基于肠道微生物群的免疫治疗:工程大肠杆菌鼻喷剂1917用于胰腺癌口服递送Glypican-1。

IF 2.4 4区 医学 Q1 MEDICINE, GENERAL & INTERNAL
Idris Vruzhaj, Marta Gambirasi, Davide Busato, Aurora Giacomin, Giuseppe Toffoli, Amin Safa
{"title":"基于肠道微生物群的免疫治疗:工程大肠杆菌鼻喷剂1917用于胰腺癌口服递送Glypican-1。","authors":"Idris Vruzhaj, Marta Gambirasi, Davide Busato, Aurora Giacomin, Giuseppe Toffoli, Amin Safa","doi":"10.3390/medicina61040633","DOIUrl":null,"url":null,"abstract":"<p><p><i>Background and Objectives</i>: The administration of oral vaccines offers a potential strategy for cancer immunotherapy; yet, the development of effective platforms continues to pose a difficulty. This study examines <i>Escherichia coli</i> Nissle 1917 (EcN) as a microbial vector for the precise delivery of Glypican-1 (GPC1), a tumor-associated antigen significantly overexpressed in pancreatic ductal adenocarcinoma (PDAC).To evaluate the effectiveness of EcN as a vector for the delivery of GPC1 and assess its potential as an oral vaccination platform for cancer immunotherapy. <i>Materials and Methods</i>: EcN was genetically modified to produce a GPC1-flagellin fusion protein (GPC1-FL) to augment antigen immunogenicity. The expression and stability of GPC1 were confirmed in modified PANC02 cells using Western blot and flow cytometry, indicating that GPC1 expression did not influence tumor cell growth. A mouse model was employed to test immunogenicity post-oral delivery, measuring systemic IgG, IL-10, IL-2, and IFN-γ levels to indicate immune activation. <i>Results</i>: Oral immunization with EcN GPC1-FL elicited a robust systemic immune response, demonstrated by markedly increased levels of IgG and IL-10. IL-2 and IFN-γ concentrations were elevated in vaccinated mice relative to controls; however, the differences lacked statistical significance. Western blot examination of fecal samples verified consistent antigen expression in the gastrointestinal tract, indicating effective bacterial colonization and antigen retention. No detrimental impacts were noted, hence substantiating the safety of this methodology. <i>Conclusions</i>: These findings confirm EcN as a feasible and patient-friendly oral vaccination platform for cancer immunotherapy. The effective production of GPC1 in tumor cells, along with continuous antigen delivery and immune activation, underscores the promise of this approach for PDAC and other cancers. This study promotes microbial-based antigen delivery as a scalable, non-invasive substitute for traditional vaccine platforms.</p>","PeriodicalId":49830,"journal":{"name":"Medicina-Lithuania","volume":"61 4","pages":""},"PeriodicalIF":2.4000,"publicationDate":"2025-03-30","publicationTypes":"Journal Article","fieldsOfStudy":null,"isOpenAccess":false,"openAccessPdf":"https://www.ncbi.nlm.nih.gov/pmc/articles/PMC12028767/pdf/","citationCount":"0","resultStr":"{\"title\":\"Gut Microbiota-Based Immunotherapy: Engineered <i>Escherichia coli</i> Nissle 1917 for Oral Delivery of Glypican-1 in Pancreatic Cancer.\",\"authors\":\"Idris Vruzhaj, Marta Gambirasi, Davide Busato, Aurora Giacomin, Giuseppe Toffoli, Amin Safa\",\"doi\":\"10.3390/medicina61040633\",\"DOIUrl\":null,\"url\":null,\"abstract\":\"<p><p><i>Background and Objectives</i>: The administration of oral vaccines offers a potential strategy for cancer immunotherapy; yet, the development of effective platforms continues to pose a difficulty. This study examines <i>Escherichia coli</i> Nissle 1917 (EcN) as a microbial vector for the precise delivery of Glypican-1 (GPC1), a tumor-associated antigen significantly overexpressed in pancreatic ductal adenocarcinoma (PDAC).To evaluate the effectiveness of EcN as a vector for the delivery of GPC1 and assess its potential as an oral vaccination platform for cancer immunotherapy. <i>Materials and Methods</i>: EcN was genetically modified to produce a GPC1-flagellin fusion protein (GPC1-FL) to augment antigen immunogenicity. The expression and stability of GPC1 were confirmed in modified PANC02 cells using Western blot and flow cytometry, indicating that GPC1 expression did not influence tumor cell growth. A mouse model was employed to test immunogenicity post-oral delivery, measuring systemic IgG, IL-10, IL-2, and IFN-γ levels to indicate immune activation. <i>Results</i>: Oral immunization with EcN GPC1-FL elicited a robust systemic immune response, demonstrated by markedly increased levels of IgG and IL-10. IL-2 and IFN-γ concentrations were elevated in vaccinated mice relative to controls; however, the differences lacked statistical significance. Western blot examination of fecal samples verified consistent antigen expression in the gastrointestinal tract, indicating effective bacterial colonization and antigen retention. No detrimental impacts were noted, hence substantiating the safety of this methodology. <i>Conclusions</i>: These findings confirm EcN as a feasible and patient-friendly oral vaccination platform for cancer immunotherapy. The effective production of GPC1 in tumor cells, along with continuous antigen delivery and immune activation, underscores the promise of this approach for PDAC and other cancers. This study promotes microbial-based antigen delivery as a scalable, non-invasive substitute for traditional vaccine platforms.</p>\",\"PeriodicalId\":49830,\"journal\":{\"name\":\"Medicina-Lithuania\",\"volume\":\"61 4\",\"pages\":\"\"},\"PeriodicalIF\":2.4000,\"publicationDate\":\"2025-03-30\",\"publicationTypes\":\"Journal Article\",\"fieldsOfStudy\":null,\"isOpenAccess\":false,\"openAccessPdf\":\"https://www.ncbi.nlm.nih.gov/pmc/articles/PMC12028767/pdf/\",\"citationCount\":\"0\",\"resultStr\":null,\"platform\":\"Semanticscholar\",\"paperid\":null,\"PeriodicalName\":\"Medicina-Lithuania\",\"FirstCategoryId\":\"3\",\"ListUrlMain\":\"https://doi.org/10.3390/medicina61040633\",\"RegionNum\":4,\"RegionCategory\":\"医学\",\"ArticlePicture\":[],\"TitleCN\":null,\"AbstractTextCN\":null,\"PMCID\":null,\"EPubDate\":\"\",\"PubModel\":\"\",\"JCR\":\"Q1\",\"JCRName\":\"MEDICINE, GENERAL & INTERNAL\",\"Score\":null,\"Total\":0}","platform":"Semanticscholar","paperid":null,"PeriodicalName":"Medicina-Lithuania","FirstCategoryId":"3","ListUrlMain":"https://doi.org/10.3390/medicina61040633","RegionNum":4,"RegionCategory":"医学","ArticlePicture":[],"TitleCN":null,"AbstractTextCN":null,"PMCID":null,"EPubDate":"","PubModel":"","JCR":"Q1","JCRName":"MEDICINE, GENERAL & INTERNAL","Score":null,"Total":0}
引用次数: 0

