宫内人工授精后葡萄胎并发胎儿1例。

IF 1.9 Q3 OBSTETRICS & GYNECOLOGY
Cynthia Lopes Pereira de Borborema, Eduardo Oliveira Pacheco, Aley Talans, Lucas Rios Torres, Angela Hissae Motoyama Caiado, Felipe Lazar Junior, Ulysses Dos Santos Torres, Giuseppe D'Ippolito
{"title":"宫内人工授精后葡萄胎并发胎儿1例。","authors":"Cynthia Lopes Pereira de Borborema, Eduardo Oliveira Pacheco, Aley Talans, Lucas Rios Torres, Angela Hissae Motoyama Caiado, Felipe Lazar Junior, Ulysses Dos Santos Torres, Giuseppe D'Ippolito","doi":"10.5935/1518-0557.20250011","DOIUrl":null,"url":null,"abstract":"<p><p>Gestational trophoblastic diseases (GTD) comprise a heterogeneous group of disorders arising from genetic anomalies occurring during fertilization in twin pregnancies and often may be associated with assisted reproductive techniques. An exceedingly rare presentation of GTD is a twin pregnancy hydatidiform mole with a co-existing fetus, condition which may be an important cause of complications for the mother and the fetus. A 36-year-old woman (G2, P0, A1) underwent a friendly controlled ovarian stimulation (COS) followed by intrauterine insemination (IUI) for assisted reproductive purposes, resulting in a twin pregnancy initially characterized by two gestational sacs. However, one sac failed to progress and instead degenerated into molar trophoblastic disease, while the other sustained a normal fetus with regular growth. At 33 weeks gestation, the patient developed preeclampsia, necessitating delivery via cesarean section at a tertiary care facility. Reproductive-assisted procedures may be linked to cases of trophoblastic disease. Additionally, the presence of cystic lesions warrants a wide differential diagnosis, with magnetic resonance imaging serving as a valuable tool for accurate assessment and differentiation of structures.</p>","PeriodicalId":46364,"journal":{"name":"Jornal Brasileiro de Reproducao Assistida","volume":" ","pages":"403-406"},"PeriodicalIF":1.9000,"publicationDate":"2025-07-30","publicationTypes":"Journal Article","fieldsOfStudy":null,"isOpenAccess":false,"openAccessPdf":"https://www.ncbi.nlm.nih.gov/pmc/articles/PMC12225151/pdf/","citationCount":"0","resultStr":"{\"title\":\"Hydatidiform Mole and coexisting fetus following intrauterine insemination: a case report.\",\"authors\":\"Cynthia Lopes Pereira de Borborema, Eduardo Oliveira Pacheco, Aley Talans, Lucas Rios Torres, Angela Hissae Motoyama Caiado, Felipe Lazar Junior, Ulysses Dos Santos Torres, Giuseppe D'Ippolito\",\"doi\":\"10.5935/1518-0557.20250011\",\"DOIUrl\":null,\"url\":null,\"abstract\":\"<p><p>Gestational trophoblastic diseases (GTD) comprise a heterogeneous group of disorders arising from genetic anomalies occurring during fertilization in twin pregnancies and often may be associated with assisted reproductive techniques. An exceedingly rare presentation of GTD is a twin pregnancy hydatidiform mole with a co-existing fetus, condition which may be an important cause of complications for the mother and the fetus. A 36-year-old woman (G2, P0, A1) underwent a friendly controlled ovarian stimulation (COS) followed by intrauterine insemination (IUI) for assisted reproductive purposes, resulting in a twin pregnancy initially characterized by two gestational sacs. However, one sac failed to progress and instead degenerated into molar trophoblastic disease, while the other sustained a normal fetus with regular growth. At 33 weeks gestation, the patient developed preeclampsia, necessitating delivery via cesarean section at a tertiary care facility. Reproductive-assisted procedures may be linked to cases of trophoblastic disease. Additionally, the presence of cystic lesions warrants a wide differential diagnosis, with magnetic resonance imaging serving as a valuable tool for accurate assessment and differentiation of structures.</p>\",\"PeriodicalId\":46364,\"journal\":{\"name\":\"Jornal Brasileiro de Reproducao Assistida\",\"volume\":\" \",\"pages\":\"403-406\"},\"PeriodicalIF\":1.9000,\"publicationDate\":\"2025-07-30\",\"publicationTypes\":\"Journal Article\",\"fieldsOfStudy\":null,\"isOpenAccess\":false,\"openAccessPdf\":\"https://www.ncbi.nlm.nih.gov/pmc/articles/PMC12225151/pdf/\",\"citationCount\":\"0\",\"resultStr\":null,\"platform\":\"Semanticscholar\",\"paperid\":null,\"PeriodicalName\":\"Jornal Brasileiro de Reproducao Assistida\",\"FirstCategoryId\":\"1085\",\"ListUrlMain\":\"https://doi.org/10.5935/1518-0557.20250011\",\"RegionNum\":0,\"RegionCategory\":null,\"ArticlePicture\":[],\"TitleCN\":null,\"AbstractTextCN\":null,\"PMCID\":null,\"EPubDate\":\"\",\"PubModel\":\"\",\"JCR\":\"Q3\",\"JCRName\":\"OBSTETRICS & GYNECOLOGY\",\"Score\":null,\"Total\":0}","platform":"Semanticscholar","paperid":null,"PeriodicalName":"Jornal Brasileiro de Reproducao Assistida","FirstCategoryId":"1085","ListUrlMain":"https://doi.org/10.5935/1518-0557.20250011","RegionNum":0,"RegionCategory":null,"ArticlePicture":[],"TitleCN":null,"AbstractTextCN":null,"PMCID":null,"EPubDate":"","PubModel":"","JCR":"Q3","JCRName":"OBSTETRICS & GYNECOLOGY","Score":null,"Total":0}
引用次数: 0

