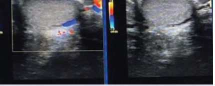
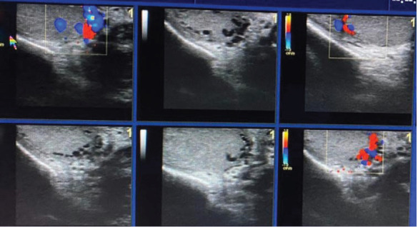
睾丸内精索静脉曲张伴睾丸外精索静脉曲张的区域分布。

IF 0.9
Northern clinics of Istanbul Pub Date : 2025-04-21 eCollection Date: 2025-01-01 DOI:10.14744/nci.2023.54614
Yusuf Aksu
{"title":"睾丸内精索静脉曲张伴睾丸外精索静脉曲张的区域分布。","authors":"Yusuf Aksu","doi":"10.14744/nci.2023.54614","DOIUrl":null,"url":null,"abstract":"<p><strong>Objective: </strong>Only few cases of intratesticular varicocele (ITV) have been reported in the literature, mostly as single cases or a case series. In this study, we aimed to describe the topographic distribution of ITVs in the testicular parenchyma and the correlation between ITV accompanying extratesticular varicocele (ETV) and age.</p><p><strong>Methods: </strong>Approximately 10,537 patients with scrotal pain and swelling who visited our hospital between August 2014 and May 2020 and underwent scrotal colour Doppler ultrasonography were included in this study. Of these patients, 2285 had ETV, and the remaining patients (n=8252) had other testicular pathologies such as acute-chronic torsion, testicular mass, orchitis, significant testicular atrophy, or isolated extratesticular varicocele, and were thus excluded from the study. Among the 2285 patients, only 20 had ITV.</p><p><strong>Results: </strong>Of the 20 patients with ITV, 2 had isolated ITV, and the remaining had ITV accompanying ETV, of whom only one had a right ETV. One patient had left testicular atrophy accompanying an isolated ITV. Among the ITV cases, subcapsular ITV was the most common (n=13), followed by central ITV (n=4) and subcapsular and hilar ITV (n=3). The patients' ages ranged from 18 to 30 years.</p><p><strong>Conclusion: </strong>ITV is a rare clinical entity that occurs only in young men, with most cases accompanying ETV. ITV is generally peripherally located in the testicular parenchyma. In this study, no correlations were found between ITV, ETV, and age. As in this study, testicular atrophy is rarely observed in patients with ITV. No studies have presented ITV cases with spermiogram analysis results. Thus, the effect of ITV on male reproductive fertility is still unknown, and further study on this topic is needed.</p>","PeriodicalId":94347,"journal":{"name":"Northern clinics of Istanbul","volume":"12 2","pages":"173-178"},"PeriodicalIF":0.9000,"publicationDate":"2025-04-21","publicationTypes":"Journal Article","fieldsOfStudy":null,"isOpenAccess":false,"openAccessPdf":"https://www.ncbi.nlm.nih.gov/pmc/articles/PMC12050999/pdf/","citationCount":"0","resultStr":"{\"title\":\"Regional distribution of intratesticular varicoceles accompanying extratesticular varicocele cases.\",\"authors\":\"Yusuf Aksu\",\"doi\":\"10.14744/nci.2023.54614\",\"DOIUrl\":null,\"url\":null,\"abstract\":\"<p><strong>Objective: </strong>Only few cases of intratesticular varicocele (ITV) have been reported in the literature, mostly as single cases or a case series. In this study, we aimed to describe the topographic distribution of ITVs in the testicular parenchyma and the correlation between ITV accompanying extratesticular varicocele (ETV) and age.</p><p><strong>Methods: </strong>Approximately 10,537 patients with scrotal pain and swelling who visited our hospital between August 2014 and May 2020 and underwent scrotal colour Doppler ultrasonography were included in this study. Of these patients, 2285 had ETV, and the remaining patients (n=8252) had other testicular pathologies such as acute-chronic torsion, testicular mass, orchitis, significant testicular atrophy, or isolated extratesticular varicocele, and were thus excluded from the study. Among the 2285 patients, only 20 had ITV.</p><p><strong>Results: </strong>Of the 20 patients with ITV, 2 had isolated ITV, and the remaining had ITV accompanying ETV, of whom only one had a right ETV. One patient had left testicular atrophy accompanying an isolated ITV. Among the ITV cases, subcapsular ITV was the most common (n=13), followed by central ITV (n=4) and subcapsular and hilar ITV (n=3). The patients' ages ranged from 18 to 30 years.</p><p><strong>Conclusion: </strong>ITV is a rare clinical entity that occurs only in young men, with most cases accompanying ETV. ITV is generally peripherally located in the testicular parenchyma. In this study, no correlations were found between ITV, ETV, and age. As in this study, testicular atrophy is rarely observed in patients with ITV. No studies have presented ITV cases with spermiogram analysis results. Thus, the effect of ITV on male reproductive fertility is still unknown, and further study on this topic is needed.</p>\",\"PeriodicalId\":94347,\"journal\":{\"name\":\"Northern clinics of Istanbul\",\"volume\":\"12 2\",\"pages\":\"173-178\"},\"PeriodicalIF\":0.9000,\"publicationDate\":\"2025-04-21\",\"publicationTypes\":\"Journal Article\",\"fieldsOfStudy\":null,\"isOpenAccess\":false,\"openAccessPdf\":\"https://www.ncbi.nlm.nih.gov/pmc/articles/PMC12050999/pdf/\",\"citationCount\":\"0\",\"resultStr\":null,\"platform\":\"Semanticscholar\",\"paperid\":null,\"PeriodicalName\":\"Northern clinics of Istanbul\",\"FirstCategoryId\":\"1085\",\"ListUrlMain\":\"https://doi.org/10.14744/nci.2023.54614\",\"RegionNum\":0,\"RegionCategory\":null,\"ArticlePicture\":[],\"TitleCN\":null,\"AbstractTextCN\":null,\"PMCID\":null,\"EPubDate\":\"2025/1/1 0:00:00\",\"PubModel\":\"eCollection\",\"JCR\":\"\",\"JCRName\":\"\",\"Score\":null,\"Total\":0}","platform":"Semanticscholar","paperid":null,"PeriodicalName":"Northern clinics of Istanbul","FirstCategoryId":"1085","ListUrlMain":"https://doi.org/10.14744/nci.2023.54614","RegionNum":0,"RegionCategory":null,"ArticlePicture":[],"TitleCN":null,"AbstractTextCN":null,"PMCID":null,"EPubDate":"2025/1/1 0:00:00","PubModel":"eCollection","JCR":"","JCRName":"","Score":null,"Total":0}
引用次数: 0

