长期covid - 19相关的大泡神经垂体炎导致精氨酸-抗利尿激素缺乏。

IF 2.3 4区 医学 Q4 ENDOCRINOLOGY & METABOLISM
Regina S Medeiros, Lígia Neves, Isabel Sousa, Bernardo Dias Pereira
{"title":"长期covid - 19相关的大泡神经垂体炎导致精氨酸-抗利尿激素缺乏。","authors":"Regina S Medeiros, Lígia Neves, Isabel Sousa, Bernardo Dias Pereira","doi":"10.20945/2359-4292-2024-0168","DOIUrl":null,"url":null,"abstract":"<p><p>Long COVID is defined by the occurrence of signs, symptoms, and conditions that develop after COVID-19 and may affect several organs and systems. Arginine-vasopressin deficiency (AVP-D; central diabetes insipidus) is a very rare complication of COVID-19 and SARS-CoV-2 immunization. Case reports, original studies, and reviews on AVP-D and long COVID published until February 2024 were retrieved from PubMed. A 47-year-old man presented with polydipsia, polyuria, memory loss, and mental fog 8 weeks after an episode of mild COVID-19. His past personal and family medical history were unremarkable. Biochemical evaluation was relevant for low urine osmolality and a 24-hour urine volume of 10,350 mL. Basal anterior pituitary evaluation was normal. A water deprivation test was started and interrupted after 2 hours due to the development of hypernatremia, high serum osmolality, and low urine osmolality. Urine osmolality significantly increased after intranasal desmopressin 20 μg. Contrast-enhanced pituitary MRI was suggestive of infundibulo-neurohypophysitis. Further biochemical, genetic, and imaging tests excluded secondary AVP-D causes.The patient was subsequently started on oral desmopressin, showing prompt response. After a follow-up of 20 months, he remained well-controlled with isolated AVP-D. Although molecular and histologic confirmation of SARS-CoV-2 infundibulo-neurohypophysitis could not be investigated, a strong temporal relationship and the absence of an alternative diagnosis rendered plausible the inclusion of AVP-D in the myriad of long COVID manifestations. Further studies with patients recovered from COVID-19 are necessary for a better understanding of the epidemiology, pathophysiology, and clinical course of this very rare endocrine condition.</p>","PeriodicalId":54303,"journal":{"name":"Archives of Endocrinology Metabolism","volume":"68 ","pages":"e240168"},"PeriodicalIF":2.3000,"publicationDate":"2025-04-11","publicationTypes":"Journal Article","fieldsOfStudy":null,"isOpenAccess":false,"openAccessPdf":"https://www.ncbi.nlm.nih.gov/pmc/articles/PMC11967181/pdf/","citationCount":"0","resultStr":"{\"title\":\"Arginine-vasopressin deficiency due to long COVID-associated infundibulo-neurohypophysitis.\",\"authors\":\"Regina S Medeiros, Lígia Neves, Isabel Sousa, Bernardo Dias Pereira\",\"doi\":\"10.20945/2359-4292-2024-0168\",\"DOIUrl\":null,\"url\":null,\"abstract\":\"<p><p>Long COVID is defined by the occurrence of signs, symptoms, and conditions that develop after COVID-19 and may affect several organs and systems. Arginine-vasopressin deficiency (AVP-D; central diabetes insipidus) is a very rare complication of COVID-19 and SARS-CoV-2 immunization. Case reports, original studies, and reviews on AVP-D and long COVID published until February 2024 were retrieved from PubMed. A 47-year-old man presented with polydipsia, polyuria, memory loss, and mental fog 8 weeks after an episode of mild COVID-19. His past personal and family medical history were unremarkable. Biochemical evaluation was relevant for low urine osmolality and a 24-hour urine volume of 10,350 mL. Basal anterior pituitary evaluation was normal. A water deprivation test was started and interrupted after 2 hours due to the development of hypernatremia, high serum osmolality, and low urine osmolality. Urine osmolality significantly increased after intranasal desmopressin 20 μg. Contrast-enhanced pituitary MRI was suggestive of infundibulo-neurohypophysitis. Further biochemical, genetic, and imaging tests excluded secondary AVP-D causes.The patient was subsequently started on oral desmopressin, showing prompt response. After a follow-up of 20 months, he remained well-controlled with isolated AVP-D. Although molecular and histologic confirmation of SARS-CoV-2 infundibulo-neurohypophysitis could not be investigated, a strong temporal relationship and the absence of an alternative diagnosis rendered plausible the inclusion of AVP-D in the myriad of long COVID manifestations. Further studies with patients recovered from COVID-19 are necessary for a better understanding of the epidemiology, pathophysiology, and clinical course of this very rare endocrine condition.</p>\",\"PeriodicalId\":54303,\"journal\":{\"name\":\"Archives of Endocrinology Metabolism\",\"volume\":\"68 \",\"pages\":\"e240168\"},\"PeriodicalIF\":2.3000,\"publicationDate\":\"2025-04-11\",\"publicationTypes\":\"Journal Article\",\"fieldsOfStudy\":null,\"isOpenAccess\":false,\"openAccessPdf\":\"https://www.ncbi.nlm.nih.gov/pmc/articles/PMC11967181/pdf/\",\"citationCount\":\"0\",\"resultStr\":null,\"platform\":\"Semanticscholar\",\"paperid\":null,\"PeriodicalName\":\"Archives of Endocrinology Metabolism\",\"FirstCategoryId\":\"3\",\"ListUrlMain\":\"https://doi.org/10.20945/2359-4292-2024-0168\",\"RegionNum\":4,\"RegionCategory\":\"医学\",\"ArticlePicture\":[],\"TitleCN\":null,\"AbstractTextCN\":null,\"PMCID\":null,\"EPubDate\":\"\",\"PubModel\":\"\",\"JCR\":\"Q4\",\"JCRName\":\"ENDOCRINOLOGY & METABOLISM\",\"Score\":null,\"Total\":0}","platform":"Semanticscholar","paperid":null,"PeriodicalName":"Archives of Endocrinology Metabolism","FirstCategoryId":"3","ListUrlMain":"https://doi.org/10.20945/2359-4292-2024-0168","RegionNum":4,"RegionCategory":"医学","ArticlePicture":[],"TitleCN":null,"AbstractTextCN":null,"PMCID":null,"EPubDate":"","PubModel":"","JCR":"Q4","JCRName":"ENDOCRINOLOGY & METABOLISM","Score":null,"Total":0}
引用次数: 0

