探讨小儿颌骨骨肉瘤:1例12岁女童的详细病例报告及文献复习。

IF 0.9 Q4 DENTISTRY, ORAL SURGERY & MEDICINE
Case Reports in Dentistry Pub Date : 2025-04-22 eCollection Date: 2025-01-01 DOI:10.1155/crid/7428891
Jessica Simpson, Moegamat Sallies, Amir H Afrogheh
{"title":"探讨小儿颌骨骨肉瘤:1例12岁女童的详细病例报告及文献复习。","authors":"Jessica Simpson, Moegamat Sallies, Amir H Afrogheh","doi":"10.1155/crid/7428891","DOIUrl":null,"url":null,"abstract":"<p><p>Osteosarcoma, the most common primary bone malignancy, rarely affects the jaw, representing only 6%-10% of cases. Jaw osteosarcoma typically occurs in individuals between the ages of 30 and 50 years and is uncommon in children. It often involves the mandible, especially in males, presenting with swelling, tooth mobility, and paraesthesia rather than pain. We present a rare case of jaw osteosarcoma in a 12-year-old girl who exhibited paraesthesia and a significant mandibular mass. Imaging demonstrated extensive mandibular involvement with Codman's triangle formation, and a biopsy confirmed the diagnosis of conventional osteosarcoma. The treatment approach included a hemimandibulectomy, followed by temporary reconstruction using a titanium plate and silastic spacer. This case underscores the importance of comprehensive evaluation and multidisciplinary management in diagnosing and treating osteosarcoma of the jaws in children. A review of 12 similar cases highlights the variability in presentation and treatment outcomes, emphasizing the need for individualized treatment plans to optimize patient prognosis.</p>","PeriodicalId":46841,"journal":{"name":"Case Reports in Dentistry","volume":"2025 ","pages":"7428891"},"PeriodicalIF":0.9000,"publicationDate":"2025-04-22","publicationTypes":"Journal Article","fieldsOfStudy":null,"isOpenAccess":false,"openAccessPdf":"https://www.ncbi.nlm.nih.gov/pmc/articles/PMC12041645/pdf/","citationCount":"0","resultStr":"{\"title\":\"Exploring Paediatric Jaw Osteosarcoma: A Detailed Case Report of a 12-Year-Old Girl and Review of the Literature.\",\"authors\":\"Jessica Simpson, Moegamat Sallies, Amir H Afrogheh\",\"doi\":\"10.1155/crid/7428891\",\"DOIUrl\":null,\"url\":null,\"abstract\":\"<p><p>Osteosarcoma, the most common primary bone malignancy, rarely affects the jaw, representing only 6%-10% of cases. Jaw osteosarcoma typically occurs in individuals between the ages of 30 and 50 years and is uncommon in children. It often involves the mandible, especially in males, presenting with swelling, tooth mobility, and paraesthesia rather than pain. We present a rare case of jaw osteosarcoma in a 12-year-old girl who exhibited paraesthesia and a significant mandibular mass. Imaging demonstrated extensive mandibular involvement with Codman's triangle formation, and a biopsy confirmed the diagnosis of conventional osteosarcoma. The treatment approach included a hemimandibulectomy, followed by temporary reconstruction using a titanium plate and silastic spacer. This case underscores the importance of comprehensive evaluation and multidisciplinary management in diagnosing and treating osteosarcoma of the jaws in children. A review of 12 similar cases highlights the variability in presentation and treatment outcomes, emphasizing the need for individualized treatment plans to optimize patient prognosis.</p>\",\"PeriodicalId\":46841,\"journal\":{\"name\":\"Case Reports in Dentistry\",\"volume\":\"2025 \",\"pages\":\"7428891\"},\"PeriodicalIF\":0.9000,\"publicationDate\":\"2025-04-22\",\"publicationTypes\":\"Journal Article\",\"fieldsOfStudy\":null,\"isOpenAccess\":false,\"openAccessPdf\":\"https://www.ncbi.nlm.nih.gov/pmc/articles/PMC12041645/pdf/\",\"citationCount\":\"0\",\"resultStr\":null,\"platform\":\"Semanticscholar\",\"paperid\":null,\"PeriodicalName\":\"Case Reports in Dentistry\",\"FirstCategoryId\":\"1085\",\"ListUrlMain\":\"https://doi.org/10.1155/crid/7428891\",\"RegionNum\":0,\"RegionCategory\":null,\"ArticlePicture\":[],\"TitleCN\":null,\"AbstractTextCN\":null,\"PMCID\":null,\"EPubDate\":\"2025/1/1 0:00:00\",\"PubModel\":\"eCollection\",\"JCR\":\"Q4\",\"JCRName\":\"DENTISTRY, ORAL SURGERY & MEDICINE\",\"Score\":null,\"Total\":0}","platform":"Semanticscholar","paperid":null,"PeriodicalName":"Case Reports in Dentistry","FirstCategoryId":"1085","ListUrlMain":"https://doi.org/10.1155/crid/7428891","RegionNum":0,"RegionCategory":null,"ArticlePicture":[],"TitleCN":null,"AbstractTextCN":null,"PMCID":null,"EPubDate":"2025/1/1 0:00:00","PubModel":"eCollection","JCR":"Q4","JCRName":"DENTISTRY, ORAL SURGERY & MEDICINE","Score":null,"Total":0}
引用次数: 0

