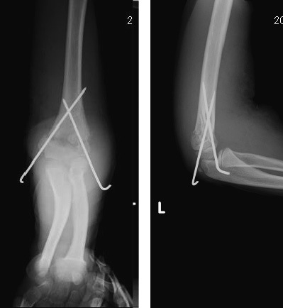
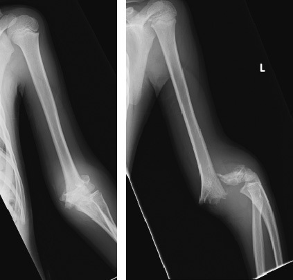
肱骨髁上骨折术后尺神经卡在克氏针上。

IF 0.9 4区 医学 Q4 MEDICINE, RESEARCH & EXPERIMENTAL
Tetsuhiro Hagino, Michitomo Sakuma, Takahiro Jubashi, Masanori Wako, Tetsuo Hagino, Hirotaka Haro
{"title":"肱骨髁上骨折术后尺神经卡在克氏针上。","authors":"Tetsuhiro Hagino, Michitomo Sakuma, Takahiro Jubashi, Masanori Wako, Tetsuo Hagino, Hirotaka Haro","doi":"10.18999/nagjms.87.1.150","DOIUrl":null,"url":null,"abstract":"<p><p>A 9-year-old boy fell off his skateboard, resulting in a supracondylar fracture of his left humerus. The fracture was surgically repaired on the same day using two Kirschner wires inserted from the medial and lateral sides. Following surgery, the patient developed ulnar nerve palsy, prompting reoperation. It was discovered that the ulnar nerve was located anterior to the medial epicondyle and was snagged on the Kirschner wire, causing compression. Despite clear confirmation of the wire entry site, the presence of an unstable ulnar nerve anterior to the medial epicondyle necessitates caution to prevent ulnar nerve injury.</p>","PeriodicalId":49014,"journal":{"name":"Nagoya Journal of Medical Science","volume":"87 1","pages":"150-155"},"PeriodicalIF":0.9000,"publicationDate":"2025-02-01","publicationTypes":"Journal Article","fieldsOfStudy":null,"isOpenAccess":false,"openAccessPdf":"https://www.ncbi.nlm.nih.gov/pmc/articles/PMC12003997/pdf/","citationCount":"0","resultStr":"{\"title\":\"Ulnar nerve snagged on Kirschner wire following surgery for supracondylar fracture of humerus.\",\"authors\":\"Tetsuhiro Hagino, Michitomo Sakuma, Takahiro Jubashi, Masanori Wako, Tetsuo Hagino, Hirotaka Haro\",\"doi\":\"10.18999/nagjms.87.1.150\",\"DOIUrl\":null,\"url\":null,\"abstract\":\"<p><p>A 9-year-old boy fell off his skateboard, resulting in a supracondylar fracture of his left humerus. The fracture was surgically repaired on the same day using two Kirschner wires inserted from the medial and lateral sides. Following surgery, the patient developed ulnar nerve palsy, prompting reoperation. It was discovered that the ulnar nerve was located anterior to the medial epicondyle and was snagged on the Kirschner wire, causing compression. Despite clear confirmation of the wire entry site, the presence of an unstable ulnar nerve anterior to the medial epicondyle necessitates caution to prevent ulnar nerve injury.</p>\",\"PeriodicalId\":49014,\"journal\":{\"name\":\"Nagoya Journal of Medical Science\",\"volume\":\"87 1\",\"pages\":\"150-155\"},\"PeriodicalIF\":0.9000,\"publicationDate\":\"2025-02-01\",\"publicationTypes\":\"Journal Article\",\"fieldsOfStudy\":null,\"isOpenAccess\":false,\"openAccessPdf\":\"https://www.ncbi.nlm.nih.gov/pmc/articles/PMC12003997/pdf/\",\"citationCount\":\"0\",\"resultStr\":null,\"platform\":\"Semanticscholar\",\"paperid\":null,\"PeriodicalName\":\"Nagoya Journal of Medical Science\",\"FirstCategoryId\":\"3\",\"ListUrlMain\":\"https://doi.org/10.18999/nagjms.87.1.150\",\"RegionNum\":4,\"RegionCategory\":\"医学\",\"ArticlePicture\":[],\"TitleCN\":null,\"AbstractTextCN\":null,\"PMCID\":null,\"EPubDate\":\"\",\"PubModel\":\"\",\"JCR\":\"Q4\",\"JCRName\":\"MEDICINE, RESEARCH & EXPERIMENTAL\",\"Score\":null,\"Total\":0}","platform":"Semanticscholar","paperid":null,"PeriodicalName":"Nagoya Journal of Medical Science","FirstCategoryId":"3","ListUrlMain":"https://doi.org/10.18999/nagjms.87.1.150","RegionNum":4,"RegionCategory":"医学","ArticlePicture":[],"TitleCN":null,"AbstractTextCN":null,"PMCID":null,"EPubDate":"","PubModel":"","JCR":"Q4","JCRName":"MEDICINE, RESEARCH & EXPERIMENTAL","Score":null,"Total":0}
引用次数: 0

