胸部计算机断层扫描和x线平片显示COVID-19肺部疾病(肺血管病变)的血管分布和特征。

The Ulster medical journal Pub Date : 2025-04-01 Epub Date: 2025-04-30
Graham Lloyd-Jones, James Shambrook, Alastair Watson, Anna Freeman, Tom M A Wilkinson
{"title":"胸部计算机断层扫描和x线平片显示COVID-19肺部疾病(肺血管病变)的血管分布和特征。","authors":"Graham Lloyd-Jones, James Shambrook, Alastair Watson, Anna Freeman, Tom M A Wilkinson","doi":"","DOIUrl":null,"url":null,"abstract":"<p><strong>Introduction: </strong>Early in the COVID-19 pandemic, CT was demonstrated as a sensitive tool for diagnosing COVID-19. We undertook a detailed study of CT scans in COVID-19 patients to characterise disease distribution within lung parenchyma, respiratory airways, and pulmonary vasculature, aiming to delineate underlying disease processes.</p><p><strong>Methods: </strong>We characterised acute phase chest CT of 40 participants with COVID-19 from the REACT study, 31 with CT pulmonary angiography (CTPA), 4 with intravenous contrast enhanced CT and 5 with non-intravenous contrast enhanced CT. Participants had neither been vaccinated nor received systemic steroids. We further correlated the distribution of lung parenchymal damage on CT with contemporaneous chest radiographs.</p><p><strong>Results: </strong>Parenchymal lung damage was found in all subjects. However, airways inflammation was present in only 23% (9) and limited to small areas. Notably, vascular abnormalities were dominant and characterised by dilated peripheral pulmonary vessels supplying areas of lung damage in a gravity-dependent distribution bilaterally in 95% (38), basally in 90% (36), peripherally in 92.5% (37), and posteriorly in 90% (36). Macrothrombosis was demonstrated in 23% (7) of CTPAs. Wedge-shaped peripheral lung damage, resembling areas of pulmonary vascular congestion, were distinct in 53% (21) with or without visible macrothrombosis. Pleural effusions were seen in 28% (11). Notably, lung opacification distribution in 98% of the plain radiographs matched distribution on CT (39).</p><p><strong>Conclusion: </strong>Our study frames COVID-19 as a pulmonary vasculopathy rather than a more conventional pneumonia which may be important not only for guiding mechanistic study design but also for the development of novel targeted therapeutics.</p>","PeriodicalId":94250,"journal":{"name":"The Ulster medical journal","volume":"94 1","pages":"4-12"},"PeriodicalIF":0.0000,"publicationDate":"2025-04-01","publicationTypes":"Journal Article","fieldsOfStudy":null,"isOpenAccess":false,"openAccessPdf":"https://www.ncbi.nlm.nih.gov/pmc/articles/PMC12042850/pdf/","citationCount":"0","resultStr":"{\"title\":\"Chest computed tomography and plain radiographs demonstrate vascular distribution and characteristics in COVID-19 lung disease - a pulmonary vasculopathy.\",\"authors\":\"Graham Lloyd-Jones, James Shambrook, Alastair Watson, Anna Freeman, Tom M A Wilkinson\",\"doi\":\"\",\"DOIUrl\":null,\"url\":null,\"abstract\":\"<p><strong>Introduction: </strong>Early in the COVID-19 pandemic, CT was demonstrated as a sensitive tool for diagnosing COVID-19. We undertook a detailed study of CT scans in COVID-19 patients to characterise disease distribution within lung parenchyma, respiratory airways, and pulmonary vasculature, aiming to delineate underlying disease processes.</p><p><strong>Methods: </strong>We characterised acute phase chest CT of 40 participants with COVID-19 from the REACT study, 31 with CT pulmonary angiography (CTPA), 4 with intravenous contrast enhanced CT and 5 with non-intravenous contrast enhanced CT. Participants had neither been vaccinated nor received systemic steroids. We further correlated the distribution of lung parenchymal damage on CT with contemporaneous chest radiographs.</p><p><strong>Results: </strong>Parenchymal lung damage was found in all subjects. However, airways inflammation was present in only 23% (9) and limited to small areas. Notably, vascular abnormalities were dominant and characterised by dilated peripheral pulmonary vessels supplying areas of lung damage in a gravity-dependent distribution bilaterally in 95% (38), basally in 90% (36), peripherally in 92.5% (37), and posteriorly in 90% (36). Macrothrombosis was demonstrated in 23% (7) of CTPAs. Wedge-shaped peripheral lung damage, resembling areas of pulmonary vascular congestion, were distinct in 53% (21) with or without visible macrothrombosis. Pleural effusions were seen in 28% (11). Notably, lung opacification distribution in 98% of the plain radiographs matched distribution on CT (39).</p><p><strong>Conclusion: </strong>Our study frames COVID-19 as a pulmonary vasculopathy rather than a more conventional pneumonia which may be important not only for guiding mechanistic study design but also for the development of novel targeted therapeutics.</p>\",\"PeriodicalId\":94250,\"journal\":{\"name\":\"The Ulster medical journal\",\"volume\":\"94 1\",\"pages\":\"4-12\"},\"PeriodicalIF\":0.0000,\"publicationDate\":\"2025-04-01\",\"publicationTypes\":\"Journal Article\",\"fieldsOfStudy\":null,\"isOpenAccess\":false,\"openAccessPdf\":\"https://www.ncbi.nlm.nih.gov/pmc/articles/PMC12042850/pdf/\",\"citationCount\":\"0\",\"resultStr\":null,\"platform\":\"Semanticscholar\",\"paperid\":null,\"PeriodicalName\":\"The Ulster medical journal\",\"FirstCategoryId\":\"1085\",\"ListUrlMain\":\"\",\"RegionNum\":0,\"RegionCategory\":null,\"ArticlePicture\":[],\"TitleCN\":null,\"AbstractTextCN\":null,\"PMCID\":null,\"EPubDate\":\"2025/4/30 0:00:00\",\"PubModel\":\"Epub\",\"JCR\":\"\",\"JCRName\":\"\",\"Score\":null,\"Total\":0}","platform":"Semanticscholar","paperid":null,"PeriodicalName":"The Ulster medical journal","FirstCategoryId":"1085","ListUrlMain":"","RegionNum":0,"RegionCategory":null,"ArticlePicture":[],"TitleCN":null,"AbstractTextCN":null,"PMCID":null,"EPubDate":"2025/4/30 0:00:00","PubModel":"Epub","JCR":"","JCRName":"","Score":null,"Total":0}
引用次数: 0

