基于超声的多种腹部脂肪指标预测颈动脉粥样硬化。

IF 1.5 Q3 RADIOLOGY, NUCLEAR MEDICINE & MEDICAL IMAGING
Journal of Ultrasonography Pub Date : 2025-03-26 eCollection Date: 2025-01-01 DOI:10.15557/JoU.2025.0006
Mohit Jain, Subhasish Panda, Shruti Chandak, Ankur Malhotra, Subhashree Dash, Umme Afifa
{"title":"基于超声的多种腹部脂肪指标预测颈动脉粥样硬化。","authors":"Mohit Jain, Subhasish Panda, Shruti Chandak, Ankur Malhotra, Subhashree Dash, Umme Afifa","doi":"10.15557/JoU.2025.0006","DOIUrl":null,"url":null,"abstract":"<p><strong>Aim: </strong>Abdominal obesity is recognized as the best predictor of cardiovascular disease risk. While body mass index has traditionally been used to measure obesity, recent evidence suggests that visceral adipose tissue may be a better indicator of cardiovascular disease risk. Various surrogate imaging markers of visceral adipose tissue have recently been described, such as posterior right perinephric fat thickness, preperitoneal fat thickness, and the abdominal wall fat index. This study aimed to examine the link between atherosclerosis through measurement of carotid intima-media thickness and markers of abdominal obesity using ultrasonography.</p><p><strong>Material and methods: </strong>This was a hospital-based prospective observational study. Patients with a body mass index of 25-40 were included as cases and those with a body mass index 18.0-24.9 as controls. Posterior right perinephric fat thickness, preperitoneal fat thickness, and abdominal wall fat index were measured and compared with carotid intima-media thickness in cases.</p><p><strong>Results: </strong>A total of 100 cases and 100 age- and sex-matched controls were included. Body mass index did not show any statistically significant correlations with carotid intima-media thickness in this study. Among the visceral adiposity markers, posterior right perinephric fat thickness was the most sensitive and specific predictor of carotid intima-media thickness, while the abdominal wall fat index was the least sensitive and specific.</p><p><strong>Conclusions: </strong>Ultrasonographic markers of visceral adipose tissue, especially posterior right perinephric fat thickness and preperitoneal fat thickness, demonstrate a stronger association with carotid atherosclerosis than body mass index, making them useful predictors, particularly in individuals with high body mass index. These markers can be measured during routine abdominal ultrasounds to screen for atherosclerosis risk in patients with abdominal obesity.</p>","PeriodicalId":45612,"journal":{"name":"Journal of Ultrasonography","volume":"25 100","pages":"20250006"},"PeriodicalIF":1.5000,"publicationDate":"2025-03-26","publicationTypes":"Journal Article","fieldsOfStudy":null,"isOpenAccess":false,"openAccessPdf":"https://www.ncbi.nlm.nih.gov/pmc/articles/PMC11990943/pdf/","citationCount":"0","resultStr":"{\"title\":\"Ultrasonography-based prediction of carotid artery atherosclerosis using multiple abdominal fat indices.\",\"authors\":\"Mohit Jain, Subhasish Panda, Shruti Chandak, Ankur Malhotra, Subhashree Dash, Umme Afifa\",\"doi\":\"10.15557/JoU.2025.0006\",\"DOIUrl\":null,\"url\":null,\"abstract\":\"<p><strong>Aim: </strong>Abdominal obesity is recognized as the best predictor of cardiovascular disease risk. While body mass index has traditionally been used to measure obesity, recent evidence suggests that visceral adipose tissue may be a better indicator of cardiovascular disease risk. Various surrogate imaging markers of visceral adipose tissue have recently been described, such as posterior right perinephric fat thickness, preperitoneal fat thickness, and the abdominal wall fat index. This study aimed to examine the link between atherosclerosis through measurement of carotid intima-media thickness and markers of abdominal obesity using ultrasonography.</p><p><strong>Material and methods: </strong>This was a hospital-based prospective observational study. Patients with a body mass index of 25-40 were included as cases and those with a body mass index 18.0-24.9 as controls. Posterior right perinephric fat thickness, preperitoneal fat thickness, and abdominal wall fat index were measured and compared with carotid intima-media thickness in cases.</p><p><strong>Results: </strong>A total of 100 cases and 100 age- and sex-matched controls were included. Body mass index did not show any statistically significant correlations with carotid intima-media thickness in this study. Among the visceral adiposity markers, posterior right perinephric fat thickness was the most sensitive and specific predictor of carotid intima-media thickness, while the abdominal wall fat index was the least sensitive and specific.</p><p><strong>Conclusions: </strong>Ultrasonographic markers of visceral adipose tissue, especially posterior right perinephric fat thickness and preperitoneal fat thickness, demonstrate a stronger association with carotid atherosclerosis than body mass index, making them useful predictors, particularly in individuals with high body mass index. These markers can be measured during routine abdominal ultrasounds to screen for atherosclerosis risk in patients with abdominal obesity.</p>\",\"PeriodicalId\":45612,\"journal\":{\"name\":\"Journal of Ultrasonography\",\"volume\":\"25 100\",\"pages\":\"20250006\"},\"PeriodicalIF\":1.5000,\"publicationDate\":\"2025-03-26\",\"publicationTypes\":\"Journal Article\",\"fieldsOfStudy\":null,\"isOpenAccess\":false,\"openAccessPdf\":\"https://www.ncbi.nlm.nih.gov/pmc/articles/PMC11990943/pdf/\",\"citationCount\":\"0\",\"resultStr\":null,\"platform\":\"Semanticscholar\",\"paperid\":null,\"PeriodicalName\":\"Journal of Ultrasonography\",\"FirstCategoryId\":\"1085\",\"ListUrlMain\":\"https://doi.org/10.15557/JoU.2025.0006\",\"RegionNum\":0,\"RegionCategory\":null,\"ArticlePicture\":[],\"TitleCN\":null,\"AbstractTextCN\":null,\"PMCID\":null,\"EPubDate\":\"2025/1/1 0:00:00\",\"PubModel\":\"eCollection\",\"JCR\":\"Q3\",\"JCRName\":\"RADIOLOGY, NUCLEAR MEDICINE & MEDICAL IMAGING\",\"Score\":null,\"Total\":0}","platform":"Semanticscholar","paperid":null,"PeriodicalName":"Journal of Ultrasonography","FirstCategoryId":"1085","ListUrlMain":"https://doi.org/10.15557/JoU.2025.0006","RegionNum":0,"RegionCategory":null,"ArticlePicture":[],"TitleCN":null,"AbstractTextCN":null,"PMCID":null,"EPubDate":"2025/1/1 0:00:00","PubModel":"eCollection","JCR":"Q3","JCRName":"RADIOLOGY, NUCLEAR MEDICINE & MEDICAL IMAGING","Score":null,"Total":0}
引用次数: 0

