犬并发鼻窦曲霉菌病和脑膜脑膨出的计算机断层和磁共振成像诊断。

Q3 Veterinary
Case Reports in Veterinary Medicine Pub Date : 2025-04-22 eCollection Date: 2025-01-01 DOI:10.1155/crve/6620660
Grant Ford-Hodges, Silke Hecht, Jacqueline C Whittemore
{"title":"犬并发鼻窦曲霉菌病和脑膜脑膨出的计算机断层和磁共振成像诊断。","authors":"Grant Ford-Hodges, Silke Hecht, Jacqueline C Whittemore","doi":"10.1155/crve/6620660","DOIUrl":null,"url":null,"abstract":"<p><p>A 4-year-old male castrated mixed breed dog was admitted to the Veterinary Medical Center of the University of Tennessee College of Veterinary Medicine for evaluation of unilateral nasal discharge. Discharge had been present for 2 months, with progression from purulent to hemorrhagic discharge after empiric treatment by the primary veterinarian 6 weeks prior to referral. The dog had a history of seizures starting at 1 year of age that were controlled with phenobarbital. Computed tomography and magnetic resonance imaging of the head yielded diagnoses of a left-sided meningoencephalocele with extension of the olfactory bulb into the caudal nasal passage and destructive rhinitis and frontal sinusitis consistent with aspergillosis. Rhinoscopy was performed to collect diagnostic samples, debride fungal plaques, and guide clotrimazole cream application. Biopsies revealed suppurative rhinitis with abundant aspergillosis, with <i>Aspergillus</i> sp. confirmed on fungal culture. Postoperatively, the patient was treated with a short course of oral posaconazole. Stertorous breathing was noted 4 months following treatment. Recheck sinoscopy and rhinoscopy revealed one fungal plaque in the left nasal cavity and small, hyperemic turbinates. Treatment was repeated, resulting in resolution of clinical signs. Repeat rhinoscopy 1 month later had no evidence of residual disease. Seizures recurred 3 years after the second treatment and were medically managed by the primary care veterinarian. This case report describes a rare case of nasal aspergillosis complicated by a meningoencephalocele. Despite the large cribriform plate defect resulting in exposure of the meninges and olfactory bulb, repeated debridement and topical antifungal treatment were well tolerated by this patient. There was no recurrence in signs for 3 years, after which the dog was lost to follow-up.</p>","PeriodicalId":37339,"journal":{"name":"Case Reports in Veterinary Medicine","volume":"2025 ","pages":"6620660"},"PeriodicalIF":0.0000,"publicationDate":"2025-04-22","publicationTypes":"Journal Article","fieldsOfStudy":null,"isOpenAccess":false,"openAccessPdf":"https://www.ncbi.nlm.nih.gov/pmc/articles/PMC12041618/pdf/","citationCount":"0","resultStr":"{\"title\":\"Computed Tomographic and Magnetic Resonance Imaging Diagnosis of Concurrent Sinonasal Aspergillosis and Meningoencephalocele in a Dog.\",\"authors\":\"Grant Ford-Hodges, Silke Hecht, Jacqueline C Whittemore\",\"doi\":\"10.1155/crve/6620660\",\"DOIUrl\":null,\"url\":null,\"abstract\":\"<p><p>A 4-year-old male castrated mixed breed dog was admitted to the Veterinary Medical Center of the University of Tennessee College of Veterinary Medicine for evaluation of unilateral nasal discharge. Discharge had been present for 2 months, with progression from purulent to hemorrhagic discharge after empiric treatment by the primary veterinarian 6 weeks prior to referral. The dog had a history of seizures starting at 1 year of age that were controlled with phenobarbital. Computed tomography and magnetic resonance imaging of the head yielded diagnoses of a left-sided meningoencephalocele with extension of the olfactory bulb into the caudal nasal passage and destructive rhinitis and frontal sinusitis consistent with aspergillosis. Rhinoscopy was performed to collect diagnostic samples, debride fungal plaques, and guide clotrimazole cream application. Biopsies revealed suppurative rhinitis with abundant aspergillosis, with <i>Aspergillus</i> sp. confirmed on fungal culture. Postoperatively, the patient was treated with a short course of oral posaconazole. Stertorous breathing was noted 4 months following treatment. Recheck sinoscopy and rhinoscopy revealed one fungal plaque in the left nasal cavity and small, hyperemic turbinates. Treatment was repeated, resulting in resolution of clinical signs. Repeat rhinoscopy 1 month later had no evidence of residual disease. Seizures recurred 3 years after the second treatment and were medically managed by the primary care veterinarian. This case report describes a rare case of nasal aspergillosis complicated by a meningoencephalocele. Despite the large cribriform plate defect resulting in exposure of the meninges and olfactory bulb, repeated debridement and topical antifungal treatment were well tolerated by this patient. There was no recurrence in signs for 3 years, after which the dog was lost to follow-up.</p>\",\"PeriodicalId\":37339,\"journal\":{\"name\":\"Case Reports in Veterinary Medicine\",\"volume\":\"2025 \",\"pages\":\"6620660\"},\"PeriodicalIF\":0.0000,\"publicationDate\":\"2025-04-22\",\"publicationTypes\":\"Journal Article\",\"fieldsOfStudy\":null,\"isOpenAccess\":false,\"openAccessPdf\":\"https://www.ncbi.nlm.nih.gov/pmc/articles/PMC12041618/pdf/\",\"citationCount\":\"0\",\"resultStr\":null,\"platform\":\"Semanticscholar\",\"paperid\":null,\"PeriodicalName\":\"Case Reports in Veterinary Medicine\",\"FirstCategoryId\":\"1085\",\"ListUrlMain\":\"https://doi.org/10.1155/crve/6620660\",\"RegionNum\":0,\"RegionCategory\":null,\"ArticlePicture\":[],\"TitleCN\":null,\"AbstractTextCN\":null,\"PMCID\":null,\"EPubDate\":\"2025/1/1 0:00:00\",\"PubModel\":\"eCollection\",\"JCR\":\"Q3\",\"JCRName\":\"Veterinary\",\"Score\":null,\"Total\":0}","platform":"Semanticscholar","paperid":null,"PeriodicalName":"Case Reports in Veterinary Medicine","FirstCategoryId":"1085","ListUrlMain":"https://doi.org/10.1155/crve/6620660","RegionNum":0,"RegionCategory":null,"ArticlePicture":[],"TitleCN":null,"AbstractTextCN":null,"PMCID":null,"EPubDate":"2025/1/1 0:00:00","PubModel":"eCollection","JCR":"Q3","JCRName":"Veterinary","Score":null,"Total":0}
引用次数: 0

