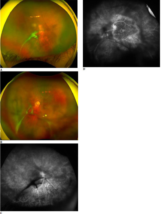
不同葡萄膜条件下超宽视场荧光素血管造影中的蕨类图案。

Vipin Rana, Meenu Dangi, Pradeep Kumar, Ashish Markan, Jaya Kaushik, Ranjit Goenka, Anupama Rana, Atul Gupta, Amit Nandan Tripathi
{"title":"不同葡萄膜条件下超宽视场荧光素血管造影中的蕨类图案。","authors":"Vipin Rana, Meenu Dangi, Pradeep Kumar, Ashish Markan, Jaya Kaushik, Ranjit Goenka, Anupama Rana, Atul Gupta, Amit Nandan Tripathi","doi":"10.22336/rjo.2025.16","DOIUrl":null,"url":null,"abstract":"<p><strong>Objective: </strong>To investigate the occurrence and characteristics of the \"Fern-like pattern\" (FLP) on ultra-wide field fluorescein angiography (UWFA) across a variety of uveitic conditions, challenging the traditional association of FLP primarily with Behçet's disease (BD).</p><p><strong>Methods: </strong>This observational study at a tertiary care centre in India analysed the UWFA images of 23 eyes from 12 patients diagnosed with BD, tubercular vasculitis, intermediate uveitis, Vogt‒Koyanagi‒Harada (VKH) syndrome, or exudative retinal detachment. Clinical and imaging data were reviewed to assess the presence and implications of FLP in these conditions.</p><p><strong>Results: </strong>The study included 12 patients: 8 males (66.67%) and four females (33.33%). The distribution was: 3 with BD, 4 with tubercular vasculitis, 3 with intermediate uveitis, 1 with VKH syndrome, and 1 with exudative retinal detachment. The average age was 29.58 ± 11.35 years. Anterior segment examination revealed significantly more hypopyon, cells, and posterior synechiae in BD patients. Posterior segment examination showed choroiditis exclusively in non-Behçet's patients and considerably increased vitritis in BD patients. Disc hyperfluorescence and neovascularization were substantially more common in BD patients.</p><p><strong>Discussion: </strong>Our study is the first to comprehensively assess the presence of FLP on UWFA across both BD and non-BD uveitic conditions, demonstrating its occurrence in TB vasculitis, VKH syndrome, and intermediate uveitis. While traditionally linked to BD, FLP signifies retinal capillary leakage and inflammation, necessitating careful differential diagnosis. We observed optic disc hyperfluorescence predominantly in BD, underscoring its role as a potential disease activity marker requiring aggressive immunosuppression. Notably, FLP was identified in exudative retinal detachment and VKH, suggesting shared inflammatory mechanisms across conditions. These findings broaden the clinical relevance of FLP in uveitis and highlight the need for further studies to explore its diagnostic and prognostic significance.</p><p><strong>Conclusion: </strong>The study confirms that FLP on UWFA is not exclusive to BD and appears in other uveitic conditions. Clinical signs such as hypopyon and disc hyperfluorescence indicate BD, whereas choroiditis is more common in non-Behçet's uveitis. These findings highlight the importance of precise clinical and imaging assessments to distinguish between different uveitic conditions for accurate diagnosis and effective treatment.</p>","PeriodicalId":94355,"journal":{"name":"Romanian journal of ophthalmology","volume":"69 1","pages":"101-109"},"PeriodicalIF":0.0000,"publicationDate":"2025-01-01","publicationTypes":"Journal Article","fieldsOfStudy":null,"isOpenAccess":false,"openAccessPdf":"https://www.ncbi.nlm.nih.gov/pmc/articles/PMC12049652/pdf/","citationCount":"0","resultStr":"{\"title\":\"Fern-Like Pattern on Ultra-Widefield Fluorescein Angiography Across Various Uveitic Conditions.\",\"authors\":\"Vipin Rana, Meenu Dangi, Pradeep Kumar, Ashish Markan, Jaya Kaushik, Ranjit Goenka, Anupama Rana, Atul Gupta, Amit Nandan Tripathi\",\"doi\":\"10.22336/rjo.2025.16\",\"DOIUrl\":null,\"url\":null,\"abstract\":\"<p><strong>Objective: </strong>To investigate the occurrence and characteristics of the \\\"Fern-like pattern\\\" (FLP) on ultra-wide field fluorescein angiography (UWFA) across a variety of uveitic conditions, challenging the traditional association of FLP primarily with Behçet's disease (BD).</p><p><strong>Methods: </strong>This observational study at a tertiary care centre in India analysed the UWFA images of 23 eyes from 12 patients diagnosed with BD, tubercular vasculitis, intermediate uveitis, Vogt‒Koyanagi‒Harada (VKH) syndrome, or exudative retinal detachment. Clinical and imaging data were reviewed to assess the presence and implications of FLP in these conditions.</p><p><strong>Results: </strong>The study included 12 patients: 8 males (66.67%) and four females (33.33%). The distribution was: 3 with BD, 4 with tubercular vasculitis, 3 with intermediate uveitis, 1 with VKH syndrome, and 1 with exudative retinal detachment. The average age was 29.58 ± 11.35 years. Anterior segment examination revealed significantly more hypopyon, cells, and posterior synechiae in BD patients. Posterior segment examination showed choroiditis exclusively in non-Behçet's patients and considerably increased vitritis in BD patients. Disc hyperfluorescence and neovascularization were substantially more common in BD patients.</p><p><strong>Discussion: </strong>Our study is the first to comprehensively assess the presence of FLP on UWFA across both BD and non-BD uveitic conditions, demonstrating its occurrence in TB vasculitis, VKH syndrome, and intermediate uveitis. While traditionally linked to BD, FLP signifies retinal capillary leakage and inflammation, necessitating careful differential diagnosis. We observed optic disc hyperfluorescence predominantly in BD, underscoring its role as a potential disease activity marker requiring aggressive immunosuppression. Notably, FLP was identified in exudative retinal detachment and VKH, suggesting shared inflammatory mechanisms across conditions. These findings broaden the clinical relevance of FLP in uveitis and highlight the need for further studies to explore its diagnostic and prognostic significance.</p><p><strong>Conclusion: </strong>The study confirms that FLP on UWFA is not exclusive to BD and appears in other uveitic conditions. Clinical signs such as hypopyon and disc hyperfluorescence indicate BD, whereas choroiditis is more common in non-Behçet's uveitis. These findings highlight the importance of precise clinical and imaging assessments to distinguish between different uveitic conditions for accurate diagnosis and effective treatment.</p>\",\"PeriodicalId\":94355,\"journal\":{\"name\":\"Romanian journal of ophthalmology\",\"volume\":\"69 1\",\"pages\":\"101-109\"},\"PeriodicalIF\":0.0000,\"publicationDate\":\"2025-01-01\",\"publicationTypes\":\"Journal Article\",\"fieldsOfStudy\":null,\"isOpenAccess\":false,\"openAccessPdf\":\"https://www.ncbi.nlm.nih.gov/pmc/articles/PMC12049652/pdf/\",\"citationCount\":\"0\",\"resultStr\":null,\"platform\":\"Semanticscholar\",\"paperid\":null,\"PeriodicalName\":\"Romanian journal of ophthalmology\",\"FirstCategoryId\":\"1085\",\"ListUrlMain\":\"https://doi.org/10.22336/rjo.2025.16\",\"RegionNum\":0,\"RegionCategory\":null,\"ArticlePicture\":[],\"TitleCN\":null,\"AbstractTextCN\":null,\"PMCID\":null,\"EPubDate\":\"\",\"PubModel\":\"\",\"JCR\":\"\",\"JCRName\":\"\",\"Score\":null,\"Total\":0}","platform":"Semanticscholar","paperid":null,"PeriodicalName":"Romanian journal of ophthalmology","FirstCategoryId":"1085","ListUrlMain":"https://doi.org/10.22336/rjo.2025.16","RegionNum":0,"RegionCategory":null,"ArticlePicture":[],"TitleCN":null,"AbstractTextCN":null,"PMCID":null,"EPubDate":"","PubModel":"","JCR":"","JCRName":"","Score":null,"Total":0}
引用次数: 0

