自发性子宫动脉破裂的非怀孕妇女与子宫腺肌症:1例报告和当前文献复习。

The Ulster medical journal Pub Date : 2025-04-01 Epub Date: 2025-04-30
Nick Lung, Gillian McKeown
{"title":"自发性子宫动脉破裂的非怀孕妇女与子宫腺肌症:1例报告和当前文献复习。","authors":"Nick Lung, Gillian McKeown","doi":"","DOIUrl":null,"url":null,"abstract":"<p><p>Spontaneous rupture of a uterine artery is a rare occurrence and more often associated with postpartum haemorrhage. It is even more unusual outside pregnancy. In this report, we will describe a case of spontaneous uterine artery rupture in a 40-year-old non-pregnant female with adenomyosis who presented with severe vaginal bleeding. We will also review the aetiology of rupture of uterine artery based on the current literature.</p>","PeriodicalId":94250,"journal":{"name":"The Ulster medical journal","volume":"94 1","pages":"13-15"},"PeriodicalIF":0.0000,"publicationDate":"2025-04-01","publicationTypes":"Journal Article","fieldsOfStudy":null,"isOpenAccess":false,"openAccessPdf":"https://www.ncbi.nlm.nih.gov/pmc/articles/PMC12042855/pdf/","citationCount":"0","resultStr":"{\"title\":\"Spontaneous rupture of uterine artery in a non-pregnant woman with adenomyosis: a case report and review of current literature.\",\"authors\":\"Nick Lung, Gillian McKeown\",\"doi\":\"\",\"DOIUrl\":null,\"url\":null,\"abstract\":\"<p><p>Spontaneous rupture of a uterine artery is a rare occurrence and more often associated with postpartum haemorrhage. It is even more unusual outside pregnancy. In this report, we will describe a case of spontaneous uterine artery rupture in a 40-year-old non-pregnant female with adenomyosis who presented with severe vaginal bleeding. We will also review the aetiology of rupture of uterine artery based on the current literature.</p>\",\"PeriodicalId\":94250,\"journal\":{\"name\":\"The Ulster medical journal\",\"volume\":\"94 1\",\"pages\":\"13-15\"},\"PeriodicalIF\":0.0000,\"publicationDate\":\"2025-04-01\",\"publicationTypes\":\"Journal Article\",\"fieldsOfStudy\":null,\"isOpenAccess\":false,\"openAccessPdf\":\"https://www.ncbi.nlm.nih.gov/pmc/articles/PMC12042855/pdf/\",\"citationCount\":\"0\",\"resultStr\":null,\"platform\":\"Semanticscholar\",\"paperid\":null,\"PeriodicalName\":\"The Ulster medical journal\",\"FirstCategoryId\":\"1085\",\"ListUrlMain\":\"\",\"RegionNum\":0,\"RegionCategory\":null,\"ArticlePicture\":[],\"TitleCN\":null,\"AbstractTextCN\":null,\"PMCID\":null,\"EPubDate\":\"2025/4/30 0:00:00\",\"PubModel\":\"Epub\",\"JCR\":\"\",\"JCRName\":\"\",\"Score\":null,\"Total\":0}","platform":"Semanticscholar","paperid":null,"PeriodicalName":"The Ulster medical journal","FirstCategoryId":"1085","ListUrlMain":"","RegionNum":0,"RegionCategory":null,"ArticlePicture":[],"TitleCN":null,"AbstractTextCN":null,"PMCID":null,"EPubDate":"2025/4/30 0:00:00","PubModel":"Epub","JCR":"","JCRName":"","Score":null,"Total":0}
引用次数: 0

摘要

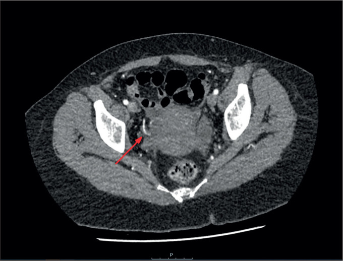
自发性子宫动脉破裂是一种罕见的发生,更经常与产后出血。这在怀孕之外就更不寻常了。在此报告中,我们将描述一例自发性子宫动脉破裂在一个40岁的未怀孕女性子宫腺肌症谁提出了严重的阴道出血。我们也将根据目前的文献回顾子宫动脉破裂的病因。
本文章由计算机程序翻译,如有差异,请以英文原文为准。

Spontaneous rupture of uterine artery in a non-pregnant woman with adenomyosis: a case report and review of current literature.

Spontaneous rupture of uterine artery in a non-pregnant woman with adenomyosis: a case report and review of current literature.

Spontaneous rupture of uterine artery in a non-pregnant woman with adenomyosis: a case report and review of current literature.

Spontaneous rupture of a uterine artery is a rare occurrence and more often associated with postpartum haemorrhage. It is even more unusual outside pregnancy. In this report, we will describe a case of spontaneous uterine artery rupture in a 40-year-old non-pregnant female with adenomyosis who presented with severe vaginal bleeding. We will also review the aetiology of rupture of uterine artery based on the current literature.

求助全文
通过发布文献求助,成功后即可免费获取论文全文。 去求助
来源期刊
自引率
0.00%
发文量
0
×
引用
GB/T 7714-2015
复制
MLA
复制
APA
复制
导出至
BibTeX EndNote RefMan NoteFirst NoteExpress
×
提示
您的信息不完整,为了账户安全,请先补充。
现在去补充
×
提示
您因"违规操作"
具体请查看互助需知
我知道了
×
提示
确定
请完成安全验证×
copy
已复制链接
快去分享给好友吧!
我知道了
右上角分享
点击右上角分享
0
联系我们:info@booksci.cn Book学术提供免费学术资源搜索服务,方便国内外学者检索中英文文献。致力于提供最便捷和优质的服务体验。 Copyright © 2023 布克学术 All rights reserved.
京ICP备2023020795号-1
ghs 京公网安备 11010802042870号
Book学术文献互助
Book学术文献互助群
群 号:604180095
Book学术官方微信