支气管错构瘤;斑马身上的纹路褪色了吗?案例系列和文献回顾。

IF 1.2 Q4 RESPIRATORY SYSTEM
Lung India Pub Date : 2025-05-01 Epub Date: 2025-04-29 DOI:10.4103/lungindia.lungindia_579_24
Akesh Thomas, Jessee Woodall, Ghassan J Wadhi, Paul R Branca
{"title":"支气管错构瘤;斑马身上的纹路褪色了吗?案例系列和文献回顾。","authors":"Akesh Thomas, Jessee Woodall, Ghassan J Wadhi, Paul R Branca","doi":"10.4103/lungindia.lungindia_579_24","DOIUrl":null,"url":null,"abstract":"<p><strong>Abstract: </strong>Hamartoma is a common benign tumour of the lung. Although most pulmonary hamartomas are located within the lung parenchyma, rarely they present as endobronchial tumours. We are describing one case of a 75-year-old gentleman with endobronchial hamartoma removed via traditional flexible bronchoscopy and another case of a 55-year-old gentleman whose endobronchial hamartoma was diagnosed via robotic navigational bronchoscopy. We are also describing the salient features of three other cases of endobronchial hamartoma diagnosed at our institution in the last 13 years. With the emergence of advanced navigational bronchoscopy techniques, we predict that the incidence of identifying endobronchial hamartomas will increase.</p>","PeriodicalId":47462,"journal":{"name":"Lung India","volume":"42 3","pages":"245-247"},"PeriodicalIF":1.2000,"publicationDate":"2025-05-01","publicationTypes":"Journal Article","fieldsOfStudy":null,"isOpenAccess":false,"openAccessPdf":"https://www.ncbi.nlm.nih.gov/pmc/articles/PMC12097676/pdf/","citationCount":"0","resultStr":"{\"title\":\"Endobronchial hamartoma; are the lines fading from the zebra? Case series and review of literature.\",\"authors\":\"Akesh Thomas, Jessee Woodall, Ghassan J Wadhi, Paul R Branca\",\"doi\":\"10.4103/lungindia.lungindia_579_24\",\"DOIUrl\":null,\"url\":null,\"abstract\":\"<p><strong>Abstract: </strong>Hamartoma is a common benign tumour of the lung. Although most pulmonary hamartomas are located within the lung parenchyma, rarely they present as endobronchial tumours. We are describing one case of a 75-year-old gentleman with endobronchial hamartoma removed via traditional flexible bronchoscopy and another case of a 55-year-old gentleman whose endobronchial hamartoma was diagnosed via robotic navigational bronchoscopy. We are also describing the salient features of three other cases of endobronchial hamartoma diagnosed at our institution in the last 13 years. With the emergence of advanced navigational bronchoscopy techniques, we predict that the incidence of identifying endobronchial hamartomas will increase.</p>\",\"PeriodicalId\":47462,\"journal\":{\"name\":\"Lung India\",\"volume\":\"42 3\",\"pages\":\"245-247\"},\"PeriodicalIF\":1.2000,\"publicationDate\":\"2025-05-01\",\"publicationTypes\":\"Journal Article\",\"fieldsOfStudy\":null,\"isOpenAccess\":false,\"openAccessPdf\":\"https://www.ncbi.nlm.nih.gov/pmc/articles/PMC12097676/pdf/\",\"citationCount\":\"0\",\"resultStr\":null,\"platform\":\"Semanticscholar\",\"paperid\":null,\"PeriodicalName\":\"Lung India\",\"FirstCategoryId\":\"1085\",\"ListUrlMain\":\"https://doi.org/10.4103/lungindia.lungindia_579_24\",\"RegionNum\":0,\"RegionCategory\":null,\"ArticlePicture\":[],\"TitleCN\":null,\"AbstractTextCN\":null,\"PMCID\":null,\"EPubDate\":\"2025/4/29 0:00:00\",\"PubModel\":\"Epub\",\"JCR\":\"Q4\",\"JCRName\":\"RESPIRATORY SYSTEM\",\"Score\":null,\"Total\":0}","platform":"Semanticscholar","paperid":null,"PeriodicalName":"Lung India","FirstCategoryId":"1085","ListUrlMain":"https://doi.org/10.4103/lungindia.lungindia_579_24","RegionNum":0,"RegionCategory":null,"ArticlePicture":[],"TitleCN":null,"AbstractTextCN":null,"PMCID":null,"EPubDate":"2025/4/29 0:00:00","PubModel":"Epub","JCR":"Q4","JCRName":"RESPIRATORY SYSTEM","Score":null,"Total":0}
引用次数: 0