摘要

目的:探讨各种葡萄膜疾病的超宽视场荧光素血管造影(UWFA)中“蕨类图案”(FLP)的发生和特征,挑战传统的将FLP主要与behaperet病(BD)联系起来的观点。方法:本观察性研究在印度三级保健中心分析了12例诊断为BD、结核性血管炎、中度葡萄膜炎、Vogt-Koyanagi-Harada (VKH)综合征或渗出性视网膜脱离的患者的23只眼睛的UWFA图像。我们回顾了临床和影像学资料,以评估在这些情况下FLP的存在和影响。结果:纳入12例患者,其中男性8例(66.67%),女性4例(33.33%)。分布为:BD 3例,结核性血管炎4例,中度葡萄膜炎3例,VKH综合征1例,渗出性视网膜脱离1例。平均年龄29.58±11.35岁。前节检查显示,BD患者的垂体、细胞和后粘连明显增多。后段检查显示脉络膜炎仅在非behet患者中出现,而玻璃体炎在BD患者中明显增加。椎间盘高荧光和新生血管在BD患者中更为常见。讨论:我们的研究首次全面评估了双相和非双相葡萄膜条件下UWFA中FLP的存在,证明了其在TB血管炎、VKH综合征和中度葡萄膜炎中的存在。虽然传统上与BD有关,但FLP表明视网膜毛细血管渗漏和炎症,需要仔细鉴别诊断。我们观察到视盘高荧光主要出现在双相障碍中,强调其作为一种潜在的疾病活动标志物的作用,需要积极的免疫抑制。值得注意的是,在渗出性视网膜脱离和VKH中发现了FLP,这表明不同情况下有共同的炎症机制。这些发现扩大了FLP在葡萄膜炎中的临床相关性,并强调了进一步研究其诊断和预后意义的必要性。结论:本研究证实,UWFA上的FLP并非双相障碍所独有,也可出现在其他疾病中。临床征象如低鼻窦炎和椎间盘高荧光显示BD,而脉络膜炎更常见于非behet的葡萄膜炎。这些发现强调了精确的临床和影像学评估对区分不同葡萄膜疾病的重要性,以准确诊断和有效治疗。
本文章由计算机程序翻译,如有差异,请以英文原文为准。

