百里醌调节p63、claudin和periostin对慢性鼻窦炎伴鼻息肉的治疗潜力:动物模型研究。

Narra J Pub Date : 2025-04-01 Epub Date: 2025-03-16 DOI:10.52225/narra.v5i1.1728
Loriana Ulfa, Delfitri Munir, Andrina Ym Rambe, Farhat Farhat, Retno S Wardani, Mustafa M Amin, Devira Zahara, Dedi Ardinata
{"title":"百里醌调节p63、claudin和periostin对慢性鼻窦炎伴鼻息肉的治疗潜力:动物模型研究。","authors":"Loriana Ulfa, Delfitri Munir, Andrina Ym Rambe, Farhat Farhat, Retno S Wardani, Mustafa M Amin, Devira Zahara, Dedi Ardinata","doi":"10.52225/narra.v5i1.1728","DOIUrl":null,"url":null,"abstract":"<p><p>High recurrence rate and the necessity for repeated surgical interventions contribute to the chronicity and treatment-resistant nature of chronic rhinosinusitis with nasal polyps (CRSwNP). Thymoquinone, known for its protective effects on epithelial integrity, has not been previously explored in CRSwNP. The aim of this study was to investigate the therapeutic potential of thymoquinone to restore epithelial integrity by assessing p63 transcription factor and claudin protein expressions, as well as periostin mRNA expression in an animal model. An in vivo study using post-test-only control group design was conducted in which male Wistar rats were randomly assigned to three groups, each consisting of 10 animals: healthy group, CRSwNP group, and thymoquinone-treated group for three weeks. Immunohistochemistry was used to analyze the p63 and claudin protein expressions, while periostin mRNA expression was quantified using quantitative reverse transcription polymerase chain reaction (qRT-PCR). This study found that thymoquinone significantly reduced p63 transcription factor expression compared to the untreated CRSwNP group (p = 0.009). Claudin protein expression was significantly higher in thymoquinone-treated group compared to CRSwNP group (p = 0.007), indicating improved epithelial barrier function. Periostin mRNA expression showed no significant difference between healthy and thymoquinone-treated groups (p = 0.564), but a significant decrease was observed in CRSwNP group compared to thymoquinone-treated group (p = 0.000) and between the healthy and CRSwNP groups (p = 0.002), suggesting attenuation of tissue remodeling and inflammation. In conclusion, thymoquinone could enhance sinonasal epithelial barrier integrity in CRSwNP by downregulating p63 transcription factor, upregulating claudin protein expression, and reducing periostin mRNA expression. These findings emphasize the potential of thymoquinone as a therapeutic agent to mitigate inflammation and tissue remodeling in CRSwNP, warranting further investigation as a novel treatment option.</p>","PeriodicalId":517416,"journal":{"name":"Narra J","volume":"5 1","pages":"e1728"},"PeriodicalIF":0.0000,"publicationDate":"2025-04-01","publicationTypes":"Journal Article","fieldsOfStudy":null,"isOpenAccess":false,"openAccessPdf":"https://www.ncbi.nlm.nih.gov/pmc/articles/PMC12059964/pdf/","citationCount":"0","resultStr":"{\"title\":\"Therapeutic potential of thymoquinone in regulating p63, claudin, and periostin in chronic rhinosinusitis with nasal polyps: An animal model study.\",\"authors\":\"Loriana Ulfa, Delfitri Munir, Andrina Ym Rambe, Farhat Farhat, Retno S Wardani, Mustafa M Amin, Devira Zahara, Dedi Ardinata\",\"doi\":\"10.52225/narra.v5i1.1728\",\"DOIUrl\":null,\"url\":null,\"abstract\":\"<p><p>High recurrence rate and the necessity for repeated surgical interventions contribute to the chronicity and treatment-resistant nature of chronic rhinosinusitis with nasal polyps (CRSwNP). Thymoquinone, known for its protective effects on epithelial integrity, has not been previously explored in CRSwNP. The aim of this study was to investigate the therapeutic potential of thymoquinone to restore epithelial integrity by assessing p63 transcription factor and claudin protein expressions, as well as periostin mRNA expression in an animal model. An in vivo study using post-test-only control group design was conducted in which male Wistar rats were randomly assigned to three groups, each consisting of 10 animals: healthy group, CRSwNP group, and thymoquinone-treated group for three weeks. Immunohistochemistry was used to analyze the p63 and claudin protein expressions, while periostin mRNA expression was quantified using quantitative reverse transcription polymerase chain reaction (qRT-PCR). This study found that thymoquinone significantly reduced p63 transcription factor expression compared to the untreated CRSwNP group (p = 0.009). Claudin protein expression was significantly higher in thymoquinone-treated group compared to CRSwNP group (p = 0.007), indicating improved epithelial barrier function. Periostin mRNA expression showed no significant difference between healthy and thymoquinone-treated groups (p = 0.564), but a significant decrease was observed in CRSwNP group compared to thymoquinone-treated group (p = 0.000) and between the healthy and CRSwNP groups (p = 0.002), suggesting attenuation of tissue remodeling and inflammation. In conclusion, thymoquinone could enhance sinonasal epithelial barrier integrity in CRSwNP by downregulating p63 transcription factor, upregulating claudin protein expression, and reducing periostin mRNA expression. These findings emphasize the potential of thymoquinone as a therapeutic agent to mitigate inflammation and tissue remodeling in CRSwNP, warranting further investigation as a novel treatment option.</p>\",\"PeriodicalId\":517416,\"journal\":{\"name\":\"Narra J\",\"volume\":\"5 1\",\"pages\":\"e1728\"},\"PeriodicalIF\":0.0000,\"publicationDate\":\"2025-04-01\",\"publicationTypes\":\"Journal Article\",\"fieldsOfStudy\":null,\"isOpenAccess\":false,\"openAccessPdf\":\"https://www.ncbi.nlm.nih.gov/pmc/articles/PMC12059964/pdf/\",\"citationCount\":\"0\",\"resultStr\":null,\"platform\":\"Semanticscholar\",\"paperid\":null,\"PeriodicalName\":\"Narra J\",\"FirstCategoryId\":\"1085\",\"ListUrlMain\":\"https://doi.org/10.52225/narra.v5i1.1728\",\"RegionNum\":0,\"RegionCategory\":null,\"ArticlePicture\":[],\"TitleCN\":null,\"AbstractTextCN\":null,\"PMCID\":null,\"EPubDate\":\"2025/3/16 0:00:00\",\"PubModel\":\"Epub\",\"JCR\":\"\",\"JCRName\":\"\",\"Score\":null,\"Total\":0}","platform":"Semanticscholar","paperid":null,"PeriodicalName":"Narra J","FirstCategoryId":"1085","ListUrlMain":"https://doi.org/10.52225/narra.v5i1.1728","RegionNum":0,"RegionCategory":null,"ArticlePicture":[],"TitleCN":null,"AbstractTextCN":null,"PMCID":null,"EPubDate":"2025/3/16 0:00:00","PubModel":"Epub","JCR":"","JCRName":"","Score":null,"Total":0}
引用次数: 0

