咽炎和肺炎的微妙表现:勒米尔综合征。

Q4 Medicine
Case Reports in Pulmonology Pub Date : 2025-04-15 eCollection Date: 2025-01-01 DOI:10.1155/crpu/6371331
Federico Bellini, Valentino Allocca, Laura Aspidistria, Marco Farinatti, Ippolito Guzzinati, Marta Maria Daniele, Serena Casanova, Francesca Gasparini, Mara Nalin, Sara Saturni, Gian Luca Casoni
{"title":"咽炎和肺炎的微妙表现:勒米尔综合征。","authors":"Federico Bellini, Valentino Allocca, Laura Aspidistria, Marco Farinatti, Ippolito Guzzinati, Marta Maria Daniele, Serena Casanova, Francesca Gasparini, Mara Nalin, Sara Saturni, Gian Luca Casoni","doi":"10.1155/crpu/6371331","DOIUrl":null,"url":null,"abstract":"<p><p>Lemierre syndrome (LS) is a rare condition with an estimated incidence of 1-10/1,000,000 per year defined as a complication of an oral and nasopharyngeal infection with secondary septicemia leading to septic emboli and internal jugular vein thrombosis. This syndrome was first described by Andre' Lemierre in 1936, before the development of antibiotics. In the preantibiotic era, it was a common condition and it was often characterized by a fatal course within 7-15 days with a mortality rate that could reach up to 80% of cases. After the development of antibiotic therapies, the incidence of LS rapidly declined, and nowadays, it is also known as \"the forgotten disease,\" but the mortality risk remains high (5%) especially in case of diagnostic delay and inappropriate therapies. We presented a case of a 23-year-old who was referred to our hospital for worsening dyspnea associated with high fever following a pharyngitis in order to raise awareness about this severe rare disease. Long-term outcomes are usually good if proper treatment is started with no delay. The mainstays of treatment for the pulmonary and vascular aspects are antibiotic treatment with or without anticoagulation and chest-tube drainage.</p>","PeriodicalId":52364,"journal":{"name":"Case Reports in Pulmonology","volume":"2025 ","pages":"6371331"},"PeriodicalIF":0.0000,"publicationDate":"2025-04-15","publicationTypes":"Journal Article","fieldsOfStudy":null,"isOpenAccess":false,"openAccessPdf":"https://www.ncbi.nlm.nih.gov/pmc/articles/PMC12014257/pdf/","citationCount":"0","resultStr":"{\"title\":\"A Subtle Presentation of Pharyngitis and Pneumonia: Lemierre Syndrome.\",\"authors\":\"Federico Bellini, Valentino Allocca, Laura Aspidistria, Marco Farinatti, Ippolito Guzzinati, Marta Maria Daniele, Serena Casanova, Francesca Gasparini, Mara Nalin, Sara Saturni, Gian Luca Casoni\",\"doi\":\"10.1155/crpu/6371331\",\"DOIUrl\":null,\"url\":null,\"abstract\":\"<p><p>Lemierre syndrome (LS) is a rare condition with an estimated incidence of 1-10/1,000,000 per year defined as a complication of an oral and nasopharyngeal infection with secondary septicemia leading to septic emboli and internal jugular vein thrombosis. This syndrome was first described by Andre' Lemierre in 1936, before the development of antibiotics. In the preantibiotic era, it was a common condition and it was often characterized by a fatal course within 7-15 days with a mortality rate that could reach up to 80% of cases. After the development of antibiotic therapies, the incidence of LS rapidly declined, and nowadays, it is also known as \\\"the forgotten disease,\\\" but the mortality risk remains high (5%) especially in case of diagnostic delay and inappropriate therapies. We presented a case of a 23-year-old who was referred to our hospital for worsening dyspnea associated with high fever following a pharyngitis in order to raise awareness about this severe rare disease. Long-term outcomes are usually good if proper treatment is started with no delay. The mainstays of treatment for the pulmonary and vascular aspects are antibiotic treatment with or without anticoagulation and chest-tube drainage.</p>\",\"PeriodicalId\":52364,\"journal\":{\"name\":\"Case Reports in Pulmonology\",\"volume\":\"2025 \",\"pages\":\"6371331\"},\"PeriodicalIF\":0.0000,\"publicationDate\":\"2025-04-15\",\"publicationTypes\":\"Journal Article\",\"fieldsOfStudy\":null,\"isOpenAccess\":false,\"openAccessPdf\":\"https://www.ncbi.nlm.nih.gov/pmc/articles/PMC12014257/pdf/\",\"citationCount\":\"0\",\"resultStr\":null,\"platform\":\"Semanticscholar\",\"paperid\":null,\"PeriodicalName\":\"Case Reports in Pulmonology\",\"FirstCategoryId\":\"1085\",\"ListUrlMain\":\"https://doi.org/10.1155/crpu/6371331\",\"RegionNum\":0,\"RegionCategory\":null,\"ArticlePicture\":[],\"TitleCN\":null,\"AbstractTextCN\":null,\"PMCID\":null,\"EPubDate\":\"2025/1/1 0:00:00\",\"PubModel\":\"eCollection\",\"JCR\":\"Q4\",\"JCRName\":\"Medicine\",\"Score\":null,\"Total\":0}","platform":"Semanticscholar","paperid":null,"PeriodicalName":"Case Reports in Pulmonology","FirstCategoryId":"1085","ListUrlMain":"https://doi.org/10.1155/crpu/6371331","RegionNum":0,"RegionCategory":null,"ArticlePicture":[],"TitleCN":null,"AbstractTextCN":null,"PMCID":null,"EPubDate":"2025/1/1 0:00:00","PubModel":"eCollection","JCR":"Q4","JCRName":"Medicine","Score":null,"Total":0}
引用次数: 0

