1型僵硬人综合征与胰岛素瘤的关系:一个病例报告和叙述回顾。

IF 2.5 4区 医学 Q3 ENDOCRINOLOGY & METABOLISM
Michela Sibilla, Guglielmo Beccuti, Sara Belcastro, Umberto Mortara, Simone Parisi, Donata Campra, Alessandro Piovesan, Bruno Ferrero, Mauro Maccario, Mauro Papotti, Alessandro Maria Berton
{"title":"1型僵硬人综合征与胰岛素瘤的关系:一个病例报告和叙述回顾。","authors":"Michela Sibilla, Guglielmo Beccuti, Sara Belcastro, Umberto Mortara, Simone Parisi, Donata Campra, Alessandro Piovesan, Bruno Ferrero, Mauro Maccario, Mauro Papotti, Alessandro Maria Berton","doi":"10.1007/s42000-025-00666-y","DOIUrl":null,"url":null,"abstract":"<p><strong>Introduction: </strong>Stiff-person syndrome (SPS) is a rare neurological disorder that causes progressive muscle rigidity, gait disturbances, and functional impairment; type 1 is autoimmune, with positive anti-GAD antibodies (Ab), while type 2 is paraneoplastic and associated with antiamphiphysin Ab.</p><p><strong>Case presentation: </strong>A 41-year-old man with a silent medical history presented with stiffness and functional impairment; after numerous rheumatological and neurological investigations, he was diagnosed with SPS, with evidence of high titer anti-GAD Ab. After treatment with benzodiazepines was started, the patient began to experience episodes of confusion, which persisted even after reducing the dosage. During one of these episodes, he was admitted to the emergency department and a glucose level of 26 mg/dL was found. Differential diagnosis led to detection of an insulin-secreting neuroendocrine tumor of the pancreas; thus, a paraneoplastic origin of SPS was hypothesized. However, antiamphiphysin Ab were negative, anti-GAD Ab were persistently elevated, and symptoms only transiently improved after removal of the tumor.</p><p><strong>Conclusion: </strong>This is the first case, to our knowledge, demonstrating association between type 1 SPS and insulinoma, along with describing partial and transient improvement of neurological symptoms after resolution of the associated hypoglycemic syndrome.</p>","PeriodicalId":50399,"journal":{"name":"Hormones-International Journal of Endocrinology and Metabolism","volume":" ","pages":"883-890"},"PeriodicalIF":2.5000,"publicationDate":"2025-09-01","publicationTypes":"Journal Article","fieldsOfStudy":null,"isOpenAccess":false,"openAccessPdf":"https://www.ncbi.nlm.nih.gov/pmc/articles/PMC12513922/pdf/","citationCount":"0","resultStr":"{\"title\":\"Association of type 1 stiff-person syndrome and insulinoma: a case report and narrative review.\",\"authors\":\"Michela Sibilla, Guglielmo Beccuti, Sara Belcastro, Umberto Mortara, Simone Parisi, Donata Campra, Alessandro Piovesan, Bruno Ferrero, Mauro Maccario, Mauro Papotti, Alessandro Maria Berton\",\"doi\":\"10.1007/s42000-025-00666-y\",\"DOIUrl\":null,\"url\":null,\"abstract\":\"<p><strong>Introduction: </strong>Stiff-person syndrome (SPS) is a rare neurological disorder that causes progressive muscle rigidity, gait disturbances, and functional impairment; type 1 is autoimmune, with positive anti-GAD antibodies (Ab), while type 2 is paraneoplastic and associated with antiamphiphysin Ab.</p><p><strong>Case presentation: </strong>A 41-year-old man with a silent medical history presented with stiffness and functional impairment; after numerous rheumatological and neurological investigations, he was diagnosed with SPS, with evidence of high titer anti-GAD Ab. After treatment with benzodiazepines was started, the patient began to experience episodes of confusion, which persisted even after reducing the dosage. During one of these episodes, he was admitted to the emergency department and a glucose level of 26 mg/dL was found. Differential diagnosis led to detection of an insulin-secreting neuroendocrine tumor of the pancreas; thus, a paraneoplastic origin of SPS was hypothesized. However, antiamphiphysin Ab were negative, anti-GAD Ab were persistently elevated, and symptoms only transiently improved after removal of the tumor.</p><p><strong>Conclusion: </strong>This is the first case, to our knowledge, demonstrating association between type 1 SPS and insulinoma, along with describing partial and transient improvement of neurological symptoms after resolution of the associated hypoglycemic syndrome.</p>\",\"PeriodicalId\":50399,\"journal\":{\"name\":\"Hormones-International Journal of Endocrinology and Metabolism\",\"volume\":\" \",\"pages\":\"883-890\"},\"PeriodicalIF\":2.5000,\"publicationDate\":\"2025-09-01\",\"publicationTypes\":\"Journal Article\",\"fieldsOfStudy\":null,\"isOpenAccess\":false,\"openAccessPdf\":\"https://www.ncbi.nlm.nih.gov/pmc/articles/PMC12513922/pdf/\",\"citationCount\":\"0\",\"resultStr\":null,\"platform\":\"Semanticscholar\",\"paperid\":null,\"PeriodicalName\":\"Hormones-International Journal of Endocrinology and Metabolism\",\"FirstCategoryId\":\"3\",\"ListUrlMain\":\"https://doi.org/10.1007/s42000-025-00666-y\",\"RegionNum\":4,\"RegionCategory\":\"医学\",\"ArticlePicture\":[],\"TitleCN\":null,\"AbstractTextCN\":null,\"PMCID\":null,\"EPubDate\":\"2025/5/13 0:00:00\",\"PubModel\":\"Epub\",\"JCR\":\"Q3\",\"JCRName\":\"ENDOCRINOLOGY & METABOLISM\",\"Score\":null,\"Total\":0}","platform":"Semanticscholar","paperid":null,"PeriodicalName":"Hormones-International Journal of Endocrinology and Metabolism","FirstCategoryId":"3","ListUrlMain":"https://doi.org/10.1007/s42000-025-00666-y","RegionNum":4,"RegionCategory":"医学","ArticlePicture":[],"TitleCN":null,"AbstractTextCN":null,"PMCID":null,"EPubDate":"2025/5/13 0:00:00","PubModel":"Epub","JCR":"Q3","JCRName":"ENDOCRINOLOGY & METABOLISM","Score":null,"Total":0}
引用次数: 0

