老年猫急性非创伤性腹部假性疝。

IF 0.7 Q3 VETERINARY SCIENCES
Journal of Feline Medicine and Surgery Open Reports Pub Date : 2025-05-07 eCollection Date: 2025-01-01 DOI:10.1177/20551169251332826
Lauren Stack, QiCai Jason Hoon
{"title":"老年猫急性非创伤性腹部假性疝。","authors":"Lauren Stack, QiCai Jason Hoon","doi":"10.1177/20551169251332826","DOIUrl":null,"url":null,"abstract":"<p><strong>Case summary: </strong>A 16-year-old female spayed domestic shorthair cat presented with an acute mass-like outpouching of abdominal viscera unilaterally in the right caudal abdominal ventrum without history of trauma. This abnormality was not identified on prior diagnostic investigations for hyporexia up to 3 weeks prior. A CT examination revealed a protrusion of the viscus through an area of anomalous abdominal wall thinning associated with the discontinuation of the transverse abdominis muscle in this region, rather than a true hernia. Exploratory celiotomy confirmed these findings, with the external rectus sheath and parietal peritoneum remaining intact without an overt hernia ring identified. Abdominal wall augmentation and reconstruction using internal abdominal oblique advancement and fold-over external rectus sheath imbrication resulted in complete resolution without recurrence on subsequent follow-ups. Despite gastrointestinal and muscle biopsies showing no evidence of neoplasia on histopathology, the patient developed an abdominal effusion and was diagnosed with granular lymphocyte lymphoma 4 weeks postoperatively, leading to euthanasia.</p><p><strong>Relevance and novel information: </strong>This case describes a non-traumatic abdominal wall pseudohernia in a geriatric cat, a condition which has not previously been reported. A novel reconstruction technique was used to correct the body wall anomaly, with a good short-term outcome without recurrence.</p>","PeriodicalId":36588,"journal":{"name":"Journal of Feline Medicine and Surgery Open Reports","volume":"11 1","pages":"20551169251332826"},"PeriodicalIF":0.7000,"publicationDate":"2025-05-07","publicationTypes":"Journal Article","fieldsOfStudy":null,"isOpenAccess":false,"openAccessPdf":"https://www.ncbi.nlm.nih.gov/pmc/articles/PMC12062702/pdf/","citationCount":"0","resultStr":"{\"title\":\"Acute non-traumatic abdominal pseudoherniation in a geriatric cat.\",\"authors\":\"Lauren Stack, QiCai Jason Hoon\",\"doi\":\"10.1177/20551169251332826\",\"DOIUrl\":null,\"url\":null,\"abstract\":\"<p><strong>Case summary: </strong>A 16-year-old female spayed domestic shorthair cat presented with an acute mass-like outpouching of abdominal viscera unilaterally in the right caudal abdominal ventrum without history of trauma. This abnormality was not identified on prior diagnostic investigations for hyporexia up to 3 weeks prior. A CT examination revealed a protrusion of the viscus through an area of anomalous abdominal wall thinning associated with the discontinuation of the transverse abdominis muscle in this region, rather than a true hernia. Exploratory celiotomy confirmed these findings, with the external rectus sheath and parietal peritoneum remaining intact without an overt hernia ring identified. Abdominal wall augmentation and reconstruction using internal abdominal oblique advancement and fold-over external rectus sheath imbrication resulted in complete resolution without recurrence on subsequent follow-ups. Despite gastrointestinal and muscle biopsies showing no evidence of neoplasia on histopathology, the patient developed an abdominal effusion and was diagnosed with granular lymphocyte lymphoma 4 weeks postoperatively, leading to euthanasia.</p><p><strong>Relevance and novel information: </strong>This case describes a non-traumatic abdominal wall pseudohernia in a geriatric cat, a condition which has not previously been reported. A novel reconstruction technique was used to correct the body wall anomaly, with a good short-term outcome without recurrence.</p>\",\"PeriodicalId\":36588,\"journal\":{\"name\":\"Journal of Feline Medicine and Surgery Open Reports\",\"volume\":\"11 1\",\"pages\":\"20551169251332826\"},\"PeriodicalIF\":0.7000,\"publicationDate\":\"2025-05-07\",\"publicationTypes\":\"Journal Article\",\"fieldsOfStudy\":null,\"isOpenAccess\":false,\"openAccessPdf\":\"https://www.ncbi.nlm.nih.gov/pmc/articles/PMC12062702/pdf/\",\"citationCount\":\"0\",\"resultStr\":null,\"platform\":\"Semanticscholar\",\"paperid\":null,\"PeriodicalName\":\"Journal of Feline Medicine and Surgery Open Reports\",\"FirstCategoryId\":\"1085\",\"ListUrlMain\":\"https://doi.org/10.1177/20551169251332826\",\"RegionNum\":0,\"RegionCategory\":null,\"ArticlePicture\":[],\"TitleCN\":null,\"AbstractTextCN\":null,\"PMCID\":null,\"EPubDate\":\"2025/1/1 0:00:00\",\"PubModel\":\"eCollection\",\"JCR\":\"Q3\",\"JCRName\":\"VETERINARY SCIENCES\",\"Score\":null,\"Total\":0}","platform":"Semanticscholar","paperid":null,"PeriodicalName":"Journal of Feline Medicine and Surgery Open Reports","FirstCategoryId":"1085","ListUrlMain":"https://doi.org/10.1177/20551169251332826","RegionNum":0,"RegionCategory":null,"ArticlePicture":[],"TitleCN":null,"AbstractTextCN":null,"PMCID":null,"EPubDate":"2025/1/1 0:00:00","PubModel":"eCollection","JCR":"Q3","JCRName":"VETERINARY SCIENCES","Score":null,"Total":0}
引用次数: 0

