inflammatory properties. The aim of this study was to assess the effects of clove flower extract administration timing on oxidative stress and inflammatory responses in skeletal muscle damage induced by acute eccentric exercise in mice. This study used a post-test-only control group design, involving 35 male mice (<i>Mus musculus</i>, Balb/c) randomly divided into five groups: a healthy control group (HG) with no exercise and no treatment, a negative control group (NG) with exercise but no treatment, T1 group (receiving clove flower extract 24 hours before exercise), T2 group (receiving clove flower extract immediately after exercise), and T3 group (receiving clove flower extract 24 hours after exercise). The treatment groups received a single dose of clove flower extract (500 mg/kg body weight (BW)). The skeletal muscle damage in mice was collected by measuring NADPH oxidase (NOX) and superoxide dismutase (SOD) activities using spectrophotometry, as well as toll-like receptor 4 (TLR4) and interleukin-8 (IL-8) levels using an enzyme-linked immunosorbent assay (ELISA). Moreover, the skeletal muscle damage was analyzed through the histopathological method. Data were analyzed using one-way analysis of variance (ANOVA) followed by Fisher's least significant difference (LSD) tests as a post hoc test. The result showed that clove flower extract significantly reduced NOX (<i>p</i>=0.049) and IL-8 (<i>p</i>=0.032) levels, increased SOD activity (<i>p</i>=0.001), and did not significantly affect TLR4 levels (<i>p</i>=0.532). Moreover, the results showed a significant reduction in muscle damage (<i>p</i>=0.001). The study highlights that the administration of clove flower extract (500 mg/kg BW) 24 hours before exercise, immediately after exercise, or 24 hours after exercise can help prevent muscle damage.</p>\",\"PeriodicalId\":517416,\"journal\":{\"name\":\"Narra J\",\"volume\":\"5 1\",\"pages\":\"e1680\"},\"PeriodicalIF\":0.0000,\"publicationDate\":\"2025-04-01\",\"publicationTypes\":\"Journal Article\",\"fieldsOfStudy\":null,\"isOpenAccess\":false,\"openAccessPdf\":\"https://www.ncbi.nlm.nih.gov/pmc/articles/PMC12059843/pdf/\",\"citationCount\":\"0\",\"resultStr\":null,\"platform\":\"Semanticscholar\",\"paperid\":null,\"PeriodicalName\":\"Narra J\",\"FirstCategoryId\":\"1085\",\"ListUrlMain\":\"https://doi.org/10.52225/narra.v5i1.1680\",\"RegionNum\":0,\"RegionCategory\":null,\"ArticlePicture\":[],\"TitleCN\":null,\"AbstractTextCN\":null,\"PMCID\":null,\"EPubDate\":\"2025/2/17 0:00:00\",\"PubModel\":\"Epub\",\"JCR\":\"\",\"JCRName\":\"\",\"Score\":null,\"Total\":0}","platform":"Semanticscholar","paperid":null,"PeriodicalName":"Narra J","FirstCategoryId":"1085","ListUrlMain":"https://doi.org/10.52225/narra.v5i1.1680","RegionNum":0,"RegionCategory":null,"ArticlePicture":[],"TitleCN":null,"AbstractTextCN":null,"PMCID":null,"EPubDate":"2025/2/17 0:00:00","PubModel":"Epub","JCR":"","JCRName":"","Score":null,"Total":0}
引用次数: 0