摘要

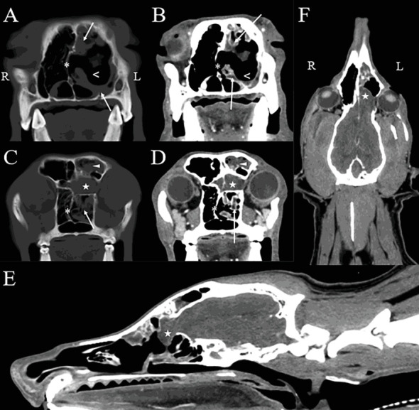
一只4岁雄性阉割混血狗被田纳西大学兽医学院兽医中心收治,以评估单侧鼻分泌物。患者出院已有2个月,在转诊前6周由兽医经验性治疗后,病情由脓性发展为出血性。狗有癫痫发作的历史,从1岁开始,用苯巴比妥控制。头部的计算机断层扫描和磁共振成像诊断为左侧脑膜脑膨出,嗅球延伸至鼻尾通道,伴有曲霉菌病的破坏性鼻炎和额窦炎。进行鼻镜检查以收集诊断样本,清除真菌斑块,并指导克霉唑乳膏的应用。活检显示化脓性鼻炎伴大量曲霉病,真菌培养证实为曲霉属。术后给予短疗程口服泊沙康唑治疗。治疗后4个月出现剧烈呼吸。复查鼻窦镜和鼻镜发现左鼻腔有一个真菌斑块,鼻甲小,充血。反复治疗,临床症状得到缓解。1个月后复查鼻镜未见残留病变。癫痫在第二次治疗后3年复发,由初级保健兽医进行医学处理。这个病例报告描述了一个罕见的病例鼻曲霉病并发脑膜膨出。尽管大筛网板缺损导致脑膜和嗅球暴露,但该患者对反复清创和局部抗真菌治疗耐受良好。3年无复发迹象,此后犬失去随访。
本文章由计算机程序翻译,如有差异,请以英文原文为准。

