神格散通过LOXL2/TGF-β1/IL-11信号通路抑制心肌梗死后心力衰竭大鼠心肌纤维化。

Q2 Medicine
Hang Xie, Boyong Qiu, Haitao Li, Ruoyu Shi
{"title":"神格散通过LOXL2/TGF-β1/IL-11信号通路抑制心肌梗死后心力衰竭大鼠心肌纤维化。","authors":"Hang Xie, Boyong Qiu, Haitao Li, Ruoyu Shi","doi":"10.3724/zdxbyxb-2024-0606","DOIUrl":null,"url":null,"abstract":"<p><strong>Objectives: </strong>To investigate the effect of Shenge powder (SGP) on myocardial fibrosis in rats with heart failure after myocardial infarction and its relation with lysyl oxidase like protein 2 (LOXL2)/transforming growth factor-β1 (TGF-β1)/IL-11 signaling pathway.</p><p><strong>Methods: </strong>Seventy-two SPF male SD rats were divided into blank control group, model control group, SGP small dose group, SGP large dose group, positive control group, SGP large dose+LOXL2 activator group, with 12 rats in each group. Except for the blank control group, post-myocardial infarction heart failure was induced by coronary constriction. Corresponding treatments were given immediately after successful modeling, once a day for 4 weeks. Left ventricular fractional shortening (LVFS) and left ventricular ejection fraction (LVEF) in rats were detected by color Doppler ultrasound imaging. Levels of IL-1β and IL-6 in serum were analyzed by ELISA method. Myocardial collagen volume fraction (CVF) was evaluated by Masson staining. Expressions of collagen Ⅰ and α-smooth muscle actin (α-SMA) in myocardial tissue were detected by immunohistochemical staining. The mRNA expressions of matrix metalloproteinase-9 (MMP-9) and tissue inhibitor of metalloproteinase 1 (TIMP-1) in myocardial tissue were detected by qRT-PCR. Expression of LOXL2, TGF-β1, and IL-11 proteins in myocardial tissue were detected by Western blotting.</p><p><strong>Results: </strong>Compared with the blank control group, the LVFS and LVEF of the model control group decreased, the levels of serum IL-6 and IL-1β elevated, and the CVF value, the expressions of collagen Ⅰ and α-SMA in myocardial tissue, <i>MMP</i>-<i>9</i> and <i>TIMP</i>-<i>1</i> mRNA, and LOXL2, TGF-β1, IL-11 proteins increased (all <i>P</i><0.05). Compared with the model control group, the LVFS and LVEF of SGP small dose group, SGP large dose group and positive control group increased, the levels of serum IL-6 and IL-1β decreased, and the CVF value, the expressions of collagen Ⅰ and α-SMA in myocardial tissue, <i>MMP</i>-<i>9</i> and <i>TIMP</i>-<i>1</i> mRNA, and LOXL2, TGF-β1, IL-11 proteins decreased (all <i>P</i><0.05); while LOXL2 activator reversed the improvement effect of high-dose SGP on myocardial fibrosis in heart failure rats after myocardial infarction.</p><p><strong>Conclusions: </strong>Shenge powder may inhibit myocardial fibrosis in heart failure rats after myocardial infarction by inhibiting the LOXL2/TGF-β1/IL-11 pathway.</p>","PeriodicalId":24007,"journal":{"name":"Zhejiang da xue xue bao. Yi xue ban = Journal of Zhejiang University. Medical sciences","volume":" ","pages":"350-359"},"PeriodicalIF":0.0000,"publicationDate":"2025-05-25","publicationTypes":"Journal Article","fieldsOfStudy":null,"isOpenAccess":false,"openAccessPdf":"https://www.ncbi.nlm.nih.gov/pmc/articles/PMC12176534/pdf/","citationCount":"0","resultStr":"{\"title\":\"[Shenge powder inhibits myocardial fibrosis in rats with post-myocardial infarction heart failure through LOXL2/TGF-β1/IL-11 signaling pathway].\",\"authors\":\"Hang Xie, Boyong Qiu, Haitao Li, Ruoyu Shi\",\"doi\":\"10.3724/zdxbyxb-2024-0606\",\"DOIUrl\":null,\"url\":null,\"abstract\":\"<p><strong>Objectives: </strong>To investigate the effect of Shenge powder (SGP) on myocardial fibrosis in rats with heart failure after myocardial infarction and its relation with lysyl oxidase like protein 2 (LOXL2)/transforming growth factor-β1 (TGF-β1)/IL-11 signaling pathway.</p><p><strong>Methods: </strong>Seventy-two SPF male SD rats were divided into blank control group, model control group, SGP small dose group, SGP large dose group, positive control group, SGP large dose+LOXL2 activator group, with 12 rats in each group. Except for the blank control group, post-myocardial infarction heart failure was induced by coronary constriction. Corresponding treatments were given immediately after successful modeling, once a day for 4 weeks. Left ventricular fractional shortening (LVFS) and left ventricular ejection fraction (LVEF) in rats were detected by color Doppler ultrasound imaging. Levels of IL-1β and IL-6 in serum were analyzed by ELISA method. Myocardial collagen volume fraction (CVF) was evaluated by Masson staining. Expressions of collagen Ⅰ and α-smooth muscle actin (α-SMA) in myocardial tissue were detected by immunohistochemical staining. The mRNA expressions of matrix metalloproteinase-9 (MMP-9) and tissue inhibitor of metalloproteinase 1 (TIMP-1) in myocardial tissue were detected by qRT-PCR. Expression of LOXL2, TGF-β1, and IL-11 proteins in myocardial tissue were detected by Western blotting.</p><p><strong>Results: </strong>Compared with the blank control group, the LVFS and LVEF of the model control group decreased, the levels of serum IL-6 and IL-1β elevated, and the CVF value, the expressions of collagen Ⅰ and α-SMA in myocardial tissue, <i>MMP</i>-<i>9</i> and <i>TIMP</i>-<i>1</i> mRNA, and LOXL2, TGF-β1, IL-11 proteins increased (all <i>P</i><0.05). Compared with the model control group, the LVFS and LVEF of SGP small dose group, SGP large dose group and positive control group increased, the levels of serum IL-6 and IL-1β decreased, and the CVF value, the expressions of collagen Ⅰ and α-SMA in myocardial tissue, <i>MMP</i>-<i>9</i> and <i>TIMP</i>-<i>1</i> mRNA, and LOXL2, TGF-β1, IL-11 proteins decreased (all <i>P</i><0.05); while LOXL2 activator reversed the improvement effect of high-dose SGP on myocardial fibrosis in heart failure rats after myocardial infarction.</p><p><strong>Conclusions: </strong>Shenge powder may inhibit myocardial fibrosis in heart failure rats after myocardial infarction by inhibiting the LOXL2/TGF-β1/IL-11 pathway.</p>\",\"PeriodicalId\":24007,\"journal\":{\"name\":\"Zhejiang da xue xue bao. Yi xue ban = Journal of Zhejiang University. Medical sciences\",\"volume\":\" \",\"pages\":\"350-359\"},\"PeriodicalIF\":0.0000,\"publicationDate\":\"2025-05-25\",\"publicationTypes\":\"Journal Article\",\"fieldsOfStudy\":null,\"isOpenAccess\":false,\"openAccessPdf\":\"https://www.ncbi.nlm.nih.gov/pmc/articles/PMC12176534/pdf/\",\"citationCount\":\"0\",\"resultStr\":null,\"platform\":\"Semanticscholar\",\"paperid\":null,\"PeriodicalName\":\"Zhejiang da xue xue bao. Yi xue ban = Journal of Zhejiang University. Medical sciences\",\"FirstCategoryId\":\"1085\",\"ListUrlMain\":\"https://doi.org/10.3724/zdxbyxb-2024-0606\",\"RegionNum\":0,\"RegionCategory\":null,\"ArticlePicture\":[],\"TitleCN\":null,\"AbstractTextCN\":null,\"PMCID\":null,\"EPubDate\":\"\",\"PubModel\":\"\",\"JCR\":\"Q2\",\"JCRName\":\"Medicine\",\"Score\":null,\"Total\":0}","platform":"Semanticscholar","paperid":null,"PeriodicalName":"Zhejiang da xue xue bao. Yi xue ban = Journal of Zhejiang University. Medical sciences","FirstCategoryId":"1085","ListUrlMain":"https://doi.org/10.3724/zdxbyxb-2024-0606","RegionNum":0,"RegionCategory":null,"ArticlePicture":[],"TitleCN":null,"AbstractTextCN":null,"PMCID":null,"EPubDate":"","PubModel":"","JCR":"Q2","JCRName":"Medicine","Score":null,"Total":0}
引用次数: 0