摘要

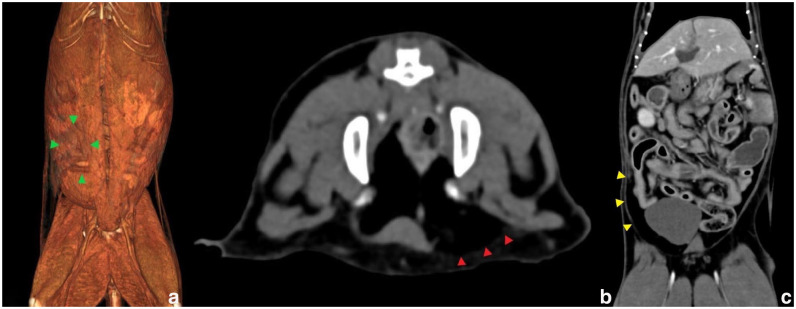
病例总结:一只16岁雌性绝育家短毛猫,表现为右侧腹尾腔急性肿块样腹部脏器突出,无外伤史。这种异常在3周前的缺氧诊断调查中未被发现。CT检查显示通过异常腹壁变薄区域的内脏突出,并伴有该区域横腹肌的中断,而不是真正的疝气。探查性剖腹手术证实了这些发现,外直肌鞘和腹膜壁完好无损,未发现明显的疝环。腹壁增强和重建采用腹内斜推进和折叠外直肌鞘叠瓦术,在随后的随访中完全解决,无复发。尽管胃肠道和肌肉活检在组织病理学上没有显示瘤变的证据,但患者出现腹部积液,并在术后4周被诊断为颗粒淋巴细胞淋巴瘤,导致安乐死。相关性和新信息:本病例描述了一只老年猫的非创伤性腹壁假性疝,这种情况以前没有报道过。一种新的重建技术用于纠正体壁异常,短期效果良好,无复发。
本文章由计算机程序翻译,如有差异,请以英文原文为准。

Acute non-traumatic abdominal pseudoherniation in a geriatric cat.

Acute non-traumatic abdominal pseudoherniation in a geriatric cat.

Acute non-traumatic abdominal pseudoherniation in a geriatric cat.

Acute non-traumatic abdominal pseudoherniation in a geriatric cat.

Case summary: A 16-year-old female spayed domestic shorthair cat presented with an acute mass-like outpouching of abdominal viscera unilaterally in the right caudal abdominal ventrum without history of trauma. This abnormality was not identified on prior diagnostic investigations for hyporexia up to 3 weeks prior. A CT examination revealed a protrusion of the viscus through an area of anomalous abdominal wall thinning associated with the discontinuation of the transverse abdominis muscle in this region, rather than a true hernia. Exploratory celiotomy confirmed these findings, with the external rectus sheath and parietal peritoneum remaining intact without an overt hernia ring identified. Abdominal wall augmentation and reconstruction using internal abdominal oblique advancement and fold-over external rectus sheath imbrication resulted in complete resolution without recurrence on subsequent follow-ups. Despite gastrointestinal and muscle biopsies showing no evidence of neoplasia on histopathology, the patient developed an abdominal effusion and was diagnosed with granular lymphocyte lymphoma 4 weeks postoperatively, leading to euthanasia.

Relevance and novel information: This case describes a non-traumatic abdominal wall pseudohernia in a geriatric cat, a condition which has not previously been reported. A novel reconstruction technique was used to correct the body wall anomaly, with a good short-term outcome without recurrence.

求助全文
通过发布文献求助,成功后即可免费获取论文全文。 去求助
来源期刊
CiteScore
1.30
自引率
14.30%
发文量
57
审稿时长
15 weeks
×
引用
GB/T 7714-2015
复制
MLA
复制
APA
复制
导出至
BibTeX EndNote RefMan NoteFirst NoteExpress
×
提示
您的信息不完整,为了账户安全,请先补充。
现在去补充
×
提示
您因"违规操作"
具体请查看互助需知
我知道了
×
提示
确定
请完成安全验证×
copy
已复制链接
快去分享给好友吧!
我知道了
右上角分享
点击右上角分享
0
联系我们:info@booksci.cn Book学术提供免费学术资源搜索服务,方便国内外学者检索中英文文献。致力于提供最便捷和优质的服务体验。 Copyright © 2023 布克学术 All rights reserved.
京ICP备2023020795号-1
ghs 京公网安备 11010802042870号
Book学术文献互助
Book学术文献互助群
群 号:604180095
Book学术官方微信