摘要

目的:文献报道的睾丸内精索静脉曲张(ITV)病例很少,多为单个病例或系列病例。在这项研究中,我们旨在描述ITV在睾丸实质的地形分布,以及ITV伴睾丸外精索静脉曲张(ETV)与年龄的相关性。方法:选取2014年8月至2020年5月在我院就诊并行阴囊彩色多普勒超声检查的阴囊疼痛肿胀患者约10537例。其中2285例患者有ETV,其余患者(n=8252)有其他睾丸病理,如急慢性扭转、睾丸肿块、睾丸炎、显著睾丸萎缩或孤立性睾丸外精索静脉曲张,因此被排除在研究之外。2285例患者中,仅有20例有ITV。结果:20例ITV患者中,2例为孤立性ITV,其余为ITV合并ETV,其中仅有1例为右ETV。1例患者左侧睾丸萎缩伴孤立性ITV。在ITV病例中,以包膜下ITV最常见(n=13),其次是中央ITV (n=4),包膜下和门部ITV (n=3)。患者年龄从18岁到30岁不等。结论:ITV是一种罕见的临床疾病,仅发生于年轻男性,大多数病例伴发ETV。ITV通常位于睾丸实质周围。在本研究中,ITV、ETV与年龄没有相关性。在本研究中,ITV患者很少观察到睾丸萎缩。没有研究显示有精子图分析结果的ITV病例。因此,ITV对男性生殖能力的影响尚不清楚,需要进一步研究。
本文章由计算机程序翻译,如有差异,请以英文原文为准。

Regional distribution of intratesticular varicoceles accompanying extratesticular varicocele cases.

Regional distribution of intratesticular varicoceles accompanying extratesticular varicocele cases.

Regional distribution of intratesticular varicoceles accompanying extratesticular varicocele cases.

Regional distribution of intratesticular varicoceles accompanying extratesticular varicocele cases.

Objective: Only few cases of intratesticular varicocele (ITV) have been reported in the literature, mostly as single cases or a case series. In this study, we aimed to describe the topographic distribution of ITVs in the testicular parenchyma and the correlation between ITV accompanying extratesticular varicocele (ETV) and age.

Methods: Approximately 10,537 patients with scrotal pain and swelling who visited our hospital between August 2014 and May 2020 and underwent scrotal colour Doppler ultrasonography were included in this study. Of these patients, 2285 had ETV, and the remaining patients (n=8252) had other testicular pathologies such as acute-chronic torsion, testicular mass, orchitis, significant testicular atrophy, or isolated extratesticular varicocele, and were thus excluded from the study. Among the 2285 patients, only 20 had ITV.

Results: Of the 20 patients with ITV, 2 had isolated ITV, and the remaining had ITV accompanying ETV, of whom only one had a right ETV. One patient had left testicular atrophy accompanying an isolated ITV. Among the ITV cases, subcapsular ITV was the most common (n=13), followed by central ITV (n=4) and subcapsular and hilar ITV (n=3). The patients' ages ranged from 18 to 30 years.

Conclusion: ITV is a rare clinical entity that occurs only in young men, with most cases accompanying ETV. ITV is generally peripherally located in the testicular parenchyma. In this study, no correlations were found between ITV, ETV, and age. As in this study, testicular atrophy is rarely observed in patients with ITV. No studies have presented ITV cases with spermiogram analysis results. Thus, the effect of ITV on male reproductive fertility is still unknown, and further study on this topic is needed.

求助全文
通过发布文献求助,成功后即可免费获取论文全文。 去求助
来源期刊
自引率
0.00%
发文量
0
×
引用
GB/T 7714-2015
复制
MLA
复制
APA
复制
导出至
BibTeX EndNote RefMan NoteFirst NoteExpress
×
提示
您的信息不完整,为了账户安全,请先补充。
现在去补充
×
提示
您因"违规操作"
具体请查看互助需知
我知道了
×
提示
确定
请完成安全验证×
copy
已复制链接
快去分享给好友吧!
我知道了
右上角分享
点击右上角分享
0
联系我们:info@booksci.cn Book学术提供免费学术资源搜索服务,方便国内外学者检索中英文文献。致力于提供最便捷和优质的服务体验。 Copyright © 2023 布克学术 All rights reserved.
京ICP备2023020795号-1
ghs 京公网安备 11010802042870号
Book学术文献互助
Book学术文献互助群
群 号:604180095
Book学术官方微信