摘要

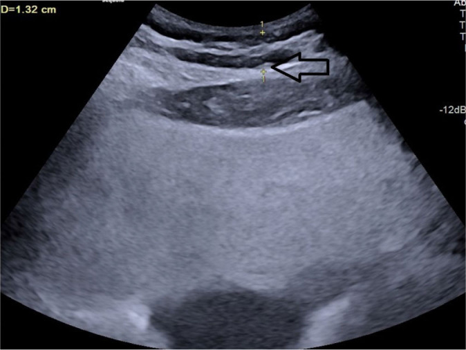
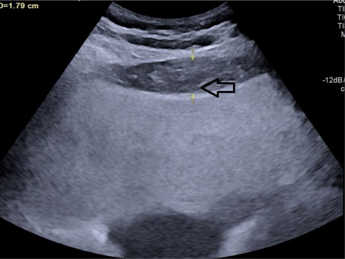
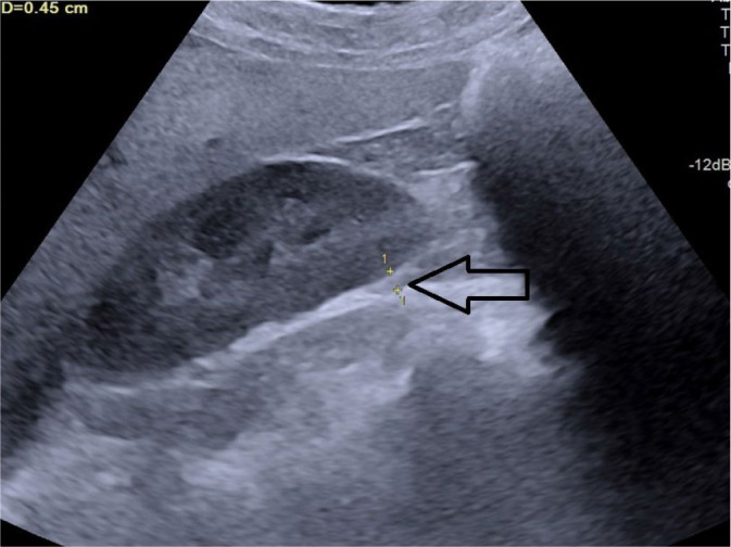
目的:腹部肥胖被认为是心血管疾病风险的最佳预测指标。虽然体质指数传统上被用来衡量肥胖,但最近的证据表明,内脏脂肪组织可能是心血管疾病风险的更好指标。各种内脏脂肪组织的替代成像标记最近被描述,如右后肾周脂肪厚度、腹膜前脂肪厚度和腹壁脂肪指数。本研究旨在通过超声测量颈动脉内膜-中膜厚度和腹部肥胖标志物来研究动脉粥样硬化之间的联系。材料和方法:这是一项基于医院的前瞻性观察性研究。体重指数为25-40的患者作为病例,体重指数为18.0-24.9的患者作为对照。测量右后肾周脂肪厚度、腹膜前脂肪厚度、腹壁脂肪指数,并与病例的颈动脉内膜-中膜厚度进行比较。结果:共纳入100例病例和100例年龄和性别匹配的对照组。在本研究中,身体质量指数与颈动脉内膜-中膜厚度没有统计学上的显著相关性。在内脏脂肪指标中,右后肾周脂肪厚度是颈动脉内膜-中膜厚度最敏感和特异性的预测因子,而腹壁脂肪指数是最不敏感和特异性的预测因子。结论:内脏脂肪组织的超声标记物,特别是右后肾周脂肪厚度和腹膜前脂肪厚度,与体重指数相比,与颈动脉粥样硬化的相关性更强,使其成为有用的预测指标,特别是在体重指数高的个体中。这些指标可以在常规腹部超声检查中测量,以筛查腹部肥胖患者的动脉粥样硬化风险。
本文章由计算机程序翻译,如有差异,请以英文原文为准。