摘要

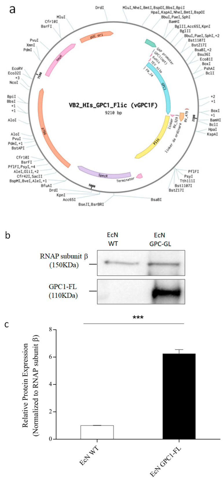
背景和目的:口服疫苗为癌症免疫治疗提供了一种潜在的策略;然而,开发有效的平台仍然是一个难题。本研究考察了大肠杆菌尼氏体1917 (EcN)作为精确递送Glypican-1 (GPC1)的微生物载体,GPC1是一种在胰腺导管腺癌(PDAC)中显著过表达的肿瘤相关抗原。评估EcN作为GPC1载体的有效性,并评估其作为癌症免疫治疗口服疫苗接种平台的潜力。材料与方法:对EcN进行基因修饰,产生gpc1 -鞭毛蛋白融合蛋白(GPC1-FL),增强抗原的免疫原性。Western blot和流式细胞术证实了GPC1在修饰的PANC02细胞中的表达和稳定性,表明GPC1的表达不影响肿瘤细胞的生长。采用小鼠模型测试口服给药后的免疫原性,测量全身IgG、IL-10、IL-2和IFN-γ水平,以表明免疫激活。结果:EcN GPC1-FL口服免疫引起了强大的全身免疫应答,表现为IgG和IL-10水平显著升高。与对照组相比,接种疫苗的小鼠IL-2和IFN-γ浓度升高;但差异无统计学意义。粪便样品的Western blot检查证实了胃肠道中一致的抗原表达,表明有效的细菌定植和抗原保留。没有发现有害影响,因此证实了这种方法的安全性。结论:这些发现证实了EcN是一种可行的、患者友好的癌症免疫治疗口服疫苗接种平台。肿瘤细胞中GPC1的有效产生,以及持续的抗原传递和免疫激活,强调了这种方法在PDAC和其他癌症中的应用前景。这项研究促进了以微生物为基础的抗原递送作为传统疫苗平台的可扩展、非侵入性替代品。
本文章由计算机程序翻译,如有差异,请以英文原文为准。

Gut Microbiota-Based Immunotherapy: Engineered <i>Escherichia coli</i> Nissle 1917 for Oral Delivery of Glypican-1 in Pancreatic Cancer.

