阿米巴肝脓肿的血管并发症——计算机断层扫描病例系列并文献复习。

IF 2.3 Q3 EMERGENCY MEDICINE
Bhavna Arora, Lovleen Kakkar, Sachin Mahal
{"title":"阿米巴肝脓肿的血管并发症——计算机断层扫描病例系列并文献复习。","authors":"Bhavna Arora, Lovleen Kakkar, Sachin Mahal","doi":"10.4103/tjem.tjem_108_24","DOIUrl":null,"url":null,"abstract":"<p><p>Amebiasis is a parasitic infection with amebic liver abscess (ALA) being the most common extraintestinal manifestation. Common complications of ALA include rupture into the pleural, pericardial, or peritoneal cavity. Uncommonly, they can cause vascular complications such as thrombosis of the hepatic vein and inferior vena cava which may further extend to the right atrium or may embolize resulting in pulmonary thromboembolism. In this study, we report three patients with vascular complications in ALA. The presence of vascular pathology in ALAs should not be missed. With its detection and prompt treatment, the progression of vascular complications can be prevented.</p>","PeriodicalId":46536,"journal":{"name":"Turkish Journal of Emergency Medicine","volume":"25 2","pages":"143-146"},"PeriodicalIF":2.3000,"publicationDate":"2025-04-01","publicationTypes":"Journal Article","fieldsOfStudy":null,"isOpenAccess":false,"openAccessPdf":"https://www.ncbi.nlm.nih.gov/pmc/articles/PMC12002144/pdf/","citationCount":"0","resultStr":"{\"title\":\"Vascular complications of amebic liver abscess - Computed tomography case series with review of the literature.\",\"authors\":\"Bhavna Arora, Lovleen Kakkar, Sachin Mahal\",\"doi\":\"10.4103/tjem.tjem_108_24\",\"DOIUrl\":null,\"url\":null,\"abstract\":\"<p><p>Amebiasis is a parasitic infection with amebic liver abscess (ALA) being the most common extraintestinal manifestation. Common complications of ALA include rupture into the pleural, pericardial, or peritoneal cavity. Uncommonly, they can cause vascular complications such as thrombosis of the hepatic vein and inferior vena cava which may further extend to the right atrium or may embolize resulting in pulmonary thromboembolism. In this study, we report three patients with vascular complications in ALA. The presence of vascular pathology in ALAs should not be missed. With its detection and prompt treatment, the progression of vascular complications can be prevented.</p>\",\"PeriodicalId\":46536,\"journal\":{\"name\":\"Turkish Journal of Emergency Medicine\",\"volume\":\"25 2\",\"pages\":\"143-146\"},\"PeriodicalIF\":2.3000,\"publicationDate\":\"2025-04-01\",\"publicationTypes\":\"Journal Article\",\"fieldsOfStudy\":null,\"isOpenAccess\":false,\"openAccessPdf\":\"https://www.ncbi.nlm.nih.gov/pmc/articles/PMC12002144/pdf/\",\"citationCount\":\"0\",\"resultStr\":null,\"platform\":\"Semanticscholar\",\"paperid\":null,\"PeriodicalName\":\"Turkish Journal of Emergency Medicine\",\"FirstCategoryId\":\"1085\",\"ListUrlMain\":\"https://doi.org/10.4103/tjem.tjem_108_24\",\"RegionNum\":0,\"RegionCategory\":null,\"ArticlePicture\":[],\"TitleCN\":null,\"AbstractTextCN\":null,\"PMCID\":null,\"EPubDate\":\"\",\"PubModel\":\"\",\"JCR\":\"Q3\",\"JCRName\":\"EMERGENCY MEDICINE\",\"Score\":null,\"Total\":0}","platform":"Semanticscholar","paperid":null,"PeriodicalName":"Turkish Journal of Emergency Medicine","FirstCategoryId":"1085","ListUrlMain":"https://doi.org/10.4103/tjem.tjem_108_24","RegionNum":0,"RegionCategory":null,"ArticlePicture":[],"TitleCN":null,"AbstractTextCN":null,"PMCID":null,"EPubDate":"","PubModel":"","JCR":"Q3","JCRName":"EMERGENCY MEDICINE","Score":null,"Total":0}
引用次数: 0

