原发性醛固酮增多症伴68ga - pentxapet /CT阴性和FDG-PET/CT阳性1例左侧肾上腺腺瘤。

IF 0.5 Q4 RADIOLOGY, NUCLEAR MEDICINE & MEDICAL IMAGING
Indian Journal of Nuclear Medicine Pub Date : 2024-11-01 Epub Date: 2025-03-20 DOI:10.4103/ijnm.ijnm_150_24
Aamir Nazar, Gaurav Malhotra, Sandip Basu
{"title":"原发性醛固酮增多症伴68ga - pentxapet /CT阴性和FDG-PET/CT阳性1例左侧肾上腺腺瘤。","authors":"Aamir Nazar, Gaurav Malhotra, Sandip Basu","doi":"10.4103/ijnm.ijnm_150_24","DOIUrl":null,"url":null,"abstract":"<p><p>A 65-year-old male with systemic hypertension, progressively rising aldosterone levels, low plasma renin activity, contrast Magnetic resonance imaging (MRI) described left adrenal lesion isointense to liver parenchyma on T2-weighted images and other features suggestive of left adrenal incidentaloma underwent <sup>68</sup>Ga-Pentixafor Positron emission tomography-computed tomography (PET/CT), which unexpectedly did not show tracer uptake in the known left adrenal adenoma. However, the said nodule showed significant focal tracer uptake on F-18 Fluorodeoxyglucose (FDG)-PET/CT that was done within 2 weeks of <sup>68</sup>Ga-Pentixafor PET/CT study. This unusual finding, which has hitherto been unreported in known patients of primary aldosteronism needs further exploration to determine its clinical significance.</p>","PeriodicalId":45830,"journal":{"name":"Indian Journal of Nuclear Medicine","volume":"39 6","pages":"472-474"},"PeriodicalIF":0.5000,"publicationDate":"2024-11-01","publicationTypes":"Journal Article","fieldsOfStudy":null,"isOpenAccess":false,"openAccessPdf":"https://www.ncbi.nlm.nih.gov/pmc/articles/PMC12020976/pdf/","citationCount":"0","resultStr":"{\"title\":\"An Unusual Case of Primary Aldosteronism with Negative <sup>68</sup>Ga-Pentixafor PET/CT and Positive FDG-PET/CT in a Left Adrenal Adenoma.\",\"authors\":\"Aamir Nazar, Gaurav Malhotra, Sandip Basu\",\"doi\":\"10.4103/ijnm.ijnm_150_24\",\"DOIUrl\":null,\"url\":null,\"abstract\":\"<p><p>A 65-year-old male with systemic hypertension, progressively rising aldosterone levels, low plasma renin activity, contrast Magnetic resonance imaging (MRI) described left adrenal lesion isointense to liver parenchyma on T2-weighted images and other features suggestive of left adrenal incidentaloma underwent <sup>68</sup>Ga-Pentixafor Positron emission tomography-computed tomography (PET/CT), which unexpectedly did not show tracer uptake in the known left adrenal adenoma. However, the said nodule showed significant focal tracer uptake on F-18 Fluorodeoxyglucose (FDG)-PET/CT that was done within 2 weeks of <sup>68</sup>Ga-Pentixafor PET/CT study. This unusual finding, which has hitherto been unreported in known patients of primary aldosteronism needs further exploration to determine its clinical significance.</p>\",\"PeriodicalId\":45830,\"journal\":{\"name\":\"Indian Journal of Nuclear Medicine\",\"volume\":\"39 6\",\"pages\":\"472-474\"},\"PeriodicalIF\":0.5000,\"publicationDate\":\"2024-11-01\",\"publicationTypes\":\"Journal Article\",\"fieldsOfStudy\":null,\"isOpenAccess\":false,\"openAccessPdf\":\"https://www.ncbi.nlm.nih.gov/pmc/articles/PMC12020976/pdf/\",\"citationCount\":\"0\",\"resultStr\":null,\"platform\":\"Semanticscholar\",\"paperid\":null,\"PeriodicalName\":\"Indian Journal of Nuclear Medicine\",\"FirstCategoryId\":\"1085\",\"ListUrlMain\":\"https://doi.org/10.4103/ijnm.ijnm_150_24\",\"RegionNum\":0,\"RegionCategory\":null,\"ArticlePicture\":[],\"TitleCN\":null,\"AbstractTextCN\":null,\"PMCID\":null,\"EPubDate\":\"2025/3/20 0:00:00\",\"PubModel\":\"Epub\",\"JCR\":\"Q4\",\"JCRName\":\"RADIOLOGY, NUCLEAR MEDICINE & MEDICAL IMAGING\",\"Score\":null,\"Total\":0}","platform":"Semanticscholar","paperid":null,"PeriodicalName":"Indian Journal of Nuclear Medicine","FirstCategoryId":"1085","ListUrlMain":"https://doi.org/10.4103/ijnm.ijnm_150_24","RegionNum":0,"RegionCategory":null,"ArticlePicture":[],"TitleCN":null,"AbstractTextCN":null,"PMCID":null,"EPubDate":"2025/3/20 0:00:00","PubModel":"Epub","JCR":"Q4","JCRName":"RADIOLOGY, NUCLEAR MEDICINE & MEDICAL IMAGING","Score":null,"Total":0}
引用次数: 0