摘要

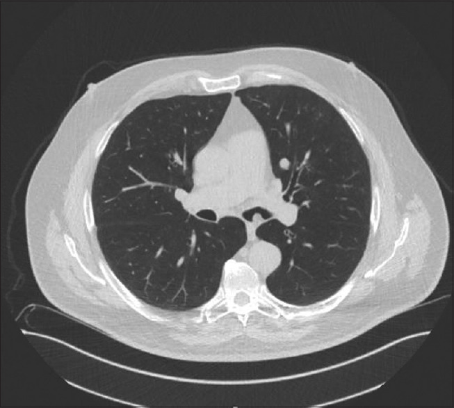
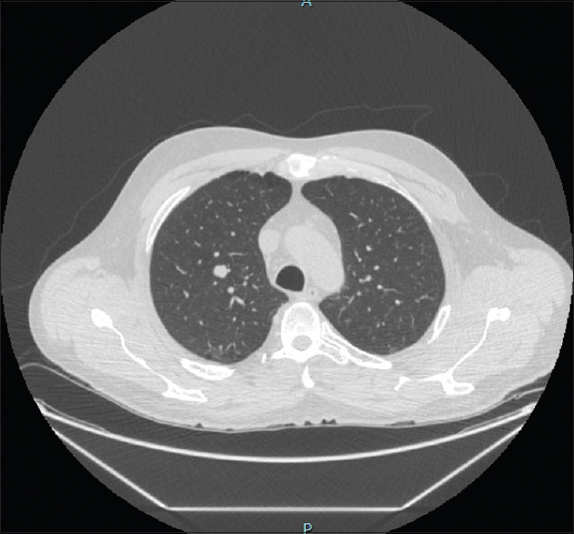
摘要错构瘤是一种常见的肺良性肿瘤。虽然大多数肺错构瘤位于肺实质内,但很少表现为支气管内肿瘤。我们描述了一例75岁的男性通过传统的柔性支气管镜切除支气管内错构瘤,另一例55岁的男性通过机器人导航支气管镜诊断支气管内错构瘤。我们还描述了过去13年中在我们机构诊断的支气管内错构瘤的其他三个病例的显著特征。随着先进的导航支气管镜技术的出现,我们预测支气管内错构瘤的鉴别率将会增加。
本文章由计算机程序翻译,如有差异,请以英文原文为准。

Endobronchial hamartoma; are the lines fading from the zebra? Case series and review of literature.

Endobronchial hamartoma; are the lines fading from the zebra? Case series and review of literature.

Endobronchial hamartoma; are the lines fading from the zebra? Case series and review of literature.

Endobronchial hamartoma; are the lines fading from the zebra? Case series and review of literature.

Abstract: Hamartoma is a common benign tumour of the lung. Although most pulmonary hamartomas are located within the lung parenchyma, rarely they present as endobronchial tumours. We are describing one case of a 75-year-old gentleman with endobronchial hamartoma removed via traditional flexible bronchoscopy and another case of a 55-year-old gentleman whose endobronchial hamartoma was diagnosed via robotic navigational bronchoscopy. We are also describing the salient features of three other cases of endobronchial hamartoma diagnosed at our institution in the last 13 years. With the emergence of advanced navigational bronchoscopy techniques, we predict that the incidence of identifying endobronchial hamartomas will increase.

求助全文
通过发布文献求助,成功后即可免费获取论文全文。 去求助
来源期刊
Lung India
Lung India RESPIRATORY SYSTEM-
CiteScore
2.30
自引率
12.50%
发文量
114
审稿时长
37 weeks
×
引用
GB/T 7714-2015
复制
MLA
复制
APA
复制
导出至
BibTeX EndNote RefMan NoteFirst NoteExpress
×
提示
您的信息不完整,为了账户安全,请先补充。
现在去补充
×
提示
您因"违规操作"
具体请查看互助需知
我知道了
×
提示
确定
请完成安全验证×
copy
已复制链接
快去分享给好友吧!
我知道了
右上角分享
点击右上角分享
0
联系我们:info@booksci.cn Book学术提供免费学术资源搜索服务,方便国内外学者检索中英文文献。致力于提供最便捷和优质的服务体验。 Copyright © 2023 布克学术 All rights reserved.
京ICP备2023020795号-1
ghs 京公网安备 11010802042870号
Book学术文献互助
Book学术文献互助群
群 号:604180095
Book学术官方微信