摘要

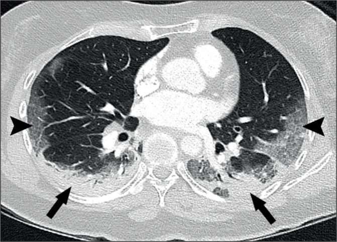
在COVID-19大流行早期,CT被证明是诊断COVID-19的敏感工具。我们对COVID-19患者的CT扫描进行了详细研究,以表征疾病在肺实质、呼吸道和肺血管中的分布,旨在描述潜在的疾病过程。方法:我们对来自REACT研究的40名COVID-19参与者的急性期胸部CT进行了表征,其中31人使用CT肺血管造影(CTPA), 4人使用静脉增强CT, 5人使用非静脉增强CT。参与者既没有接种疫苗,也没有接受全身类固醇。我们进一步将CT上肺实质损伤的分布与同期胸片相关联。结果:所有受试者均出现肺实质损伤。然而,气道炎症仅占23%(9),且仅限于小区域。值得注意的是,血管异常占主导地位,其特征是肺外周血管扩张,呈双侧重力依赖分布,供应肺损伤区域,95%(38),90%(36),92.5%(37),90%(36)。23%(7)的ctpa患者出现宏观血栓形成。楔形外周肺损伤,类似于肺血管充血区,在53%(21)中明显伴有或不伴有明显的大血栓形成。28%(11)见胸腔积液。值得注意的是,98%的x平片上的肺混浊分布与CT上的分布相匹配(39)。结论:我们的研究将COVID-19定义为肺血管病变,而不是更传统的肺炎,这不仅对指导机制研究设计很重要,而且对开发新的靶向治疗方法也很重要。
本文章由计算机程序翻译,如有差异,请以英文原文为准。

Chest computed tomography and plain radiographs demonstrate vascular distribution and characteristics in COVID-19 lung disease - a pulmonary vasculopathy.

Chest computed tomography and plain radiographs demonstrate vascular distribution and characteristics in COVID-19 lung disease - a pulmonary vasculopathy.

Chest computed tomography and plain radiographs demonstrate vascular distribution and characteristics in COVID-19 lung disease - a pulmonary vasculopathy.

Chest computed tomography and plain radiographs demonstrate vascular distribution and characteristics in COVID-19 lung disease - a pulmonary vasculopathy.

Introduction: Early in the COVID-19 pandemic, CT was demonstrated as a sensitive tool for diagnosing COVID-19. We undertook a detailed study of CT scans in COVID-19 patients to characterise disease distribution within lung parenchyma, respiratory airways, and pulmonary vasculature, aiming to delineate underlying disease processes.

Methods: We characterised acute phase chest CT of 40 participants with COVID-19 from the REACT study, 31 with CT pulmonary angiography (CTPA), 4 with intravenous contrast enhanced CT and 5 with non-intravenous contrast enhanced CT. Participants had neither been vaccinated nor received systemic steroids. We further correlated the distribution of lung parenchymal damage on CT with contemporaneous chest radiographs.

Results: Parenchymal lung damage was found in all subjects. However, airways inflammation was present in only 23% (9) and limited to small areas. Notably, vascular abnormalities were dominant and characterised by dilated peripheral pulmonary vessels supplying areas of lung damage in a gravity-dependent distribution bilaterally in 95% (38), basally in 90% (36), peripherally in 92.5% (37), and posteriorly in 90% (36). Macrothrombosis was demonstrated in 23% (7) of CTPAs. Wedge-shaped peripheral lung damage, resembling areas of pulmonary vascular congestion, were distinct in 53% (21) with or without visible macrothrombosis. Pleural effusions were seen in 28% (11). Notably, lung opacification distribution in 98% of the plain radiographs matched distribution on CT (39).

Conclusion: Our study frames COVID-19 as a pulmonary vasculopathy rather than a more conventional pneumonia which may be important not only for guiding mechanistic study design but also for the development of novel targeted therapeutics.

求助全文
通过发布文献求助,成功后即可免费获取论文全文。 去求助
来源期刊
自引率
0.00%
发文量
0
×
引用
GB/T 7714-2015
复制
MLA
复制
APA
复制
导出至
BibTeX EndNote RefMan NoteFirst NoteExpress
×
提示
您的信息不完整,为了账户安全,请先补充。
现在去补充
×
提示
您因"违规操作"
具体请查看互助需知
我知道了
×
提示
确定
请完成安全验证×
copy
已复制链接
快去分享给好友吧!
我知道了
右上角分享
点击右上角分享
0
联系我们:info@booksci.cn Book学术提供免费学术资源搜索服务,方便国内外学者检索中英文文献。致力于提供最便捷和优质的服务体验。 Copyright © 2023 布克学术 All rights reserved.
京ICP备2023020795号-1
ghs 京公网安备 11010802042870号
Book学术文献互助
Book学术文献互助群
群 号:604180095
Book学术官方微信