机器人辅助胃部分切除术联合Billroth I吻合术治疗儿童胃丛状纤维黏液瘤1例报告并文献复习。

IF 0.7 Q3 MEDICINE, GENERAL & INTERNAL
AME Case Reports Pub Date : 2025-04-03 eCollection Date: 2025-01-01 DOI:10.21037/acr-24-214
Zhihua Ye, Jixiao Zeng, Huizhen Lu, Fei Liu, Xiaogang Xu, Yuanyuan Luo, Hong Zhang, Menglong Lan, Boyuan Tao, Zijian Liang, Lini Wen
{"title":"机器人辅助胃部分切除术联合Billroth I吻合术治疗儿童胃丛状纤维黏液瘤1例报告并文献复习。","authors":"Zhihua Ye, Jixiao Zeng, Huizhen Lu, Fei Liu, Xiaogang Xu, Yuanyuan Luo, Hong Zhang, Menglong Lan, Boyuan Tao, Zijian Liang, Lini Wen","doi":"10.21037/acr-24-214","DOIUrl":null,"url":null,"abstract":"<p><strong>Background: </strong>Plexiform fibromyxoma (PF) is an extremely rare mesenchymal tumor, which was first reported by Takahashi <i>et al.</i> in 2007 and named by the World Health Organization (WHO) in 2010 in the classification of digestive system tumors. Currently, only 123 cases have been reported globally, and complete surgical resection is the only effective treatment. On October 20, 2023, we successfully performed a robot-assisted partial gastrectomy with Billroth I anastomosis to remove gastric PF. Since the operation, the child has recovered well. After literature search and novelty confirmation, it was confirmed to be the first case globally (novelty confirmation number: 44011120230247C). Based on this, we reviewed relevant literature and summarized the surgical experience of this case.</p><p><strong>Case description: </strong>A 7-year-old Chinese female patient was admitted to Guangzhou Women and Children's Medical Center in October 2023. Due to \"pallor for 4 months and the discovery of a tumor in the gastric antrum over 2 weeks ago\", an enhancement CT scan revealed a mass in her gastric antrum, approximately 4.0 cm × 3.5 cm × 3.0 cm in size, but its nature remains to be determined. On electronic gastroscopy, a mass was identified in the gastric antrum and pylorus orifice. It exhibited a smooth surface, with its base located on the lesser curvature side and pylorus. We did robot-assisted partial gastrectomy with Billroth I anastomosis for her to remove the mass. Now it has been 11 months after the operation, and the child has recovered well with no sign of mass recurrence.</p><p><strong>Conclusions: </strong>This study confirms that the robot-assisted partial gastrectomy with Billroth I anastomosis for the treatment of gastric PF in children is safe and feasible, and there are no complications of the operation.</p>","PeriodicalId":29752,"journal":{"name":"AME Case Reports","volume":"9 ","pages":"70"},"PeriodicalIF":0.7000,"publicationDate":"2025-04-03","publicationTypes":"Journal Article","fieldsOfStudy":null,"isOpenAccess":false,"openAccessPdf":"https://www.ncbi.nlm.nih.gov/pmc/articles/PMC12053873/pdf/","citationCount":"0","resultStr":"{\"title\":\"Robot-assisted partial gastrectomy with Billroth I anastomosis for gastric plexiform fibromyxoma in children: the first case report and literature review.\",\"authors\":\"Zhihua Ye, Jixiao Zeng, Huizhen Lu, Fei Liu, Xiaogang Xu, Yuanyuan Luo, Hong Zhang, Menglong Lan, Boyuan Tao, Zijian Liang, Lini Wen\",\"doi\":\"10.21037/acr-24-214\",\"DOIUrl\":null,\"url\":null,\"abstract\":\"<p><strong>Background: </strong>Plexiform fibromyxoma (PF) is an extremely rare mesenchymal tumor, which was first reported by Takahashi <i>et al.</i> in 2007 and named by the World Health Organization (WHO) in 2010 in the classification of digestive system tumors. Currently, only 123 cases have been reported globally, and complete surgical resection is the only effective treatment. On October 20, 2023, we successfully performed a robot-assisted partial gastrectomy with Billroth I anastomosis to remove gastric PF. Since the operation, the child has recovered well. After literature search and novelty confirmation, it was confirmed to be the first case globally (novelty confirmation number: 44011120230247C). Based on this, we reviewed relevant literature and summarized the surgical experience of this case.</p><p><strong>Case description: </strong>A 7-year-old Chinese female patient was admitted to Guangzhou Women and Children's Medical Center in October 2023. Due to \\\"pallor for 4 months and the discovery of a tumor in the gastric antrum over 2 weeks ago\\\", an enhancement CT scan revealed a mass in her gastric antrum, approximately 4.0 cm × 3.5 cm × 3.0 cm in size, but its nature remains to be determined. On electronic gastroscopy, a mass was identified in the gastric antrum and pylorus orifice. It exhibited a smooth surface, with its base located on the lesser curvature side and pylorus. We did robot-assisted partial gastrectomy with Billroth I anastomosis for her to remove the mass. Now it has been 11 months after the operation, and the child has recovered well with no sign of mass recurrence.</p><p><strong>Conclusions: </strong>This study confirms that the robot-assisted partial gastrectomy with Billroth I anastomosis for the treatment of gastric PF in children is safe and feasible, and there are no complications of the operation.</p>\",\"PeriodicalId\":29752,\"journal\":{\"name\":\"AME Case Reports\",\"volume\":\"9 \",\"pages\":\"70\"},\"PeriodicalIF\":0.7000,\"publicationDate\":\"2025-04-03\",\"publicationTypes\":\"Journal Article\",\"fieldsOfStudy\":null,\"isOpenAccess\":false,\"openAccessPdf\":\"https://www.ncbi.nlm.nih.gov/pmc/articles/PMC12053873/pdf/\",\"citationCount\":\"0\",\"resultStr\":null,\"platform\":\"Semanticscholar\",\"paperid\":null,\"PeriodicalName\":\"AME Case Reports\",\"FirstCategoryId\":\"1085\",\"ListUrlMain\":\"https://doi.org/10.21037/acr-24-214\",\"RegionNum\":0,\"RegionCategory\":null,\"ArticlePicture\":[],\"TitleCN\":null,\"AbstractTextCN\":null,\"PMCID\":null,\"EPubDate\":\"2025/1/1 0:00:00\",\"PubModel\":\"eCollection\",\"JCR\":\"Q3\",\"JCRName\":\"MEDICINE, GENERAL & INTERNAL\",\"Score\":null,\"Total\":0}","platform":"Semanticscholar","paperid":null,"PeriodicalName":"AME Case Reports","FirstCategoryId":"1085","ListUrlMain":"https://doi.org/10.21037/acr-24-214","RegionNum":0,"RegionCategory":null,"ArticlePicture":[],"TitleCN":null,"AbstractTextCN":null,"PMCID":null,"EPubDate":"2025/1/1 0:00:00","PubModel":"eCollection","JCR":"Q3","JCRName":"MEDICINE, GENERAL & INTERNAL","Score":null,"Total":0}
引用次数: 0