Ultrasonography-based prediction of carotid artery atherosclerosis using multiple abdominal fat indices.

Ultrasonography-based prediction of carotid artery atherosclerosis using multiple abdominal fat indices.

Ultrasonography-based prediction of carotid artery atherosclerosis using multiple abdominal fat indices.

Ultrasonography-based prediction of carotid artery atherosclerosis using multiple abdominal fat indices.

Aim: Abdominal obesity is recognized as the best predictor of cardiovascular disease risk. While body mass index has traditionally been used to measure obesity, recent evidence suggests that visceral adipose tissue may be a better indicator of cardiovascular disease risk. Various surrogate imaging markers of visceral adipose tissue have recently been described, such as posterior right perinephric fat thickness, preperitoneal fat thickness, and the abdominal wall fat index. This study aimed to examine the link between atherosclerosis through measurement of carotid intima-media thickness and markers of abdominal obesity using ultrasonography.

Material and methods: This was a hospital-based prospective observational study. Patients with a body mass index of 25-40 were included as cases and those with a body mass index 18.0-24.9 as controls. Posterior right perinephric fat thickness, preperitoneal fat thickness, and abdominal wall fat index were measured and compared with carotid intima-media thickness in cases.

Results: A total of 100 cases and 100 age- and sex-matched controls were included. Body mass index did not show any statistically significant correlations with carotid intima-media thickness in this study. Among the visceral adiposity markers, posterior right perinephric fat thickness was the most sensitive and specific predictor of carotid intima-media thickness, while the abdominal wall fat index was the least sensitive and specific.

Conclusions: Ultrasonographic markers of visceral adipose tissue, especially posterior right perinephric fat thickness and preperitoneal fat thickness, demonstrate a stronger association with carotid atherosclerosis than body mass index, making them useful predictors, particularly in individuals with high body mass index. These markers can be measured during routine abdominal ultrasounds to screen for atherosclerosis risk in patients with abdominal obesity.

求助全文
通过发布文献求助,成功后即可免费获取论文全文。 去求助
来源期刊
Journal of Ultrasonography
Journal of Ultrasonography RADIOLOGY, NUCLEAR MEDICINE & MEDICAL IMAGING-
CiteScore
2.30
自引率
0.00%
发文量
58
审稿时长
20 weeks
×
引用
GB/T 7714-2015
复制
MLA
复制
APA
复制
导出至
BibTeX EndNote RefMan NoteFirst NoteExpress
×
提示
您的信息不完整,为了账户安全,请先补充。
现在去补充
×
提示
您因"违规操作"
具体请查看互助需知
我知道了
×
提示
确定
请完成安全验证×
copy
已复制链接
快去分享给好友吧!
我知道了
右上角分享
点击右上角分享
0
联系我们:info@booksci.cn Book学术提供免费学术资源搜索服务,方便国内外学者检索中英文文献。致力于提供最便捷和优质的服务体验。 Copyright © 2023 布克学术 All rights reserved.
京ICP备2023020795号-1
ghs 京公网安备 11010802042870号
Book学术文献互助
Book学术文献互助群
群 号:604180095
Book学术官方微信