摘要

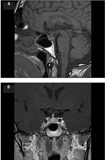
长冠状病毒病的定义是在COVID-19之后出现的体征、症状和条件,可能影响多个器官和系统。精氨酸-抗利尿素缺乏症;中心性尿崩症是COVID-19和SARS-CoV-2免疫接种后非常罕见的并发症。从PubMed检索截至2024年2月发表的关于AVP-D和long COVID的病例报告、原始研究和评论。一名47岁男性在轻度COVID-19发作8周后出现多饮、多尿、记忆丧失和精神雾。他过去的个人和家族病史没有什么特别之处。生化评价与低尿渗透压和24小时尿量10,350 mL有关。垂体基底前叶评价正常。由于出现高钠血症、高血清渗透压和低尿渗透压,开始进行水剥夺试验,2小时后中断。鼻内降压素20 μg后,尿渗透压显著升高。垂体造影增强MRI提示垂体神经炎。进一步的生化、遗传和影像学检查排除继发性AVP-D原因。患者随后开始口服去氨加压素,反应迅速。在20个月的随访后,他的AVP-D控制良好。尽管尚无法对SARS-CoV-2大泡神经垂体炎的分子和组织学证实进行研究,但其强烈的时间关系和缺乏替代诊断使得AVP-D在无数长期COVID表现中包含似乎是合理的。为了更好地了解这种非常罕见的内分泌疾病的流行病学、病理生理学和临床过程,有必要对COVID-19康复患者进行进一步研究。
本文章由计算机程序翻译,如有差异,请以英文原文为准。

Arginine-vasopressin deficiency due to long COVID-associated infundibulo-neurohypophysitis.