摘要

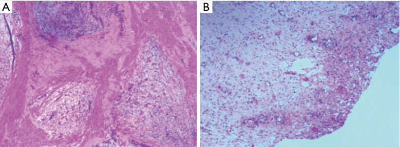
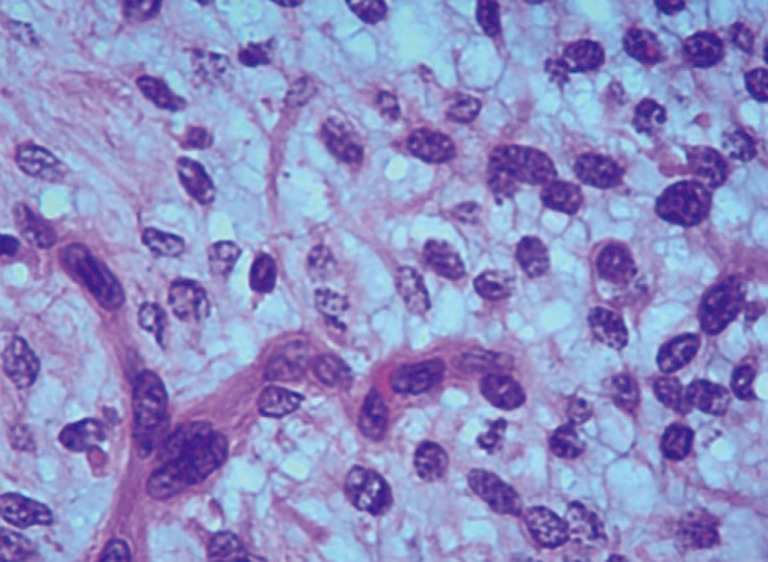
背景:丛状纤维黏液瘤(Plexiform fibromyxoma, PF)是一种极为罕见的间质肿瘤,Takahashi等人于2007年首次报道,2010年被世界卫生组织(WHO)在消化系统肿瘤分类中命名。目前全球仅报道123例,完全手术切除是唯一有效的治疗方法。2023年10月20日,我们成功实施机器人辅助胃部分切除术,采用Billroth I型吻合术切除胃PF,手术后患儿恢复良好。经文献检索及新颖性确认,确认为全球首例(新颖性确认号:44011120230247C)。在此基础上,我们复习相关文献,总结本病例的手术经验。病例描述:一名7岁中国女患者于2023年10月入住广州市妇女儿童医疗中心。由于“面色苍白4个月,2周前发现胃窦肿瘤”,增强CT扫描显示胃窦肿块,大小约为4.0 cm × 3.5 cm × 3.0 cm,但其性质仍有待确定。电子胃镜检查发现胃窦及幽门有肿块。它表面光滑,基部位于小曲率侧和幽门。我们为她做了机器人辅助的胃部分切除术采用比罗氏1号吻合术切除肿块。术后11个月,患儿恢复良好,无肿块复发迹象。结论:本研究证实机器人辅助胃部分切除术联合Billroth I型吻合术治疗儿童胃PF是安全可行的,且无手术并发症。
本文章由计算机程序翻译,如有差异,请以英文原文为准。