Computed Tomographic and Magnetic Resonance Imaging Diagnosis of Concurrent Sinonasal Aspergillosis and Meningoencephalocele in a Dog.

Computed Tomographic and Magnetic Resonance Imaging Diagnosis of Concurrent Sinonasal Aspergillosis and Meningoencephalocele in a Dog.

Computed Tomographic and Magnetic Resonance Imaging Diagnosis of Concurrent Sinonasal Aspergillosis and Meningoencephalocele in a Dog.

Computed Tomographic and Magnetic Resonance Imaging Diagnosis of Concurrent Sinonasal Aspergillosis and Meningoencephalocele in a Dog.

A 4-year-old male castrated mixed breed dog was admitted to the Veterinary Medical Center of the University of Tennessee College of Veterinary Medicine for evaluation of unilateral nasal discharge. Discharge had been present for 2 months, with progression from purulent to hemorrhagic discharge after empiric treatment by the primary veterinarian 6 weeks prior to referral. The dog had a history of seizures starting at 1 year of age that were controlled with phenobarbital. Computed tomography and magnetic resonance imaging of the head yielded diagnoses of a left-sided meningoencephalocele with extension of the olfactory bulb into the caudal nasal passage and destructive rhinitis and frontal sinusitis consistent with aspergillosis. Rhinoscopy was performed to collect diagnostic samples, debride fungal plaques, and guide clotrimazole cream application. Biopsies revealed suppurative rhinitis with abundant aspergillosis, with Aspergillus sp. confirmed on fungal culture. Postoperatively, the patient was treated with a short course of oral posaconazole. Stertorous breathing was noted 4 months following treatment. Recheck sinoscopy and rhinoscopy revealed one fungal plaque in the left nasal cavity and small, hyperemic turbinates. Treatment was repeated, resulting in resolution of clinical signs. Repeat rhinoscopy 1 month later had no evidence of residual disease. Seizures recurred 3 years after the second treatment and were medically managed by the primary care veterinarian. This case report describes a rare case of nasal aspergillosis complicated by a meningoencephalocele. Despite the large cribriform plate defect resulting in exposure of the meninges and olfactory bulb, repeated debridement and topical antifungal treatment were well tolerated by this patient. There was no recurrence in signs for 3 years, after which the dog was lost to follow-up.

求助全文
通过发布文献求助,成功后即可免费获取论文全文。 去求助
来源期刊
Case Reports in Veterinary Medicine
Case Reports in Veterinary Medicine Veterinary-Veterinary (all)
CiteScore
0.70
自引率
0.00%
发文量
14
审稿时长
13 weeks
期刊介绍: Case Reports in Veterinary Medicine is a peer-reviewed, Open Access journal that publishes case reports and case series in all areas of veterinary medicine.
×
引用
GB/T 7714-2015
复制
MLA
复制
APA
复制
导出至
BibTeX EndNote RefMan NoteFirst NoteExpress
×
提示
您的信息不完整,为了账户安全,请先补充。
现在去补充
×
提示
您因"违规操作"
具体请查看互助需知
我知道了
×
提示
确定
请完成安全验证×
copy
已复制链接
快去分享给好友吧!
我知道了
右上角分享
点击右上角分享
0
联系我们:info@booksci.cn Book学术提供免费学术资源搜索服务,方便国内外学者检索中英文文献。致力于提供最便捷和优质的服务体验。 Copyright © 2023 布克学术 All rights reserved.
京ICP备2023020795号-1
ghs 京公网安备 11010802042870号
Book学术文献互助
Book学术文献互助群
群 号:604180095
Book学术官方微信