摘要

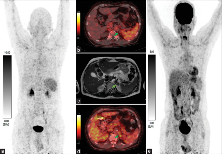
65岁男性,全身性高血压,醛固酮水平逐渐升高,血浆肾素活性低,磁共振成像(MRI)在t2加权图像上描述了左肾上腺病变与肝实质等强度,以及其他提示左肾上腺偶发瘤的特征,进行了68ga - pentxafor正电子发射断层扫描-计算机断层扫描(PET/CT),出乎意料的是,在已知的左肾上腺腺瘤中未显示示踪剂摄取。然而,在68Ga-Pentixafor PET/CT研究的2周内,该结节在F-18氟脱氧葡萄糖(FDG)-PET/CT上显示出明显的局灶示踪剂摄取。这一不寻常的发现,迄今未在已知的原发性醛固酮增多症患者中报道,需要进一步探索以确定其临床意义。
本文章由计算机程序翻译,如有差异,请以英文原文为准。

An Unusual Case of Primary Aldosteronism with Negative <sup>68</sup>Ga-Pentixafor PET/CT and Positive FDG-PET/CT in a Left Adrenal Adenoma.

An Unusual Case of Primary Aldosteronism with Negative 68Ga-Pentixafor PET/CT and Positive FDG-PET/CT in a Left Adrenal Adenoma.

A 65-year-old male with systemic hypertension, progressively rising aldosterone levels, low plasma renin activity, contrast Magnetic resonance imaging (MRI) described left adrenal lesion isointense to liver parenchyma on T2-weighted images and other features suggestive of left adrenal incidentaloma underwent 68Ga-Pentixafor Positron emission tomography-computed tomography (PET/CT), which unexpectedly did not show tracer uptake in the known left adrenal adenoma. However, the said nodule showed significant focal tracer uptake on F-18 Fluorodeoxyglucose (FDG)-PET/CT that was done within 2 weeks of 68Ga-Pentixafor PET/CT study. This unusual finding, which has hitherto been unreported in known patients of primary aldosteronism needs further exploration to determine its clinical significance.

求助全文
通过发布文献求助,成功后即可免费获取论文全文。 去求助
来源期刊
Indian Journal of Nuclear Medicine
Indian Journal of Nuclear Medicine RADIOLOGY, NUCLEAR MEDICINE & MEDICAL IMAGING-
CiteScore
0.70
自引率
0.00%
发文量
46
×
引用
GB/T 7714-2015
复制
MLA
复制
APA
复制
导出至
BibTeX EndNote RefMan NoteFirst NoteExpress
×
提示
您的信息不完整,为了账户安全,请先补充。
现在去补充
×
提示
您因"违规操作"
具体请查看互助需知
我知道了
×
提示
确定
请完成安全验证×
copy
已复制链接
快去分享给好友吧!
我知道了
右上角分享
点击右上角分享
0
联系我们:info@booksci.cn Book学术提供免费学术资源搜索服务,方便国内外学者检索中英文文献。致力于提供最便捷和优质的服务体验。 Copyright © 2023 布克学术 All rights reserved.
京ICP备2023020795号-1
ghs 京公网安备 11010802042870号
Book学术文献互助
Book学术文献互助群
群 号:604180095
Book学术官方微信