摘要

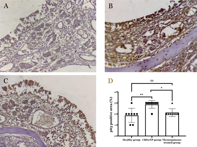
慢性鼻窦炎合并鼻息肉(CRSwNP)的高复发率和反复手术干预的必要性是其慢性和难治性的原因。以其对上皮完整性的保护作用而闻名的百里醌在CRSwNP中尚未被探索。本研究的目的是通过在动物模型中评估p63转录因子和claudin蛋白表达以及骨膜蛋白mRNA表达来研究百里香醌恢复上皮完整性的治疗潜力。采用后试对照组设计,将雄性Wistar大鼠随机分为健康组、CRSwNP组和百里醌治疗组,每组10只,每组3周。免疫组化法检测p63和claudin蛋白表达,定量逆转录聚合酶链反应(qRT-PCR)法检测periostin mRNA表达。本研究发现,与未治疗的CRSwNP组相比,百里醌显著降低了p63转录因子的表达(p = 0.009)。与CRSwNP组相比,百里醌组Claudin蛋白表达显著升高(p = 0.007),表明上皮屏障功能改善。正常组与百里香醌组之间的Periostin mRNA表达量无显著差异(p = 0.564),而CRSwNP组与百里香醌组(p = 0.000)、健康组与CRSwNP组(p = 0.002)相比,Periostin mRNA表达量显著降低,提示组织重构和炎症减弱。综上所述,百里醌可通过下调p63转录因子、上调claudin蛋白表达、降低periostin mRNA表达来增强CRSwNP中鼻上皮屏障的完整性。这些发现强调了百里醌作为缓解CRSwNP炎症和组织重塑的治疗剂的潜力,值得进一步研究作为一种新的治疗选择。
本文章由计算机程序翻译,如有差异,请以英文原文为准。