摘要

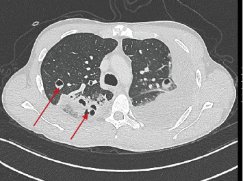
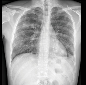
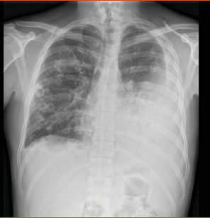
Lemierre综合征(LS)是一种罕见的疾病,估计每年发病率为1-10/1,000,000,定义为口腔和鼻咽感染伴继发性败血症导致脓毒性栓塞和颈内静脉血栓形成的并发症。1936年,在抗生素发明之前,安德烈·勒米尔首次描述了这种综合征。在抗生素出现之前的时代,这是一种常见的疾病,其特征通常是在7-15天内致命,死亡率可高达80%。随着抗生素治疗的发展,LS的发病率迅速下降,如今,它也被称为“被遗忘的疾病”,但死亡率仍然很高(5%),特别是在诊断延迟和治疗不当的情况下。我们提出了一个23岁的病例,他被转介到我们医院,因为咽炎后呼吸困难加剧并伴有高烧,以提高人们对这种严重罕见疾病的认识。如果立即开始适当的治疗,长期的结果通常是好的。肺和血管方面的主要治疗是抗生素治疗,加或不加抗凝和胸管引流。
本文章由计算机程序翻译,如有差异,请以英文原文为准。

A Subtle Presentation of Pharyngitis and Pneumonia: Lemierre Syndrome.

A Subtle Presentation of Pharyngitis and Pneumonia: Lemierre Syndrome.

A Subtle Presentation of Pharyngitis and Pneumonia: Lemierre Syndrome.

A Subtle Presentation of Pharyngitis and Pneumonia: Lemierre Syndrome.

Lemierre syndrome (LS) is a rare condition with an estimated incidence of 1-10/1,000,000 per year defined as a complication of an oral and nasopharyngeal infection with secondary septicemia leading to septic emboli and internal jugular vein thrombosis. This syndrome was first described by Andre' Lemierre in 1936, before the development of antibiotics. In the preantibiotic era, it was a common condition and it was often characterized by a fatal course within 7-15 days with a mortality rate that could reach up to 80% of cases. After the development of antibiotic therapies, the incidence of LS rapidly declined, and nowadays, it is also known as "the forgotten disease," but the mortality risk remains high (5%) especially in case of diagnostic delay and inappropriate therapies. We presented a case of a 23-year-old who was referred to our hospital for worsening dyspnea associated with high fever following a pharyngitis in order to raise awareness about this severe rare disease. Long-term outcomes are usually good if proper treatment is started with no delay. The mainstays of treatment for the pulmonary and vascular aspects are antibiotic treatment with or without anticoagulation and chest-tube drainage.

求助全文
通过发布文献求助,成功后即可免费获取论文全文。 去求助
来源期刊
Case Reports in Pulmonology
Case Reports in Pulmonology Medicine-Pulmonary and Respiratory Medicine
CiteScore
1.80
自引率
0.00%
发文量
23
审稿时长
13 weeks
×
引用
GB/T 7714-2015
复制
MLA
复制
APA
复制
导出至
BibTeX EndNote RefMan NoteFirst NoteExpress
×
提示
您的信息不完整,为了账户安全,请先补充。
现在去补充
×
提示
您因"违规操作"
具体请查看互助需知
我知道了
×
提示
确定
请完成安全验证×
copy
已复制链接
快去分享给好友吧!
我知道了
右上角分享
点击右上角分享
0
联系我们:info@booksci.cn Book学术提供免费学术资源搜索服务,方便国内外学者检索中英文文献。致力于提供最便捷和优质的服务体验。 Copyright © 2023 布克学术 All rights reserved.
京ICP备2023020795号-1
ghs 京公网安备 11010802042870号
Book学术文献互助
Book学术文献互助群
群 号:604180095
Book学术官方微信