摘要

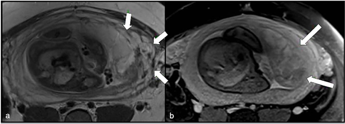
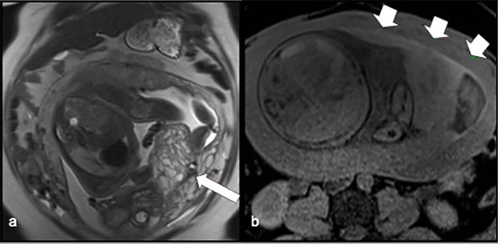
妊娠滋养细胞疾病(GTD)包括由双胎妊娠受精期间发生的遗传异常引起的异质性疾病,通常可能与辅助生殖技术有关。一种极其罕见的GTD的表现是双妊娠葡萄胎与胎儿共存,这种情况可能是母亲和胎儿并发症的重要原因。一名36岁的女性(G2, P0, A1)接受了友好的卵巢控制刺激(COS),然后进行了宫内人工授精(IUI)以辅助生殖为目的,导致双胎妊娠,最初的特征是两个妊娠囊。然而,一个囊未能发育,而是退化为磨牙滋养细胞疾病,而另一个则维持正常胎儿的正常生长。在妊娠33周时,患者出现先兆子痫,需要在三级医疗机构进行剖宫产。生殖辅助手术可能与滋养细胞疾病有关。此外,囊性病变的存在需要广泛的鉴别诊断,磁共振成像是准确评估和区分结构的有价值的工具。
本文章由计算机程序翻译,如有差异,请以英文原文为准。

Hydatidiform Mole and coexisting fetus following intrauterine insemination: a case report.

Hydatidiform Mole and coexisting fetus following intrauterine insemination: a case report.

Hydatidiform Mole and coexisting fetus following intrauterine insemination: a case report.

Hydatidiform Mole and coexisting fetus following intrauterine insemination: a case report.

Gestational trophoblastic diseases (GTD) comprise a heterogeneous group of disorders arising from genetic anomalies occurring during fertilization in twin pregnancies and often may be associated with assisted reproductive techniques. An exceedingly rare presentation of GTD is a twin pregnancy hydatidiform mole with a co-existing fetus, condition which may be an important cause of complications for the mother and the fetus. A 36-year-old woman (G2, P0, A1) underwent a friendly controlled ovarian stimulation (COS) followed by intrauterine insemination (IUI) for assisted reproductive purposes, resulting in a twin pregnancy initially characterized by two gestational sacs. However, one sac failed to progress and instead degenerated into molar trophoblastic disease, while the other sustained a normal fetus with regular growth. At 33 weeks gestation, the patient developed preeclampsia, necessitating delivery via cesarean section at a tertiary care facility. Reproductive-assisted procedures may be linked to cases of trophoblastic disease. Additionally, the presence of cystic lesions warrants a wide differential diagnosis, with magnetic resonance imaging serving as a valuable tool for accurate assessment and differentiation of structures.

求助全文
通过发布文献求助,成功后即可免费获取论文全文。 去求助
来源期刊
CiteScore
3.30
自引率
6.70%
发文量
56
×
引用
GB/T 7714-2015
复制
MLA
复制
APA
复制
导出至
BibTeX EndNote RefMan NoteFirst NoteExpress
×
提示
您的信息不完整,为了账户安全,请先补充。
现在去补充
×
提示
您因"违规操作"
具体请查看互助需知
我知道了
×
提示
确定
请完成安全验证×
copy
已复制链接
快去分享给好友吧!
我知道了
右上角分享
点击右上角分享
0
联系我们:info@booksci.cn Book学术提供免费学术资源搜索服务,方便国内外学者检索中英文文献。致力于提供最便捷和优质的服务体验。 Copyright © 2023 布克学术 All rights reserved.
京ICP备2023020795号-1
ghs 京公网安备 11010802042870号
Book学术文献互助
Book学术文献互助群
群 号:604180095
Book学术官方微信