摘要

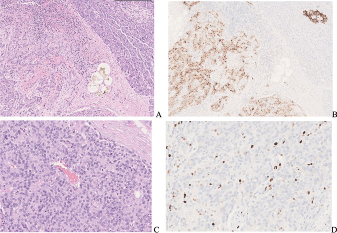
简介:僵硬人综合征(SPS)是一种罕见的神经系统疾病,可导致进行性肌肉僵硬、步态障碍和功能障碍;1型是自身免疫性的,抗广泛性ad抗体(Ab)阳性,而2型是副肿瘤性的,与抗amphiphysin Ab相关。病例介绍:41岁男性,病史不详,表现为僵硬和功能障碍;经过多次风湿病学和神经学检查,他被诊断为SPS,并有高滴度抗广泛性焦虑症抗体的证据。在开始使用苯二氮卓类药物治疗后,患者开始出现意识不清的发作,即使在减少剂量后仍持续存在。在其中一次发作中,他被送往急诊科,发现血糖水平为26 mg/dL。鉴别诊断为胰腺分泌胰岛素的神经内分泌肿瘤;因此,SPS的副肿瘤起源被假设。但抗amphiphysin Ab阴性,抗gad Ab持续升高,切除肿瘤后症状仅短暂改善。结论:据我们所知,这是第一个证明1型SPS与胰岛素瘤之间存在关联的病例,并描述了相关低血糖综合征解决后神经系统症状的部分和短暂改善。
本文章由计算机程序翻译,如有差异,请以英文原文为准。

Association of type 1 stiff-person syndrome and insulinoma: a case report and narrative review.

Association of type 1 stiff-person syndrome and insulinoma: a case report and narrative review.

Association of type 1 stiff-person syndrome and insulinoma: a case report and narrative review.

Introduction: Stiff-person syndrome (SPS) is a rare neurological disorder that causes progressive muscle rigidity, gait disturbances, and functional impairment; type 1 is autoimmune, with positive anti-GAD antibodies (Ab), while type 2 is paraneoplastic and associated with antiamphiphysin Ab.

Case presentation: A 41-year-old man with a silent medical history presented with stiffness and functional impairment; after numerous rheumatological and neurological investigations, he was diagnosed with SPS, with evidence of high titer anti-GAD Ab. After treatment with benzodiazepines was started, the patient began to experience episodes of confusion, which persisted even after reducing the dosage. During one of these episodes, he was admitted to the emergency department and a glucose level of 26 mg/dL was found. Differential diagnosis led to detection of an insulin-secreting neuroendocrine tumor of the pancreas; thus, a paraneoplastic origin of SPS was hypothesized. However, antiamphiphysin Ab were negative, anti-GAD Ab were persistently elevated, and symptoms only transiently improved after removal of the tumor.

Conclusion: This is the first case, to our knowledge, demonstrating association between type 1 SPS and insulinoma, along with describing partial and transient improvement of neurological symptoms after resolution of the associated hypoglycemic syndrome.

求助全文
通过发布文献求助,成功后即可免费获取论文全文。 去求助
来源期刊
CiteScore
5.90
自引率
0.00%
发文量
76
审稿时长
6-12 weeks
期刊介绍: Hormones-International Journal of Endocrinology and Metabolism is an international journal published quarterly with an international editorial board aiming at providing a forum covering all fields of endocrinology and metabolic disorders such as disruption of glucose homeostasis (diabetes mellitus), impaired homeostasis of plasma lipids (dyslipidemia), the disorder of bone metabolism (osteoporosis), disturbances of endocrine function and reproductive capacity of women and men. Hormones-International Journal of Endocrinology and Metabolism particularly encourages clinical, translational and basic science submissions in the areas of endocrine cancers, nutrition, obesity and metabolic disorders, quality of life of endocrine diseases, epidemiology of endocrine and metabolic disorders.
×
引用
GB/T 7714-2015
复制
MLA
复制
APA
复制
导出至
BibTeX EndNote RefMan NoteFirst NoteExpress
×
提示
您的信息不完整,为了账户安全,请先补充。
现在去补充
×
提示
您因"违规操作"
具体请查看互助需知
我知道了
×
提示
确定
请完成安全验证×
copy
已复制链接
快去分享给好友吧!
我知道了
右上角分享
点击右上角分享
0
联系我们:info@booksci.cn Book学术提供免费学术资源搜索服务,方便国内外学者检索中英文文献。致力于提供最便捷和优质的服务体验。 Copyright © 2023 布克学术 All rights reserved.
京ICP备2023020795号-1
ghs 京公网安备 11010802042870号
Book学术文献互助
Book学术文献互助群
群 号:604180095
Book学术官方微信