Fern-Like Pattern on Ultra-Widefield Fluorescein Angiography Across Various Uveitic Conditions.

Fern-Like Pattern on Ultra-Widefield Fluorescein Angiography Across Various Uveitic Conditions.

Fern-Like Pattern on Ultra-Widefield Fluorescein Angiography Across Various Uveitic Conditions.

Fern-Like Pattern on Ultra-Widefield Fluorescein Angiography Across Various Uveitic Conditions.

Objective: To investigate the occurrence and characteristics of the "Fern-like pattern" (FLP) on ultra-wide field fluorescein angiography (UWFA) across a variety of uveitic conditions, challenging the traditional association of FLP primarily with Behçet's disease (BD).

Methods: This observational study at a tertiary care centre in India analysed the UWFA images of 23 eyes from 12 patients diagnosed with BD, tubercular vasculitis, intermediate uveitis, Vogt‒Koyanagi‒Harada (VKH) syndrome, or exudative retinal detachment. Clinical and imaging data were reviewed to assess the presence and implications of FLP in these conditions.

Results: The study included 12 patients: 8 males (66.67%) and four females (33.33%). The distribution was: 3 with BD, 4 with tubercular vasculitis, 3 with intermediate uveitis, 1 with VKH syndrome, and 1 with exudative retinal detachment. The average age was 29.58 ± 11.35 years. Anterior segment examination revealed significantly more hypopyon, cells, and posterior synechiae in BD patients. Posterior segment examination showed choroiditis exclusively in non-Behçet's patients and considerably increased vitritis in BD patients. Disc hyperfluorescence and neovascularization were substantially more common in BD patients.

Discussion: Our study is the first to comprehensively assess the presence of FLP on UWFA across both BD and non-BD uveitic conditions, demonstrating its occurrence in TB vasculitis, VKH syndrome, and intermediate uveitis. While traditionally linked to BD, FLP signifies retinal capillary leakage and inflammation, necessitating careful differential diagnosis. We observed optic disc hyperfluorescence predominantly in BD, underscoring its role as a potential disease activity marker requiring aggressive immunosuppression. Notably, FLP was identified in exudative retinal detachment and VKH, suggesting shared inflammatory mechanisms across conditions. These findings broaden the clinical relevance of FLP in uveitis and highlight the need for further studies to explore its diagnostic and prognostic significance.

Conclusion: The study confirms that FLP on UWFA is not exclusive to BD and appears in other uveitic conditions. Clinical signs such as hypopyon and disc hyperfluorescence indicate BD, whereas choroiditis is more common in non-Behçet's uveitis. These findings highlight the importance of precise clinical and imaging assessments to distinguish between different uveitic conditions for accurate diagnosis and effective treatment.

求助全文
通过发布文献求助,成功后即可免费获取论文全文。 去求助
来源期刊
自引率
0.00%
发文量
0
×
引用
GB/T 7714-2015
复制
MLA
复制
APA
复制
导出至
BibTeX EndNote RefMan NoteFirst NoteExpress
×
提示
您的信息不完整,为了账户安全,请先补充。
现在去补充
×
提示
您因"违规操作"
具体请查看互助需知
我知道了
×
提示
确定
请完成安全验证×
copy
已复制链接
快去分享给好友吧!
我知道了
右上角分享
点击右上角分享
0
联系我们:info@booksci.cn Book学术提供免费学术资源搜索服务,方便国内外学者检索中英文文献。致力于提供最便捷和优质的服务体验。 Copyright © 2023 布克学术 All rights reserved.
京ICP备2023020795号-1
ghs 京公网安备 11010802042870号
Book学术文献互助
Book学术文献互助群
群 号:604180095
Book学术官方微信