摘要

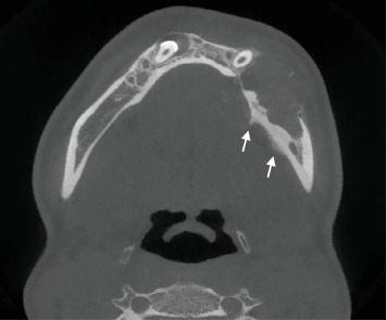
骨肉瘤是最常见的原发性骨恶性肿瘤,很少影响颌骨,仅占病例的6%-10%。颌骨骨肉瘤通常发生在30至50岁之间的个体中,在儿童中并不常见。它通常累及下颌骨,尤其是男性,表现为肿胀、牙齿活动和感觉异常,而不是疼痛。我们提出一个罕见的颌骨骨肉瘤病例在一个12岁的女孩谁表现出感觉异常和显著下颌骨肿块。影像学显示广泛的下颌骨累及Codman三角区,活检证实了常规骨肉瘤的诊断。治疗方法包括半下颌管切除术,随后使用钛板和橡胶垫片进行临时重建。本病例强调了综合评估和多学科管理在儿童颌骨骨肉瘤诊断和治疗中的重要性。对12例类似病例的回顾强调了表现和治疗结果的可变性,强调了个性化治疗计划以优化患者预后的必要性。
本文章由计算机程序翻译,如有差异,请以英文原文为准。

Exploring Paediatric Jaw Osteosarcoma: A Detailed Case Report of a 12-Year-Old Girl and Review of the Literature.

Exploring Paediatric Jaw Osteosarcoma: A Detailed Case Report of a 12-Year-Old Girl and Review of the Literature.

Exploring Paediatric Jaw Osteosarcoma: A Detailed Case Report of a 12-Year-Old Girl and Review of the Literature.

Exploring Paediatric Jaw Osteosarcoma: A Detailed Case Report of a 12-Year-Old Girl and Review of the Literature.

Osteosarcoma, the most common primary bone malignancy, rarely affects the jaw, representing only 6%-10% of cases. Jaw osteosarcoma typically occurs in individuals between the ages of 30 and 50 years and is uncommon in children. It often involves the mandible, especially in males, presenting with swelling, tooth mobility, and paraesthesia rather than pain. We present a rare case of jaw osteosarcoma in a 12-year-old girl who exhibited paraesthesia and a significant mandibular mass. Imaging demonstrated extensive mandibular involvement with Codman's triangle formation, and a biopsy confirmed the diagnosis of conventional osteosarcoma. The treatment approach included a hemimandibulectomy, followed by temporary reconstruction using a titanium plate and silastic spacer. This case underscores the importance of comprehensive evaluation and multidisciplinary management in diagnosing and treating osteosarcoma of the jaws in children. A review of 12 similar cases highlights the variability in presentation and treatment outcomes, emphasizing the need for individualized treatment plans to optimize patient prognosis.

求助全文
通过发布文献求助,成功后即可免费获取论文全文。 去求助
来源期刊
Case Reports in Dentistry
Case Reports in Dentistry DENTISTRY, ORAL SURGERY & MEDICINE-
CiteScore
1.40
自引率
12.50%
发文量
107
审稿时长
14 weeks
期刊介绍: Case Reports in Dentistry is a peer-reviewed, Open Access journal that publishes case reports and case series in all areas of dentistry, including periodontal diseases, dental implants, oral pathology, as well as oral and maxillofacial surgery.
×
引用
GB/T 7714-2015
复制
MLA
复制
APA
复制
导出至
BibTeX EndNote RefMan NoteFirst NoteExpress
×
提示
您的信息不完整,为了账户安全,请先补充。
现在去补充
×
提示
您因"违规操作"
具体请查看互助需知
我知道了
×
提示
确定
请完成安全验证×
copy
已复制链接
快去分享给好友吧!
我知道了
右上角分享
点击右上角分享
0
联系我们:info@booksci.cn Book学术提供免费学术资源搜索服务,方便国内外学者检索中英文文献。致力于提供最便捷和优质的服务体验。 Copyright © 2023 布克学术 All rights reserved.
京ICP备2023020795号-1
ghs 京公网安备 11010802042870号
Book学术文献互助
Book学术文献互助群
群 号:604180095
Book学术官方微信