Robot-assisted partial gastrectomy with Billroth I anastomosis for gastric plexiform fibromyxoma in children: the first case report and literature review.

Robot-assisted partial gastrectomy with Billroth I anastomosis for gastric plexiform fibromyxoma in children: the first case report and literature review.

Robot-assisted partial gastrectomy with Billroth I anastomosis for gastric plexiform fibromyxoma in children: the first case report and literature review.

Robot-assisted partial gastrectomy with Billroth I anastomosis for gastric plexiform fibromyxoma in children: the first case report and literature review.

Background: Plexiform fibromyxoma (PF) is an extremely rare mesenchymal tumor, which was first reported by Takahashi et al. in 2007 and named by the World Health Organization (WHO) in 2010 in the classification of digestive system tumors. Currently, only 123 cases have been reported globally, and complete surgical resection is the only effective treatment. On October 20, 2023, we successfully performed a robot-assisted partial gastrectomy with Billroth I anastomosis to remove gastric PF. Since the operation, the child has recovered well. After literature search and novelty confirmation, it was confirmed to be the first case globally (novelty confirmation number: 44011120230247C). Based on this, we reviewed relevant literature and summarized the surgical experience of this case.

Case description: A 7-year-old Chinese female patient was admitted to Guangzhou Women and Children's Medical Center in October 2023. Due to "pallor for 4 months and the discovery of a tumor in the gastric antrum over 2 weeks ago", an enhancement CT scan revealed a mass in her gastric antrum, approximately 4.0 cm × 3.5 cm × 3.0 cm in size, but its nature remains to be determined. On electronic gastroscopy, a mass was identified in the gastric antrum and pylorus orifice. It exhibited a smooth surface, with its base located on the lesser curvature side and pylorus. We did robot-assisted partial gastrectomy with Billroth I anastomosis for her to remove the mass. Now it has been 11 months after the operation, and the child has recovered well with no sign of mass recurrence.

Conclusions: This study confirms that the robot-assisted partial gastrectomy with Billroth I anastomosis for the treatment of gastric PF in children is safe and feasible, and there are no complications of the operation.

求助全文
通过发布文献求助,成功后即可免费获取论文全文。 去求助
来源期刊
自引率
0.00%
发文量
0
×
引用
GB/T 7714-2015
复制
MLA
复制
APA
复制
导出至
BibTeX EndNote RefMan NoteFirst NoteExpress
×
提示
您的信息不完整,为了账户安全,请先补充。
现在去补充
×
提示
您因"违规操作"
具体请查看互助需知
我知道了
×
提示
确定
请完成安全验证×
copy
已复制链接
快去分享给好友吧!
我知道了
右上角分享
点击右上角分享
0
联系我们:info@booksci.cn Book学术提供免费学术资源搜索服务,方便国内外学者检索中英文文献。致力于提供最便捷和优质的服务体验。 Copyright © 2023 布克学术 All rights reserved.
京ICP备2023020795号-1
ghs 京公网安备 11010802042870号
Book学术文献互助
Book学术文献互助群
群 号:604180095
Book学术官方微信