摘要

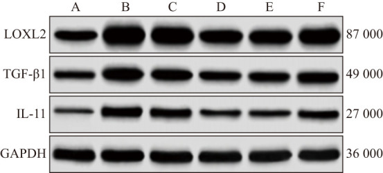
目的:探讨神格散(SGP)对心肌梗死后心力衰竭大鼠心肌纤维化的影响及其与赖氨酸氧化酶样蛋白2 (LOXL2)/转化生长因子-β1 (TGF-β1)/IL-11信号通路的关系。方法:将72只SPF级雄性SD大鼠分为空白对照组、模型对照组、SGP小剂量组、SGP大剂量组、阳性对照组、SGP大剂量+LOXL2激活剂组,每组12只。除空白对照组外,其余各组心肌梗死后心力衰竭均由冠状动脉收缩引起。造模成功后立即给予相应处理,每天1次,连续4周。采用彩色多普勒超声检测大鼠左室缩短分数(LVFS)和左室射血分数(LVEF)。ELISA法测定血清中IL-1β、IL-6水平,Masson染色法测定心肌胶原体积分数(CVF)。免疫组化染色检测心肌组织中胶原Ⅰ和α-平滑肌肌动蛋白(α-SMA)的表达。采用qRT-PCR检测心肌组织中基质金属蛋白酶-9 (MMP-9)和金属蛋白酶组织抑制剂1 (TIMP-1) mRNA的表达。Western blotting检测心肌组织LOXL2、TGF-β1、IL-11蛋白的表达。结果:与空白对照组比较,模型对照组大鼠LVFS、LVEF降低,血清IL-6、IL-1β水平升高,CVF值升高,心肌组织胶原Ⅰ、α-SMA表达,MMP-9、TIMP-1 mRNA表达,LOXL2、TGF-β1、IL-11蛋白表达升高(PMMP-9、TIMP-1 mRNA表达均升高,LOXL2、TGF-β1、IL-11蛋白表达降低(p < 0.05)。神格散可能通过抑制LOXL2/TGF-β1/IL-11通路抑制心肌梗死后心力衰竭大鼠心肌纤维化。
本文章由计算机程序翻译,如有差异,请以英文原文为准。