Gut Microbiota-Based Immunotherapy: Engineered <i>Escherichia coli</i> Nissle 1917 for Oral Delivery of Glypican-1 in Pancreatic Cancer.

Gut Microbiota-Based Immunotherapy: Engineered <i>Escherichia coli</i> Nissle 1917 for Oral Delivery of Glypican-1 in Pancreatic Cancer.

Gut Microbiota-Based Immunotherapy: Engineered Escherichia coli Nissle 1917 for Oral Delivery of Glypican-1 in Pancreatic Cancer.

Background and Objectives: The administration of oral vaccines offers a potential strategy for cancer immunotherapy; yet, the development of effective platforms continues to pose a difficulty. This study examines Escherichia coli Nissle 1917 (EcN) as a microbial vector for the precise delivery of Glypican-1 (GPC1), a tumor-associated antigen significantly overexpressed in pancreatic ductal adenocarcinoma (PDAC).To evaluate the effectiveness of EcN as a vector for the delivery of GPC1 and assess its potential as an oral vaccination platform for cancer immunotherapy. Materials and Methods: EcN was genetically modified to produce a GPC1-flagellin fusion protein (GPC1-FL) to augment antigen immunogenicity. The expression and stability of GPC1 were confirmed in modified PANC02 cells using Western blot and flow cytometry, indicating that GPC1 expression did not influence tumor cell growth. A mouse model was employed to test immunogenicity post-oral delivery, measuring systemic IgG, IL-10, IL-2, and IFN-γ levels to indicate immune activation. Results: Oral immunization with EcN GPC1-FL elicited a robust systemic immune response, demonstrated by markedly increased levels of IgG and IL-10. IL-2 and IFN-γ concentrations were elevated in vaccinated mice relative to controls; however, the differences lacked statistical significance. Western blot examination of fecal samples verified consistent antigen expression in the gastrointestinal tract, indicating effective bacterial colonization and antigen retention. No detrimental impacts were noted, hence substantiating the safety of this methodology. Conclusions: These findings confirm EcN as a feasible and patient-friendly oral vaccination platform for cancer immunotherapy. The effective production of GPC1 in tumor cells, along with continuous antigen delivery and immune activation, underscores the promise of this approach for PDAC and other cancers. This study promotes microbial-based antigen delivery as a scalable, non-invasive substitute for traditional vaccine platforms.

求助全文
通过发布文献求助,成功后即可免费获取论文全文。 去求助
来源期刊
Medicina-Lithuania
Medicina-Lithuania 医学-医学:内科
CiteScore
3.30
自引率
3.80%
发文量
1578
审稿时长
25.04 days
期刊介绍: The journal’s main focus is on reviews as well as clinical and experimental investigations. The journal aims to advance knowledge related to problems in medicine in developing countries as well as developed economies, to disseminate research on global health, and to promote and foster prevention and treatment of diseases worldwide. MEDICINA publications cater to clinicians, diagnosticians and researchers, and serve as a forum to discuss the current status of health-related matters and their impact on a global and local scale.
×
引用
GB/T 7714-2015
复制
MLA
复制
APA
复制
导出至
BibTeX EndNote RefMan NoteFirst NoteExpress
×
提示
您的信息不完整,为了账户安全,请先补充。
现在去补充
×
提示
您因"违规操作"
具体请查看互助需知
我知道了
×
提示
确定
请完成安全验证×
copy
已复制链接
快去分享给好友吧!
我知道了
右上角分享
点击右上角分享
0
联系我们:info@booksci.cn Book学术提供免费学术资源搜索服务,方便国内外学者检索中英文文献。致力于提供最便捷和优质的服务体验。 Copyright © 2023 布克学术 All rights reserved.
京ICP备2023020795号-1
ghs 京公网安备 11010802042870号
Book学术文献互助
Book学术文献互助群
群 号:604180095
Book学术官方微信