Arginine-vasopressin deficiency due to long COVID-associated infundibulo-neurohypophysitis.

Long COVID is defined by the occurrence of signs, symptoms, and conditions that develop after COVID-19 and may affect several organs and systems. Arginine-vasopressin deficiency (AVP-D; central diabetes insipidus) is a very rare complication of COVID-19 and SARS-CoV-2 immunization. Case reports, original studies, and reviews on AVP-D and long COVID published until February 2024 were retrieved from PubMed. A 47-year-old man presented with polydipsia, polyuria, memory loss, and mental fog 8 weeks after an episode of mild COVID-19. His past personal and family medical history were unremarkable. Biochemical evaluation was relevant for low urine osmolality and a 24-hour urine volume of 10,350 mL. Basal anterior pituitary evaluation was normal. A water deprivation test was started and interrupted after 2 hours due to the development of hypernatremia, high serum osmolality, and low urine osmolality. Urine osmolality significantly increased after intranasal desmopressin 20 μg. Contrast-enhanced pituitary MRI was suggestive of infundibulo-neurohypophysitis. Further biochemical, genetic, and imaging tests excluded secondary AVP-D causes.The patient was subsequently started on oral desmopressin, showing prompt response. After a follow-up of 20 months, he remained well-controlled with isolated AVP-D. Although molecular and histologic confirmation of SARS-CoV-2 infundibulo-neurohypophysitis could not be investigated, a strong temporal relationship and the absence of an alternative diagnosis rendered plausible the inclusion of AVP-D in the myriad of long COVID manifestations. Further studies with patients recovered from COVID-19 are necessary for a better understanding of the epidemiology, pathophysiology, and clinical course of this very rare endocrine condition.

求助全文
通过发布文献求助,成功后即可免费获取论文全文。 去求助
来源期刊
Archives of Endocrinology Metabolism
Archives of Endocrinology Metabolism Medicine-Endocrinology, Diabetes and Metabolism
CiteScore
2.90
自引率
5.90%
发文量
107
审稿时长
7 weeks
期刊介绍: The Archives of Endocrinology and Metabolism - AE&M – is the official journal of the Brazilian Society of Endocrinology and Metabolism - SBEM, which is affiliated with the Brazilian Medical Association. Edited since 1951, the AE&M aims at publishing articles on scientific themes in the basic translational and clinical area of Endocrinology and Metabolism. The printed version AE&M is published in 6 issues/year. The full electronic issue is open access in the SciELO - Scientific Electronic Library Online e at the AE&M site: www.aem-sbem.com. From volume 59 on, the name was changed to Archives of Endocrinology and Metabolism, and it became mandatory for manuscripts to be submitted in English for the online issue. However, for the printed issue it is still optional for the articles to be sent in English or Portuguese. The journal is published six times a year, with one issue every two months.
×
引用
GB/T 7714-2015
复制
MLA
复制
APA
复制
导出至
BibTeX EndNote RefMan NoteFirst NoteExpress
×
提示
您的信息不完整,为了账户安全,请先补充。
现在去补充
×
提示
您因"违规操作"
具体请查看互助需知
我知道了
×
提示
确定
请完成安全验证×
copy
已复制链接
快去分享给好友吧!
我知道了
右上角分享
点击右上角分享
0
联系我们:info@booksci.cn Book学术提供免费学术资源搜索服务,方便国内外学者检索中英文文献。致力于提供最便捷和优质的服务体验。 Copyright © 2023 布克学术 All rights reserved.
京ICP备2023020795号-1
ghs 京公网安备 11010802042870号
Book学术文献互助
Book学术文献互助群
群 号:604180095
Book学术官方微信