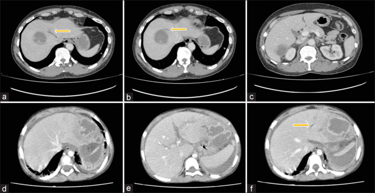
摘要

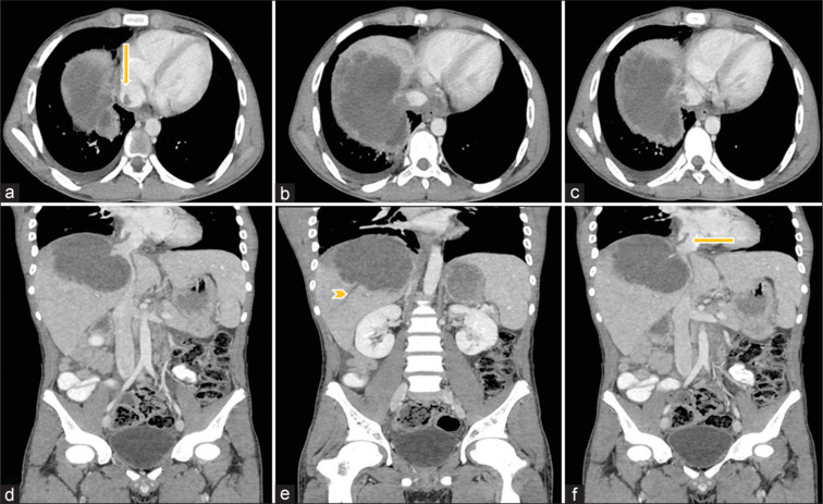
阿米巴病是一种寄生虫感染,阿米巴肝脓肿(ALA)是最常见的肠外表现。ALA的常见并发症包括破裂进入胸膜、心包或腹膜腔。罕见的是,它们会引起血管并发症,如肝静脉和下腔静脉血栓形成,这些静脉可能进一步延伸到右心房或栓塞导致肺血栓栓塞。在本研究中,我们报告了三例ALA患者的血管并发症。血管病变的存在不应错过。通过及时发现和治疗,可以预防血管并发症的发展。
本文章由计算机程序翻译,如有差异,请以英文原文为准。

Vascular complications of amebic liver abscess - Computed tomography case series with review of the literature.

Vascular complications of amebic liver abscess - Computed tomography case series with review of the literature.

Vascular complications of amebic liver abscess - Computed tomography case series with review of the literature.

Amebiasis is a parasitic infection with amebic liver abscess (ALA) being the most common extraintestinal manifestation. Common complications of ALA include rupture into the pleural, pericardial, or peritoneal cavity. Uncommonly, they can cause vascular complications such as thrombosis of the hepatic vein and inferior vena cava which may further extend to the right atrium or may embolize resulting in pulmonary thromboembolism. In this study, we report three patients with vascular complications in ALA. The presence of vascular pathology in ALAs should not be missed. With its detection and prompt treatment, the progression of vascular complications can be prevented.

求助全文
通过发布文献求助,成功后即可免费获取论文全文。 去求助
来源期刊
CiteScore
1.70
自引率
0.00%
发文量
30
审稿时长
22 weeks
期刊介绍: The Turkish Journal of Emergency Medicine (Turk J Emerg Med) is an International, peer-reviewed, open-access journal that publishes clinical and experimental trials, case reports, invited reviews, case images, letters to the Editor, and interesting research conducted in all fields of Emergency Medicine. The Journal is the official scientific publication of the Emergency Medicine Association of Turkey (EMAT) and is printed four times a year, in January, April, July and October. The language of the journal is English. The Journal is based on independent and unbiased double-blinded peer-reviewed principles. Only unpublished papers that are not under review for publication elsewhere can be submitted. The authors are responsible for the scientific content of the material to be published. The Turkish Journal of Emergency Medicine reserves the right to request any research materials on which the paper is based. The Editorial Board of the Turkish Journal of Emergency Medicine and the Publisher adheres to the principles of the International Council of Medical Journal Editors, the World Association of Medical Editors, the Council of Science Editors, the Committee on Publication Ethics, the US National Library of Medicine, the US Office of Research Integrity, the European Association of Science Editors, and the International Society of Managing and Technical Editors.
×
引用
GB/T 7714-2015
复制
MLA
复制
APA
复制
导出至
BibTeX EndNote RefMan NoteFirst NoteExpress
×
提示
您的信息不完整,为了账户安全,请先补充。
现在去补充
×
提示
您因"违规操作"
具体请查看互助需知
我知道了
×
提示
确定
请完成安全验证×
copy
已复制链接
快去分享给好友吧!
我知道了
右上角分享
点击右上角分享
0
联系我们:info@booksci.cn Book学术提供免费学术资源搜索服务,方便国内外学者检索中英文文献。致力于提供最便捷和优质的服务体验。 Copyright © 2023 布克学术 All rights reserved.
京ICP备2023020795号-1
ghs 京公网安备 11010802042870号
Book学术文献互助
Book学术文献互助群
群 号:604180095
Book学术官方微信