[Shenge powder inhibits myocardial fibrosis in rats with post-myocardial infarction heart failure through LOXL2/TGF-β1/IL-11 signaling pathway].

[Shenge powder inhibits myocardial fibrosis in rats with post-myocardial infarction heart failure through LOXL2/TGF-β1/IL-11 signaling pathway].

[Shenge powder inhibits myocardial fibrosis in rats with post-myocardial infarction heart failure through LOXL2/TGF-β1/IL-11 signaling pathway].

[Shenge powder inhibits myocardial fibrosis in rats with post-myocardial infarction heart failure through LOXL2/TGF-β1/IL-11 signaling pathway].

Objectives: To investigate the effect of Shenge powder (SGP) on myocardial fibrosis in rats with heart failure after myocardial infarction and its relation with lysyl oxidase like protein 2 (LOXL2)/transforming growth factor-β1 (TGF-β1)/IL-11 signaling pathway.

Methods: Seventy-two SPF male SD rats were divided into blank control group, model control group, SGP small dose group, SGP large dose group, positive control group, SGP large dose+LOXL2 activator group, with 12 rats in each group. Except for the blank control group, post-myocardial infarction heart failure was induced by coronary constriction. Corresponding treatments were given immediately after successful modeling, once a day for 4 weeks. Left ventricular fractional shortening (LVFS) and left ventricular ejection fraction (LVEF) in rats were detected by color Doppler ultrasound imaging. Levels of IL-1β and IL-6 in serum were analyzed by ELISA method. Myocardial collagen volume fraction (CVF) was evaluated by Masson staining. Expressions of collagen Ⅰ and α-smooth muscle actin (α-SMA) in myocardial tissue were detected by immunohistochemical staining. The mRNA expressions of matrix metalloproteinase-9 (MMP-9) and tissue inhibitor of metalloproteinase 1 (TIMP-1) in myocardial tissue were detected by qRT-PCR. Expression of LOXL2, TGF-β1, and IL-11 proteins in myocardial tissue were detected by Western blotting.

Results: Compared with the blank control group, the LVFS and LVEF of the model control group decreased, the levels of serum IL-6 and IL-1β elevated, and the CVF value, the expressions of collagen Ⅰ and α-SMA in myocardial tissue, MMP-9 and TIMP-1 mRNA, and LOXL2, TGF-β1, IL-11 proteins increased (all P<0.05). Compared with the model control group, the LVFS and LVEF of SGP small dose group, SGP large dose group and positive control group increased, the levels of serum IL-6 and IL-1β decreased, and the CVF value, the expressions of collagen Ⅰ and α-SMA in myocardial tissue, MMP-9 and TIMP-1 mRNA, and LOXL2, TGF-β1, IL-11 proteins decreased (all P<0.05); while LOXL2 activator reversed the improvement effect of high-dose SGP on myocardial fibrosis in heart failure rats after myocardial infarction.

Conclusions: Shenge powder may inhibit myocardial fibrosis in heart failure rats after myocardial infarction by inhibiting the LOXL2/TGF-β1/IL-11 pathway.

求助全文
通过发布文献求助,成功后即可免费获取论文全文。 去求助
来源期刊
CiteScore
3.80
自引率
0.00%
发文量
67
×
引用
GB/T 7714-2015
复制
MLA
复制
APA
复制
导出至
BibTeX EndNote RefMan NoteFirst NoteExpress
×
提示
您的信息不完整,为了账户安全,请先补充。
现在去补充
×
提示
您因"违规操作"
具体请查看互助需知
我知道了
×
提示
确定
请完成安全验证×
copy
已复制链接
快去分享给好友吧!
我知道了
右上角分享
点击右上角分享
0
联系我们:info@booksci.cn Book学术提供免费学术资源搜索服务,方便国内外学者检索中英文文献。致力于提供最便捷和优质的服务体验。 Copyright © 2023 布克学术 All rights reserved.
京ICP备2023020795号-1
ghs 京公网安备 11010802042870号
Book学术文献互助
Book学术文献互助群
群 号:604180095
Book学术官方微信