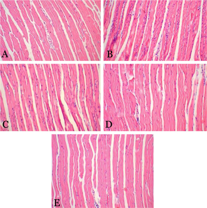
摘要

偏心运动通常会导致氧化应激、炎症和肌肉损伤,从而影响运动表现。为了对抗这些不利影响,丁香花提取物(Syzygium aromaticum)提供了有希望的潜力,作为促进肌肉修复的天然药物,其有效的抗氧化和抗炎特性。本研究旨在评估丁香提取物给药时间对小鼠急性偏心运动引起的骨骼肌损伤氧化应激和炎症反应的影响。本研究采用只测试后的对照组设计,将35只雄性小鼠(小家鼠,Balb/c)随机分为5组:健康对照组(HG)不运动不治疗,阴性对照组(NG)运动不治疗,T1组(运动前24小时服用丁香花提取物),T2组(运动后立即服用丁香花提取物),T3组(运动后24小时服用丁香花提取物)。实验组给予单剂量丁香提取物(500 mg/kg体重)。采用分光光度法测定NADPH氧化酶(NOX)和超氧化物歧化酶(SOD)活性,酶联免疫吸附法测定toll样受体4 (TLR4)和白细胞介素8 (IL-8)水平,收集小鼠骨骼肌损伤情况。通过组织病理学方法分析骨骼肌损伤情况。数据分析采用单因素方差分析(ANOVA),随后采用Fisher最小显著性差异(LSD)检验作为事后检验。结果表明,丁香提取物显著降低了NOX (p=0.049)和IL-8 (p=0.032)水平,提高了SOD活性(p=0.001),对TLR4水平无显著影响(p=0.532)。此外,结果显示肌肉损伤显著减少(p=0.001)。该研究强调,运动前24小时、运动后立即或运动后24小时服用丁香提取物(500毫克/公斤体重)有助于防止肌肉损伤。
本文章由计算机程序翻译,如有差异,请以英文原文为准。

Effect of clove flower extract ( <b><i>Syzygium aromaticum</i></b> ) administration timing on skeletal muscle damage induced by eccentric exercise: An in vivo study.

Effect of clove flower extract ( <b><i>Syzygium aromaticum</i></b> ) administration timing on skeletal muscle damage induced by eccentric exercise: An in vivo study.

Effect of clove flower extract ( <b><i>Syzygium aromaticum</i></b> ) administration timing on skeletal muscle damage induced by eccentric exercise: An in vivo study.

Effect of clove flower extract ( Syzygium aromaticum ) administration timing on skeletal muscle damage induced by eccentric exercise: An in vivo study.

Eccentric exercise often leads to oxidative stress, inflammation, and muscle damage that impair athletic performance. To counter these adverse effects, clove flower extract (Syzygium aromaticum) offers promising potential as a natural remedy to promote muscle repair with its potent antioxidant and anti-inflammatory properties. The aim of this study was to assess the effects of clove flower extract administration timing on oxidative stress and inflammatory responses in skeletal muscle damage induced by acute eccentric exercise in mice. This study used a post-test-only control group design, involving 35 male mice (Mus musculus, Balb/c) randomly divided into five groups: a healthy control group (HG) with no exercise and no treatment, a negative control group (NG) with exercise but no treatment, T1 group (receiving clove flower extract 24 hours before exercise), T2 group (receiving clove flower extract immediately after exercise), and T3 group (receiving clove flower extract 24 hours after exercise). The treatment groups received a single dose of clove flower extract (500 mg/kg body weight (BW)). The skeletal muscle damage in mice was collected by measuring NADPH oxidase (NOX) and superoxide dismutase (SOD) activities using spectrophotometry, as well as toll-like receptor 4 (TLR4) and interleukin-8 (IL-8) levels using an enzyme-linked immunosorbent assay (ELISA). Moreover, the skeletal muscle damage was analyzed through the histopathological method. Data were analyzed using one-way analysis of variance (ANOVA) followed by Fisher's least significant difference (LSD) tests as a post hoc test. The result showed that clove flower extract significantly reduced NOX (p=0.049) and IL-8 (p=0.032) levels, increased SOD activity (p=0.001), and did not significantly affect TLR4 levels (p=0.532). Moreover, the results showed a significant reduction in muscle damage (p=0.001). The study highlights that the administration of clove flower extract (500 mg/kg BW) 24 hours before exercise, immediately after exercise, or 24 hours after exercise can help prevent muscle damage.

求助全文
通过发布文献求助,成功后即可免费获取论文全文。 去求助
来源期刊
CiteScore
3.90
自引率
0.00%
发文量
0
×
引用
GB/T 7714-2015
复制
MLA
复制
APA
复制
导出至
BibTeX EndNote RefMan NoteFirst NoteExpress
×
提示
您的信息不完整,为了账户安全,请先补充。
现在去补充
×
提示
您因"违规操作"
具体请查看互助需知
我知道了
×
提示
确定
请完成安全验证×
copy
已复制链接
快去分享给好友吧!
我知道了
右上角分享
点击右上角分享
0
联系我们:info@booksci.cn Book学术提供免费学术资源搜索服务,方便国内外学者检索中英文文献。致力于提供最便捷和优质的服务体验。 Copyright © 2023 布克学术 All rights reserved.
京ICP备2023020795号-1
ghs 京公网安备 11010802042870号
Book学术文献互助
Book学术文献互助群
群 号:604180095
Book学术官方微信