Therapeutic potential of thymoquinone in regulating p63, claudin, and periostin in chronic rhinosinusitis with nasal polyps: An animal model study.

Therapeutic potential of thymoquinone in regulating p63, claudin, and periostin in chronic rhinosinusitis with nasal polyps: An animal model study.

Therapeutic potential of thymoquinone in regulating p63, claudin, and periostin in chronic rhinosinusitis with nasal polyps: An animal model study.

Therapeutic potential of thymoquinone in regulating p63, claudin, and periostin in chronic rhinosinusitis with nasal polyps: An animal model study.

High recurrence rate and the necessity for repeated surgical interventions contribute to the chronicity and treatment-resistant nature of chronic rhinosinusitis with nasal polyps (CRSwNP). Thymoquinone, known for its protective effects on epithelial integrity, has not been previously explored in CRSwNP. The aim of this study was to investigate the therapeutic potential of thymoquinone to restore epithelial integrity by assessing p63 transcription factor and claudin protein expressions, as well as periostin mRNA expression in an animal model. An in vivo study using post-test-only control group design was conducted in which male Wistar rats were randomly assigned to three groups, each consisting of 10 animals: healthy group, CRSwNP group, and thymoquinone-treated group for three weeks. Immunohistochemistry was used to analyze the p63 and claudin protein expressions, while periostin mRNA expression was quantified using quantitative reverse transcription polymerase chain reaction (qRT-PCR). This study found that thymoquinone significantly reduced p63 transcription factor expression compared to the untreated CRSwNP group (p = 0.009). Claudin protein expression was significantly higher in thymoquinone-treated group compared to CRSwNP group (p = 0.007), indicating improved epithelial barrier function. Periostin mRNA expression showed no significant difference between healthy and thymoquinone-treated groups (p = 0.564), but a significant decrease was observed in CRSwNP group compared to thymoquinone-treated group (p = 0.000) and between the healthy and CRSwNP groups (p = 0.002), suggesting attenuation of tissue remodeling and inflammation. In conclusion, thymoquinone could enhance sinonasal epithelial barrier integrity in CRSwNP by downregulating p63 transcription factor, upregulating claudin protein expression, and reducing periostin mRNA expression. These findings emphasize the potential of thymoquinone as a therapeutic agent to mitigate inflammation and tissue remodeling in CRSwNP, warranting further investigation as a novel treatment option.

求助全文
通过发布文献求助,成功后即可免费获取论文全文。 去求助
来源期刊
CiteScore
3.90
自引率
0.00%
发文量
0
×
引用
GB/T 7714-2015
复制
MLA
复制
APA
复制
导出至
BibTeX EndNote RefMan NoteFirst NoteExpress
×
提示
您的信息不完整,为了账户安全,请先补充。
现在去补充
×
提示
您因"违规操作"
具体请查看互助需知
我知道了
×
提示
确定
请完成安全验证×
copy
已复制链接
快去分享给好友吧!
我知道了
右上角分享
点击右上角分享
0
联系我们:info@booksci.cn Book学术提供免费学术资源搜索服务,方便国内外学者检索中英文文献。致力于提供最便捷和优质的服务体验。 Copyright © 2023 布克学术 All rights reserved.
京ICP备2023020795号-1
ghs 京公网安备 11010802042870号
Book学术文献互助
Book学术文献互助群
群 号:604180095
Book学术官方微信