摘要

一名9岁男孩从滑板上摔下,导致左肱骨髁上骨折。骨折在同一天手术修复,从内侧和外侧插入两枚克氏针。手术后,患者发生尺神经麻痹,再次手术。发现尺神经位于内侧上髁前,被克氏针卡住,造成压迫。尽管明确确认了金属丝入路位置,但在内侧上髁前存在不稳定的尺神经,需要谨慎防止尺神经损伤。
本文章由计算机程序翻译,如有差异,请以英文原文为准。

Ulnar nerve snagged on Kirschner wire following surgery for supracondylar fracture of humerus.

Ulnar nerve snagged on Kirschner wire following surgery for supracondylar fracture of humerus.

Ulnar nerve snagged on Kirschner wire following surgery for supracondylar fracture of humerus.

Ulnar nerve snagged on Kirschner wire following surgery for supracondylar fracture of humerus.

A 9-year-old boy fell off his skateboard, resulting in a supracondylar fracture of his left humerus. The fracture was surgically repaired on the same day using two Kirschner wires inserted from the medial and lateral sides. Following surgery, the patient developed ulnar nerve palsy, prompting reoperation. It was discovered that the ulnar nerve was located anterior to the medial epicondyle and was snagged on the Kirschner wire, causing compression. Despite clear confirmation of the wire entry site, the presence of an unstable ulnar nerve anterior to the medial epicondyle necessitates caution to prevent ulnar nerve injury.

求助全文
通过发布文献求助,成功后即可免费获取论文全文。 去求助
来源期刊
Nagoya Journal of Medical Science
Nagoya Journal of Medical Science MEDICINE, RESEARCH & EXPERIMENTAL-
CiteScore
1.30
自引率
0.00%
发文量
65
审稿时长
>12 weeks
期刊介绍: The Journal publishes original papers in the areas of medical science and its related fields. Reviews, symposium reports, short communications, notes, case reports, hypothesis papers, medical image at a glance, video and announcements are also accepted. Manuscripts should be in English. It is recommended that an English check of the manuscript by a competent and knowledgeable native speaker be completed before submission.
×
引用
GB/T 7714-2015
复制
MLA
复制
APA
复制
导出至
BibTeX EndNote RefMan NoteFirst NoteExpress
×
提示
您的信息不完整,为了账户安全,请先补充。
现在去补充
×
提示
您因"违规操作"
具体请查看互助需知
我知道了
×
提示
确定
请完成安全验证×
copy
已复制链接
快去分享给好友吧!
我知道了
右上角分享
点击右上角分享
0
联系我们:info@booksci.cn Book学术提供免费学术资源搜索服务,方便国内外学者检索中英文文献。致力于提供最便捷和优质的服务体验。 Copyright © 2023 布克学术 All rights reserved.
京ICP备2023020795号-1
ghs 京公网安备 11010802042870号
Book学术文献互助
Book学术文献互助群
群 号:604180095
Book学术官方微信